Hexosaminidase A/HEXA Antibody

Images

 
Western Blot: Hexosaminidase A/HEXA Antibody [NBP2-30997] - Analysis in control (vector only transfected HEK293T lysate) and HEXA over-expression lysate (Co-expressed with a C-terminal myc-DDK tag (3.1 kDa) in mammalian ...read more
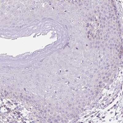
Immunohistochemistry-Paraffin: Hexosaminidase A/HEXA Antibody [NBP2-30997] - Staining of human skin shows no positivity in squamous epithelial cells as expected.
Immunohistochemistry-Paraffin: Hexosaminidase A/HEXA Antibody [NBP2-30997] - Staining of human kidney shows strong granular cytoplasmic positivity in cells in tubules.
Immunohistochemistry-Paraffin: Hexosaminidase A/HEXA Antibody [NBP2-30997] - Staining of human lung shows strong granular cytoplasmic positivity in macrophages.
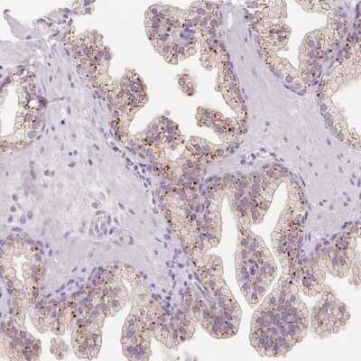
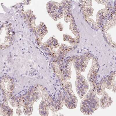
Immunohistochemistry-Paraffin: Hexosaminidase A/HEXA Antibody [NBP2-30997] - Staining of human prostate shows moderate granular cytoplasmic positivity in glandular cells.

Product Details

Summary
Product Discontinued
View other related Hexosaminidase A/HEXA Primary Antibodies

Order Details


    • Catalog Number
      NBP2-30997
    • Availability
      Product Discontinued

    Can't find what you are looking for? Use our Antibody Concierge Service & we will help you locate your antibody!

    Or feel free to contact us for alternative products.

Hexosaminidase A/HEXA Antibody Summary

Immunogen
This antibody was developed against a recombinant protein corresponding to amino acids: LESFYIQTLLDIVSSYGKGYVVWQEVFDNKVKIQPDTIIQVWREDIPVNYMKELELVTKAGFRALLSAPWYLNRISYGPDWKDFYVVEPLAFE
Isotype
IgG
Clonality
Polyclonal
Host
Rabbit
Gene
HEXA
Purity
Immunogen affinity purified
Innovator's Reward
Test in a species/application not listed above to receive a full credit towards a future purchase.

Applications/Dilutions

Dilutions
  • Immunohistochemistry 1:20 - 1:50
  • Immunohistochemistry-Paraffin 1:20 - 1:50
  • Western Blot 0.04-0.4 ug/ml
Application Notes
For IHC-Paraffin, HIER pH 6 retrieval is recommended.
Control Peptide
Hexosaminidase A/HEXA Protein (NBP2-30997PEP)

Reactivity Notes

Immunogen displays the following percentage of sequence identity for non-tested species: Mouse (81%), Rat (82%)

Packaging, Storage & Formulations

Storage
Store at 4C short term. Aliquot and store at -20C long term. Avoid freeze-thaw cycles.
Buffer
PBS (pH 7.2) and 40% Glycerol
Preservative
0.02% Sodium Azide
Purity
Immunogen affinity purified

Alternate Names for Hexosaminidase A/HEXA Antibody

  • beta-hexosaminidase subunit alpha
  • Beta-N-acetylhexosaminidase subunit alpha
  • EC 3.2.1
  • EC 3.2.1.52
  • HEXA
  • hexosaminidase A (alpha polypeptide)
  • Hexosaminidase A
  • Hexosaminidase subunit A
  • MGC99608
  • N-acetyl-beta-glucosaminidase subunit alpha
  • TSD

Background

HEXA encodes the alpha subunit of the lysosomal enzyme beta-hexosaminidase that, together with the cofactor GM2 activator protein, catalyzes the degradation of the ganglioside GM2, and other molecules containing terminal N-acetyl hexosamines. Beta-hexosaminidase is composed of two subunits, alpha and beta, which are encoded by separate genes. Both beta-hexosaminidase alpha and beta subunits are members of family 20 of glycosyl hydrolases. Mutations in the alpha or beta subunit genes lead to an accumulation of GM2 ganglioside in neurons and neurodegenerative disorders termed the GM2 gangliosidoses. Alpha subunit gene mutations lead to Tay-Sachs disease (GM2-gangliosidosis type I). [provided by RefSeq]

Limitations

This product is for research use only and is not approved for use in humans or in clinical diagnosis. Primary Antibodies are guaranteed for 1 year from date of receipt.

Customers Who Viewed This Item Also Viewed...

H00003087-M02
Species: Hu
Applications: ELISA, ICC/IF, S-ELISA, WB
NBP2-49211
Species: Hu
Applications: IHC,  IHC-P
NBP1-88927
Species: Hu, Mu
Applications: ICC/IF, IHC,  IHC-P
NBP2-54591
Species: Hu
Applications: CyTOF-ready, Flow, ICC/IF, IHC,  IHC-P, PA
H00728695-B01P
Species: Hu
Applications: ICC/IF, IP, WB
NBP1-81838
Species: Hu
Applications: IHC,  IHC-P, WB
DPI00
Species: Hu
Applications: ELISA
NBP1-83574
Species: Hu
Applications: ICC/IF, IHC,  IHC-P, WB
AF1067
Species: Hu, Mu, Rt
Applications: ELISA, IHC, Neut, WB
NB200-541
Species: Mu
Applications: IA, ICC/IF, IHC, IHC-Fr, IP, WB
NBP1-90927
Species: Hu
Applications: IHC,  IHC-P, WB
NBP2-02043
Species: Hu, Rt
Applications: Flow, ICC/IF, IHC,  IHC-P, WB
AF1067
Species: Hu, Mu, Rt
Applications: ELISA, IHC, Neut, WB
664-LI
Species: Hu
Applications: BA
NB100-56605
Species: Av, Bv, Sh
Applications: WB
NBP1-84854
Species: Hu, Mu, Rt
Applications: ICC/IF, IHC,  IHC-P, KD, WB
AF2009
Species: Hu
Applications: ICC, IHC

Publications for Hexosaminidase A/HEXA Antibody (NBP2-30997) (0)

There are no publications for Hexosaminidase A/HEXA Antibody (NBP2-30997).
By submitting your publication information earn gift cards and discounts for future purchases.

Reviews for Hexosaminidase A/HEXA Antibody (NBP2-30997) (0)

There are no reviews for Hexosaminidase A/HEXA Antibody (NBP2-30997). By submitting a review you will receive an Amazon e-Gift Card or Novus Product Discount.
  • Review with no image -- $10/€7/£6/$10 CAD/¥70 Yuan/¥1110 Yen
  • Review with an image -- $25/€18/£15/$25 CAD/¥150 Yuan/¥2500 Yen

Product General Protocols

Find general support by application which include: protocols, troubleshooting, illustrated assays, videos and webinars.

Video Protocols

WB Video Protocol

FAQs for Hexosaminidase A/HEXA Antibody (NBP2-30997) (0)

There are no specific FAQs related to this product. Read our general customer & technical service FAQs.

Secondary Antibodies

 

Isotype Controls

Additional Hexosaminidase A/HEXA Products

Research Areas for Hexosaminidase A/HEXA Antibody (NBP2-30997)

Find related products by research area.

Blogs on Hexosaminidase A/HEXA

There are no specific blogs for Hexosaminidase A/HEXA, but you can read our latest blog posts.

Contact Information

Product PDFs

Calculators

Concentration Calculator

The concentration calculator allows you to quickly calculate the volume, mass or concentration of your vial. Simply enter your mass, volume, or concentration values for your reagent and the calculator will determine the rest.

=
÷

Review this Product

Be the first to review our Hexosaminidase A/HEXA Antibody and receive a gift card or discount.

Bioinformatics

Gene Symbol HEXA
Uniprot