FOXO3 Antibody (CL13589) - Azide and BSA Free

Images

 
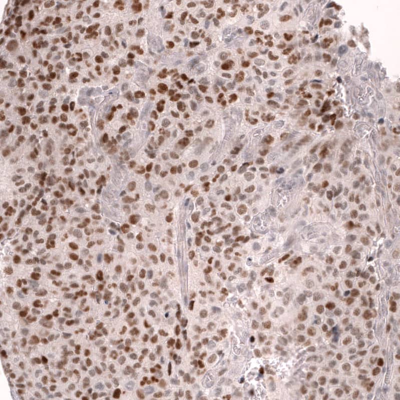
Staining of human anaplastic oligodendroglioma shows strong nuclear positivity in neurons.
Staining of human liver shows no nuclear positivity in hepatocytes as expected.
Staining of human cerebral cortex shows strong nuclear positivity in neurons.
Staining of human gastrointestinal shows weak to moderate nuclear positivity in glandular cells.
Staining of human pancreas shows strong nuclear positivity in exocrine glandular cells.
Analysis in human cell line SH-SY5Y.

Product Details

Summary
Reactivity HuSpecies Glossary
Applications WB, IHC
Clone
CL13589
Clonality
Monoclonal
Host
Mouse
Conjugate
Unconjugated
Format
Azide and BSA Free
Concentration
LYOPH

Order Details

FOXO3 Antibody (CL13589) - Azide and BSA Free Summary

Description
Novus Biologicals Mouse FOXO3 Antibody (CL13589) - Azide and BSA Free (NBP3-24564) is a monoclonal antibody validated for use in IHC and WB. All Novus Biologicals antibodies are covered by our 100% guarantee.
Immunogen
This antibody was generated using a synthetic peptide of O43524, with the exact immunogen sequence remaining proprietary.
Isotype
IgG2a
Clonality
Monoclonal
Host
Mouse
Gene
FOXO3
Purity
Protein A purified
Innovator's Reward
Test in a species/application not listed above to receive a full credit towards a future purchase.

Applications/Dilutions

Dilutions
  • Immunohistochemistry-Paraffin 1:50 - 1:200
  • Western Blot 1 ug/ml
Application Notes
For IHC-Paraffin, we recommend using Heat-Induced Epitope Retrieval (HIER) with a pH level of 6. This optimized retrieval method ensures the best results for your experiments.

Packaging, Storage & Formulations

Storage
Store at 4C short term. Aliquot and store at -20C long term. Avoid freeze-thaw cycles.
Buffer
Lyophilized from a 0.2 um filtered solution in PBS with Trehalose
Preservative
No Preservative
Concentration
LYOPH
Purity
Protein A purified
Reconstitution Instructions
Centrifuge the vial of lyophilized antibody at 12,000 x g for 20 seconds. Reconstitute by adding sterile, distilled water to achieve a final antibody concentration of 1mg/ml.

Alternate Names for FOXO3 Antibody (CL13589) - Azide and BSA Free

  • AF6q21 protein
  • AF6q21
  • DKFZp781A0677
  • FKHRL1
  • FKHRL1MGC31925
  • FKHRL1P2
  • forkhead box O3
  • forkhead box protein O3
  • forkhead homolog (rhabdomyosarcoma) like 1
  • Forkhead in rhabdomyosarcoma-like 1
  • forkhead, Drosophila, homolog of, in rhabdomyosarcoma-like 1
  • FOXO2
  • FoxO3
  • FOXO3A
  • FOXO3Aforkhead box O3A
  • MGC12739

Background

FOX3 probably functions as a trigger for apoptosis through expression of genes necessary for cell death. Translocation of the FOXO3 gene with the MLL gene is associated with secondary acute leukemia.

Limitations

This product is for research use only and is not approved for use in humans or in clinical diagnosis. Primary Antibodies are guaranteed for 1 year from date of receipt.

Customers Who Viewed This Item Also Viewed...

AF887
Species: Hu, Mu, Rt
Applications: CyTOF-ready, IHC, ICFlow, Simple Western, WB
NBP2-31376
Species: Hu, Mu, Rt
Applications: Flow, ICC/IF, IHC,  IHC-P, Simple Western, WB
NBP1-76963
Species: Hu, Mu, Rt
Applications: ELISA, ICC/IF, IHC,  IHC-P, Simple Western, WB
NBP2-19804
Species: Hu, Mu
Applications: ICC/IF, IHC,  IHC-P, WB
NBP2-46404
Species: Hu, Mu, Rt
Applications: IHC,  IHC-P
NBP2-15071
Species: Hu, Mu, Rt
Applications: ICC/IF, IHC,  IHC-P, KO, WB
NBP1-91228
Species: Hu, Rt
Applications: IHC,  IHC-P, WB
NBP2-32614
Species: Hu
Applications: ChIP-EXO-SEQ, IHC,  IHC-P
AF1555
Species: Hu
Applications: WB
NBP1-51641
Species: Hu, Mu, Pm, Rb, Rt
Applications: ELISA, Flow-IC, Flow, ICC/IF, IHC-FrFl, IHC,  IHC-P, WB
NBP2-76836
Species: Hu, Mu, Rt
Applications: ICC/IF, WB
291-G1
Species: Hu
Applications: BA
NB600-607
Species: Hu, Rt
Applications: ELISA, IHC,  IHC-P, WB
NBP2-29463
Species: Pm, Hu, Pm, Mu
Applications: Flow, ICC/IF, IHC,  IHC-P, WB
MAB1417
Species: Bv, Hu, Mu
Applications: ICC, IHC
NBP2-47560
Species: Hu
Applications: ICC/IF, IHC,  IHC-P, WB
NBP1-90949
Species: Hu
Applications: IHC,  IHC-P, WB
NBP1-80616
Species: Hu, Mu, Rt
Applications: IHC,  IHC-P, WB
NBP2-03198
Species: Hu
Applications: Flow, ICC/IF, IHC,  IHC-P, WB

Publications for FOXO3 Antibody (NBP3-43833) (0)

There are no publications for FOXO3 Antibody (NBP3-43833).
By submitting your publication information earn gift cards and discounts for future purchases.

Reviews for FOXO3 Antibody (NBP3-43833) (0)

There are no reviews for FOXO3 Antibody (NBP3-43833). By submitting a review you will receive an Amazon e-Gift Card or Novus Product Discount.
  • Review with no image -- $10/€7/£6/$10 CAD/¥70 Yuan/¥1110 Yen
  • Review with an image -- $25/€18/£15/$25 CAD/¥150 Yuan/¥2500 Yen

Product General Protocols

Find general support by application which include: protocols, troubleshooting, illustrated assays, videos and webinars.

Video Protocols

WB Video Protocol

FAQs for FOXO3 Antibody (NBP3-43833) (0)

There are no specific FAQs related to this product. Read our general customer & technical service FAQs.

Secondary Antibodies

 

Isotype Controls

Additional FOXO3 Products

Research Areas for FOXO3 Antibody (NBP3-43833)

Find related products by research area.

Blogs on FOXO3

There are no specific blogs for FOXO3, but you can read our latest blog posts.

Customers Who Bought This Also Bought

Contact Information

Product PDFs

Calculators

Concentration Calculator

The concentration calculator allows you to quickly calculate the volume, mass or concentration of your vial. Simply enter your mass, volume, or concentration values for your reagent and the calculator will determine the rest.

=
÷

Review this Product

Be the first to review our FOXO3 Antibody (CL13589) - Azide and BSA Free and receive a gift card or discount.

Bioinformatics

Gene Symbol FOXO3