Ets-1 Antibody (JM92-32)

Images

 
Western Blot: Ets-1 Antibody (JM92-32) [NBP2-66826] - Analysis of ETS1 on different cell lysates using anti-ETS1 antibody at 1/1,000 dilution. Positive control: Line1: Jurkat Line2: K562 Line3: HepG2
Immunohistochemistry-Paraffin: Ets-1 Antibody (JM92-32) [NBP2-66826] - Analysis of paraffin-embedded mouse spleen tissue using anti-ETS1 antibody. Counter stained with hematoxylin.
Flow Cytometry: Ets-1 Antibody (JM92-32) [NBP2-66826] - Analysis of Jurkat cells with ETS1 antibody at 1/100 dilution (red) compared with an unlabelled control (cells without incubation with primary antibody; black).
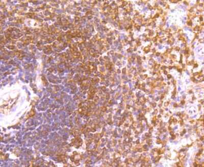
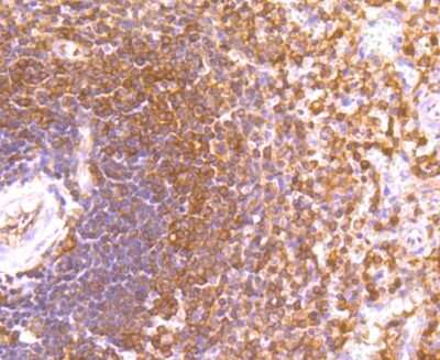
Immunohistochemistry-Paraffin: Ets-1 Antibody (JM92-32) [NBP2-66826] - Analysis of paraffin-embedded human spleen tissue using anti-ETS1 antibody. Counter stained with hematoxylin.
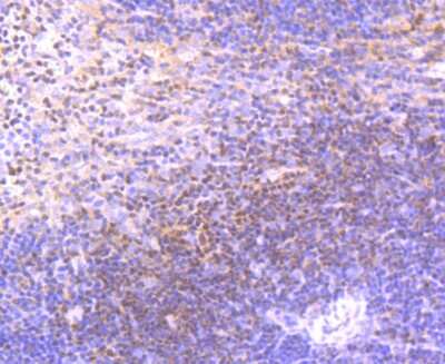
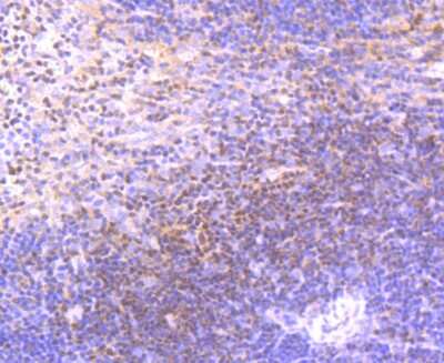
Immunohistochemistry-Paraffin: Ets-1 Antibody (JM92-32) [NBP2-66826] - Analysis of paraffin-embedded human tonsil tissue using anti-ETS1 antibody. Counter stained with hematoxylin.

Product Details

Summary
Product Discontinued
View other related Ets-1 Primary Antibodies

Order Details


    • Catalog Number
      NBP2-66826
    • Availability
      Product Discontinued

    Can't find what you are looking for? Use our Antibody Concierge Service & we will help you locate your antibody!

    Or feel free to contact us for alternative products.

Ets-1 Antibody (JM92-32) Summary

Additional Information
Recombinant Monoclonal Antibody.
Immunogen
Synthetic peptide within Human Ets-1 aa 10-59 / 441. (SwissProt: P14921 Human; SwissProt: P27577 Mouse)
Localization
Nucleus, Cytoplasm.
Isotype
IgG
Clonality
Monoclonal
Host
Rabbit
Gene
ETS1
Purity
Protein A purified
Innovator's Reward
Test in a species/application not listed above to receive a full credit towards a future purchase.

Applications/Dilutions

Dilutions
  • Flow Cytometry 1:50-1:100
  • Immunohistochemistry
  • Immunohistochemistry-Paraffin 1:50-1:200
  • Western Blot 1:500-1:2000

Packaging, Storage & Formulations

Storage
Store at 4C short term. Aliquot and store at -20C long term. Avoid freeze-thaw cycles.
Buffer
TBS (pH7.4), 0.05% BSA, 40% Glycerol
Preservative
0.05% Sodium Azide
Concentration
1 mg/ml
Purity
Protein A purified

Alternate Names for Ets-1 Antibody (JM92-32)

  • Avian erythroblastosis virus E26 (v-ets) oncogene homolog-1
  • ets protein
  • Ets1
  • Ets-1
  • EWSR2
  • FLJ10768
  • p54
  • Protein C-Ets-1
  • v-ets avian erythroblastosis virus E2 oncogene homolog 1
  • v-ets avian erythroblastosis virus E26 oncogene homolog 1
  • v-ets erythroblastosis virus E26 oncogene homolog 1 (avian)
  • v-ets

Background

Ets-1 is the prototype member of a family of genes identified on the basis of homology to the v-Ets oncogene isolated from the E26 erythroblastosis virus. This family of genes currently includes Ets-1, Ets-2, Erg-1

Limitations

This product is for research use only and is not approved for use in humans or in clinical diagnosis. Primary Antibodies are guaranteed for 1 year from date of receipt.

Customers Who Viewed This Item Also Viewed...

MAB8930
Species: Hu
Applications: ICC, Simple Western, WB
AF1230
Species: Hu, Mu, Rt
Applications: IHC, KO, WB
NBP2-22203
Species: Hu, Pm, Mu, Rt
Applications: ELISA, Flow, ICC/IF, IHC,  IHC-P, WB
NBP2-50037
Species: Hu, Mu, Rt
Applications: ICC/IF, IHC, KO, WB
DVE00
Species: Hu
Applications: ELISA
NBP2-45543
Species: Hu, Mu, Rt
Applications: ICC/IF, IHC,  IHC-P, WB
MAB17761
Species: Hu, Mu, Rt
Applications: ICC, WB
NB600-232
Species: Hu, Mu
Applications: ChIP, IHC,  IHC-P, IP, WB
3047-CC
Species: Hu
Applications: BA
DPSG10
Species: Hu
Applications: ELISA
1310-SE
Species: Hu
Applications: EnzAct
MAB901
Species: Hu
Applications: IHC, IP, KO, Neut, WB
AF2214
Species: Hu
Applications: ICC, IHC, WB
NBP3-16602
Species: Hu, Mu, Rt
Applications: IHC,  IHC-P, IP, WB
NBP1-89544
Species: Hu
Applications: ChIP-EXO-SEQ, ICC/IF, IHC,  IHC-P, WB
NB200-191
Species: Ha, Hu, Mu
Applications: ICC/IF, IHC,  IHC-P, IP, WB
AF467
Species: Hu, Mu
Applications: CyTOF-ready, Flow, ICC, IHC, Simple Western, WB
NBP2-60655
Species: Hu
Applications: ICC/IF, IHC,  IHC-P, WB
NBP2-66826
Species: Hu, Mu
Applications: WB, Flow, IHC

Publications for Ets-1 Antibody (NBP2-66826) (0)

There are no publications for Ets-1 Antibody (NBP2-66826).
By submitting your publication information earn gift cards and discounts for future purchases.

Reviews for Ets-1 Antibody (NBP2-66826) (0)

There are no reviews for Ets-1 Antibody (NBP2-66826). By submitting a review you will receive an Amazon e-Gift Card or Novus Product Discount.
  • Review with no image -- $10/€7/£6/$10 CAD/¥70 Yuan/¥1110 Yen
  • Review with an image -- $25/€18/£15/$25 CAD/¥150 Yuan/¥2500 Yen

Product General Protocols

Find general support by application which include: protocols, troubleshooting, illustrated assays, videos and webinars.

Video Protocols

WB Video Protocol

FAQs for Ets-1 Antibody (NBP2-66826) (0)

There are no specific FAQs related to this product. Read our general customer & technical service FAQs.

Secondary Antibodies

 

Isotype Controls

Additional Ets-1 Products

Research Areas for Ets-1 Antibody (NBP2-66826)

Find related products by research area.

Blogs on Ets-1.

HIF-3 alpha: a versatile target with hypoxia dependent and independent functions
By: Subhash GangarHIF-3 alpha (hypoxia-inducible factor 3-alpha/ HIF3A) represents an isoform of HIF-alpha subunits which heterodimerize with stable beta subunit (HIF-beta) for the regulation of HIF target genes through binding to hypoxia respon...  Read full blog post.

Contact Information

Product PDFs

Calculators

Concentration Calculator

The concentration calculator allows you to quickly calculate the volume, mass or concentration of your vial. Simply enter your mass, volume, or concentration values for your reagent and the calculator will determine the rest.

=
÷

Review this Product

Be the first to review our Ets-1 Antibody (JM92-32) and receive a gift card or discount.

Bioinformatics

Gene Symbol ETS1