HCP1 Antibody

Images

 
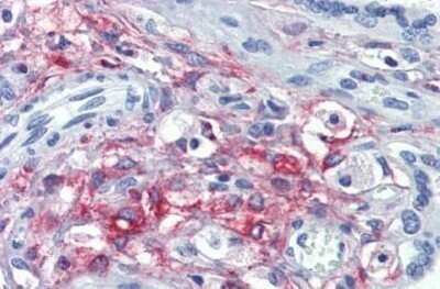
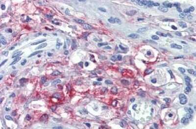
Immunohistochemistry-Paraffin: HCP1 Antibody [NBP1-52548] - Analysis of anti-SLC46A1 / HCP1 antibody with human placenta at concentration 3.75 ug/ml.

Product Details

Summary
Product Discontinued
View other related HCP1 Primary Antibodies

Order Details


    • Catalog Number
      NBP1-52548
    • Availability
      Product Discontinued

    Can't find what you are looking for? Use our Antibody Concierge Service & we will help you locate your antibody!

    Or feel free to contact us for alternative products.

HCP1 Antibody Summary

Immunogen
Synthetic peptide YNGTRQRGGCSNRS from an internal region of human SLC46A1 / HCP1 (NP_542400.2).
Specificity
Human SLC46A1 / HCP1.
Predicted Species
Monkey (100%), Primate (93%). Backed by our 100% Guarantee.
Isotype
IgG
Clonality
Polyclonal
Host
Goat
Gene
SLC46A1
Purity
Immunogen affinity purified
Innovator's Reward
Test in a species/application not listed above to receive a full credit towards a future purchase.

Applications/Dilutions

Dilutions
  • Immunohistochemistry
  • Immunohistochemistry-Paraffin 3.75 ug/ml

Reactivity Notes

Predicted cross-reactivity based on sequence identity: Gorilla (100%), Gibbon (100%), Marmoset (93%).

Packaging, Storage & Formulations

Storage
Store at -20C. Avoid freeze-thaw cycles.
Buffer
TBS (pH 7.3) and 0.5% BSA
Preservative
0.02% Sodium Azide
Concentration
0.5 mg/ml
Purity
Immunogen affinity purified

Alternate Names for HCP1 Antibody

  • FLJ39875
  • G21
  • HCP1PCFT/HCP1
  • Heme carrier protein 1
  • MGC9564
  • PCFTsolute carrier family 46, member 1
  • proton-coupled folate transporter
  • solute carrier family 46 (folate transporter), member 1
  • Solute carrier family 46 member 1

Background

The HCP1 gene encodes a transmembrane proton-coupled folate transporter protein that facilitates the movement of folate andantifolate substrates across cell membranes optimally in acidic pH environments. This protein is also expressed in thebrain and choroid

Limitations

This product is for research use only and is not approved for use in humans or in clinical diagnosis. Primary Antibodies are guaranteed for 1 year from date of receipt.

Customers Who Viewed This Item Also Viewed...

NBP1-59904
Species: Hu
Applications: IHC,  IHC-P, WB
AF6457
Species: Hu
Applications: WB
MAB5646
Species: Hu
Applications: CyTOF-ready, ELISA(Cap), ELISA(Det), ELISA(Sta), Flow, ICC, KO, WB
NB100-791
Species: Hu, Mu
Applications: IHC,  IHC-P, PEP-ELISA, WB
NBP3-17040
Species: Hu
Applications: IHC,  IHC-P, WB
NBP2-49409
Species: Hu
Applications: IHC,  IHC-P
NBP1-83435
Species: Hu
Applications: ICC/IF, IHC,  IHC-P, WB
NB100-1481
Species: Hu
Applications: PEP-ELISA, WB
NBP1-97507
Species: Bv, Ca, Hu, Mu, Rt
Applications: Flow, ICC/IF, IHC,  IHC-P, Simple Western, WB
NBP1-87741
Species: Hu
Applications: ICC/IF, IHC,  IHC-P, WB
NBP1-90927
Species: Hu
Applications: IHC,  IHC-P, WB
NBP2-22124
Species: Hu, Mu, Pm
Applications: ELISA, Flow, ICC/IF, IHC,  IHC-P, WB
NBP1-81208
Species: Hu
Applications: IHC,  IHC-P, WB
NBP2-59438
Species: Hu
Applications: ELISA, ICC/IF, WB
MAB7724
Species: Hu
Applications: ICC, WB
H00004891-M01
Species: Bv, Hu, Mu, Po
Applications: ELISA, ICC/IF, IHC,  IHC-P, IP, WB
H00001719-M01
Species: Hu, Mu, Rt, Ye
Applications: ELISA, ICC/IF, S-ELISA, WB
NBP1-83276
Species: Hu, Rt
Applications: ICC/IF, IHC,  IHC-P, WB
NBP3-25721
Species: Ca, Fe, Hu, Mu, Rt
Applications: ICC/IF, IHC,  IHC-P, WB
NBP1-45057
Species: Ca, Hu, Mu, Po, Rt
Applications: ICC/IF, IHC,  IHC-P, WB

Publications for HCP1 Antibody (NBP1-52548) (0)

There are no publications for HCP1 Antibody (NBP1-52548).
By submitting your publication information earn gift cards and discounts for future purchases.

Reviews for HCP1 Antibody (NBP1-52548) (0)

There are no reviews for HCP1 Antibody (NBP1-52548). By submitting a review you will receive an Amazon e-Gift Card or Novus Product Discount.
  • Review with no image -- $10/€7/£6/$10 CAD/¥70 Yuan/¥1110 Yen
  • Review with an image -- $25/€18/£15/$25 CAD/¥150 Yuan/¥2500 Yen

Product General Protocols

Find general support by application which include: protocols, troubleshooting, illustrated assays, videos and webinars.

FAQs for HCP1 Antibody (NBP1-52548) (0)

There are no specific FAQs related to this product. Read our general customer & technical service FAQs.

Contact Information

Product PDFs

Calculators

Concentration Calculator

The concentration calculator allows you to quickly calculate the volume, mass or concentration of your vial. Simply enter your mass, volume, or concentration values for your reagent and the calculator will determine the rest.

=
÷

Review this Product

Be the first to review our HCP1 Antibody and receive a gift card or discount.

Bioinformatics

Gene Symbol SLC46A1
Entrez
Uniprot