Glut2 Antibody (JJ20-21)

Images

 
Western Blot: Glut2 Antibody (JJ20-21) [NBP2-67860] - Western blot analysis of Glut2 on HepG2 cell lysates. Proteins were transferred to a PVDF membrane and blocked with 5% BSA in PBS for 1 hour at room temperature. The ...read more
Immunohistochemistry-Paraffin: Glut2 Antibody (JJ20-21) [NBP2-67860] - Analysis of paraffin-embedded human pancreas tissue using anti-GLUT2 antibody. Counter stained with hematoxylin.
Flow Cytometry: Glut2 Antibody (JJ20-21) [NBP2-67860] - Analysis of HepG2 cells with GLUT2 antibody at 1/50 dilution (red) compared with an unlabelled control (cells without incubation with primary antibody; black). ...read more
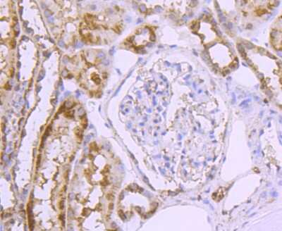
Immunohistochemistry-Paraffin: Glut2 Antibody (JJ20-21) [NBP2-67860] - Analysis of paraffin-embedded human kideny tissue using anti-GLUT2 antibody. Counter stained with hematoxylin.
Immunohistochemistry-Paraffin: Glut2 Antibody (JJ20-21) [NBP2-67860] - Analysis of paraffin-embedded human liver tissue using anti-GLUT2 antibody. Counter stained with hematoxylin.

Product Details

Summary
Product Discontinued
View other related Glut2 Primary Antibodies

Order Details


    • Catalog Number
      NBP2-67860
    • Availability
      Product Discontinued

    Can't find what you are looking for? Use our Antibody Concierge Service & we will help you locate your antibody!

    Or feel free to contact us for alternative products.

Glut2 Antibody (JJ20-21) Summary

Additional Information
Recombinant Monoclonal Antibody.
Immunogen
Synthetic peptide within Human Glut2 aa 35-84 / 524. (SwissProt: P11168 Human)
Localization
Membrane.
Isotype
IgG
Clonality
Monoclonal
Host
Rabbit
Gene
SLC2A2
Purity
Protein A purified
Innovator's Reward
Test in a species/application not listed above to receive a full credit towards a future purchase.

Applications/Dilutions

Dilutions
  • Flow Cytometry 1:50-1:100
  • Immunohistochemistry
  • Immunohistochemistry-Paraffin 1:50-1:200
  • Western Blot 1:500-1:1000

Packaging, Storage & Formulations

Storage
Store at 4C short term. Aliquot and store at -20C long term. Avoid freeze-thaw cycles.
Buffer
TBS (pH7.4), 0.05% BSA, 40% Glycerol
Preservative
0.05% Sodium Azide
Concentration
1 mg/ml
Purity
Protein A purified

Alternate Names for Glut2 Antibody (JJ20-21)

  • GLUT2 Glucose transporter type 2, liver
  • Glut2
  • GLUT-2
  • SLC2A2
  • solute carrier family 2 (facilitated glucose transporter), member 2
  • solute carrier family 2, facilitated glucose transporter member 2

Background

Glucose transporters are integral membrane glycoproteins involved in transporting glucose into most cells. Seven types of glucose transport carrier proteins, designated as Glut 1 to 7, facilitate glucose transport across the cell membrane. Molecular cloning of glucose transporters have identified a family of closely related genes that encode at least 7 proteins exhibiting high degree of amino acid homology (45% to 65%), all in the molecular weight range of 40 to 60 kDa. Individual members of the Glut family have predicted secondary structure characteristic of 12 membrane spanning domains of other transport carriers. The majority of differences in sequence homology in Glut proteins occur at 4 hydrophilic domains that may play a role in distinct tissue specific pattern of expression and targeting. All Glut proteins are glycosylated at or near the C terminus and are present on either cell surface or in intracellular sites. Some transporters exhibit dynamic trafficking between intracellular storage sites and plasma membranes in response to various stimuli. In some tissues Glut proteins are asymmetrically distributed between apical and basolateral membranes as in blood brain barrier and blood testis barriers.

Limitations

This product is for research use only and is not approved for use in humans or in clinical diagnosis. Primary Antibodies are guaranteed for 1 year from date of receipt.

Customers Who Viewed This Item Also Viewed...

MAB1417
Species: Bv, Hu, Mu
Applications: ICC, IHC
NB110-39113
Species: Hu, Mu, Rb, Rt
Applications: ChIP, ChIP, Flow-IC, Flow, ICC/IF, IHC, IHC-Fr,  IHC-P, In vitro, Simple Western, WB
NBP1-47778
Species: Hu, Mu, Rt
Applications: ICC/IF, IHC,  IHC-P, WB
NBP2-20338
Species: Hu, Mu, Rt
Applications: ICC/IF, IHC, IHC-Fr,  IHC-P, WB
NBP1-49533
Species: Hu, Mu, Pl, Rt
Applications: Flow-IC, Flow, ICC/IF, IHC,  IHC-P, KD, WB
AF2419
Species: Hu
Applications: Dual ISH-IHC, ICC, IHC, Simple Western, WB
NBP1-47980
Species: Hu, Pm
Applications: Flow, IHC,  IHC-P, IP, WB
MAB1415
Species: Hu
Applications: CyTOF-ready, Flow, ICC
MAB1249
Species: Hu, Mu
Applications: CyTOF-ready, ICC, ICFlow
NBP1-84079
Species: Hu
Applications: IHC,  IHC-P, WB
NBP2-13390
Species: Hu
Applications: IHC,  IHC-P
NBP2-12793
Species: Hu, Mu
Applications: IHC,  IHC-P, IP, WB
NBP3-15687
Species: Hu, Mu, Rt
Applications: IHC,  IHC-P, WB
NBP1-49672
Species: Hu, Mu, Rt
Applications: ICC/IF, IHC, IHC-Fr,  IHC-P, In vitro, Simple Western, WB
NBP3-44193
Species: Hu
Applications:  IHC-P
NBP2-22106
Species: Hu, Mu, Rt
Applications: IHC,  IHC-P, IP, WB
NBP2-59320
Species: Ha, Hu, Mu, Rt
Applications: ICC/IF, IHC, WB
NBP2-37447
Species: Hu
Applications: CyTOF-ready, ELISA, Flow, ICC/IF, IHC,  IHC-P
MAB6347
Species: Hu
Applications: WB
NBP2-67860
Species: Hu
Applications: WB, Flow, IHC

Publications for Glut2 Antibody (NBP2-67860) (0)

There are no publications for Glut2 Antibody (NBP2-67860).
By submitting your publication information earn gift cards and discounts for future purchases.

Reviews for Glut2 Antibody (NBP2-67860) (0)

There are no reviews for Glut2 Antibody (NBP2-67860). By submitting a review you will receive an Amazon e-Gift Card or Novus Product Discount.
  • Review with no image -- $10/€7/£6/$10 CAD/¥70 Yuan/¥1110 Yen
  • Review with an image -- $25/€18/£15/$25 CAD/¥150 Yuan/¥2500 Yen

Product General Protocols

Find general support by application which include: protocols, troubleshooting, illustrated assays, videos and webinars.

Video Protocols

WB Video Protocol

FAQs for Glut2 Antibody (NBP2-67860) (0)

There are no specific FAQs related to this product. Read our general customer & technical service FAQs.

Secondary Antibodies

 

Isotype Controls

Additional Glut2 Products

Research Areas for Glut2 Antibody (NBP2-67860)

Find related products by research area.

Blogs on Glut2.

Deficiency of GluT1 leads to neurological problems while excess is involved in cancers
By Jamshed Arslan, Pharm. D., PhD. What Are GluTs?Mammalian cell metabolism is incomplete without glucose   . Glucose is a monosaccharide that is transported to the cells through facilitative diffusion, a ...  Read full blog post.

Contact Information

Product PDFs

Calculators

Concentration Calculator

The concentration calculator allows you to quickly calculate the volume, mass or concentration of your vial. Simply enter your mass, volume, or concentration values for your reagent and the calculator will determine the rest.

=
÷

Review this Product

Be the first to review our Glut2 Antibody (JJ20-21) and receive a gift card or discount.

Bioinformatics

Gene Symbol SLC2A2