GDI2 Antibody

Images

 
Western Blot: GDI2 Antibody [NBP1-52317] - Sample(30g whole cell lysate). A: 293T. B: A431. C: H1299. D: HeLa S3. E: Hep G2. 12% SDS PAGE. GDI2 antibody diluted at 1:1000
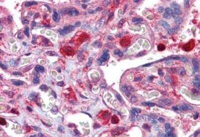
Immunohistochemistry-Paraffin: GDI2 Antibody [NBP1-52317] - Analysis of anti-GDI2 antibody with human placenta at concentration 10 ug/ml.
Immunohistochemistry-Paraffin: GDI2 Antibody [NBP1-52317] - Analysis of anti-GDI2 antibody with human spleen at concentration 10 ug/ml.

Product Details

Summary
Product Discontinued
View other related GDI2 Primary Antibodies

Order Details


    • Catalog Number
      NBP1-52317
    • Availability
      Product Discontinued

    Can't find what you are looking for? Use our Antibody Concierge Service & we will help you locate your antibody!

    Or feel free to contact us for alternative products.

GDI2 Antibody Summary

Immunogen
Recombinant protein fragment containing a sequence corresponding to a region within amino acids 1 and 197 of Human Rho GDI2.
Specificity
Human Rho GDI2.
Predicted Species
Mouse (90%), Bovine (93%). Backed by our 100% Guarantee.
Isotype
IgG
Clonality
Polyclonal
Host
Rabbit
Gene
GDI2
Purity
Immunogen affinity purified
Innovator's Reward
Test in a species/application not listed above to receive a full credit towards a future purchase.

Applications/Dilutions

Dilutions
  • Immunohistochemistry
  • Immunohistochemistry-Paraffin 10 ug/ml
  • Western Blot 1:500-1:3000
Reviewed Applications
Read 1 Review rated 4
using
NBP1-52317 in the following applications:

Reactivity Notes

Rat (89%).

Packaging, Storage & Formulations

Storage
Store at -20C. Avoid freeze-thaw cycles.
Buffer
0.1 M Tris-glycine (pH 7.0), 10% glycerol
Preservative
0.01% Thimerosal
Concentration
1 mg/ml
Purity
Immunogen affinity purified

Alternate Names for GDI2 Antibody

  • beta
  • FLJ16452
  • GDP dissociation inhibitor 2
  • Guanosine diphosphate dissociation inhibitor 2
  • RABGDIBFLJ37352

Background

GDP dissociation inhibitors like GDI2 are proteins that regulate the GDP-GTP exchange reaction of members of the rab family, small GTP-binding proteins of the ras superfamily, that are involved in vesicular trafficking of molecules between cellular organelles. GDIs slow the rate of dissociation of GDP from rab proteins and release GDP from membrane-bound rabs. GDI2 is ubiquitously expressed. The GDI2 gene contains many repetitive elements indicating that it may be prone to inversion/deletion rearrangements.

Limitations

This product is for research use only and is not approved for use in humans or in clinical diagnosis. Primary Antibodies are guaranteed for 1 year from date of receipt.

Customers Who Viewed This Item Also Viewed...

NBP1-31528
Species: Hu, Mu
Applications: IHC,  IHC-P, WB
NB100-56725
Species: Hu, Mu
Applications: Flow-IC, Flow, IHC,  IHC-P, IP, WB
H00002023-M01
Species: Fe, Hu
Applications: ELISA, Flow, Func, ICC/IF, IHC,  IHC-P, IP, WB
NBP1-91991
Species: Hu, Mu, Rt
Applications: ICC/IF, IHC,  IHC-P, WB
NBP2-52979
Species: Hu, Mu
Applications: Flow, ICC/IF, IHC,  IHC-P, WB
NBP2-52575
Species: Hu
Applications: CyTOF-ready, ELISA, Flow, ICC/IF, IHC,  IHC-P, WB
NBP2-37485
Species: Hu, Pm, Mu, Pm
Applications: CyTOF-ready, ELISA, Flow, IHC,  IHC-P, WB
NBP1-49533
Species: Hu, Mu, Pl, Rt
Applications: Flow-IC, Flow, ICC/IF, IHC,  IHC-P, KD, WB
NBP3-46833
Species: Hu, Mu, Rt
Applications: ELISA, IHC, WB
NB120-13253
Species: Bv, Hu, Pm, Mu, Rt
Applications: ICC/IF, IHC-FrFl, IHC,  IHC-P, IP, WB
NBP3-48071
Species: Hu, Mu, Rt
Applications: ELISA, IHC, WB
NBP2-49320
Species: Hu
Applications: ICC/IF, IHC,  IHC-P, WB
NB300-221
Species: Av, Bv, Ca, Ch, ChHa, Dr, Eq, Fe, Ha, Hu, Mu, Ma-Op, Po, Pm, Rb, Rt, Sh, Ze
Applications: ChIP, ICC/IF, IHC, IHC-Fr, IP, KD, Simple Western, Single-Cell Western, WB
NBP2-45499
Species: Hu, Mu, Rt
Applications: IHC,  IHC-P, WB
NBP1-85432
Species: Hu, Mu
Applications: IHC,  IHC-P, mIF
NBP1-30993
Species: Ha, Hu, Mu, Rt
Applications: ICC/IF, IHC,  IHC-P, KD, WB
NBP3-16506
Species: Hu, Mu, Rt
Applications: ICC/IF, IHC,  IHC-P, WB
NBP2-23488
Species: Hu
Applications: ELISA, Flow, ICC/IF (-), IHC,  IHC-P, WB
MAB1417
Species: Bv, Hu, Mu
Applications: ICC, IHC
NBP1-52317
Species: Hu, Mu, Bv
Applications: WB, IHC
⚠ WARNING: This product can expose you to chemicals including mercury, which is known to the State of California to cause reproductive toxicity with developmental effects.  For more information go to www.P65Warnings.ca.gov.

Publications for GDI2 Antibody (NBP1-52317) (0)

There are no publications for GDI2 Antibody (NBP1-52317).
By submitting your publication information earn gift cards and discounts for future purchases.

Review for GDI2 Antibody (NBP1-52317) (1) 41

Average Rating: 4
(Based on 1 review)
We have 1 review tested in 1 species: Mouse.

Reviews using NBP1-52317:
Filter by Applications
 IHC-P
(1)
All Applications
Filter by Species
Mouse
(1)
All Species
Images Ratings Applications Species Date Details
  4
reviewed by:
Elke Hammer
 IHC-P Mouse 08/29/2013
View

Summary

ApplicationImmunohistochemistry-Paraffin
SpeciesMouse

Product General Protocols

Find general support by application which include: protocols, troubleshooting, illustrated assays, videos and webinars.

Video Protocols

WB Video Protocol

FAQs for GDI2 Antibody (NBP1-52317) (0)

There are no specific FAQs related to this product. Read our general customer & technical service FAQs.

Secondary Antibodies

 

Isotype Controls

Additional GDI2 Products

Research Areas for GDI2 Antibody (NBP1-52317)

Find related products by research area.

Blogs on GDI2

There are no specific blogs for GDI2, but you can read our latest blog posts.

Contact Information

Product PDFs

Calculators

Concentration Calculator

The concentration calculator allows you to quickly calculate the volume, mass or concentration of your vial. Simply enter your mass, volume, or concentration values for your reagent and the calculator will determine the rest.

=
÷

Recent Reviews

4
5
0
4
1
3
0
2
0
1
0

 
Elke Hammer
08/29/2013
Application:  IHC-P
Species: Mouse

Bioinformatics

Gene Symbol GDI2
Entrez
Uniprot