HLA DRA Antibody (CL10964) - Azide and BSA Free

Images

 
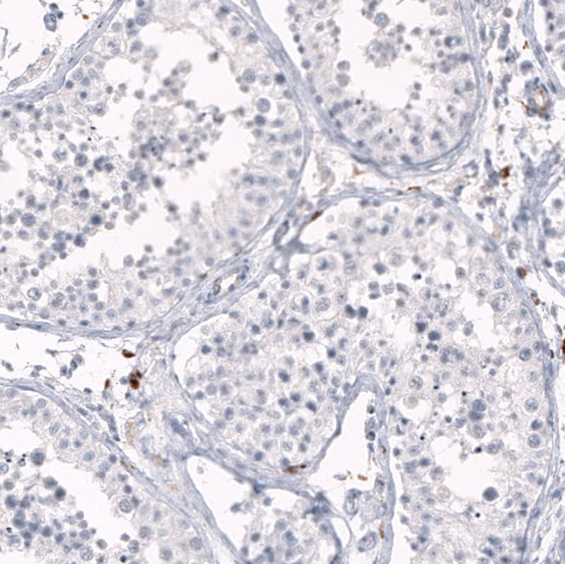
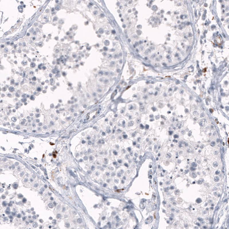
Orthogonal Strategies: Analysis in human lymph node and testis tissues using NBP3-44200 antibody. Corresponding HLA DRA RNA-seq data are presented for the same tissues.
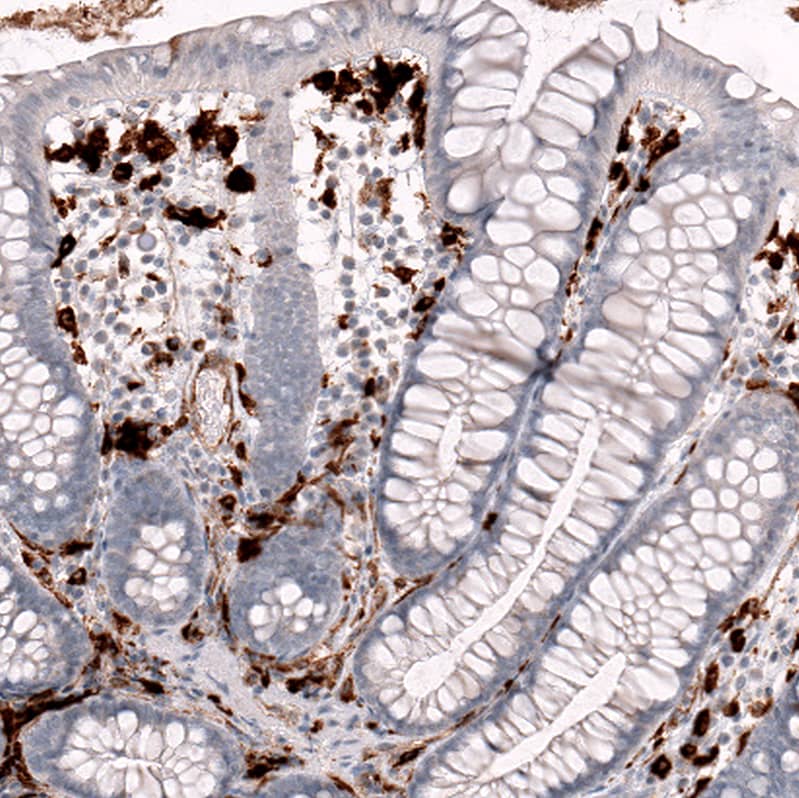
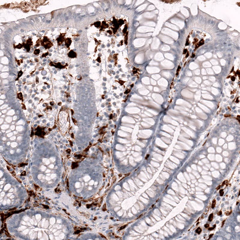
Staining of human colon shows strong cytoplasmic positivity in lymphoid cells.
Staining of human cerebral cortex (Alzheimer disease) shows strong cytoplasmic positivity in microglia.
Staining of human lymph node shows strong membranous positivity in germinal center cells.
Analysis in human cell line HDLM-2.
Staining of human testis shows no positivity in cells in seminiferous ducts as expected.

Product Details

Summary
Reactivity HuSpecies Glossary
Applications WB, IHC
Clone
CL10964
Clonality
Monoclonal
Host
Mouse
Conjugate
Unconjugated
Format
Azide and BSA Free
Concentration
LYOPH
Validated by:
       

Orthogonal Strategies

 

Order Details

HLA DRA Antibody (CL10964) - Azide and BSA Free Summary

Description
Novus Biologicals Mouse HLA DRA Antibody (CL10964) - Azide and BSA Free (NBP3-07996) is a monoclonal antibody validated for use in IHC and WB. All Novus Biologicals antibodies are covered by our 100% guarantee.
Immunogen
This antibody was generated using a synthetic peptide of P01903, with the exact immunogen sequence remaining proprietary.
Isotype
IgG1
Clonality
Monoclonal
Host
Mouse
Gene
HLA-DRA
Purity
Protein A purified
Innovator's Reward
Test in a species/application not listed above to receive a full credit towards a future purchase.

Applications/Dilutions

Dilutions
  • Immunohistochemistry-Paraffin 1:2000 - 1:5000
  • Western Blot 1 ug/ml
Application Notes
For IHC-Paraffin, HIER pH 6 retrieval is recommended.

Packaging, Storage & Formulations

Storage
Store at 4C short term. Aliquot and store at -20C long term. Avoid freeze-thaw cycles.
Buffer
Lyophilized from a 0.2 um filtered solution in PBS with Trehalose
Preservative
No Preservative
Concentration
LYOPH
Purity
Protein A purified
Reconstitution Instructions
Centrifuge the vial of lyophilized antibody at 12,000 x g for 20 seconds. Reconstitute by adding sterile, distilled water to achieve a final antibody concentration of 1mg/ml.

Alternate Names for HLA DRA Antibody (CL10964) - Azide and BSA Free

  • FLJ51114
  • histocompatibility antigen HLA-DR alpha
  • HLA class II histocompatibility antigen, DR alpha chain
  • HLA-DRA1
  • major histocompatibility complex, class II, DR alpha
  • MHC cell surface glycoprotein
  • MHC class II antigen DRA
  • MLRW

Background

HLA-DRA is one of the HLA class II alpha chain paralogues. This class II molecule is a heterodimer consisting of an alpha and a beta chain, both anchored in the membrane. It plays a central role in the immune system by presenting peptides derived from extracellular proteins. Class II molecules are expressed in antigen presenting cells (APC: B lymphocytes, dendritic cells, macrophages). The alpha chain is approximately 33-35 kDa and its gene contains 5 exons. Exon 1 encodes the leader peptide, exons 2 and 3 encode the two extracellular domains, and exon 4 encodes the transmembrane domain and the cytoplasmic tail. DRA does not have polymorphisms in the peptide binding part and acts as the sole alpha chain for DRB1, DRB3, DRB4 and DRB5.

Limitations

This product is for research use only and is not approved for use in humans or in clinical diagnosis. Primary Antibodies are guaranteed for 1 year from date of receipt.

Customers Who Viewed This Item Also Viewed...

NBP1-84450
Species: Hu, Mu
Applications: IHC-WhMt, IHC,  IHC-P, WB
485-MI
Species: Mu
Applications: BA
NB120-6405
Species: Rt
Applications: B/N, CyTOF-ready, EM, ELISA, Flow-IC, Flow, ICC/IF, IHC, IHC-Fr,  IHC-P, IP
H00003126-P01
Species: Hu
Applications: ELISA, AP, PA, WB
NBP2-45316
Species: Hu, Pm
Applications: Flow, ICC/IF, IHC,  IHC-P, WB
NBP3-46107
Species: Hu, Mu, Rt
Applications: ELISA, IHC, WB
NBP2-59072
Species: Hu, Mu, Rt
Applications: ELISA, ICC/IF, IHC,  IHC-P, WB
NBP2-79843
Species: Hu
Applications: CyTOF-ready, ELISA, Flow, ICC/IF, IHC,  IHC-P, PA, WB
NBP3-07168
Species: Pm, Ca, Pm, Hu, Pm, Sq
Applications: Flow, ICC/IF
NBP2-24677
Species: Ca, Eq, Hu, Pm
Applications: ICC/IF, IHC,  IHC-P, WB
NBP1-52654
Species: Hu, Mu
Applications: IHC,  IHC-P, IP, WB
NBP3-16006
Species: Hu
Applications: ELISA, IHC,  IHC-P, WB
MAB6495
Species: Hu
Applications: ICC, Simple Western, WB
NBP2-34294
Species: Hu, Mu, Rt
Applications: Flow, IHC,  IHC-P
NBP2-61871
Species: Hu
Applications: ELISA, Flow, ICC/IF, IHC,  IHC-P, WB
NBP3-17054
Species: Hu
Applications: IHC,  IHC-P
NBP3-35275
Species: Hu, Mu, Rt
Applications: ELISA, ICC/IF, IHC,  IHC-P, WB
AF5236
Species: Mu
Applications: WB
M6000B
Species: Mu
Applications: ELISA

Publications for HLA DRA Antibody (NBP3-44200) (0)

There are no publications for HLA DRA Antibody (NBP3-44200).
By submitting your publication information earn gift cards and discounts for future purchases.

Reviews for HLA DRA Antibody (NBP3-44200) (0)

There are no reviews for HLA DRA Antibody (NBP3-44200). By submitting a review you will receive an Amazon e-Gift Card or Novus Product Discount.
  • Review with no image -- $10/€7/£6/$10 CAD/¥70 Yuan/¥1110 Yen
  • Review with an image -- $25/€18/£15/$25 CAD/¥150 Yuan/¥2500 Yen

Product General Protocols

Find general support by application which include: protocols, troubleshooting, illustrated assays, videos and webinars.

Video Protocols

WB Video Protocol

FAQs for HLA DRA Antibody (NBP3-44200) (0)

There are no specific FAQs related to this product. Read our general customer & technical service FAQs.

Customers Who Bought This Also Bought

Contact Information

Product PDFs

Calculators

Concentration Calculator

The concentration calculator allows you to quickly calculate the volume, mass or concentration of your vial. Simply enter your mass, volume, or concentration values for your reagent and the calculator will determine the rest.

=
÷

Review this Product

Be the first to review our HLA DRA Antibody (CL10964) - Azide and BSA Free and receive a gift card or discount.

Bioinformatics

Gene Symbol HLA-DRA