GPD1L Antibody

Images

 
Western Blot: GPD1L Antibody [NBP1-32279] - Various whole cell extracts (30 ug) were separated by 10% SDS-PAGE, and the membrane was blotted with GPD1 antibody diluted at 1:1000. The HRP-conjugated anti-rabbit IgG ...read more
Immunocytochemistry/ Immunofluorescence: GPD1L Antibody [NBP1-32279] - Sample: HeLa cells were fixed in 4% paraformaldehyde at RT for 15 min. Green: GPD1 protein stained by GPD1 antibody diluted at 1:500. Blue: Hoechst ...read more
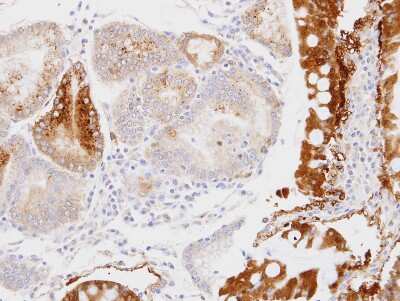
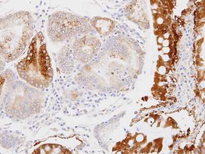
Immunohistochemistry-Paraffin: GPD1L Antibody [NBP1-32279] - Human stomach , using GPD1 antibody at 1:100 dilution. Antigen Retrieval: Trilogy™ (EDTA based, pH 8.0) buffer, 15min.
Western Blot: GPD1L Antibody [NBP1-32279] - Sample (50 ug of whole cell lysate) A: Mouse brain 10% SDS PAGE; antibody diluted at 1:1000.

Product Details

Summary
Product Discontinued
View other related GPD1L Primary Antibodies

Order Details


    • Catalog Number
      NBP1-32279
    • Availability
      Product Discontinued

    Can't find what you are looking for? Use our Antibody Concierge Service & we will help you locate your antibody!

    Or feel free to contact us for alternative products.

GPD1L Antibody Summary

Immunogen
Recombinant protein encompassing a sequence within the center region of human GPD1. The exact sequence is proprietary.
Localization
Cytoplasm
Isotype
IgG
Clonality
Polyclonal
Host
Rabbit
Gene
GPD1L
Purity
Immunogen affinity purified
Innovator's Reward
Test in a species/application not listed above to receive a full credit towards a future purchase.

Applications/Dilutions

Dilutions
  • Immunocytochemistry/ Immunofluorescence 1:100-1:1000
  • Immunohistochemistry 1:100-1:1000
  • Immunohistochemistry-Paraffin 1:100-1:1000
  • Western Blot 1:500-1:3000
Theoretical MW
38 kDa.
Disclaimer note: The observed molecular weight of the protein may vary from the listed predicted molecular weight due to post translational modifications, post translation cleavages, relative charges, and other experimental factors.
Publications
Read Publication using NBP1-32279.

Packaging, Storage & Formulations

Storage
Aliquot and store at -20C or -80C. Avoid freeze-thaw cycles.
Buffer
PBS (pH 7), 20% Glycerol
Preservative
0.025% Proclin 300
Purity
Immunogen affinity purified

Alternate Names for GPD1L Antibody

  • EC 1.1.1
  • EC 1.1.1.8
  • glycerol-3-phosphate dehydrogenase 1-like protein
  • glycerol-3-phosphate dehydrogenase 1-like
  • GPD 1L
  • GPD1L
  • KIAA0089
  • KIAA0089GPD1-L

Background

GPD1L plays a role in regulating cardiac sodium current; decreased enzymatic activity with resulting increased levels of glycerol 3-phosphate activating the DPD1L-dependent SCN5A phosphorylation pathway, may ultimately lead to decreased sodium current; cardiac sodium current may also be reduced due to alterations of NAD(H) balance induced by DPD1L

Limitations

This product is for research use only and is not approved for use in humans or in clinical diagnosis. Primary Antibodies are guaranteed for 1 year from date of receipt.

Customers Who Viewed This Item Also Viewed...

NB110-61010
Species: Hu
Applications: CyTOF-ready, Flow, ICC/IF, IHC, IP, RIA, WB
NB100-594
Species: Hu, Mu
Applications: IHC,  IHC-P, IP, WB
NBP2-59318
Species: Hu, Mu, Rt
Applications: ICC/IF, Simple Western, WB
NBP2-94559
Species: Hu, Mu, Rt
Applications: WB
NBP3-25488
Species: Hu, Mu, Rt
Applications: IHC,  IHC-P, WB
NBP2-22106
Species: Hu, Mu, Rt
Applications: IHC,  IHC-P, IP, WB
NB600-582
Species: Ca, Ch, SyHa, Ha, Hu, Pm, Mu, Rt
Applications: IHC-Fr, KO, Simple Western, WB
AF640
Species: Mu
Applications: IHC, WB
NBP1-49885
Species: Bv, Ca, Hu, Mu, Rt
Applications: IHC,  IHC-P, PEP-ELISA, WB
NBP1-89166
Species: Hu
Applications: ICC/IF, IHC,  IHC-P, WB
NBP2-33903
Species: Hu
Applications: IHC,  IHC-P
NBP1-22439
Species: Ha, Hu, Mu, Rb, Rt
Applications: ICC/IF, IHC,  IHC-P, IP, MiAr, WB
NBP1-62583
Species: Hu
Applications: WB
AF7197
Species: Hu, Mu
Applications: ICC, IHC, WB
AF1443
Species: Mu, Rt
Applications: ICC, IHC, Simple Western, WB
NB110-5029
Species: Hu, Mu, Rt
Applications: Flow, ICC/IF, IHC,  IHC-P, IP, WB
7625
Species: Mu
Applications: ELISA
NBP2-38151
Species: Hu
Applications: ICC/IF, IHC,  IHC-P, WB
⚠ WARNING: This product can expose you to chemicals including mercury, which is known to the State of California to cause reproductive toxicity with developmental effects.  For more information go to www.P65Warnings.ca.gov.

Publications for GPD1L Antibody (NBP1-32279)(1)

We have publications tested in 1 confirmed species: Human.


Filter By Application
All Applications
Filter By Species
Human
(1)
All Species

Reviews for GPD1L Antibody (NBP1-32279) (0)

There are no reviews for GPD1L Antibody (NBP1-32279). By submitting a review you will receive an Amazon e-Gift Card or Novus Product Discount.
  • Review with no image -- $10/€7/£6/$10 CAD/¥70 Yuan/¥1110 Yen
  • Review with an image -- $25/€18/£15/$25 CAD/¥150 Yuan/¥2500 Yen

Product General Protocols

Find general support by application which include: protocols, troubleshooting, illustrated assays, videos and webinars.

Video Protocols

WB Video Protocol
ICC/IF Video Protocol

FAQs for GPD1L Antibody (NBP1-32279) (0)

There are no specific FAQs related to this product. Read our general customer & technical service FAQs.

Secondary Antibodies

 

Isotype Controls

Additional GPD1L Products

Research Areas for GPD1L Antibody (NBP1-32279)

Find related products by research area.

Blogs on GPD1L

There are no specific blogs for GPD1L, but you can read our latest blog posts.

Contact Information

Product PDFs

Calculators

Concentration Calculator

The concentration calculator allows you to quickly calculate the volume, mass or concentration of your vial. Simply enter your mass, volume, or concentration values for your reagent and the calculator will determine the rest.

=
÷

Review this Product

Be the first to review our GPD1L Antibody and receive a gift card or discount.

Bioinformatics

Gene Symbol GPD1L