HP1 alpha Antibody (SR44-03)

Images

 
Western Blot: HP1 alpha Antibody (SR44-03) [NBP2-67349] - Analysis of HP1 alpha on different lysates. Proteins were transferred to a PVDF membrane and blocked with 5% BSA in PBS for 1 hour at room temperature. The ...read more
Immunocytochemistry/ Immunofluorescence: HP1 alpha Antibody (SR44-03) [NBP2-67349] - Staining HP1 alpha in MCF-7 cells (green). The nuclear counter stain is DAPI (blue). Cells were fixed in paraformaldehyde, ...read more
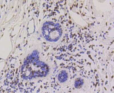
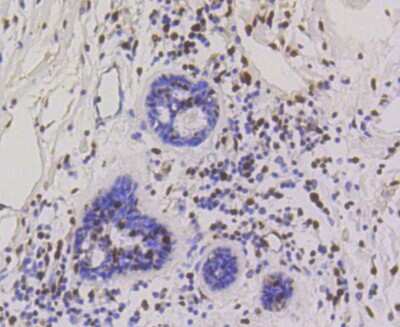
Immunohistochemistry-Paraffin: HP1 alpha Antibody (SR44-03) [NBP2-67349] - Analysis of paraffin-embedded rat uterus tissue with Rabbit anti-HP1 alpha antibody washed with ddH2O and PBS, and then probed with the primary ...read more
Flow Cytometry: HP1 alpha Antibody (SR44-03) [NBP2-67349] - Analysis of SH-SY-5Y cells with HP1 alpha antibody at 1/50 dilution (blue) compared with an unlabelled control (cells without incubation with primary antibody; ...read more
Western Blot: HP1 alpha Antibody (SR44-03) [NBP2-67349] - Analysis of HP1 alpha on different cell lysates using anti-HP1 alpha antibody at 1/1,000 dilution. Positive control: Lane 1: MCF-7 Lane 2: Hela
Immunocytochemistry/ Immunofluorescence: HP1 alpha Antibody (SR44-03) [NBP2-67349] - Staining HP1 alpha in Hela cells (green). The nuclear counter stain is DAPI (blue). Cells were fixed in paraformaldehyde, ...read more
Immunohistochemistry-Paraffin: HP1 alpha Antibody (SR44-03) [NBP2-67349] - Analysis of paraffin-embedded human breast carcinoma tissue using anti-HP1 alpha antibody. Counter stained with hematoxylin.
Immunohistochemistry-Paraffin: HP1 alpha Antibody (SR44-03) [NBP2-67349] - Analysis of paraffin-embedded human tonsil tissue using anti-HP1 alpha antibody. Counter stained with hematoxylin.
Immunohistochemistry-Paraffin: HP1 alpha Antibody (SR44-03) [NBP2-67349] - Analysis of paraffin-embedded human uterus tissue using anti-HP1 alpha antibody. Counter stained with hematoxylin.
Immunohistochemistry-Paraffin: HP1 alpha Antibody (SR44-03) [NBP2-67349] - Analysis of paraffin-embedded mouse uterus tissue using anti-HP1 alpha antibody. Counter stained with hematoxylin.
Immunohistochemistry-Paraffin: HP1 alpha Antibody (SR44-03) [NBP2-67349] - Analysis of paraffin-embedded human tonsil tissue with Rabbit anti-HP1 alpha antibody washed with ddH2O and PBS, and then probed with the ...read more
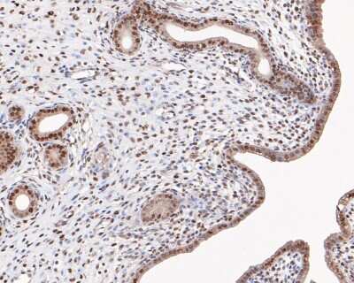
Immunohistochemistry-Paraffin: HP1 alpha Antibody (SR44-03) [NBP2-67349] - Analysis of paraffin-embedded human breast tissue with Rabbit anti-HP1 alpha antibody washed with ddH2O and PBS, and then probed with the ...read more

Product Details

Summary
Product Discontinued
View other related HP1 alpha Primary Antibodies

Order Details


    • Catalog Number
      NBP2-67349
    • Availability
      Product Discontinued

    Can't find what you are looking for? Use our Antibody Concierge Service & we will help you locate your antibody!

    Or feel free to contact us for alternative products.

HP1 alpha Antibody (SR44-03) Summary

Additional Information
Recombinant Monoclonal Antibody.
Immunogen
Recombinant protein within Human HP1 alpha aa 101-191 / 191. (SwissProt: P45973 Human; SwissProt: Q61686 Mouse; Entrez Gene: 300266 Rat)
Localization
Nucleus, Chromosome
Isotype
IgG
Clonality
Monoclonal
Host
Rabbit
Gene
CBX5
Purity
Protein A purified
Innovator's Reward
Test in a species/application not listed above to receive a full credit towards a future purchase.

Applications/Dilutions

Dilutions
  • Flow Cytometry 1:50-1:100
  • Immunocytochemistry/ Immunofluorescence 1:50-1:200
  • Immunohistochemistry
  • Immunohistochemistry-Paraffin 1:50-1:200
  • Immunoprecipitation
  • Western Blot 1:500-1:2000

Packaging, Storage & Formulations

Storage
Store at 4C short term. Aliquot and store at -20C long term. Avoid freeze-thaw cycles.
Buffer
TBS (pH7.4), 0.05% BSA, 40% Glycerol
Preservative
0.05% Sodium Azide
Concentration
1 mg/ml
Purity
Protein A purified

Alternate Names for HP1 alpha Antibody (SR44-03)

  • Antigen p25
  • chromobox homolog 5 (Drosophila HP1 alpha)
  • chromobox homolog 5 (HP1 alpha homolog, Drosophila)
  • chromobox homolog 5
  • chromobox protein homolog 5
  • Heterochromatin protein 1 homolog alpha
  • heterochromatin protein 1-alpha
  • HP1 alpha homolog
  • HP1 alpha
  • HP1
  • HP1A
  • HP1-ALPHA
  • HP1Hs alpha
  • HP1Hs-alpha

Background

Heterochromatin protein-1 (HP1) is a methyl-lysine binding adapter protein that is involved in a variety important functions in the cell nucleus. Localized at heterochromatin sites, HP1 is responsible for gene repression by heterochromatin formation, transcriptional activation, regulation of binding of cohesion complexes to centromere, sequesteration of genes to nuclear periphery, transcriptional arrest, maintenance of heterochromatin integrity, gene repression at single nucleosome level and gene repression by heterochromatization of euchromatin.

HP1 antibodies are useful tools for research on transcription regulation and epigenetic signaling.

Limitations

This product is for research use only and is not approved for use in humans or in clinical diagnosis. Primary Antibodies are guaranteed for 1 year from date of receipt.

Customers Who Viewed This Item Also Viewed...

NB500-171
Species: Hu, I, Mu, Rt, Xp, Ye
Applications: ChIP, IB, ICC/IF, IHC,  IHC-P, Single-Cell Western, WB
DHAPG0
Species: Hu
Applications: ELISA
NB300-917
Species: Hu, Mu
Applications: ICC/IF, IHC,  IHC-P
NBP1-21367
Species: Hu, Mu
Applications: ICC/IF, IHC,  IHC-P, IP, WB
NBP2-98756
Species: Hu, Mu
Applications: ICC/IF, IHC,  IHC-P, IP, WB
NB100-2350
Species: Hu, Mu, Rt
Applications: ChIP, ICC/IF, IHC,  IHC-P, IP, WB
PP-A8620A-00
Species: Hu, Mu
Applications: DirELISA, IHC, IP, WB
NB100-56519
Species: Bv, Hu, Mu, Po, Rt, Sh
Applications: ChIP, CyTOF-ready, Flow-IC, Flow, ICC/IF, IHC-FrFl, IHC, IHC-Fr,  IHC-P, IP, KD, Simple Western, WB
NBP2-15736
Species: Hu, Mu
Applications: ICC/IF, IHC,  IHC-P, IP, KO, WB
NBP3-06562
Species: Hu
Applications: IHC,  IHC-P
NBP2-07996
Species: Hu
Applications: WB
NBP2-52486
Species: Hu
Applications: CyTOF-ready, ELISA, Flow, ICC/IF, IHC,  IHC-P, WB
H00001668-P01
Species: Hu
Applications: ELISA, AP, PA, PAGE, WB
NBP1-33596
Species: Hu, Mu, Rt
Applications: ICC/IF, IHC,  IHC-P, IP, PAGE, WB
NBP2-20322
Species: Hu, Mu
Applications: ChIP, ICC/IF, IHC,  IHC-P, IP, PLA, WB
MAB1455
Species: Hu
Applications: CyTOF-ready, Dual ISH-IHC, ICC, IHC, ICFlow, Simple Western, WB

Publications for HP1 alpha Antibody (NBP2-67349) (0)

There are no publications for HP1 alpha Antibody (NBP2-67349).
By submitting your publication information earn gift cards and discounts for future purchases.

Reviews for HP1 alpha Antibody (NBP2-67349) (0)

There are no reviews for HP1 alpha Antibody (NBP2-67349). By submitting a review you will receive an Amazon e-Gift Card or Novus Product Discount.
  • Review with no image -- $10/€7/£6/$10 CAD/¥70 Yuan/¥1110 Yen
  • Review with an image -- $25/€18/£15/$25 CAD/¥150 Yuan/¥2500 Yen

Product General Protocols

Video Protocols

WB Video Protocol
ICC/IF Video Protocol

FAQs for HP1 alpha Antibody (NBP2-67349) (0)

There are no specific FAQs related to this product. Read our general customer & technical service FAQs.

Contact Information

Product PDFs

Calculators

Concentration Calculator

The concentration calculator allows you to quickly calculate the volume, mass or concentration of your vial. Simply enter your mass, volume, or concentration values for your reagent and the calculator will determine the rest.

=
÷

Review this Product

Be the first to review our HP1 alpha Antibody (SR44-03) and receive a gift card or discount.

Bioinformatics

Gene Symbol CBX5