FENS1 Antibody - BSA Free

Images

 
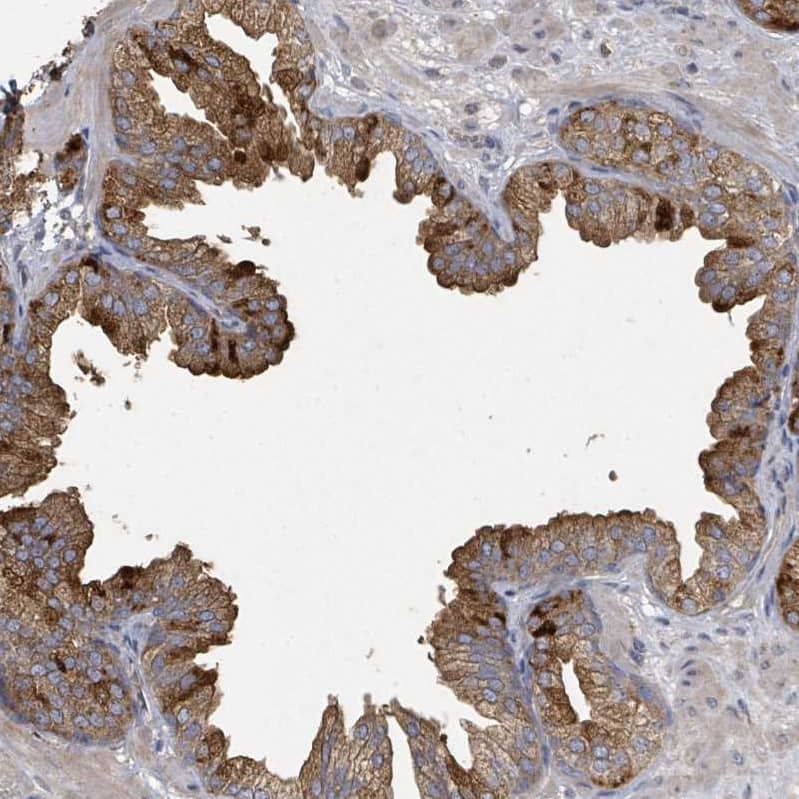
Staining of human prostate shows strong cytoplasmic positivity in glandular cells.
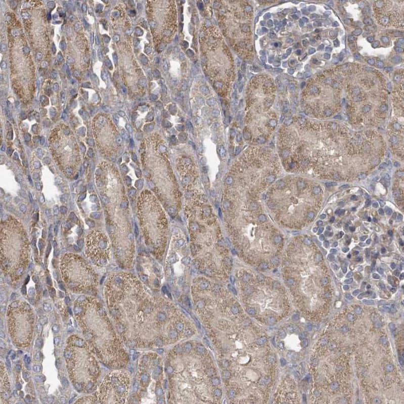
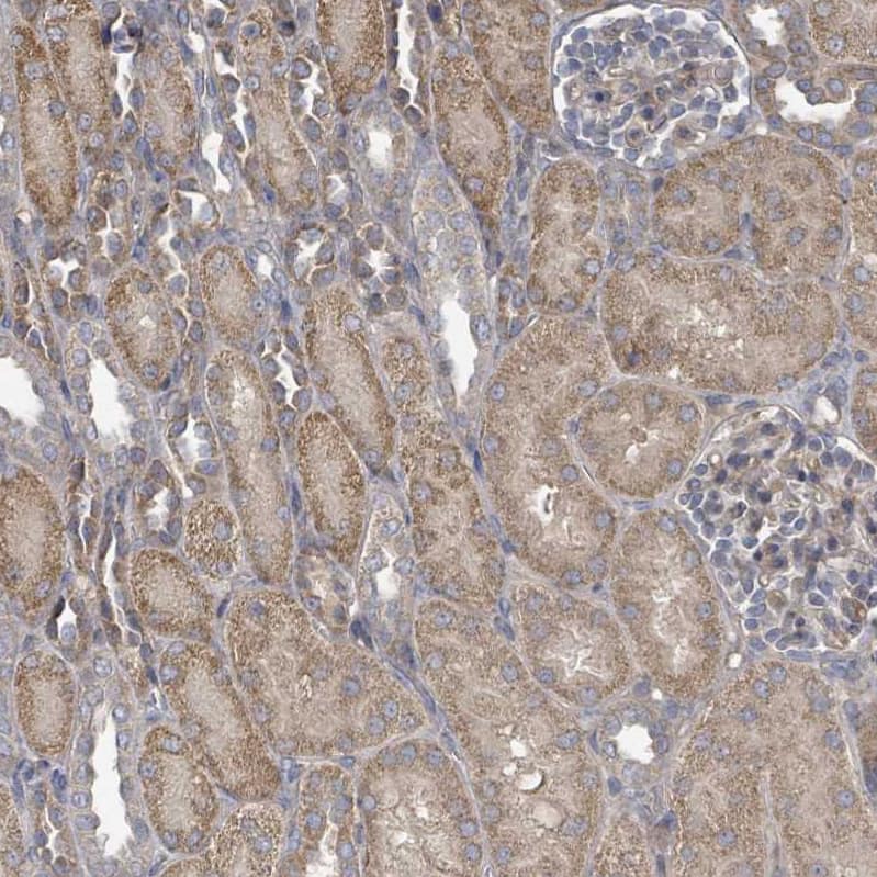
Staining of human kidney shows strong cytoplasmic positivity in cells in tubules.
Staining of human skeletal muscle shows strong cytoplasmic positivity in myocytes.
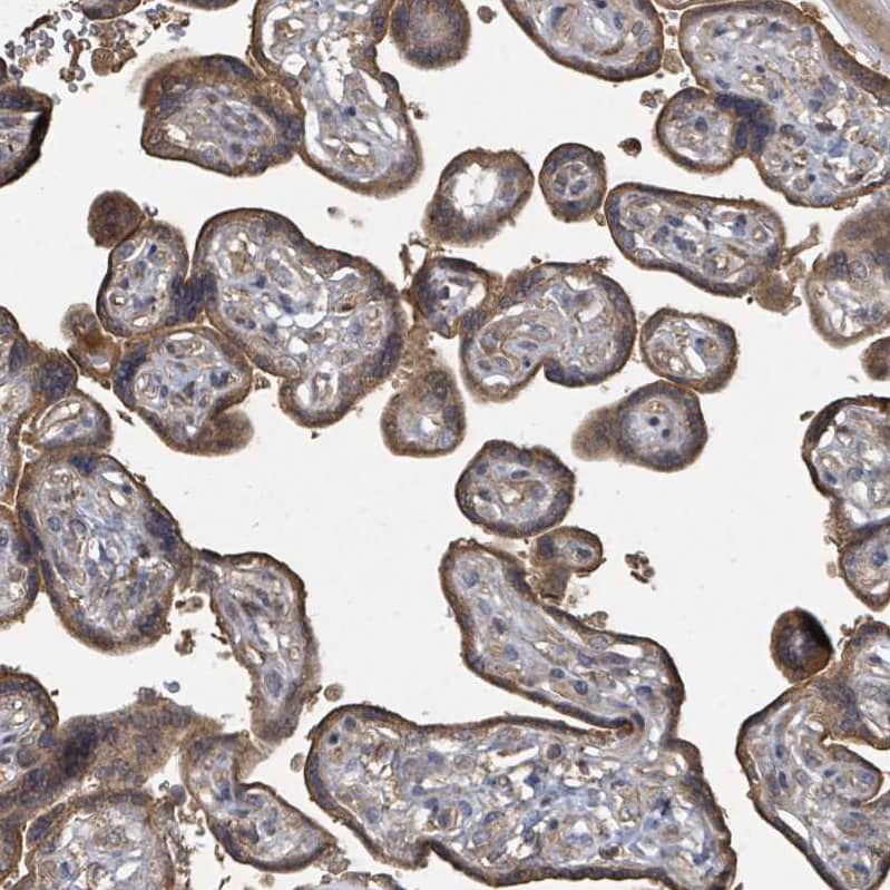
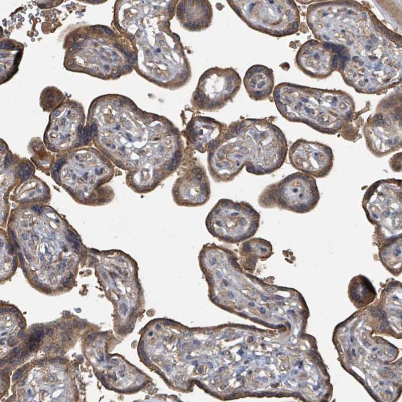
Staining of human placenta shows strong cytoplasmic positivity in trophoblastic cells.
Orthogonal Strategies: Analysis in human cell lines SK-MEL-30 and HEK293 using Anti-WDFY1 antibody. Corresponding WDFY1 RNA-seq data are presented for the same cell lines. Loading control: Anti-COX4I1.

Product Details

Summary
Reactivity Hu, Mu, RtSpecies Glossary
Applications IHC
Clonality
Polyclonal
Host
Rabbit
Conjugate
Unconjugated
Format
BSA Free
Validated by:
       

Orthogonal Strategies

 

Order Details

View Available Formulations
Catalog# & Formulation Size Price

FENS1 Antibody - BSA Free Summary

Description
Novus Biologicals Rabbit FENS1 Antibody - BSA Free (NBP2-13521) is a polyclonal antibody validated for use in IHC. All Novus Biologicals antibodies are covered by our 100% guarantee.
Immunogen
This antibody was developed against a recombinant protein corresponding to the amino acids: SIYHTMASPCSAMAYHHDSRRIFVGQDNGAVMEFHVSEDFNKMNFIKTYPAHQNRVSAIIFSLATEWVISTGH
Marker
Early Endosome Marker
Predicted Species
Mouse (99%), Rat (95%). Backed by our 100% Guarantee.
Isotype
IgG
Clonality
Polyclonal
Host
Rabbit
Gene
WDFY1
Purity
Immunogen affinity purified
Innovator's Reward
Test in a species/application not listed above to receive a full credit towards a future purchase.

Applications/Dilutions

Dilutions
  • Immunohistochemistry 1:20 - 1:50
  • Immunohistochemistry-Paraffin 1:20 - 1:50
Application Notes
For IHC-Paraffin, HIER pH 6 retrieval is recommended.
Control Peptide
FENS1 Protein (NBP2-13521PEP)

Packaging, Storage & Formulations

Storage
Store at 4C short term. Aliquot and store at -20C long term. Avoid freeze-thaw cycles.
Buffer
PBS (pH 7.2) and 40% Glycerol
Preservative
0.02% Sodium Azide
Purity
Immunogen affinity purified

Alternate Names for FENS1 Antibody - BSA Free

  • FENS-1Zinc finger FYVE domain-containing protein 17
  • KIAA1435
  • Phosphoinositide-binding protein 1
  • WD repeat and FYVE domain containing 1
  • WD repeat and FYVE domain-containing protein 1
  • WD40 and FYVE domain containing 1
  • WDF1WD40- and FYVE domain-containing protein 1
  • ZFYVE17phosphoinositide-binding protein SR1

Limitations

This product is for research use only and is not approved for use in humans or in clinical diagnosis. Primary Antibodies are guaranteed for 1 year from date of receipt.

Customers Who Viewed This Item Also Viewed...

NBP1-89917
Species: Hu
Applications: ICC/IF, IHC,  IHC-P, WB
NBP2-22321
Species: Hu
Applications: ICC/IF, IP, WB
NBP1-84267
Species: Hu
Applications: ICC/IF, IHC,  IHC-P, WB
7954-GM/CF
Species: Hu
Applications: BA
MAB1846
Species: Hu, Mu, Rt
Applications: ICC, KO, WB
NBP2-36568
Species: Hu, Mu
Applications: Flow-IC, ICC/IF, IHC,  IHC-P, WB
NB100-77903
Species: Hu
Applications: Flow, ICC/IF, IHC, IHC-Fr
NBP1-83202
Species: Hu
Applications: ICC/IF, IHC,  IHC-P, WB
NBP3-22576
Species: Hu
Applications: ICC/IF, IHC, WB
H00007942-M01
Species: Hu, Mu, Rt
Applications: ELISA, IB, ICC/IF,  IHC-P, WB
MAB5696
Species: Hu, Mu
Applications: WB
AF3168
Species: Hu
Applications: ICC, WB
H00064320-M07
Species: Hu
Applications: ELISA, IHC,  IHC-P, S-ELISA, WB
7954-GM/CF
Species: Hu
Applications: BA
NBP1-83606
Species: Hu, Mu, Rt
Applications: ICC/IF, IHC,  IHC-P, WB
NBP2-13521
Species: Hu, Mu, Rt
Applications: IHC

Publications for FENS1 Antibody (NBP2-13521) (0)

There are no publications for FENS1 Antibody (NBP2-13521).
By submitting your publication information earn gift cards and discounts for future purchases.

Reviews for FENS1 Antibody (NBP2-13521) (0)

There are no reviews for FENS1 Antibody (NBP2-13521). By submitting a review you will receive an Amazon e-Gift Card or Novus Product Discount.
  • Review with no image -- $10/€7/£6/$10 CAD/¥70 Yuan/¥1110 Yen
  • Review with an image -- $25/€18/£15/$25 CAD/¥150 Yuan/¥2500 Yen

Product General Protocols

Find general support by application which include: protocols, troubleshooting, illustrated assays, videos and webinars.

FAQs for FENS1 Antibody (NBP2-13521) (0)

There are no specific FAQs related to this product. Read our general customer & technical service FAQs.

Customers Who Bought This Also Bought

Contact Information

Product PDFs

Calculators

Concentration Calculator

The concentration calculator allows you to quickly calculate the volume, mass or concentration of your vial. Simply enter your mass, volume, or concentration values for your reagent and the calculator will determine the rest.

=
÷

Review this Product

Be the first to review our FENS1 Antibody - BSA Free and receive a gift card or discount.

Bioinformatics

Gene Symbol WDFY1