F-box protein 43 Antibody

Images

 
Western Blot: F-box protein 43 Antibody [NBP1-31473] - Sample (30 ug of whole cell lysate) A: 293T 7. 5% SDS PAGE; antibody diluted at 1:1000.
Immunocytochemistry/ Immunofluorescence: F-box protein 43 Antibody [NBP1-31473] - Paraformaldehyde-fixed A431, using antibody at 1:200 dilution.
Immunohistochemistry-Paraffin: F-box protein 43 Antibody [NBP1-31473] - Paraffin-embedded TOV-21G xenograft. FBXO43 antibody [C3], C-term diluted at 1:250.
Western Blot: F-box protein 43 Antibody [NBP1-31473] - Sample (30 ug of whole cell lysate) A: NIH-3T3 B: JC 7. 5% SDS PAGE; antibody diluted at 1:1000.
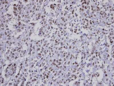
Immunohistochemistry-Paraffin: F-box protein 43 Antibody [NBP1-31473] - Paraffin-embedded Saos-2 xenograft, using antibody at 1:100 dilution.

Product Details

Summary
Product Discontinued
View other related F-box protein 43 Primary Antibodies

Order Details


    • Catalog Number
      NBP1-31473
    • Availability
      Product Discontinued

    Can't find what you are looking for? Use our Antibody Concierge Service & we will help you locate your antibody!

    Or feel free to contact us for alternative products.

F-box protein 43 Antibody Summary

Immunogen
Carrier-protein conjugated synthetic peptide encompassing a sequence within the C-terminus region of human FBXO43. The exact sequence is proprietary.
Predicted Species
Rat (100%), Xenopus (100%). Backed by our 100% Guarantee.
Isotype
IgG
Clonality
Polyclonal
Host
Rabbit
Gene
FBXO43
Purity
Immunogen affinity purified
Innovator's Reward
Test in a species/application not listed above to receive a full credit towards a future purchase.

Applications/Dilutions

Dilutions
  • Immunocytochemistry/ Immunofluorescence 1:100-1:1000
  • Immunohistochemistry 1:100-1:1000
  • Immunohistochemistry-Paraffin 1:100-1:1000
  • Western Blot 1:500-1:3000
Theoretical MW
78 kDa.
Disclaimer note: The observed molecular weight of the protein may vary from the listed predicted molecular weight due to post translational modifications, post translation cleavages, relative charges, and other experimental factors.

Reactivity Notes

Xenopus laevis (100%).

Packaging, Storage & Formulations

Storage
Aliquot and store at -20C or -80C. Avoid freeze-thaw cycles.
Buffer
PBS (pH 7), 10% Glycerol
Preservative
0.01% Thimerosal
Purity
Immunogen affinity purified

Alternate Names for F-box protein 43 Antibody

  • early mitotic inhibitor 2
  • EMI2Fbx43
  • Endogenous meiotic inhibitor 2
  • ERP1
  • F-box only protein 43
  • F-box protein 43
  • FBX43

Limitations

This product is for research use only and is not approved for use in humans or in clinical diagnosis. Primary Antibodies are guaranteed for 1 year from date of receipt.

Customers Who Viewed This Item Also Viewed...

NBP2-42388
Species: Hu
Applications: ICC/IF, IHC,  IHC-P, KD, WB
7954-GM/CF
Species: Hu
Applications: BA
NB100-91662
Species: Hu, Mu, Rt
Applications: Flow, ICC/IF, IHC,  IHC-P, Simple Western, WB
AF4885
Species: Mu
Applications: IP, WB
NBP1-84850
Species: Hu
Applications: ICC/IF, IHC,  IHC-P, WB
NBP1-48291
Species: Hu, Mu, Rt
Applications: Flow, IHC,  IHC-P, IP, WB
NBP1-85729
Species: Hu, Mu, Rt
Applications: ICC/IF, IHC,  IHC-P, WB
NBP1-86241
Species: Hu
Applications: IHC,  IHC-P, WB
NBP2-14243
Species: Hu, Mu
Applications: ICC/IF, IHC,  IHC-P, Simple Western, WB
NBP2-33466
Species: Hu
Applications: ICC/IF, IHC,  IHC-P, WB
NBP1-87232
Species: Hu
Applications: ICC/IF, IHC,  IHC-P, WB
NBP1-90046
Species: Hu
Applications: ICC/IF, IHC,  IHC-P, KD, WB
MAB32652
Species: Hu
Applications: CyTOF-ready, ELISA, Flow, KO
AF6000
Species: Hu, Mu
Applications: IHC, Simple Western, WB
NBP2-61712
Species: Hu
Applications: ELISA, Flow, IHC,  IHC-P, WB
255-SC
Species: Hu
Applications: BA
NB100-59828
Species: Hu, Mu
Applications: IHC,  IHC-P, IP, WB
NB500-106
Species: Ch, Dr, Fi, Hu, Mar, Mu, Po, Pm, Rb, Rt, Ye, Ze
Applications: ChIP, ChIP, ELISA, Flow, ICC/IF, IHC-FrFl, IHC, IHC-Fr,  IHC-P, IP, Simple Western, WB
⚠ WARNING: This product can expose you to chemicals including mercury, which is known to the State of California to cause reproductive toxicity with developmental effects.  For more information go to www.P65Warnings.ca.gov.

Publications for F-box protein 43 Antibody (NBP1-31473) (0)

There are no publications for F-box protein 43 Antibody (NBP1-31473).
By submitting your publication information earn gift cards and discounts for future purchases.

Reviews for F-box protein 43 Antibody (NBP1-31473) (0)

There are no reviews for F-box protein 43 Antibody (NBP1-31473). By submitting a review you will receive an Amazon e-Gift Card or Novus Product Discount.
  • Review with no image -- $10/€7/£6/$10 CAD/¥70 Yuan/¥1110 Yen
  • Review with an image -- $25/€18/£15/$25 CAD/¥150 Yuan/¥2500 Yen

Product General Protocols

Find general support by application which include: protocols, troubleshooting, illustrated assays, videos and webinars.

Video Protocols

WB Video Protocol
ICC/IF Video Protocol

FAQs for F-box protein 43 Antibody (NBP1-31473) (0)

There are no specific FAQs related to this product. Read our general customer & technical service FAQs.

Secondary Antibodies

 

Isotype Controls

Additional F-box protein 43 Products

Research Areas for F-box protein 43 Antibody (NBP1-31473)

Find related products by research area.

Blogs on F-box protein 43

There are no specific blogs for F-box protein 43, but you can read our latest blog posts.

Contact Information

Product PDFs

Calculators

Concentration Calculator

The concentration calculator allows you to quickly calculate the volume, mass or concentration of your vial. Simply enter your mass, volume, or concentration values for your reagent and the calculator will determine the rest.

=
÷

Review this Product

Be the first to review our F-box protein 43 Antibody and receive a gift card or discount.

Bioinformatics

Gene Symbol FBXO43