ERCC1 Antibody (CL1249) - Azide and BSA Free

Images

 
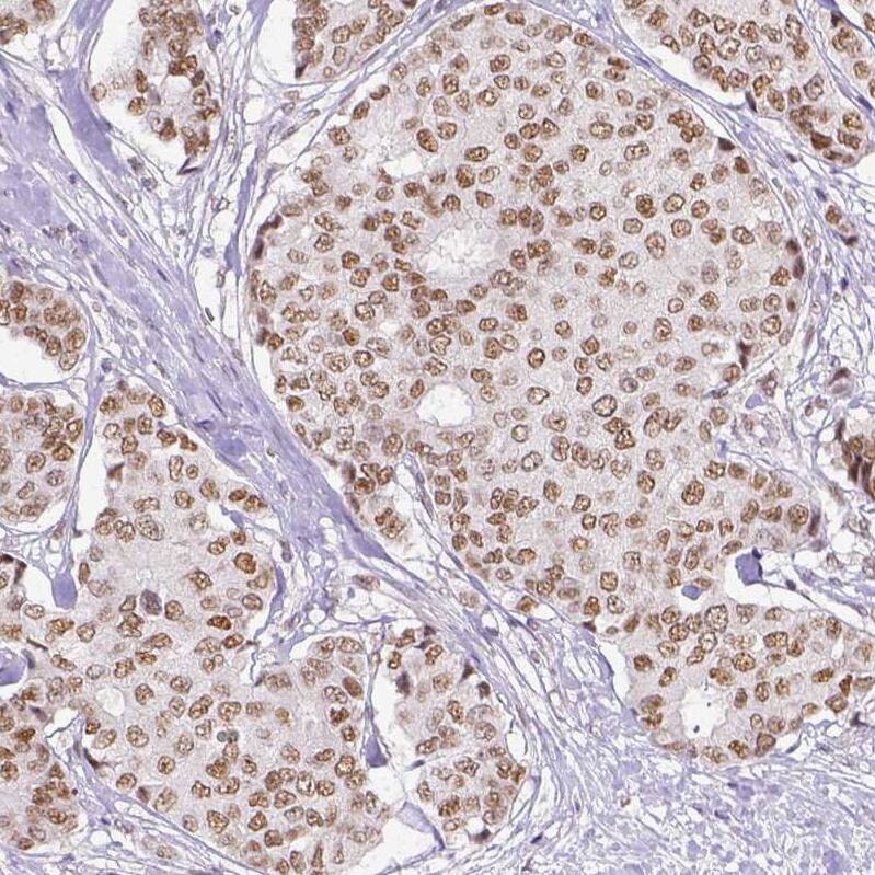
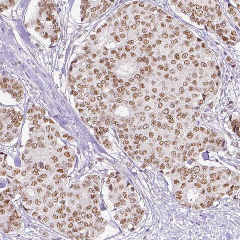
Staining of human breast cancer shows moderate nuclear positivity in tumor cells.
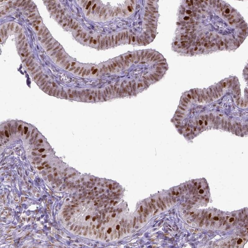
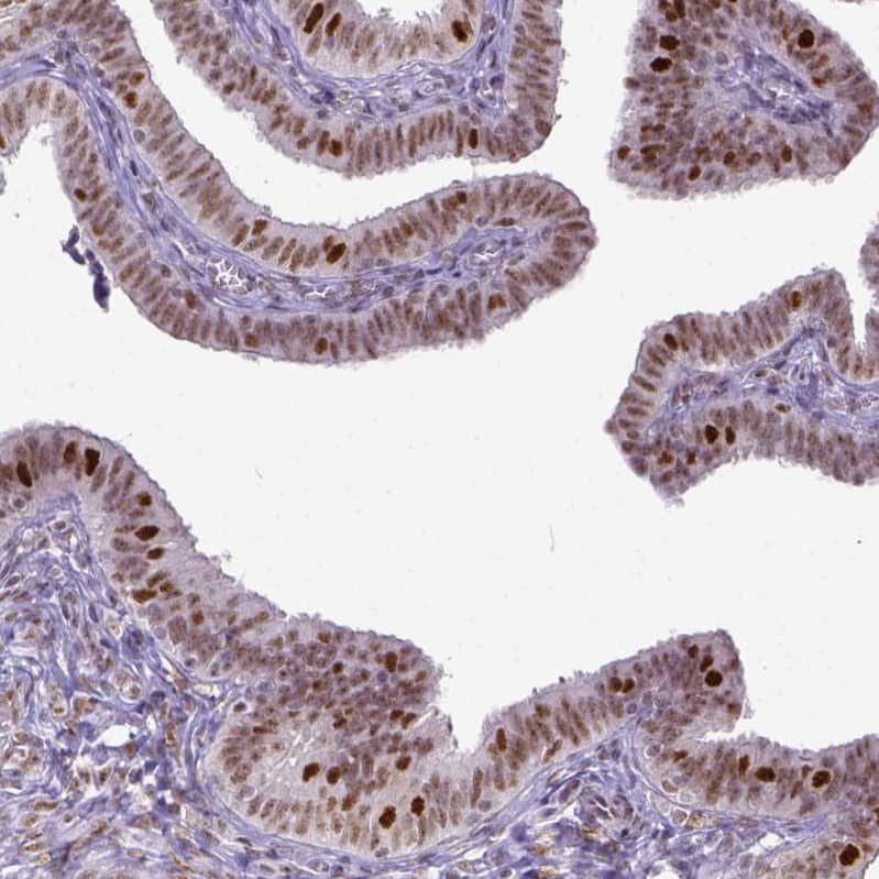
Staining of human fallopian tube shows moderate to strong nuclear positivity in glandular cells.
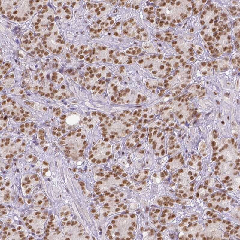
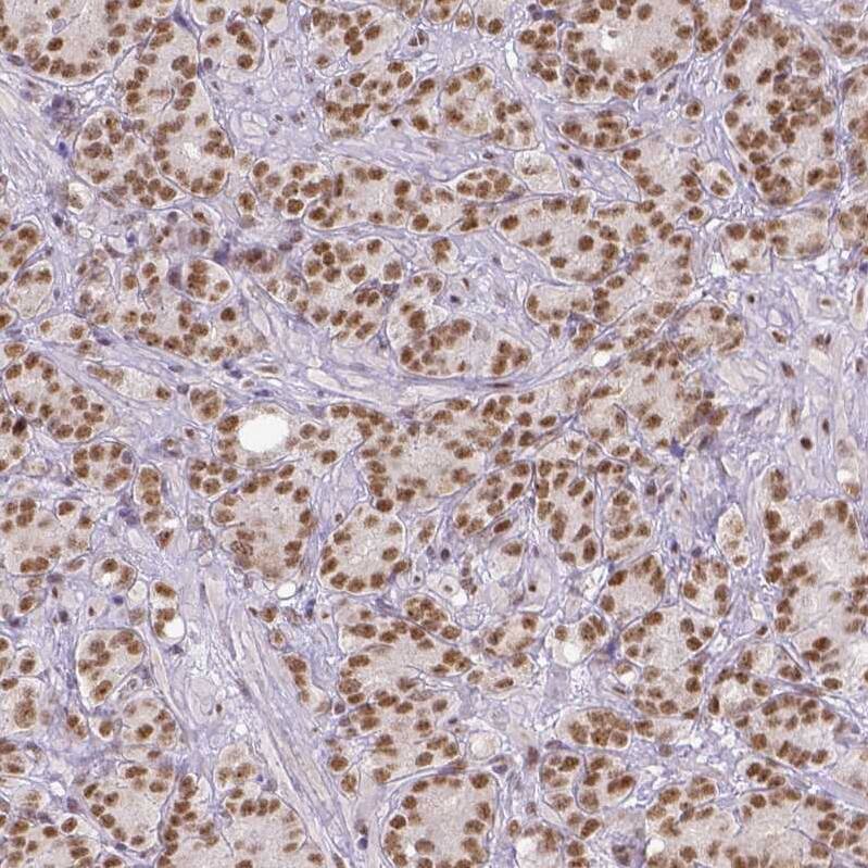
Staining of human prostate cancer shows moderate nuclear positivity in tumor cells.
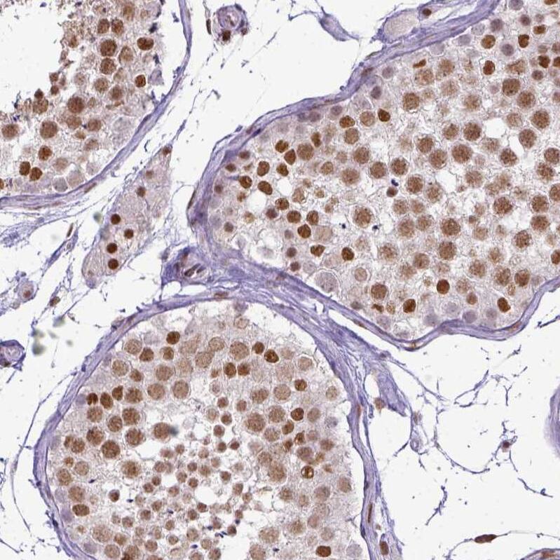
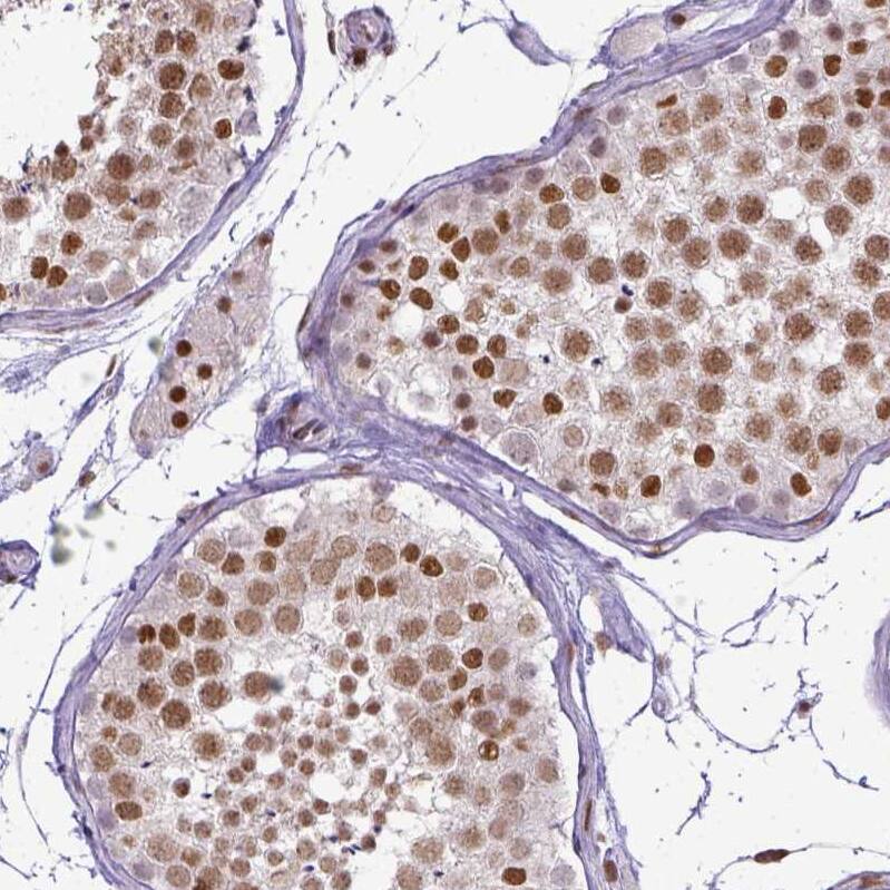
Staining of human testis shows moderate to strong nuclear positivity in cells in seminiferous ducts.
Staining of U-2 OS cells using the Anti-ERCC1 monoclonal antibody) .
Staining of human tonsil shows moderate nuclear positivity in lymphoid cells.

Product Details

Summary
Reactivity HuSpecies Glossary
Applications ICC/IF, IHC
Clone
CL1249
Clonality
Monoclonal
Host
Mouse
Conjugate
Unconjugated
Format
Azide and BSA Free
Concentration
LYOPH

Order Details

ERCC1 Antibody (CL1249) - Azide and BSA Free Summary

Description
Novus Biologicals Mouse ERCC1 Antibody (CL1249) - Azide and BSA Free (NBP2-34479) is a monoclonal antibody validated for use in IHC and ICC/IF. All Novus Biologicals antibodies are covered by our 100% guarantee.
Immunogen
This antibody was generated using a recombinant protein sequence of P07992, with the exact immunogen sequence remaining proprietary.
Isotype
IgG2a
Clonality
Monoclonal
Host
Mouse
Gene
ERCC1
Purity
Protein A purified
Innovator's Reward
Test in a species/application not listed above to receive a full credit towards a future purchase.

Applications/Dilutions

Dilutions
  • Immunocytochemistry/ Immunofluorescence 2-10 ug/ml
  • Immunohistochemistry-Paraffin 1:200 - 1:500
Application Notes
For IHC-Paraffin, HIER pH 6 retrieval is recommended. For Immunocytochemistry/ Immunofluorescence/IF, PFA/Triton X-100 is recommended for fixation/permeabilization.

Packaging, Storage & Formulations

Storage
Store at 4C short term. Aliquot and store at -20C long term. Avoid freeze-thaw cycles.
Buffer
Lyophilized from a 0.2 um filtered solution in PBS with Trehalose
Preservative
No Preservative
Concentration
LYOPH
Purity
Protein A purified
Reconstitution Instructions
Centrifuge the vial of lyophilized antibody at 12,000 x g for 20 seconds. Reconstitute by adding sterile, distilled water to achieve a final antibody concentration of 1mg/ml.

Alternate Names for ERCC1 Antibody (CL1249) - Azide and BSA Free

  • COFS4
  • DNA excision repair protein ERCC-1
  • ERCC1
  • excision repair cross-complementing rodent repair deficiency, complementationgroup 1 (includes overlapping antisense sequence)
  • RAD10
  • UV20

Background

The mammalian ERCC1 (Excision Repair Cross Complementing) polypeptide is required for nucleotide excision repair (NER) of damaged DNA and is homologous to Saccharomyces cerevisiae RAD10, which functions in repair and mitotic intrachromosomal recombination. NER mechanism involves dual incisions on both sides of the damage catalyzed by two nucleases. In mammalian cells XPG cleaves 3' of the DNA lesion while the ERCC1 XPF complex makes the 5'incision. Elevated levels of ERCC1 have also been reported in Cisplatin resistant cells.

Limitations

This product is for research use only and is not approved for use in humans or in clinical diagnosis. Primary Antibodies are guaranteed for 1 year from date of receipt.

Customers Who Viewed This Item Also Viewed...

NBP2-01020
Species: Hu, Mu
Applications: Flow, ICC/IF, IHC,  IHC-P, WB
NBP3-15704
Species: Hu, Mu, Rt
Applications: ELISA, IHC,  IHC-P, WB
NBP3-25721
Species: Ca, Fe, Hu, Mu, Rt
Applications: ICC/IF, IHC,  IHC-P, WB
NB100-74611
Species: Hu
Applications: ICC/IF, IHC,  IHC-P, IP, WB
AF231
Species: Hu
Applications: CyTOF-ready, Dual ISH-IHC, ELISA(Cap), ELISA(Det), ELISA(Sta), Flow, ICC, IHC, IP, Simple Western, WB
AF3416
Species: Hu
Applications: WB
NBP3-25643
Species: Ca, Fe, Hu, Mu, Rt
Applications: ICC/IF, IHC,  IHC-P, WB
NBP1-87154
Species: Hu
Applications: ICC/IF, IHC,  IHC-P, KD, WB
NB100-477
Species: Hu, Mu
Applications: ICC/IF, IHC,  IHC-P, WB
NBP2-13266
Species: Hu
Applications: ICC/IF, IHC,  IHC-P
H00005810-M01J
Species: Hu
Applications: ELISA, IHC,  IHC-P, KD, ELISA(Cap), S-ELISA, WB
NB100-61060
Species: Hu, Mu, Rb, V-Vi
Applications: ChIP, IP, WB
NB200-103
Species: Hu, Mu, Rt, Xp(-), Ye
Applications: CyTOF-ready, ELISA, Flow-IC, Flow, ICC/IF, IHC, IHC-Fr,  IHC-P, IP, WB
NBP1-26612
Species: Hu
Applications: IP (-), WB
NB100-74457
Species: Hu, Mu, Rt
Applications: ICC/IF, WB
NB100-404
Species: Hu
Applications: ChIP, ICC/IF, IHC,  IHC-P, IP, KD, KO, WB
NBP1-22439
Species: Ha, Hu, Mu, Rb, Rt
Applications: ICC/IF, IHC,  IHC-P, IP, MiAr, WB
NBP2-02710
Species: Hu, Rt
Applications: Flow, ICC/IF, IHC,  IHC-P, WB
NBP2-16756
Species: Hu, Mu, Rt
Applications: ICC/IF, IHC, IHC-Fr,  IHC-P, WB
NBP3-43959
Species: Hu
Applications: ICC/IF, IHC

Publications for ERCC1 Antibody (NBP3-43959) (0)

There are no publications for ERCC1 Antibody (NBP3-43959).
By submitting your publication information earn gift cards and discounts for future purchases.

Reviews for ERCC1 Antibody (NBP3-43959) (0)

There are no reviews for ERCC1 Antibody (NBP3-43959). By submitting a review you will receive an Amazon e-Gift Card or Novus Product Discount.
  • Review with no image -- $10/€7/£6/$10 CAD/¥70 Yuan/¥1110 Yen
  • Review with an image -- $25/€18/£15/$25 CAD/¥150 Yuan/¥2500 Yen

Product General Protocols

Find general support by application which include: protocols, troubleshooting, illustrated assays, videos and webinars.

Video Protocols

ICC/IF Video Protocol

FAQs for ERCC1 Antibody (NBP3-43959) (0)

There are no specific FAQs related to this product. Read our general customer & technical service FAQs.

Secondary Antibodies

 

Isotype Controls

Additional ERCC1 Products

Research Areas for ERCC1 Antibody (NBP3-43959)

Find related products by research area.

Blogs on ERCC1.

Beta Tubulin III and neurogenesis
Beta tubulin III, also known as Tuj-1, is a class III member of the beta tubulin protein family. Beta tubulins are one of two structural components that form our microtubule network. While general tubulins play a role in a wide range of cellular pr...  Read full blog post.

53BP1 - a marker for DNA Double Strand Break
53BP1 (p53 binding protein 1) was originally thought to be an enhancer for p53 transcriptional, but later studies have demonstrated that it is actually a substrate for ataxia telangiectasia mutated (ATM). 53BP1 is a classic late DNA damage response...  Read full blog post.

53BP1 - DNA damage is no fun
The 53BP1 (p53 binding protein 1) was initially believed to be a p53 transcriptional enhancing partner, but it has now been established as an ataxia telangiectasia mutated (ATM) substrate. As a late DNA damage response (DDR) marker, 53BP1 appears duri...  Read full blog post.

Using PCNA as an Antibody Marker
PCNA antibodies are useful biomarkers in DNA repair studies. PCNA is one of several proteins essential for the completion of nucleotide excision repair, a multi-stage process involving 20 - 30 proteins, and an important factor in repairing damage and ...  Read full blog post.

NER Antibodies in Cancer Research
We at Novus Biologicals have over 230 products in our antibody catalog devoted to nucleotide excision repair. NER is a multi-stage sequential process involving over 30 proteins, all of which have been widely studied. Being the primary method to repair...  Read full blog post.

Customers Who Bought This Also Bought

Contact Information

Product PDFs

Calculators

Concentration Calculator

The concentration calculator allows you to quickly calculate the volume, mass or concentration of your vial. Simply enter your mass, volume, or concentration values for your reagent and the calculator will determine the rest.

=
÷

Review this Product

Be the first to review our ERCC1 Antibody (CL1249) - Azide and BSA Free and receive a gift card or discount.

Bioinformatics

Gene Symbol ERCC1