G protein alpha inhibitor 1 Antibody (R4.5)

Images

 
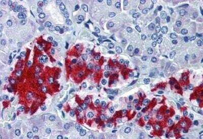
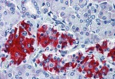
Immunohistochemistry-Paraffin: G protein alpha inhibitor 1 Antibody (R4.5) [NBP1-40247] - Analysis of anti-GNAI1 antibody with human pancreas at dilution 1:50.

Order Details


    • Catalog Number
      NBP1-40247
    • Availability
      Product Discontinued

    Can't find what you are looking for? Use our Antibody Concierge Service & we will help you locate your antibody!

    Or feel free to contact us for alternative products.

G protein alpha inhibitor 1 Antibody (R4.5) Summary

Immunogen
Partially purified Gai1 protein from rat brain (39-42kD). Cellular Localization: Cell membrane.
Specificity
Recognizes Rat Gai1. Does not cross-react with Transducin, Gao, Gai2, Gai3, or Gas. ADP-ribosylation of ai1 proteins does not alter the reactivity. Species cross-reactivity: mouse, bovine, guinea pig and human.
Isotype
IgG2b
Clonality
Monoclonal
Host
Mouse
Gene
GNAI1
Purity
Protein A purified
Innovator's Reward
Test in a species/application not listed above to receive a full credit towards a future purchase.

Applications/Dilutions

Dilutions
  • Immunohistochemistry
  • Immunohistochemistry-Paraffin 1:50
  • Western Blot 1:100-1:2000

Reactivity Notes

Please note that this antibody is reactive to Mouse and derived from the same host, Mouse. Additional Mouse on Mouse blocking steps may be required for IHC and ICC experiments. Please contact Technical Support for more information.

Packaging, Storage & Formulations

Storage
Store at 4C short term. Aliquot and store at -20C long term. Avoid freeze-thaw cycles.
Buffer
PBS (pH 7.4) and 0.2% BSA
Preservative
0.1% Sodium Azide
Concentration
0.2 mg/ml
Purity
Protein A purified

Alternate Names for G protein alpha inhibitor 1 Antibody (R4.5)

  • Adenylate cyclase-inhibiting G alpha protein
  • Gi
  • Gi1 protein alpha subunit
  • guanine nucleotide binding protein (G protein), alpha inhibiting activitypolypeptide 1
  • guanine nucleotide-binding protein G(i) subunit alpha-1

Background

Guanine nucleotide-binding proteins (G proteins) form a large family of signal-transducing molecules. They are found as heterotrimers made up of alpha, beta, and gamma subunits. Members of the G protein family have been characterized most extensively on the basis of the alpha subunit, which binds guanine nucleotide, is capable of hydrolyzing GTP, and interacts with specific receptor and effector molecules. The G protein family includes Gs (MIM 139320) and Gi, the stimulatory and inhibitory GTP-binding regulators of adenylate cyclase; Go, a protein abundant in brain (GNAO1; MIM 139311); and transducin-1 (GNAT1; MIM 139330) and transducin-2 (GNAT2; MIM 139340), proteins involved in phototransduction in retinal rods and cones, respectively (Sullivan et al., 1986 [PubMed 3092218]; Bray et al., 1987 [PubMed 3110783]). Suki et al. (1987) [PubMed 2440724] concluded that the human genome contains at least 3 nonallelic genes for alpha-i-type subunits of G protein; see, e.g, GNAI2 (MIM 139360), GNAI3 (MIM 139370), and GNAIH (MIM 139180).[supplied by OMIM]

Limitations

This product is for research use only and is not approved for use in humans or in clinical diagnosis. Primary Antibodies are guaranteed for 1 year from date of receipt.

Customers Who Viewed This Item Also Viewed...

MAB1417
Species: Bv, Hu, Mu
Applications: ICC, IHC
NB100-689
Species: Hu, Rt
Applications: IHC, IHC-Fr,  IHC-P, Simple Western, WB
AF1356
Species: Hu, Mu
Applications: CyTOF-ready, Dual ISH-IHC, Flow, IHC, Simple Western, WB
NBP2-62664
Species: Hu
Applications: IHC,  IHC-P
NBP1-91928
Species: Hu
Applications: IHC,  IHC-P, WB
NBP1-82243
Species: Hu
Applications: IHC,  IHC-P
NBP1-88223
Species: Hu
Applications: ICC/IF, IHC,  IHC-P, KD, WB
NBP1-81829
Species: Hu
Applications: IHC,  IHC-P, WB
NBP1-86665
Species: Hu
Applications: IHC,  IHC-P, WB
NBP1-32550
Species: Hu, Mu, Ze
Applications: ICC/IF, IHC,  IHC-P, Simple Western, WB
MAB1455
Species: Hu
Applications: CyTOF-ready, Dual ISH-IHC, ICC, IHC, ICFlow, Simple Western, WB
NBP2-59438
Species: Hu
Applications: ELISA, ICC/IF, WB
NBP3-47534
Species: Hu, Mu
Applications: ELISA, IHC, WB
H00006936-B01P
Species: Hu
Applications: ICC/IF, WB
M6000B
Species: Mu
Applications: ELISA
NBP3-12223
Species: Hu, Pm, Rt
Applications: ELISA, ICC/IF, IHC,  IHC-P, IP, WB
NBP2-20383
Species: Hu, Mu
Applications: ICC/IF, IHC,  IHC-P, WB

Publications for G protein alpha inhibitor 1 Antibody (NBP1-40247) (0)

There are no publications for G protein alpha inhibitor 1 Antibody (NBP1-40247).
By submitting your publication information earn gift cards and discounts for future purchases.

Reviews for G protein alpha inhibitor 1 Antibody (NBP1-40247) (0)

There are no reviews for G protein alpha inhibitor 1 Antibody (NBP1-40247). By submitting a review you will receive an Amazon e-Gift Card or Novus Product Discount.
  • Review with no image -- $10/€7/£6/$10 CAD/¥70 Yuan/¥1110 Yen
  • Review with an image -- $25/€18/£15/$25 CAD/¥150 Yuan/¥2500 Yen

Product General Protocols

Find general support by application which include: protocols, troubleshooting, illustrated assays, videos and webinars.

Video Protocols

WB Video Protocol

FAQs for G protein alpha inhibitor 1 Antibody (NBP1-40247) (0)

There are no specific FAQs related to this product. Read our general customer & technical service FAQs.

Secondary Antibodies

 

Isotype Controls

Additional G protein alpha inhibitor 1 Products

Research Areas for G protein alpha inhibitor 1 Antibody (NBP1-40247)

Find related products by research area.

Blogs on G protein alpha inhibitor 1

There are no specific blogs for G protein alpha inhibitor 1, but you can read our latest blog posts.

Contact Information

Product PDFs

Calculators

Concentration Calculator

The concentration calculator allows you to quickly calculate the volume, mass or concentration of your vial. Simply enter your mass, volume, or concentration values for your reagent and the calculator will determine the rest.

=
÷

Review this Product

Be the first to review our G protein alpha inhibitor 1 Antibody (R4.5) and receive a gift card or discount.

Bioinformatics

Gene Symbol GNAI1
Entrez
Uniprot