GDI1 Antibody

Images

 
Western Blot: GDI1 Antibody [NBP2-99205] - Lane A: NIHT3 Whole Cell LysateLysates/proteins at 30 ug per lane.SecondaryGoat Anti- Rabbit IgG H&L (Dylight 800) at 1/10000 dilution.Developed using the Odyssey ...read more
Immunocytochemistry/ Immunofluorescence: GDI1 Antibody [NBP2-99205] - Immunofluorescence staining of GDI1 in MCF7 cells. Cells were fixed with 4% PFA, permeabilzed with 0.3% Triton X-100 in PBS, blocked with 10% serum, ...read more
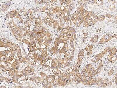
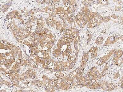
Immunohistochemistry-Paraffin: GDI1 Antibody [NBP2-99205] - Immunochemical staining of human GDI1 in human gastric cancer with rabbit polyclonal antibody (1:2000, formalin-fixed paraffin embedded sections).
Immunoprecipitation: GDI1 Antibody [NBP2-99205] - Lane A:0.5 mg Hela Whole Cell LysateLane B:0.5 mg U87MG Whole Cell Lysate2 uL anti-GDI1 rabbit polyclonal antibody and 15 ul of 50 % Protein G agarose.Primary ...read more

Product Details

Summary
Product Discontinued
View other related GDI1 Primary Antibodies

Order Details


    • Catalog Number
      NBP2-99205
    • Availability
      Product Discontinued

    Can't find what you are looking for? Use our Antibody Concierge Service & we will help you locate your antibody!

    Or feel free to contact us for alternative products.

GDI1 Antibody Summary

Description
This antibody can be stored at 2C to 8C for one month without detectable loss of activity. Antibody products are stable for twelve months from date of receipt when stored at -20C to -80C. Avoid repeated freeze-thaw cycles.
Immunogen
Produced in rabbits immunized with a synthetic peptide corresponding to the N-terminus of the Human GDI1.
Predicted Species
Mouse (100%), Rat (100%), Cynomolgus Monkey (100%). Backed by our 100% Guarantee.
Isotype
IgG
Clonality
Polyclonal
Host
Rabbit
Gene
GDI1
Purity
Antigen and protein A Affinity-purified
Innovator's Reward
Test in a species/application not listed above to receive a full credit towards a future purchase.

Applications/Dilutions

Dilutions
  • Immunocytochemistry/ Immunofluorescence 1:300-1:10000
  • Immunohistochemistry
  • Immunohistochemistry-Paraffin 1:1000-1:5000
  • Immunoprecipitation 4-8 uL/mg of lysate
  • Western Blot 1:500-1:2000

Packaging, Storage & Formulations

Storage
Store at 4C short term. Aliquot and store at -20C long term. Avoid freeze-thaw cycles.
Buffer
0.2 um filtered solution in PBS
Preservative
No Preservative
Purity
Antigen and protein A Affinity-purified

Alternate Names for GDI1 Antibody

  • FLJ41411
  • GDI-1
  • GDIL
  • GDP dissociation inhibitor 1
  • Guanosine diphosphate dissociation inhibitor 1
  • mental retardation, X-linked 41
  • mental retardation, X-linked 48
  • MRX41
  • oligophrenin-2
  • OPHN2MRX48
  • Protein XAP-4
  • Rab GDI alpha
  • rab GDP dissociation inhibitor alpha
  • rab GDP-dissociation inhibitor, alpha
  • RABGDIARABGD1A
  • XAP4
  • XAP-4

Background

GDP dissociation inhibitors are proteins that regulate the GDP-GTP exchange reaction of members of the rab family, small GTP-binding proteins of the ras superfamily, that are involved in vesicular trafficking of molecules between cellular organelles. GDIs slow the rate of dissociation of GDP from rab proteins and release GDP from membrane-bound rabs. GDI1 is expressed primarily in neural and sensory tissues. Mutations in GDI1 have been linked to X-linked nonspecific mental retardation.

Limitations

This product is for research use only and is not approved for use in humans or in clinical diagnosis. Primary Antibodies are guaranteed for 1 year from date of receipt.

Customers Who Viewed This Item Also Viewed...

NBP2-21590
Species: Hu, Mu
Applications: ICC/IF, IHC-Fr, Simple Western, WB
NBP2-80913
Species: Bv(-), Hu, Mu(-), Pm, Rt(-)
Applications: IHC,  IHC-P, WB
NBP1-30027
Species: Hu, Mu, Rt
Applications: ICC/IF, IHC,  IHC-P, WB
NBP3-05546
Species: Bv, Hu, Mu, Rt
Applications: ICC/IF, WB
AF1230
Species: Hu, Mu, Rt
Applications: IHC, KO, WB
DYC1825-2
Species: Hu, Mu, Rt
Applications: ELISA
NBP2-92880
Species: Hu, Mu, Rt
Applications: ICC/IF, IHC,  IHC-P, WB
NBP3-46842
Species: Hu, Mu, Rt
Applications: ELISA, IHC, WB
NBP2-03644
Species: Hu, Mu, Rt
Applications: Flow, ICC/IF, IHC,  IHC-P, WB
NLS12
Species: Bt, Bv, Ca, Eq, Hu, Pm, Po, Pm, Rb, Rt
Applications: IHC,  IHC-P
NB100-56603
Species: Ca, Hu, Mu, Pm, Rt
Applications: IHC,  IHC-P, WB
NBP1-82801
Species: Hu
Applications: IHC,  IHC-P
NBP1-89146
Species: Hu
Applications: ICC/IF, IHC,  IHC-P
NB100-128
Species: Hu, Mu, Rt
Applications: ChIP, GS, ICC/IF, IHC,  IHC-P, WB
AF009
Species: Hu
Applications: IHC, WB
DBD00
Species: Hu
Applications: ELISA
NBP2-38530
Species: Hu
Applications: ICC/IF, IHC,  IHC-P, WB

Publications for GDI1 Antibody (NBP2-99205) (0)

There are no publications for GDI1 Antibody (NBP2-99205).
By submitting your publication information earn gift cards and discounts for future purchases.

Reviews for GDI1 Antibody (NBP2-99205) (0)

There are no reviews for GDI1 Antibody (NBP2-99205). By submitting a review you will receive an Amazon e-Gift Card or Novus Product Discount.
  • Review with no image -- $10/€7/£6/$10 CAD/¥70 Yuan/¥1110 Yen
  • Review with an image -- $25/€18/£15/$25 CAD/¥150 Yuan/¥2500 Yen

Product General Protocols

Find general support by application which include: protocols, troubleshooting, illustrated assays, videos and webinars.

Video Protocols

WB Video Protocol
ICC/IF Video Protocol

FAQs for GDI1 Antibody (NBP2-99205) (0)

There are no specific FAQs related to this product. Read our general customer & technical service FAQs.

Secondary Antibodies

 

Isotype Controls

Additional GDI1 Products

Research Areas for GDI1 Antibody (NBP2-99205)

Find related products by research area.

Blogs on GDI1

There are no specific blogs for GDI1, but you can read our latest blog posts.

Contact Information

Product PDFs

Calculators

Concentration Calculator

The concentration calculator allows you to quickly calculate the volume, mass or concentration of your vial. Simply enter your mass, volume, or concentration values for your reagent and the calculator will determine the rest.

=
÷

Review this Product

Be the first to review our GDI1 Antibody and receive a gift card or discount.

Bioinformatics

Gene Symbol GDI1