ERManI Antibody (3C2)

Images

 
Western Blot: ERManI Antibody (3C2) [NBP2-13167] - Western blot analysis of ERManI expression in 1) NTERA-2 and 2) A-431 whole cell lysates.
Immunocytochemistry/ Immunofluorescence: ERManI Antibody (3C2) [NBP2-13167] - ERManI antibody was tested in HeLa cells with DyLight 488 (green). Nuclei and alpha-tubulin were counterstained with DAPI (blue) and Dylight ...read more
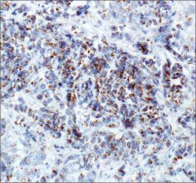
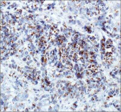
Immunohistochemistry: ERManI Antibody (3C2) [NBP2-13167] - IHC staining of ERManI in human breast cancer using DAB with hematoxylin counterstain.

Product Details

Summary
Reactivity Hu, Mu(-)Species Glossary
Applications WB, ELISA, ICC/IF, IHC, IP, KO
Clone
3C2
Clonality
Monoclonal
Host
Mouse
Conjugate
Unconjugated
Concentration
1.0 mg/ml

Order Details

ERManI Antibody (3C2) Summary

Immunogen
Full length human recombinant ERManI [Swiss-Prot# Q9UKM7]
Isotype
IgG1 Kappa
Clonality
Monoclonal
Host
Mouse
Gene
MAN1B1
Purity
Protein G purified
Innovator's Reward
Test in a species/application not listed above to receive a full credit towards a future purchase.

Applications/Dilutions

Dilutions
  • ELISA 1:1000
  • Immunocytochemistry/ Immunofluorescence 1:100
  • Immunohistochemistry 1:200
  • Immunohistochemistry-Paraffin 1:200
  • Immunoprecipitation 1:10-1:100
  • Knockout Validated reported in scientific literature (PMID 26205822)
  • Western Blot 1:500-1:1000
Application Notes
In ICC/IF, endoplasmic reticulum membrane staining was observed in HeLa cells. In Western Blot, a band is seen ~90 kDa representing ERManI. In IHC-P, staining was observed in the endoplasmic reticulum of human breast cancer tissue. Prior to immunostaining paraffin tissues, antigen retrieval with sodium citrate buffer (pH 6.0) is recommended.
Control
A-431 Whole Cell Lysate
NTERA-2 Whole Cell Lysate
Publications
Read Publications using
NBP2-13167 in the following applications:

  • WB
    2 publications

Reactivity Notes

Does not react with mouse.

Packaging, Storage & Formulations

Storage
Store at 4C short term. Aliquot and store at -20C long term. Avoid freeze-thaw cycles.
Buffer
Tris-Glycine (pH 7.5) and 0.15M NaCl
Preservative
0.05% Sodium Azide
Concentration
1.0 mg/ml
Purity
Protein G purified

Alternate Names for ERManI Antibody (3C2)

  • alpha 1,2-mannosidase
  • EC 3.2.1.113
  • endoplasmic reticulum alpha-mannosidase 1
  • endoplasmic reticulum mannosyl-oligosaccharide 1,2-alpha-mannosidase 1
  • endoplasmic reticulum mannosyl-oligosaccharide 1,2-alpha-mannosidase
  • ER alpha 1,2-mannosidase
  • ER alpha-1,2-mannosidase
  • ER ManI
  • ER mannosidase 1
  • ERMan1
  • MAN1B1
  • Man9GlcNAc2-specific processing alpha-mannosidase
  • Man9GlcNAc2-specific-processing alpha-mannosidase
  • MANA-ER
  • Mannosidase alpha class 1B member 1
  • mannosidase, alpha, class 1B, member 1
  • MRT15
  • RP11-350O14.2

Background

ERManI, also known as endoplasmic reticulum mannosyl-oligosaccharide 1,2-alpha-mannosidase or MAN1B1, is a putative ER resident mannosidase that plays a rate-limiting role in generating a signal that targets misfolded N-linked glycoproteins for ER-associated degradation (ERAD). ERManI codes for an enzyme that converts Man9GlcNAc to Man8GlcNAc isomer B during N-glycan biosynthesis. It also facilitates the trimming of Man5-6GlcNAc2 in the endoplasmic reticulum associated degradation pathway. Multiple transcript variants of ERManI can result from alternative splicing, and a related pseudogene can be found on chromosome 11. Research has found that mutations on the ERManI gene can result in autosomal-recessive intellectual disabilities and developmental delays (PMID: 21763484). ERManI is predominately localized to the Golgi and endoplasmic reticulum.

Limitations

This product is for research use only and is not approved for use in humans or in clinical diagnosis. Primary Antibodies are guaranteed for 1 year from date of receipt.

Customers Who Viewed This Item Also Viewed...

NBP2-58917
Species: Hu
Applications: IHC, IHC-P, WB
NBP1-86616
Species: Hu
Applications: IHC, IHC-P, WB
AF3398
Species: Hu, Mu, Rt
Applications: ICC, KO, Simple Western, WB
AF2255
Species: Mu
Applications: Block, CyTOF-ready, Flow, IHC, WB
NBP1-89766
Species: Hu, Mu, Rt
Applications: ICC/IF, IHC, IHC-P, WB
NBP2-16861
Species: Hu, Mu
Applications: ICC/IF, IHC, IHC-P, WB
NBP1-90906
Species: Hu, Mu, Rt
Applications: ICC/IF, IHC, IHC-P, WB
H00006446-M01
Species: Hu
Applications: ELISA, ICC/IF, IHC, IHC-P, KD, WB
NB110-94158
Species: Bv, Hu, Mu, Po, Pm, Rt
Applications: ICC/IF, IHC, IHC-P, IP, Simple Western, WB
NBP1-80740
Species: Hu
Applications: ICC/IF, IHC, IHC-P
NBP3-12196
Species: Hu, Mu, Rt
Applications: DB, ELISA, IHC, IHC-P, IP, WB
H00002027-M01
Species: Bv, Hu, Rt
Applications: DB, ELISA, ICC/IF, IHC, IHC-P, IP, KD, WB
NBP1-89158
Species: Hu, Rt
Applications: IHC, IHC-P, Simple Western, WB
NBP1-91658
Species: Hu
Applications: IHC, IHC-P
NBP1-89227
Species: Hu
Applications: ICC/IF, IHC, IHC-P, WB
NBP1-84570
Species: Hu, Mu, Rt
Applications: ICC/IF, IHC, IHC-P, WB
NBP2-24589
Species: Bv, Ca, Eq, Hu, Mu, Pm
Applications: IB, IHC, IHC-P, KO, WB
AF4094
Species: Hu, Mu, Rt
Applications: IHC, KO, Simple Western, WB

Publications for ERManI Antibody (NBP2-13167)(3)

Reviews for ERManI Antibody (NBP2-13167) (0)

There are no reviews for ERManI Antibody (NBP2-13167). By submitting a review you will receive an Amazon e-Gift Card or Novus Product Discount.
  • Review with no image -- $10/€7/£6/$10 CAD/¥70 Yuan/¥1110 Yen
  • Review with an image -- $25/€18/£15/$25 CAD/¥150 Yuan/¥2500 Yen

Product General Protocols

Video Protocols

WB Video Protocol
ICC/IF Video Protocol

FAQs for ERManI Antibody (NBP2-13167) (0)

There are no specific FAQs related to this product. Read our general customer & technical service FAQs.

Control Lysate(s)

Secondary Antibodies

 

Isotype Controls

Additional ERManI Products

Research Areas for ERManI Antibody (NBP2-13167)

Find related products by research area.

Blogs on ERManI

There are no specific blogs for ERManI, but you can read our latest blog posts.

Customers Who Bought This Also Bought

Contact Information

Product PDFs

Calculators

Concentration Calculator

The concentration calculator allows you to quickly calculate the volume, mass or concentration of your vial. Simply enter your mass, volume, or concentration values for your reagent and the calculator will determine the rest.

=
÷

Review this Product

Be the first to review our ERManI Antibody (3C2) and receive a gift card or discount.

Bioinformatics

Gene Symbol MAN1B1
Entrez
Uniprot