HDAC3 Antibody (SC55-02)

Images

 
Western Blot: HDAC3 Antibody (SC55-02) [NBP2-67592] - Western blot analysis of HDAC3 on different lysates. Proteins were transferred to a PVDF membrane and blocked with 5% BSA in PBS for 1 hour at room temperature. The ...read more
Immunocytochemistry/ Immunofluorescence: HDAC3 Antibody (SC55-02) [NBP2-67592] - Staining HDAC3 in NIH/3T3 cells (green). The nuclear counter stain is DAPI (blue). Cells were fixed in paraformaldehyde, permeabilised ...read more
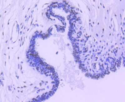
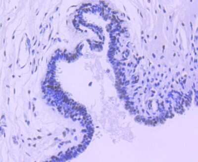
Immunohistochemistry-Paraffin: HDAC3 Antibody (SC55-02) [NBP2-67592] - Analysis of paraffin-embedded mouse skin tissue using anti-HDAC3 antibody. Counter stained with hematoxylin.
Western Blot: HDAC3 Antibody (SC55-02) [NBP2-67592] - Analysis of HDAC3 on NIH/3T3 cell lysates using anti-HDAC3 antibody at 1/1,000 dilution.
Immunocytochemistry/ Immunofluorescence: HDAC3 Antibody (SC55-02) [NBP2-67592] - Staining HDAC3 in Hela cells (green). The nuclear counter stain is DAPI (blue). Cells were fixed in paraformaldehyde, permeabilised with ...read more
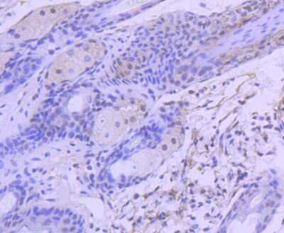
Immunohistochemistry-Paraffin: HDAC3 Antibody (SC55-02) [NBP2-67592] - Analysis of paraffin-embedded human breast carcinoma tissue using anti-HDAC3 antibody. Counter stained with hematoxylin.
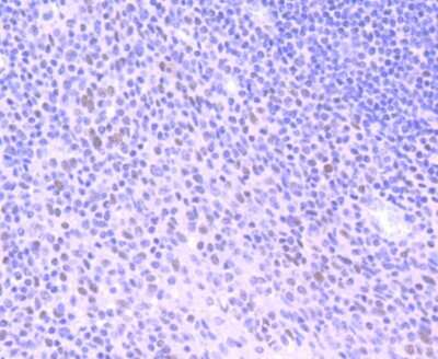
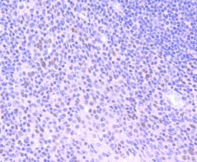
Immunohistochemistry-Paraffin: HDAC3 Antibody (SC55-02) [NBP2-67592] - Analysis of paraffin-embedded human tonsil tissue using anti-HDAC3 antibody. Counter stained with hematoxylin.

Product Details

Summary
Product Discontinued
View other related HDAC3 Primary Antibodies

Order Details


    • Catalog Number
      NBP2-67592
    • Availability
      Product Discontinued

    Can't find what you are looking for? Use our Antibody Concierge Service & we will help you locate your antibody!

    Or feel free to contact us for alternative products.

HDAC3 Antibody (SC55-02) Summary

Additional Information
Recombinant Monoclonal Antibody.
Immunogen
Synthetic peptide within C-terminal human HDAC3. (SwissProt: O15379 Human; SwissProt: O88895 Mouse; SwissProt: Q6P6W3 Rat)
Localization
Cytoplasm, Nucleus.
Isotype
IgG
Clonality
Monoclonal
Host
Rabbit
Gene
HDAC3
Purity
Protein A purified
Innovator's Reward
Test in a species/application not listed above to receive a full credit towards a future purchase.

Applications/Dilutions

Dilutions
  • Immunocytochemistry/ Immunofluorescence 1:50
  • Immunohistochemistry
  • Immunohistochemistry-Paraffin 1:50-1:200
  • Immunoprecipitation
  • Western Blot 1:1000-1:5000

Packaging, Storage & Formulations

Storage
Store at 4C short term. Aliquot and store at -20C long term. Avoid freeze-thaw cycles.
Buffer
TBS (pH7.4), 0.05% BSA, 40% Glycerol
Preservative
0.05% Sodium Azide
Concentration
1 mg/ml
Purity
Protein A purified

Alternate Names for HDAC3 Antibody (SC55-02)

  • EC 3.5.1.98
  • HD3RPD3-2RPD3
  • HDAC3
  • Histone Deacetylase 3
  • KDAC3
  • RPD3-2
  • SMAP45

Background

Histones play a critical role in transcriptional regulation, cell cycle progression, and developmental events. Histone cetylation/deacetylation alters chromosome structure and affects transcription factor access to DNA. The protein encoded by this gene belongs to the histone acetylase/acuc/apha family. It has histone deacetylase activity and represses transcription when tethered to a promoter. It may participate in the regulation of transcription through its binding with the zinc-finger transcription factor YY1. This protein can also down-regulate p53 function and thus modulate cell growth and apoptosis. This gene is regarded as a potential tumor suppressor gene.

Limitations

This product is for research use only and is not approved for use in humans or in clinical diagnosis. Primary Antibodies are guaranteed for 1 year from date of receipt.

Customers Who Viewed This Item Also Viewed...

NB100-56340
Species: Hu, Mu, Rt
Applications: IHC, IHC-Fr,  IHC-P, KO, Simple Western, WB
NBP2-03993
Species: Bv, Ca, Hu, Mu, Pm
Applications: WB
NBP1-28863
Species: Hu
Applications: ELISA, ICC/IF, IHC,  IHC-P, WB
NBP1-87109
Species: Hu, Mu
Applications: ICC/IF, IHC,  IHC-P, KD, WB
NB120-5802
Species: Hu, Mu
Applications: ChIP, ICC/IF, IHC,  IHC-P, IP, Simple Western, WB
NBP2-07996
Species: Hu
Applications: WB
NBP2-52486
Species: Hu
Applications: CyTOF-ready, ELISA, Flow, ICC/IF, IHC,  IHC-P, WB
NB500-171
Species: Hu, I, Mu, Rt, Xp, Ye
Applications: ChIP, IB, ICC/IF, IHC,  IHC-P, Single-Cell Western, WB
NB100-56583
Species: Hu, Rb, Rt
Applications: Flow, IHC,  IHC-P, KO, Simple Western, WB
NB100-616
Species: Hu, Mu, Md, Pm, Rt
Applications: ChIP, EM, Flow-IC, Flow, ICC/IF, IP, In vitro, KD, WB
NBP2-22151
Species: Hu, Mu, Pm, Rt
Applications: ICC/IF, IHC,  IHC-P, Simple Western, WB
H00007001-M01
Species: Hu
Applications: ELISA, ICC/IF, IHC,  IHC-P, KD, WB
NBP3-46113
Species: Hu, Mu, Rt
Applications: ELISA, IHC, IP, , WB
NBL1-11570
Species: Hu
Applications: WB
H00008365-M01
Species: Hu
Applications: ELISA, ICC/IF, S-ELISA
NBL1-11567
Species: Hu
Applications: WB
AF5215
Species: Hu, Mu
Applications: ICC, WB
NBP2-67592
Species: Hu, Mu, Rt
Applications: WB, ICC/IF, IHC, IP

Publications for HDAC3 Antibody (NBP2-67592) (0)

There are no publications for HDAC3 Antibody (NBP2-67592).
By submitting your publication information earn gift cards and discounts for future purchases.

Reviews for HDAC3 Antibody (NBP2-67592) (0)

There are no reviews for HDAC3 Antibody (NBP2-67592). By submitting a review you will receive an Amazon e-Gift Card or Novus Product Discount.
  • Review with no image -- $10/€7/£6/$10 CAD/¥70 Yuan/¥1110 Yen
  • Review with an image -- $25/€18/£15/$25 CAD/¥150 Yuan/¥2500 Yen

Product General Protocols

Find general support by application which include: protocols, troubleshooting, illustrated assays, videos and webinars.

Video Protocols

WB Video Protocol
ICC/IF Video Protocol

FAQs for HDAC3 Antibody (NBP2-67592) (0)

There are no specific FAQs related to this product. Read our general customer & technical service FAQs.

Secondary Antibodies

 

Isotype Controls

Additional HDAC3 Products

Research Areas for HDAC3 Antibody (NBP2-67592)

Find related products by research area.

Blogs on HDAC3

There are no specific blogs for HDAC3, but you can read our latest blog posts.

Contact Information

Product PDFs

Calculators

Concentration Calculator

The concentration calculator allows you to quickly calculate the volume, mass or concentration of your vial. Simply enter your mass, volume, or concentration values for your reagent and the calculator will determine the rest.

=
÷

Review this Product

Be the first to review our HDAC3 Antibody (SC55-02) and receive a gift card or discount.

Bioinformatics

Gene Symbol HDAC3