GnRHR Antibody (HL2638)

Images

 
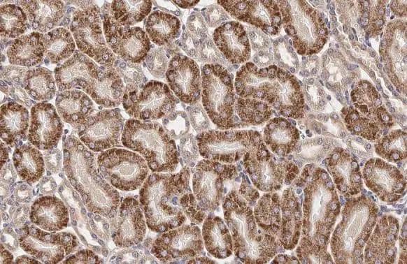
GnRHR antibody [HL2638] detects GnRHR protein by immunohistochemical analysis.Sample: Paraffin-embedded mouse kidney.GnRHR stained by GnRHR antibody [HL2638] (NBP3-48712) diluted at 1:100.Antigen Retrieval: Citrate ...read more
Orthogonal Strategies: Boiled and unboiled PC-3 whole cell and membrane extracts (30 ug) were separated by 10% SDS-PAGE, and the membrane was blotted with GnRHR antibody [HL2638] (NBP3-48712) diluted at 1:1000. ...read more
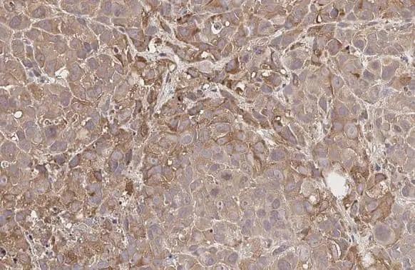
GnRHR antibody [HL2638] detects GnRHR protein at cell membrane by immunohistochemical analysis.Sample: Paraffin-embedded human PC-3 xenograft.GnRHR stained by GnRHR antibody [HL2638] (NBP3-48712) diluted at ...read more
Independent Antibodies: GnRHR antibody [HL2638] detects GnRHR protein at cell membrane by immunohistochemical analysis.Sample: Paraffin-embedded PC-3 xenograft.GnRHR stained by GnRHR antibody [HL2638] ...read more
Genetic Strategies: Non-transfected (-) and transfected (+) unboiled PC-3 whole cell extracts (30 ug) were separated by 10% SDS-PAGE, and the membrane was blotted with GnRHR antibody [HL2638] (NBP3-48712) diluted ...read more
Non-transfected (-) and transfected (+) boiled and unboiled 293T whole cell extracts (30 ug) were separated by 10% SDS-PAGE, and the membrane was blotted with GnRHR antibody [HL2638] (NBP3-48712) diluted at 1:5000. The ...read more

Product Details

Summary
Reactivity Hu, MuSpecies Glossary
Applications WB, IHC
Clone
HL2638
Clonality
Monoclonal
Host
Rabbit
Conjugate
Unconjugated

Order Details

GnRHR Antibody (HL2638) Summary

Description
Novus Biologicals Rabbit GnRHR Antibody (HL2638) (NBP3-48712) is a recombinant monoclonal antibody validated for use in IHC and WB. All Novus Biologicals antibodies are covered by our 100% guarantee.
Additional Information
Recombinant Monoclonal Antibody
Immunogen
Synthetic peptide encompassing a sequence within the Extracellular domain of human GnRHR. The exact sequence is proprietary.
Isotype
IgG
Clonality
Monoclonal
Host
Rabbit
Gene
GNRHR
Purity
Protein A purified
Innovator's Reward
Test in a species/application not listed above to receive a full credit towards a future purchase.

Applications/Dilutions

Dilutions
  • Immunohistochemistry
  • Immunohistochemistry-Paraffin
  • Western Blot 1:500-1:10000

Packaging, Storage & Formulations

Storage
Store at 4C short term. Aliquot and store at -20C long term. Avoid freeze-thaw cycles.
Buffer
PBS
Preservative
No Preservative
Purity
Protein A purified

Alternate Names for GnRHR Antibody (HL2638)

  • GnRH receptor
  • GnRHR
  • GnRH-R
  • GNRHR1
  • gonadotropin-releasing hormone (type 1) receptor 1
  • gonadotropin-releasing hormone receptor
  • GRHR
  • HH7
  • leutinizing-releasing hormone receptor
  • LHRHR
  • LHRHRleutinizing hormone releasing horomone receptor
  • LRHR
  • luliberin receptor
  • Luliberin
  • type I GnRH receptor

Background

GnRHR encodes the receptor for type 1 gonadotropin-releasing hormone. This receptor is a member of the seven-transmembrane, G-protein coupled receptor (GPCR) family. It is expressed on the surface of pituitary gonadotrope cells as well as lymphocytes, breast, ovary, and prostate. Following binding of gonadotropin-releasing hormone, the receptor associates with G-proteins that activate a phosphatidylinositol-calcium second messenger system. Activation of the receptor ultimately causes the release of gonadotropic luteinizing hormone (LH) and follicle stimulating hormone (FSH). Defects in this gene are a cause of hypogonadotropic hypogonadism (HH). Alternative splicing results in multiple transcript variants encoding different isoforms. More than 18 transcription initiation sites in the 5' region and multiple polyA signals in the 3' region have been identified for this gene.

Limitations

This product is for research use only and is not approved for use in humans or in clinical diagnosis. Primary Antibodies are guaranteed for 1 year from date of receipt.

Customers Who Viewed This Item Also Viewed...

NBP2-38770
Species: Hu, Mu
Applications:  IHC-P, WB
NBP1-30475
Species: Hu, Mu
Applications: IHC,  IHC-P, IP, WB
NBP2-88921
Species: Hu
Applications: ICC/IF, IHC,  IHC-P, WB
MAB8930
Species: Hu
Applications: ICC, Simple Western, WB
NBP3-38172
Species: Hu, Mu, Rt
Applications: ELISA, ICC/IF, WB
NBP2-50037
Species: Hu, Mu, Rt
Applications: ICC/IF, IHC, KO, WB
NBP1-86515
Species: Hu
Applications: IHC,  IHC-P, WB
AF1445
Species: Mu, Rt
Applications: ELISA(Cap), ELISA(Det), ELISA(Sta), IHC, Neut, Simple Western, WB
NBP3-38024
Species: Hu, Mu, Rt
Applications: ELISA, ICC/IF, IHC,  IHC-P, WB
AF1230
Species: Hu, Mu, Rt
Applications: IHC, KO, WB
NBP2-22203
Species: Hu, Pm, Mu, Rt
Applications: ELISA, Flow, ICC/IF, IHC,  IHC-P, WB
NBP2-82026
Species: Hu, Mu, Rt
Applications: ELISA, ICC/IF, IHC,  IHC-P, WB
MAB8458
Species: Hu
Applications: CyTOF-ready, Flow, ICC
MAB194
Species: Hu, Mu
Applications: CyTOF-ready, Flow, ICC, WB
NLS2576
Species: Hu, Pm, Rt
Applications: IHC,  IHC-P
NLS418
Species: Hu
Applications: IHC,  IHC-P

Publications for GnRHR Antibody (NBP3-48712) (0)

There are no publications for GnRHR Antibody (NBP3-48712).
By submitting your publication information earn gift cards and discounts for future purchases.

Reviews for GnRHR Antibody (NBP3-48712) (0)

There are no reviews for GnRHR Antibody (NBP3-48712). By submitting a review you will receive an Amazon e-Gift Card or Novus Product Discount.
  • Review with no image -- $10/€7/£6/$10 CAD/¥70 Yuan/¥1110 Yen
  • Review with an image -- $25/€18/£15/$25 CAD/¥150 Yuan/¥2500 Yen

Product General Protocols

Find general support by application which include: protocols, troubleshooting, illustrated assays, videos and webinars.

Video Protocols

WB Video Protocol

FAQs for GnRHR Antibody (NBP3-48712) (0)

There are no specific FAQs related to this product. Read our general customer & technical service FAQs.

Secondary Antibodies

 

Isotype Controls

Additional GnRHR Products

Research Areas for GnRHR Antibody (NBP3-48712)

Find related products by research area.

Blogs on GnRHR

There are no specific blogs for GnRHR, but you can read our latest blog posts.

Customers Who Bought This Also Bought

Contact Information

Product PDFs

Calculators

Concentration Calculator

The concentration calculator allows you to quickly calculate the volume, mass or concentration of your vial. Simply enter your mass, volume, or concentration values for your reagent and the calculator will determine the rest.

=
÷

Review this Product

Be the first to review our GnRHR Antibody (HL2638) and receive a gift card or discount.

Bioinformatics

Gene Symbol GNRHR