Galanin R1/GALR1 Antibody

Images

 
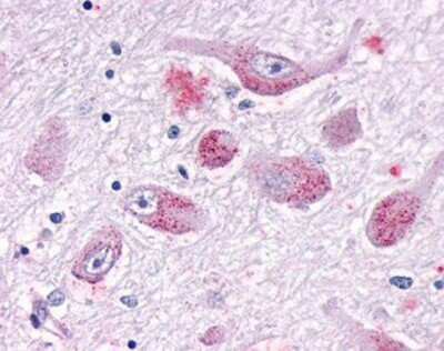
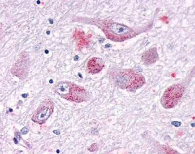
Immunohistochemistry-Paraffin: GALR1 Antibody [NLS4105] - Formalin-fixed paraffin section of human brain, stained (20 ug/ml)

Product Details

Summary
Product Discontinued
View other related Galanin R1/GALR1 Primary Antibodies

Order Details


    • Catalog Number
      NLS4105
    • Availability
      Product Discontinued

    Can't find what you are looking for? Use our Antibody Concierge Service & we will help you locate your antibody!

    Or feel free to contact us for alternative products.

Galanin R1/GALR1 Antibody Summary

Immunogen
Synthetic 18 amino acid peptide from N-terminal extracellular domain of human GALR1.
Localization
Cell Membrane; multi pass membrane protein
Specificity
Human GALR1. BLAST analysis of the peptide immunogen showed no homology with other human proteins, except SSTR5 (50%).
Predicted Species
Primate (94%), Monkey (100%). Backed by our 100% Guarantee.
Isotype
IgG
Clonality
Polyclonal
Host
Rabbit
Gene
GALR1
Purity
Immunogen affinity purified
Innovator's Reward
Test in a species/application not listed above to receive a full credit towards a future purchase.

Applications/Dilutions

Dilutions
  • Immunocytochemistry 1:10 - 1:500
  • Immunohistochemistry
  • Immunohistochemistry-Paraffin 19 ug/ml
Application Notes
ICC/IF usage is reported in scientific literature (PMID: 21821102).
Publications
Read Publication using NLS4105.

Reactivity Notes

Predicted cross-reactivity based on sequence identity: Gorilla (100%), Gibbon (100%), Marmoset (94%), Canine (89%), Panda (83%), Equine (83%).

Packaging, Storage & Formulations

Storage
Store at 4C short term. Aliquot and store at -20C long term. Avoid freeze-thaw cycles.
Buffer
PBS
Preservative
0.1% Sodium Azide
Concentration
1.0 mg/ml
Purity
Immunogen affinity purified

Alternate Names for Galanin R1/GALR1 Antibody

  • GAL1
  • Galanin R1
  • galanin receptor 1
  • galanin receptor type 1
  • GalaninR1
  • GALNR1
  • GALNRGALNR1GAL1-R
  • GALR1
  • GALR-1

Background

GalR1 is a Galanin Receptor that mediates the effects of the peptide galanin in a wide variety of tissues. Unlike GalR2, the primary signaling mechanism of GalR1 is by inhibiting adenylate cyclase through Gi. GalR1 regulates the GnRH neuroendocrine axis with its expression in POMC neurons. Pathogens like E. coli can cause diarrhea by increasing expression of Galanin Receptor 1 in the epithelial cells lining the colon, resulting in increased secretion of colonocyte chloride and fluid. GalR1 has been reported in brain, spinal cord, small intestine, colon, and eye. ESTs have been isolated from nerve and fetal lung/testis/B-cell libraries.

Limitations

This product is for research use only and is not approved for use in humans or in clinical diagnosis. Primary Antibodies are guaranteed for 1 year from date of receipt.

Customers Who Viewed This Item Also Viewed...

MAB6544
Species: Hu
Applications: CyTOF-ready, Flow, IHC
NBP2-33582
Species: Hu, Pm
Applications: ICC/IF, IHC,  IHC-P
NB100-2846
Species: Hu
Applications: IHC,  IHC-P, PEP-ELISA, WB
NBP2-33582
Species: Hu, Pm
Applications: ICC/IF, IHC,  IHC-P
NBP1-82693
Species: Hu
Applications: IHC,  IHC-P, WB
NBP3-04896
Species: Hu, Mu, Rt
Applications: WB
NBP2-22203
Species: Hu, Pm, Mu, Rt
Applications: ELISA, Flow, ICC/IF, IHC,  IHC-P, WB
NB600-936
Species: Bv, Ce, Ch, ChHa, Hu, I, In, Mu, Po, Pm, Rt, Xp, Ze
Applications: ICC/IF, IHC,  IHC-P, Simple Western, WB
NB100-1533
Species: Hu, Mu, Po, Rt, Sh
Applications: Flow, ICC/IF, IHC,  IHC-P, PEP-ELISA, WB
NBP1-89917
Species: Hu
Applications: ICC/IF, IHC,  IHC-P, WB
NBP1-88191
Species: Hu, Mu
Applications: IHC,  IHC-P, WB
NB600-717
Species: Bv
Applications: ELISA, ICC/IF, IHC, IHC-Fr,  IHC-P, RIA, RI, WB
MAB4375
Species: Hu, Mu, Rt
Applications: IHC
NLS418
Species: Hu
Applications: IHC,  IHC-P
DYC2510-2
Species: Hu, Mu, Rt
Applications: ELISA
NBP1-46535
Species: Hu, Mu, Rb, Rt, Xp
Applications: ICC/IF, IHC-FrFl, IHC, IHC-Fr,  IHC-P, WB
NLS2756
Species: Hu, Pm
Applications: ICC, IHC,  IHC-P
MAB8458
Species: Hu
Applications: CyTOF-ready, Flow, ICC

Publications for Galanin R1/GALR1 Antibody (NLS4105)(1)

Reviews for Galanin R1/GALR1 Antibody (NLS4105) (0)

There are no reviews for Galanin R1/GALR1 Antibody (NLS4105). By submitting a review you will receive an Amazon e-Gift Card or Novus Product Discount.
  • Review with no image -- $10/€7/£6/$10 CAD/¥70 Yuan/¥1110 Yen
  • Review with an image -- $25/€18/£15/$25 CAD/¥150 Yuan/¥2500 Yen

Product General Protocols

View specific protocols for Galanin R1/GALR1 Antibody (NLS4105): Find general support by application which include: protocols, troubleshooting, illustrated assays, videos and webinars.

FAQs for Galanin R1/GALR1 Antibody (NLS4105). (Showing 1 - 1 of 1 FAQ).

  1. Could I use GALR1 Antibody in frog brain tissue?
    • Unfortunately we have never tested in frog tissue before so the chances of it cross reacting would depend on the protein sequence and how similar it is with the peptide used to synthesize this antibody. If you know the sequence I can see if we can do an alignment and let you know. Otherwise, you can use our Innovators Reward Program.

Secondary Antibodies

 

Isotype Controls

Additional Galanin R1/GALR1 Products

Research Areas for Galanin R1/GALR1 Antibody (NLS4105)

Find related products by research area.

Blogs on Galanin R1/GALR1

There are no specific blogs for Galanin R1/GALR1, but you can read our latest blog posts.

Contact Information

Product PDFs

Calculators

Concentration Calculator

The concentration calculator allows you to quickly calculate the volume, mass or concentration of your vial. Simply enter your mass, volume, or concentration values for your reagent and the calculator will determine the rest.

=
÷

Review this Product

Be the first to review our Galanin R1/GALR1 Antibody and receive a gift card or discount.

Bioinformatics

Gene Symbol GALR1
Entrez
Uniprot