FAAH Antibody (JG43-07)

Images

 
Western Blot: FAAH Antibody (JG43-07) [NBP2-76834] - Western blot analysis of FAAH1 on different lysates using anti-FAAH1 antibody at 1/2,000 dilution.Positive control:Lane 1: SK-Br-3 Lane 2: Mouse cerebellumLane 3: ...read more
Immunohistochemistry: FAAH Antibody (JG43-07) [NBP2-76834] - Immunohistochemical analysis of paraffin-embedded mouse testis tissue using anti-FAAH1 antibody. Counter stained with hematoxylin.
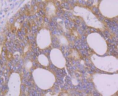
Immunohistochemistry: FAAH Antibody (JG43-07) [NBP2-76834] - Immunohistochemical analysis of paraffin-embedded human prostate cancer tissue using anti-FAAH1 antibody. Counter stained with hematoxylin.
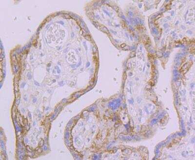
Immunohistochemistry: FAAH Antibody (JG43-07) [NBP2-76834] - Immunohistochemical analysis of paraffin-embedded human placenta tissue using anti-FAAH1 antibody. Counter stained with hematoxylin.

Product Details

Summary
Product Discontinued
View other related FAAH Primary Antibodies

Order Details


    • Catalog Number
      NBP2-76834
    • Availability
      Product Discontinued

    Can't find what you are looking for? Use our Antibody Concierge Service & we will help you locate your antibody!

    Or feel free to contact us for alternative products.

FAAH Antibody (JG43-07) Summary

Additional Information
Recombinant Monoclonal Antibody.
Immunogen
Recombinant protein within Human FAAH aa 440-579 / 579. (SwissProt: O00519 Human; SwissProt: O08914 Mouse)
Localization
Cytoskeleton. Endomembrane system.
Isotype
IgG
Clonality
Monoclonal
Host
Rabbit
Gene
FAAH
Purity
Protein A purified
Innovator's Reward
Test in a species/application not listed above to receive a full credit towards a future purchase.

Applications/Dilutions

Dilutions
  • Immunohistochemistry
  • Immunohistochemistry-Paraffin 1:50-1:200
  • Western Blot 1:500-1:2000
Theoretical MW
63 kDa.
Disclaimer note: The observed molecular weight of the protein may vary from the listed predicted molecular weight due to post translational modifications, post translation cleavages, relative charges, and other experimental factors.

Packaging, Storage & Formulations

Storage
Store at 4C short term. Aliquot and store at -20C long term. Avoid freeze-thaw cycles.
Buffer
TBS (pH7.4), 0.05% BSA, 40% Glycerol
Preservative
0.05% Sodium Azide
Concentration
1 mg/ml
Purity
Protein A purified

Alternate Names for FAAH Antibody (JG43-07)

  • Anandamide amidohydrolase 1
  • EC 3.5.1
  • EC 3.5.1.99
  • EC 3.5.1.n2
  • FAAH
  • FAAH1
  • FAAH-1
  • fatty acid amide hydrolase
  • fatty-acid amide hydrolase 1
  • MGC102823
  • MGC138146
  • Oleamide hydrolase 1
  • PSAB

Background

FAAH encodes a protein that is responsible for the hydrolysis of a number of primary and secondary fatty acid amides, including the neuromodulatory compounds anandamide and oleamide.

Limitations

This product is for research use only and is not approved for use in humans or in clinical diagnosis. Primary Antibodies are guaranteed for 1 year from date of receipt.

Customers Who Viewed This Item Also Viewed...

NLS32
Species: Bt, Bv, Ca, Eq, Hu, Pm, Mu, Po, Pm, Rt
Applications: ICC/IF, IHC,  IHC-P
NBP2-00735
Species: Hu, Pm
Applications: Flow, ICC/IF, IHC,  IHC-P, WB
H00001269-M01
Species: Pm, Hu
Applications: ELISA, ICC/IF, IHC,  IHC-P, WB
NBP1-97417
Species: Hu, In, Mu, Pm, Rt
Applications: ICC/IF, IF, IHC (-), WB
NBP1-88248
Species: Hu
Applications: ICC/IF, IHC,  IHC-P
AF4888
Species: Hu, Mu
Applications: CyTOF-ready, Flow, WB
NB100-689
Species: Hu, Rt
Applications: IHC, IHC-Fr,  IHC-P, Simple Western, WB
MAB4494
Species: Hu
Applications: IP, WB
NB300-996
Species: Hu
Applications: Flow, ICC/IF, IHC,  IHC-P, PEP-ELISA, WB
6509-CA
Species: Hu
Applications: BA
MAB1417
Species: Bv, Hu, Mu
Applications: ICC, IHC
NBP1-89783
Species: Hu
Applications: ICC/IF, IHC,  IHC-P, WB
PP-H4417-00
Species: Hu
Applications: DirELISA, IP, WB
NBP3-47206
Species: Hu, Mu, Rt
Applications: ELISA, WB
NBP2-22106
Species: Hu, Mu, Rt
Applications: IHC,  IHC-P, IP, WB

Publications for FAAH Antibody (NBP2-76834) (0)

There are no publications for FAAH Antibody (NBP2-76834).
By submitting your publication information earn gift cards and discounts for future purchases.

Reviews for FAAH Antibody (NBP2-76834) (0)

There are no reviews for FAAH Antibody (NBP2-76834). By submitting a review you will receive an Amazon e-Gift Card or Novus Product Discount.
  • Review with no image -- $10/€7/£6/$10 CAD/¥70 Yuan/¥1110 Yen
  • Review with an image -- $25/€18/£15/$25 CAD/¥150 Yuan/¥2500 Yen

Product General Protocols

Find general support by application which include: protocols, troubleshooting, illustrated assays, videos and webinars.

Video Protocols

WB Video Protocol

FAQs for FAAH Antibody (NBP2-76834) (0)

There are no specific FAQs related to this product. Read our general customer & technical service FAQs.

Secondary Antibodies

 

Isotype Controls

Additional FAAH Products

Research Areas for FAAH Antibody (NBP2-76834)

Find related products by research area.

Blogs on FAAH

There are no specific blogs for FAAH, but you can read our latest blog posts.

Contact Information

Product PDFs

Calculators

Concentration Calculator

The concentration calculator allows you to quickly calculate the volume, mass or concentration of your vial. Simply enter your mass, volume, or concentration values for your reagent and the calculator will determine the rest.

=
÷

Review this Product

Be the first to review our FAAH Antibody (JG43-07) and receive a gift card or discount.

Bioinformatics

Gene Symbol FAAH