FKBP51/FKBP5 Antibody (JB95-39)

Images

 
Western Blot: FKBP51/FKBP5 Antibody (JB95-39) [NBP2-75490] - Analysis of FKBP51 on rat kidney tissue and Daudi cell lysate using anti-FKBP51 antibody at 1/500 dilution.
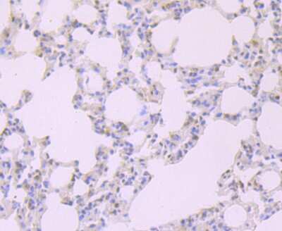
Immunohistochemistry-Paraffin: FKBP51/FKBP5 Antibody (JB95-39) [NBP2-75490] - Analysis of paraffin-embedded rat lung tissue tissue using anti-FKBP51 antibody. Counter stained with hematoxylin.
Flow Cytometry: FKBP51/FKBP5 Antibody (JB95-39) [NBP2-75490] - Analysis of Daudi cells with FKBP51 antibody at 1/100 dilution (red) compared with an unlabelled control (cells without incubation with primary antibody; ...read more
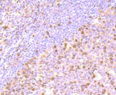
Immunohistochemistry-Paraffin: FKBP51/FKBP5 Antibody (JB95-39) [NBP2-75490] - Analysis of paraffin-embedded human tonsil tissue using anti-FKBP51 antibody. Counter stained with hematoxylin.
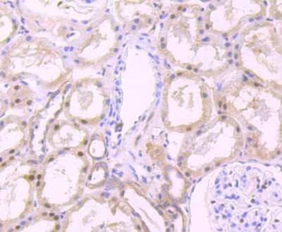
Immunohistochemistry-Paraffin: FKBP51/FKBP5 Antibody (JB95-39) [NBP2-75490] - Analysis of paraffin-embedded human kidney tissue using anti-FKBP51 antibody. Counter stained with hematoxylin.

Product Details

Summary
Product Discontinued
View other related FKBP51/FKBP5 Primary Antibodies

Order Details


    • Catalog Number
      NBP2-75490
    • Availability
      Product Discontinued

    Can't find what you are looking for? Use our Antibody Concierge Service & we will help you locate your antibody!

    Or feel free to contact us for alternative products.

FKBP51/FKBP5 Antibody (JB95-39) Summary

Additional Information
Recombinant Monoclonal Antibody.
Immunogen
Synthetic peptide within human FKBP51/FKBP5 aa 400-440. (SwissProt: Q13451 Human; SwissProt: Q5U2T9 Rat)
Localization
Nucleus, Cytoplasm.
Isotype
IgG
Clonality
Monoclonal
Host
Rabbit
Gene
FKBP5
Purity
Protein A purified
Innovator's Reward
Test in a species/application not listed above to receive a full credit towards a future purchase.

Applications/Dilutions

Dilutions
  • Flow Cytometry 1:50-1:100
  • Immunohistochemistry-Paraffin 1:50-1:200
  • Immunoprecipitation
  • Western Blot 1:500-1:1000
Theoretical MW
51 kDa.
Disclaimer note: The observed molecular weight of the protein may vary from the listed predicted molecular weight due to post translational modifications, post translation cleavages, relative charges, and other experimental factors.

Packaging, Storage & Formulations

Storage
Store at 4C short term. Aliquot and store at -20C long term. Avoid freeze-thaw cycles.
Buffer
TBS (pH7.4), 0.05% BSA, 40% Glycerol
Preservative
0.05% Sodium Azide
Concentration
1 mg/ml
Purity
Protein A purified

Alternate Names for FKBP51/FKBP5 Antibody (JB95-39)

  • 51 kDa FKBP
  • 54 kDa progesterone receptor-associated immunophilin
  • AIG6,51 kDa FK506-binding protein
  • Androgen-regulated protein 6
  • Dit1
  • FF1 antigen
  • FK506 binding protein 5
  • FK506-binding protein 5
  • FKBP5
  • FKBP-5
  • FKBP51
  • FKBP-51
  • FKBP51PPIase FKBP5
  • FKBP54
  • FKBP54EC 5.2.1.8
  • HSP90-binding immunophilin
  • MGC111006
  • p54
  • P54,51 kDa FK506-binding protein 5
  • peptidyl-prolyl cis-trans isomerase FKBP5
  • peptidylprolyl cis-trans isomerase
  • PPIase
  • Ptg-10
  • rotamase
  • T-cell FK506-binding protein

Limitations

This product is for research use only and is not approved for use in humans or in clinical diagnosis. Primary Antibodies are guaranteed for 1 year from date of receipt.

Customers Who Viewed This Item Also Viewed...

NB300-731
Species: Gp, Hu, Mu, Rb, Rt, Sh, Ye
Applications: B/N, ChIP, Flow, GS, ICC/IF, IHC,  IHC-P, IP, WB
NBP1-30993
Species: Ha, Hu, Mu, Rt
Applications: ICC/IF, IHC,  IHC-P, KD, WB
NB110-96874
Species: Ca, Ha, Hu, Mu, Rt
Applications: ICC/IF, IHC,  IHC-P, IP, WB
NBP3-00253
Species: Hu
Applications: ELISA, IHC,  IHC-P, IP, WB
NBP1-48284
Species: Hu, Mu, Rt
Applications: ICC/IF, IHC,  IHC-P, WB
AF1230
Species: Hu, Mu, Rt
Applications: IHC, KO, WB
NB120-2928
Species: Hu, Mu, Pm, Rb, Rt, Sh
Applications: ICC/IF, IHC,  IHC-P, IP, WB
NB200-191
Species: Ha, Hu, Mu
Applications: ICC/IF, IHC,  IHC-P, IP, WB
NBP3-32238
Species: Hu, Pm
Applications: Flow, ICC/IF, IHC,  IHC-P, WB
MAB3777
Species: Hu, Mu, Rt
Applications: WB
NB100-1556
Species: Hu, Mu, Rt
Applications: ICC/IF, IHC,  IHC-P, IP, WB
NBP2-16684
Species: Hu, Mu, Rt
Applications: EM, IHC,  IHC-P, WB
NBP1-30993
Species: Ha, Hu, Mu, Rt
Applications: ICC/IF, IHC,  IHC-P, KD, WB
NBP2-67471
Species: Hu, Mu, Rt
Applications: ICC/IF, IHC,  IHC-P, WB
DYC1825-2
Species: Hu, Mu, Rt
Applications: ELISA
H00080122-M01
Species: Hu
Applications: ELISA, ICC/IF
MAB7670
Species: Hu
Applications: ICC, WB
NBP1-92392
Species: Hu, Mu, Rt
Applications: ICC/IF, IHC,  IHC-P, WB
MAB2294
Species: Hu, Mu
Applications: ICC, IHC, IP, WB
NBP2-75490
Species: Hu, Rt
Applications: WB, Flow, IHC, IP

Publications for FKBP51/FKBP5 Antibody (NBP2-75490) (0)

There are no publications for FKBP51/FKBP5 Antibody (NBP2-75490).
By submitting your publication information earn gift cards and discounts for future purchases.

Reviews for FKBP51/FKBP5 Antibody (NBP2-75490) (0)

There are no reviews for FKBP51/FKBP5 Antibody (NBP2-75490). By submitting a review you will receive an Amazon e-Gift Card or Novus Product Discount.
  • Review with no image -- $10/€7/£6/$10 CAD/¥70 Yuan/¥1110 Yen
  • Review with an image -- $25/€18/£15/$25 CAD/¥150 Yuan/¥2500 Yen

Product General Protocols

Find general support by application which include: protocols, troubleshooting, illustrated assays, videos and webinars.

Video Protocols

WB Video Protocol

FAQs for FKBP51/FKBP5 Antibody (NBP2-75490) (0)

There are no specific FAQs related to this product. Read our general customer & technical service FAQs.

Secondary Antibodies

 

Isotype Controls

Additional FKBP51/FKBP5 Products

Research Areas for FKBP51/FKBP5 Antibody (NBP2-75490)

Find related products by research area.

Blogs on FKBP51/FKBP5

There are no specific blogs for FKBP51/FKBP5, but you can read our latest blog posts.

Contact Information

Product PDFs

Calculators

Concentration Calculator

The concentration calculator allows you to quickly calculate the volume, mass or concentration of your vial. Simply enter your mass, volume, or concentration values for your reagent and the calculator will determine the rest.

=
÷

Review this Product

Be the first to review our FKBP51/FKBP5 Antibody (JB95-39) and receive a gift card or discount.

Bioinformatics

Gene Symbol FKBP5