HLA DMB Antibody (5G11)

Images

 
Western Blot: HLA DMB Antibody (5G11) [H00003109-M06] - Analysis of HLA-DMB expression in transfected 293T cell line by HLA-DMB monoclonal antibody (M06), clone 5G11. Lane 1: HLA-DMB transfected lysatE (28.9 KDa). Lane ...read more
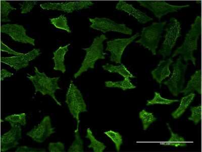
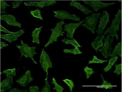
Immunocytochemistry/ Immunofluorescence: HLA DMB Antibody (5G11) [H00003109-M06] - Analysis of monoclonal antibody to HLA-DMB on HeLa cell. Antibody concentration 10 ug/ml
Immunoprecipitation: HLA DMB Antibody (5G11) [H00003109-M06] - Analysis of HLA-DMB transfected lysate using anti-HLA-DMB monoclonal antibody and Protein A Magnetic Bead, and immunoblotted with HLA-DMB rabbit polyclonal ...read more

Product Details

Summary
Product Discontinued
View other related HLA DMB Primary Antibodies

Order Details


    • Catalog Number
      H00003109-M06
    • Availability
      Product Discontinued

    Can't find what you are looking for? Use our Antibody Concierge Service & we will help you locate your antibody!

    Or feel free to contact us for alternative products.

HLA DMB Antibody (5G11) Summary

Description
Quality control test: Antibody Reactive Against Recombinant Protein.
Immunogen
HLA-DMB (NP_002109, 22 a.a. ~ 129 a.a) partial recombinant protein with GST tag. MW of the GST tag alone is 26 KDa. VAHVESTCLLDDAGTPKDFTYCISFNKDLLTCWDPEENKMAPCEFGVLNSLANVLSQHLNQKDTLMQRLRNGLQNCATHTQPFWGSLTNRTRPPSVQVAKTTPFNTRE
Specificity
HLA-DMB - major histocompatibility complex, class II, DM beta (5G11)
Isotype
IgG2b Kappa
Clonality
Monoclonal
Host
Mouse
Gene
HLA-DMB
Purity
Ascites
Innovator's Reward
Test in a species/application not listed above to receive a full credit towards a future purchase.

Applications/Dilutions

Dilutions
  • ELISA
  • Immunocytochemistry/ Immunofluorescence
  • Immunoprecipitation
  • Western Blot 1:500
Application Notes
Antibody reactivity against Recombinant Protein with GST tag on ELISA and WB. GST tag alone is used as a negative control.

Packaging, Storage & Formulations

Storage
Aliquot and store at -20C or -80C. Avoid freeze-thaw cycles.
Buffer
In 1x PBS, pH 7.4
Preservative
No Preservative
Purity
Ascites

Notes

This product is produced by and distributed for Abnova, a company based in Taiwan.

Alternate Names for HLA DMB Antibody (5G11)

  • class II histocompatibility antigen, M beta chain
  • D6S221E
  • DMB
  • major histocompatibility complex, class II, DM beta
  • MHC class II antigen DMB
  • MHC class II antigen HLA-DM beta chain
  • MHC class II HLA-DMB
  • Really interesting new gene 7 protein
  • RING7HLA class II histocompatibility antigen, DM beta chain

Background

HLA-DMB belongs to the HLA class II beta chain paralogues. This class II molecule is a heterodimer consisting of an alpha (DMA) and a beta (DMB) chain, both anchored in the membrane. It is located in intracellular vesicles. DM plays a central role in the peptide loading of MHC class II molecules by helping to release the CLIP (class II-associated invariant chain peptide) molecule from the peptide binding site. Class II molecules are expressed in antigen presenting cells (APC: B lymphocytes, dendritic cells, macrophages). The beta chain is approximately 26-28 kDa and its gene contains 6 exons. Exon one encodes the leader peptide, exons 2 and 3 encode the two extracellular domains, exon 4 encodes the transmembrane domain and exon 5 encodes the cytoplasmic tail. [provided by RefSeq]

Limitations

This product is for research use only and is not approved for use in humans or in clinical diagnosis. Primary Antibodies are guaranteed for 1 year from date of receipt.

Customers Who Viewed This Item Also Viewed...

NBP2-21789
Species: Mu, Rt
Applications: CyTOF-ready, Flow, Func, IHC, IHC-Fr,  IHC-P, IP, WB
NBP1-85010
Species: Hu
Applications: IHC,  IHC-P
NBP2-45316
Species: Hu, Pm
Applications: Flow, ICC/IF, IHC,  IHC-P, WB
NBP2-01346
Species: Ca, Hu, Pm, Mu, Pm, Rt
Applications: Flow, ICC/IF, IHC,  IHC-P, WB
NB120-6405
Species: Rt
Applications: B/N, CyTOF-ready, EM, ELISA, Flow-IC, Flow, ICC/IF, IHC, IHC-Fr,  IHC-P, IP
H00003126-P01
Species: Hu
Applications: ELISA, AP, PA, WB
NBP1-89953
Species: Hu, Mu
Applications: ICC/IF, IHC,  IHC-P
H00006890-M04
Species: Hu
Applications: ELISA, Flow, ICC/IF, WB
NBP2-31769
Species: Hu
Applications: IHC,  IHC-P
NBP2-01817
Species: Hu, Mu, Rt
Applications: Flow, ICC/IF, IHC,  IHC-P, WB
NBP1-84450
Species: Hu, Mu
Applications: IHC-WhMt, IHC,  IHC-P, WB
NBP2-93797
Species: Hu, Mu, Rt
Applications: ICC/IF, IHC,  IHC-P, WB
NBP2-48836
Species: Ca, Hu
Applications: ICC/IF, IHC,  IHC-P
H00005729-B01P
Species: Hu
Applications: Flow, ICC/IF, WB
NBP3-35275
Species: Hu, Mu, Rt
Applications: ELISA, ICC/IF, IHC,  IHC-P, WB
NBP2-59072
Species: Hu, Mu, Rt
Applications: ELISA, ICC/IF, IHC,  IHC-P, WB
NB100-1533
Species: Hu, Mu, Po, Rt, Sh
Applications: Flow, ICC/IF, IHC,  IHC-P, PEP-ELISA, WB
NBP1-85569
Species: Hu
Applications: IHC,  IHC-P, WB
NBP1-85568
Species: Hu, Mu, Rt
Applications: ICC/IF, IHC,  IHC-P, WB
H00003109-M06
Species: Hu
Applications: WB, ELISA, ICC/IF, IP

Publications for HLA DMB Antibody (H00003109-M06) (0)

There are no publications for HLA DMB Antibody (H00003109-M06).
By submitting your publication information earn gift cards and discounts for future purchases.

Reviews for HLA DMB Antibody (H00003109-M06) (0)

There are no reviews for HLA DMB Antibody (H00003109-M06). By submitting a review you will receive an Amazon e-Gift Card or Novus Product Discount.
  • Review with no image -- $10/€7/£6/$10 CAD/¥70 Yuan/¥1110 Yen
  • Review with an image -- $25/€18/£15/$25 CAD/¥150 Yuan/¥2500 Yen

Product General Protocols

Find general support by application which include: protocols, troubleshooting, illustrated assays, videos and webinars.

Video Protocols

WB Video Protocol
ICC/IF Video Protocol

FAQs for HLA DMB Antibody (H00003109-M06) (0)

There are no specific FAQs related to this product. Read our general customer & technical service FAQs.

Contact Information

Product PDFs

Calculators

Concentration Calculator

The concentration calculator allows you to quickly calculate the volume, mass or concentration of your vial. Simply enter your mass, volume, or concentration values for your reagent and the calculator will determine the rest.

=
÷

Review this Product

Be the first to review our HLA DMB Antibody (5G11) and receive a gift card or discount.

Bioinformatics

Gene Symbol HLA-DMB