HLA DOA Antibody - BSA Free

Images

 
Orthogonal Strategies: Immunohistochemistry-Paraffin: HLA DOA Antibody [NBP1-91993] - Analysis in human tonsil and liver tissues using NBP1-91993 antibody. Corresponding HLA-DOA RNA-seq data are presented for the ...read more
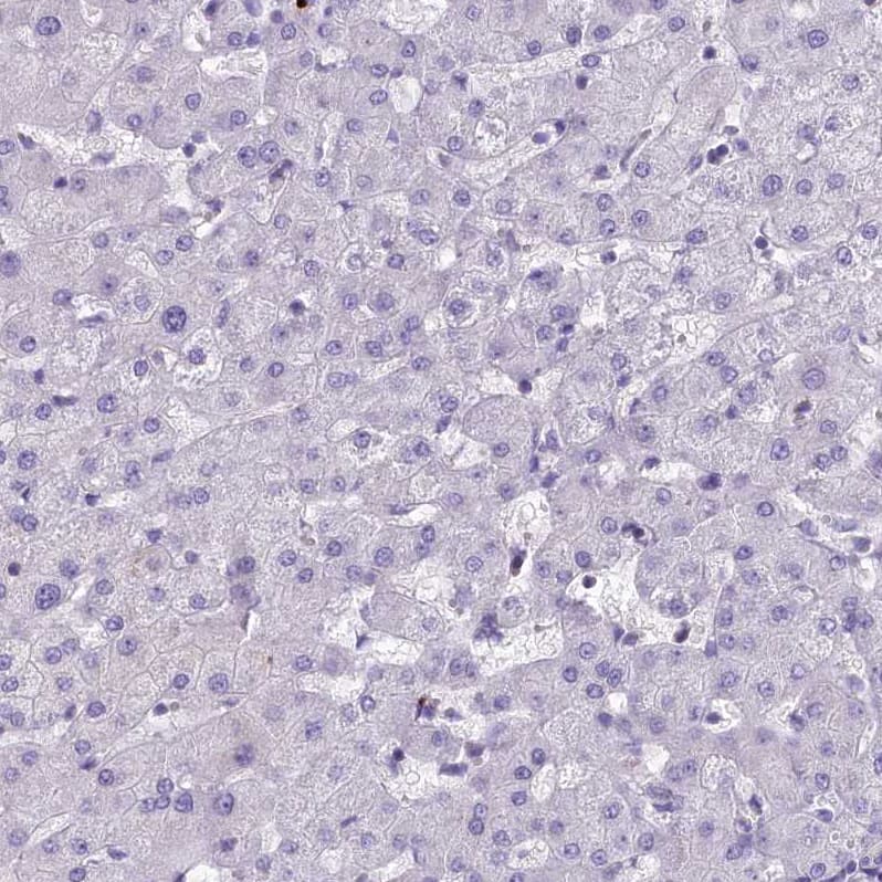
Immunohistochemistry-Paraffin: HLA DOA Antibody [NBP1-91993] - Staining of human liver shows no positivity in hepatocytes as expected.
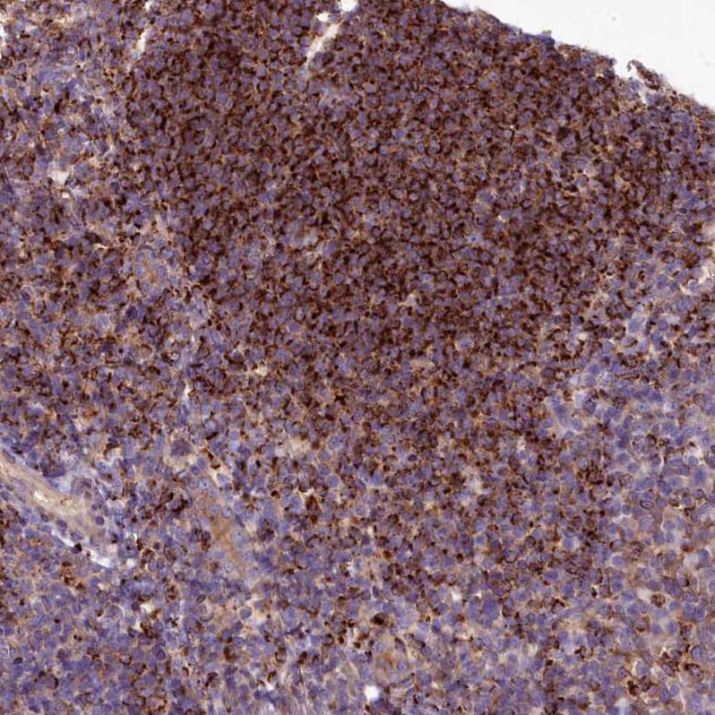
Immunohistochemistry-Paraffin: HLA DOA Antibody [NBP1-91993] - Staining of human tonsil shows strong granular cytoplasmic positivity in non-germinal center cells.
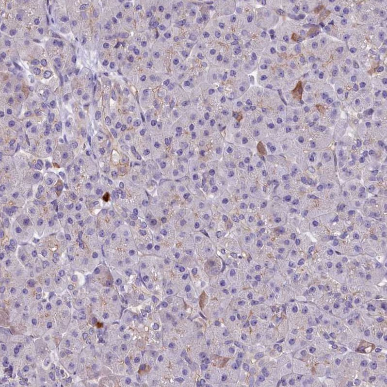
Immunohistochemistry-Paraffin: HLA DOA Antibody [NBP1-91993] - Staining of human pancreas shows no positivity in exocrine glandular cells as expected.
Analysis in control (vector only transfected HEK293T lysate) and HLA-DOA over-expression lysate (Co-expressed with a C-terminal myc-DDK tag (~3.1 kDa) in mammalian HEK293T cells).
Orthogonal Strategies: Analysis in human tonsil and liver tissues using NBP1-91993 antibody. Corresponding HLA-DOA RNA-seq data are presented for the same tissues.
Staining of human tonsil shows strong granular cytoplasmic positivity in non-germinal center cells.
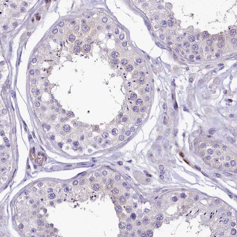
Staining of human testis shows no positivity in cells in seminiferous ducts as expected.
Staining of human liver shows no positivity in hepatocytes as expected.
Staining of human pancreas shows no positivity in exocrine glandular cells as expected.

Product Details

Summary
Reactivity HuSpecies Glossary
Applications WB, IHC
Clonality
Polyclonal
Host
Rabbit
Conjugate
Unconjugated
Format
BSA Free
Validated by:
       

Orthogonal Strategies

 

Order Details

View Available Formulations
Catalog# & Formulation Size Price

HLA DOA Antibody - BSA Free Summary

Description
Novus Biologicals Rabbit HLA DOA Antibody - BSA Free (NBP1-91993) is a polyclonal antibody validated for use in IHC and WB. All Novus Biologicals antibodies are covered by our 100% guarantee.
Immunogen
This antibody was developed against Recombinant Protein corresponding to amino acids: GDFARFDPQGGLAGIAAIKAHLDILVERSNRSRAINVPPRVTVLPKSRVE
Isotype
IgG
Clonality
Polyclonal
Host
Rabbit
Gene
HLA-DOA
Purity
Immunogen affinity purified
Innovator's Reward
Test in a species/application not listed above to receive a full credit towards a future purchase.

Applications/Dilutions

Dilutions
  • Immunohistochemistry 1:200 - 1:500
  • Immunohistochemistry-Paraffin 1:200 - 1:500
  • Western Blot 0.04-0.4 ug/ml
Application Notes
For IHC-Paraffin, HIER pH 6 retrieval is recommended.
Control Peptide
HLA DOA Protein (NBP1-91993PEP)

Packaging, Storage & Formulations

Storage
Store at 4C short term. Aliquot and store at -20C long term. Avoid freeze-thaw cycles.
Buffer
PBS (pH 7.2) and 40% Glycerol
Preservative
0.02% Sodium Azide
Purity
Immunogen affinity purified

Alternate Names for HLA DOA Antibody - BSA Free

  • HLA class II histocompatibility antigen, DO alpha chain
  • HLA-D0-alpha
  • HLA-DNAHLADZ
  • HLA-DZA
  • lymphocyte antigen
  • major histocompatibility complex, class II, DN alpha
  • major histocompatibility complex, class II, DO alpha
  • MHC class II antigen DOA
  • MHC DN-alpha
  • MHC DZ alpha

Background

HLA DOA, also known as HLA class II histocompatibility antigen DO alpha chain, is a 250 amino acid protein that is 28 kDa, found in lysosomes in B cells and controls HLA-DM-mediated peptide loading on MHC class II molecules. Current research is being done on several diseases and disorders including vogt-koyanagi-harada disease, alopecia universalis, alopecia, systemic lupus erythematosus, graft versus host disease, lupus erythematosus, rheumatoid arthritis, toxoplasmosis, autoimmune thyroiditis, leishmaniasis, myocarditis, diabetes mellitus, arthritis influenza, immunodeficiency, asthma, tuberculosis, thyroiditis, interferon, and hepatitis b. Interactions with the HLA DOA protein have shown to involve ENSG00000204252 and HLA-DMA proteins in immune response antigen presentation by MHC class II, G-protein signaling N-RAS regulation pathway, immune response IL-22 signaling pathway, immune response NFAT in immune response, immune response ICOS pathway in T-helper cell, phagosome, cell adhesion molecules (CAMs), antigen processing and presentation, intestinal immune network for IgA production,and type I diabetes mellitus pathway.

Limitations

This product is for research use only and is not approved for use in humans or in clinical diagnosis. Primary Antibodies are guaranteed for 1 year from date of receipt.

Customers Who Viewed This Item Also Viewed...

NBP2-45316
Species: Hu, Pm
Applications: Flow, ICC/IF, IHC,  IHC-P, WB
H00003126-P01
Species: Hu
Applications: ELISA, AP, PA, WB
NBP3-35275
Species: Hu, Mu, Rt
Applications: ELISA, ICC/IF, IHC,  IHC-P, WB
NBP1-87469
Species: Hu
Applications: IHC,  IHC-P
NBP3-46107
Species: Hu, Mu, Rt
Applications: ELISA, IHC, WB
NBP3-07168
Species: Pm, Ca, Pm, Hu, Pm, Sq
Applications: Flow, ICC/IF
NBP2-61871
Species: Hu
Applications: ELISA, Flow, ICC/IF, IHC,  IHC-P, WB
NBP1-85010
Species: Hu
Applications: IHC,  IHC-P
NBP1-30475
Species: Hu, Mu
Applications: IHC,  IHC-P, IP, WB
NB120-6405
Species: Rt
Applications: B/N, CyTOF-ready, EM, ELISA, Flow-IC, Flow, ICC/IF, IHC, IHC-Fr,  IHC-P, IP
NBP2-79843
Species: Hu
Applications: CyTOF-ready, ELISA, Flow, ICC/IF, IHC,  IHC-P, PA, WB
202-IL
Species: Hu
Applications: BA
NBP2-93797
Species: Hu, Mu, Rt
Applications: ICC/IF, IHC,  IHC-P, WB
AF4885
Species: Mu
Applications: IP, WB
NBP2-59072
Species: Hu, Mu, Rt
Applications: ELISA, ICC/IF, IHC,  IHC-P, WB
NBP2-16851
Species: Hu
Applications: ICC/IF, IHC,  IHC-P, WB
NBP3-16006
Species: Hu
Applications: ELISA, IHC,  IHC-P, WB
NBP2-31769
Species: Hu
Applications: IHC,  IHC-P
NBP1-31138
Species: Hu
Applications: IHC,  IHC-P, WB
H00342184-M07
Species: Hu
Applications: ELISA, ICC/IF, WB

Publications for HLA DOA Antibody (NBP1-91993) (0)

There are no publications for HLA DOA Antibody (NBP1-91993).
By submitting your publication information earn gift cards and discounts for future purchases.

Reviews for HLA DOA Antibody (NBP1-91993) (0)

There are no reviews for HLA DOA Antibody (NBP1-91993). By submitting a review you will receive an Amazon e-Gift Card or Novus Product Discount.
  • Review with no image -- $10/€7/£6/$10 CAD/¥70 Yuan/¥1110 Yen
  • Review with an image -- $25/€18/£15/$25 CAD/¥150 Yuan/¥2500 Yen

Product General Protocols

Find general support by application which include: protocols, troubleshooting, illustrated assays, videos and webinars.

Video Protocols

WB Video Protocol

FAQs for HLA DOA Antibody (NBP1-91993) (0)

There are no specific FAQs related to this product. Read our general customer & technical service FAQs.

Customers Who Bought This Also Bought

Contact Information

Product PDFs

Calculators

Concentration Calculator

The concentration calculator allows you to quickly calculate the volume, mass or concentration of your vial. Simply enter your mass, volume, or concentration values for your reagent and the calculator will determine the rest.

=
÷

Review this Product

Be the first to review our HLA DOA Antibody - BSA Free and receive a gift card or discount.

Bioinformatics

Gene Symbol HLA-DOA