HCG3 Antibody - BSA Free

Images

 
Western Blot: HCG3 Antibody - BSA Free [NBP3-47991] - Mouse testis tissue were subjected to SDS PAGE followed by western blot with (HCG3 antibody) at dilution of 1:800
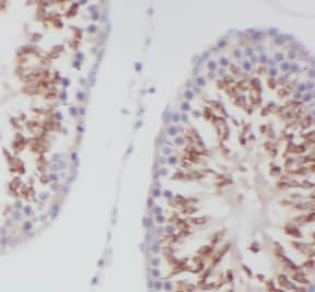
Immunohistochemistry: HCG3 Antibody - BSA Free [NBP3-47991] - Immunohistochemistry of paraffin-embedded human testis using (HCG3 antibody) at dilution of 1:100

Product Details

Summary
Reactivity Hu, Mu, RtSpecies Glossary
Applications WB, ELISA, IHC
Clonality
Polyclonal
Host
Rabbit
Conjugate
Unconjugated
Format
BSA Free

Order Details

HCG3 Antibody - BSA Free Summary

Description
Novus Biologicals Rabbit HCG3 Antibody - BSA Free (NBP3-47991) is a polyclonal antibody validated for use in IHC, WB and ELISA. All Novus Biologicals antibodies are covered by our 100% guarantee.
Immunogen
DnaJ(Hsp40) homolog, subfamily B, member 3. (Uniprot# Q8WWF6)
Isotype
IgG
Clonality
Polyclonal
Host
Rabbit
Gene
DNAJB3
Purity
Immunogen affinity purified
Innovator's Reward
Test in a species/application not listed above to receive a full credit towards a future purchase.

Applications/Dilutions

Dilutions
  • ELISA
  • Immunohistochemistry 1:20-1:200
  • Western Blot 1:1000-1:4000
Theoretical MW
28 kDa.
Disclaimer note: The observed molecular weight of the protein may vary from the listed predicted molecular weight due to post translational modifications, post translation cleavages, relative charges, and other experimental factors.

Packaging, Storage & Formulations

Storage
Store at -20C. Avoid freeze-thaw cycles.
Buffer
PBS, 50% Glycerol, pH (7.3)
Preservative
0.02% Sodium Azide
Purity
Immunogen affinity purified

Alternate Names for HCG3 Antibody - BSA Free

  • DnaJ (Hsp40) homolog, subfamily B, member 3
  • dnaJ homolog subfamily B member 3
  • HCG3MGC26879

Background

HCG3 may operate as a co-chaperone of the male germ cell- and haploid stage-specific Hsp70 proteins (Potential)

Limitations

This product is for research use only and is not approved for use in humans or in clinical diagnosis. Primary Antibodies are guaranteed for 1 year from date of receipt.

Customers Who Viewed This Item Also Viewed...

H00010049-M01
Species: Hu
Applications: ELISA, ICC/IF (-), IHC, WB
NBP2-02996
Species: Ca, Hu, Pm, Mu, Rt
Applications: Flow, ICC/IF, IHC,  IHC-P, WB
NBP2-03433
Species: Ca, Hu, Mu, Rt
Applications: Flow, ICC/IF, IHC,  IHC-P, WB
294-HG
Species: Hu
Applications: BA
NBP1-81696
Species: Hu, Mu, Rt
Applications: ICC/IF, IHC,  IHC-P, WB
NBP1-86185
Species: Hu, Mu, Rt
Applications: IHC,  IHC-P, KD, WB
H00003304-M02
Species: Bv, Hu, Mu, Po, Rt
Applications: DB, ELISA, ICC/IF, IHC,  IHC-P, PLA, WB
NBP1-86037
Species: Hu
Applications: ICC/IF, IHC,  IHC-P, WB
NBP2-16686
Species: Hu
Applications: ICC/IF, IHC,  IHC-P, KO, WB
NBP2-33466
Species: Hu
Applications: ICC/IF, IHC,  IHC-P, WB
NBP2-49118
Species: Hu
Applications: IHC,  IHC-P
NB110-68800
Species: Hu, Mu, Pm
Applications: ICC/IF, WB
NBP3-05039
Species: Hu, Mu, Rt
Applications: ELISA, WB
NBP2-93973
Species: Hu, Mu, Rt
Applications: IHC,  IHC-P, WB
NBP1-88795
Species: Hu
Applications: IHC,  IHC-P, WB
NBP3-47991
Species: Hu, Mu, Rt
Applications: WB, ELISA, IHC

Publications for HCG3 Antibody (NBP3-47991) (0)

There are no publications for HCG3 Antibody (NBP3-47991).
By submitting your publication information earn gift cards and discounts for future purchases.

Reviews for HCG3 Antibody (NBP3-47991) (0)

There are no reviews for HCG3 Antibody (NBP3-47991). By submitting a review you will receive an Amazon e-Gift Card or Novus Product Discount.
  • Review with no image -- $10/€7/£6/$10 CAD/¥70 Yuan/¥1110 Yen
  • Review with an image -- $25/€18/£15/$25 CAD/¥150 Yuan/¥2500 Yen

Product General Protocols

Find general support by application which include: protocols, troubleshooting, illustrated assays, videos and webinars.

Video Protocols

WB Video Protocol

FAQs for HCG3 Antibody (NBP3-47991) (0)

There are no specific FAQs related to this product. Read our general customer & technical service FAQs.

Customers Who Bought This Also Bought

Contact Information

Product PDFs

Calculators

Concentration Calculator

The concentration calculator allows you to quickly calculate the volume, mass or concentration of your vial. Simply enter your mass, volume, or concentration values for your reagent and the calculator will determine the rest.

=
÷

Review this Product

Be the first to review our HCG3 Antibody - BSA Free and receive a gift card or discount.

Bioinformatics

Gene Symbol DNAJB3