EN-RAGE/S100A12 Antibody [Biotin]

Images

 
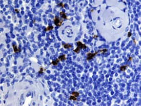
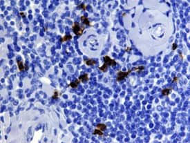
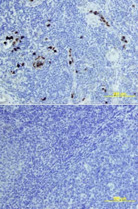
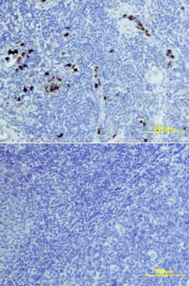
EN-RAGE/S100A12 was detected in immersion fixed paraffin-embedded sections of human tonsil using 10 µg/mL Goat Anti-Human EN-RAGE/ S100A12 Biotinylated Antigen Affinity-purified Polyclonal Antibody (Catalog # BAF1052) ...read more
EN-RAGE/S100A12 was detected in immersion fixed paraffin-embedded sections of human tonsil using Goat Anti-Human EN-RAGE/S100A12 Biotinylated Antigen Affinity-purified Polyclonal Antibody (Catalog # BAF1052) at 10 ...read more

Product Details

Summary
Reactivity HuSpecies Glossary
Applications WB, Flow, IHC
Clonality
Polyclonal
Host
Goat
Conjugate
Biotin
Concentration
LYOPH

Order Details

EN-RAGE/S100A12 Antibody [Biotin] Summary

Immunogen
E. coli-derived recombinant human EN‑RAGE/S100A12
Met1-Glu92
Accession # P80511
Specificity
Detects EN‑RAGE/S100A12 in Western blots.
Source
N/A
Isotype
IgG
Clonality
Polyclonal
Host
Goat
Gene
S100A12
Purity Statement
Antigen Affinity-purified
Innovator's Reward
Test in a species/application not listed above to receive a full credit towards a future purchase.

Applications/Dilutions

Dilutions
  • Flow Cytometry 2.5 ug/10^6 cells
  • Immunohistochemistry 5-15 ug/mL
  • Western Blot 0.1 ug/mL
Readout System
Publications
Read Publications using
BAF1052 in the following applications:

Packaging, Storage & Formulations

Storage
Use a manual defrost freezer and avoid repeated freeze-thaw cycles.
  • 12 months from date of receipt, -20 to -70 °C as supplied.
  • 1 month, 2 to 8 °C under sterile conditions after reconstitution.
  • 6 months, -20 to -70 °C under sterile conditions after reconstitution.
Buffer
Lyophilized from a 0.2 μm filtered solution in PBS with BSA as a carrier protein.
Preservative
No Preservative
Concentration
LYOPH
Reconstitution Instructions
Reconstitute at 0.2 mg/mL in sterile PBS.

Notes

This product is produced by and ships from R&D Systems, Inc., a Bio-Techne brand.

Alternate Names for EN-RAGE/S100A12 Antibody [Biotin]

  • CAAF1
  • CAAF1Neutrophil S100 protein
  • CAAFI
  • CAGC
  • CAGCS100 calcium binding protein A12 (calgranulin C)
  • CAGCS100
  • Calcium-binding protein in amniotic fluid 1
  • Calgranulin C
  • calgranulin-C
  • CGRPEN-RAGE
  • ENRAGE
  • EN-RAGE
  • Extracellular newly identified RAGE-binding protein
  • MRP6
  • p6calgranulin C
  • protein S100-A12
  • S100 calcium binding protein A12
  • S100 calcium-binding protein A12 (calgranulin C)
  • S100 calcium-binding protein A12
  • S100A12

Background

EN-RAGE, also known as S100A12 and Calgranulin C, is a 10 kDa member of the S100 (soluble in 100% saturated ammonium sulfate) family of EF-hand calcium‑binding proteins. Like other S100 proteins, S100A12 is small and generally acidic (1‑3). EN-RAGE forms noncovalent homodimers in the absence of divalent cations (4‑6); calcium and zinc promote the formation of higher order assemblies including tetramers and hexamers (4, 7, 8). The ability of S100A12 to chelate zinc enables it to inhibit the zinc-dependent metalloproteases MMP-2, -3, and -9 (8). S100A12 also forms heterodimers with S100A9 and binds to RAGE (Receptor for Advanced Glycation End-products), Annexin V, and several cytosolic enzymes involved in energy metabolism (9, 10). The hexameric form of EN-RAGE in particular binds RAGE with high affinity (7). EN-RAGE induces a variety of inflammatory responses including the in vivo recruitment of neutrophils, monocytes, and mast cells and the activation of mast cells and vascular endothelial cells (9, 11‑14). EN-RAGE is found at elevated levels under inflammatory conditions such as asthma, gout, rheumatoid arthritis synovial fluid, and atherosclerosis (8, 12, 14). S100A12 also promotes neurite outgrowth in isolated hippocampal neurons (15). An ortholog of S100A12 has not been identified in rodents, but the human protein is functional in mice and rats (11‑16).
  1. Santamaria-Kisiel, L. et al. (2006) Biochem. J. 396:201.
  2. Leclerc, E. et al. (2009) Biochim. Biophys. Acta 1793:993.
  3. Wicki, R. et al. (1996) Cell Calcium 20:459.
  4. Moroz, O.V. et al. (2009) BMC Biochem. 10:11.
  5. Miranda, L.P. et al. (2001) FEBS Lett. 488:85.
  6. Vogl, T. et al. (1999) J. Biol. Chem. 274:25291.
  7. Xie, J. et al. (2007) J. Biol. Chem. 282:4218.
  8. Goyette, J. et al. (2009) J. Immunol. 183:593.
  9. Hatakeyama, T. et al. (2004) Eur. J. Biochem. 271:3765.
  10. Hofmann, M.A. et al. (1999) Cell 97:889.
  11. Yang, Z. et al. (2001) J. Leukoc. Biol. 69:986.
  12. Rouleau, P. et al. (2003) Clin. Immunol. 107:46.
  13. Yan, W.X. et al. (2008) J. Biol. Chem. 283:13035.
  14. Yang, Z. et al. (2007) J. Allergy Clin. Immunol. 119:106.
  15. Mikkelsen, S.E. et al. (2001) J. Neurochem. 79:767.
  16. Fuellen, G. et al. (2004) OMICS 8:334.

Limitations

This product is for research use only and is not approved for use in humans or in clinical diagnosis. Primary Antibodies are guaranteed for 1 year from date of receipt.

Customers Who Viewed This Item Also Viewed...

MAB4375
Species: Hu, Mu, Rt
Applications: IHC
MAB4077
Species: Hu
Applications: IHC, WB
NBP1-46535
Species: Hu, Mu, Rb, Rt, Xp
Applications: ICC/IF, IHC-FrFl, IHC, IHC-Fr,  IHC-P, WB
NBP2-46349
Species: Hu
Applications: IHC,  IHC-P, WB
NB120-14817
Species: Hu, Rt
Applications: ICC/IF, IHC, S-ELISA, WB
NBP1-32870
Species: Ch, Hu
Applications: IHC,  IHC-P, IP, KD, WB
NLS6731
Species: Bv, Ca, Eq, Gt, Ha, Hu, Pm, Po, Pm, Rb, Rt, Xp
Applications: IHC,  IHC-P
NB300-109
Species: Ch, Dr, Hu, I, Ma, Mu, Rt
Applications: Dual ISH-IHC, ICC/IF, IHC-FrFl, IHC-WhMt, IHC, IHC-Fr,  IHC-P, KO, Simple Western, WB
NBP2-37447
Species: Hu
Applications: CyTOF-ready, ELISA, Flow, ICC/IF, IHC,  IHC-P
AF6428
Species: Hu
Applications: IHC, WB
NBP2-33680
Species: Hu
Applications: IHC,  IHC-P
NBP1-97417
Species: Hu, In, Mu, Pm, Rt
Applications: ICC/IF, IF, IHC (-), WB
NBP2-33582
Species: Hu, Pm
Applications: ICC/IF, IHC,  IHC-P
AF5866
Species: Hu
Applications: IHC, WB
AF3059
Species: Mu
Applications: ICC, Simple Western, WB
NBP3-48674
Species: Hu, Mu, Rt, Ze
Applications: ICC/IF, IHC,  IHC-P, WB
NBP2-62664
Species: Hu
Applications: IHC,  IHC-P

Publications for EN-RAGE/S100A12 Antibody (BAF1052)(2)

Reviews for EN-RAGE/S100A12 Antibody (BAF1052) (0)

There are no reviews for EN-RAGE/S100A12 Antibody (BAF1052). By submitting a review you will receive an Amazon e-Gift Card or Novus Product Discount.
  • Review with no image -- $10/€7/£6/$10 CAD/¥70 Yuan/¥1110 Yen
  • Review with an image -- $25/€18/£15/$25 CAD/¥150 Yuan/¥2500 Yen

Product General Protocols

Find general support by application which include: protocols, troubleshooting, illustrated assays, videos and webinars.

Video Protocols

WB Video Protocol

FAQs for EN-RAGE/S100A12 Antibody (BAF1052) (0)

There are no specific FAQs related to this product. Read our general customer & technical service FAQs.

Customers Who Bought This Also Bought

Contact Information

Product PDFs

Calculators

Concentration Calculator

The concentration calculator allows you to quickly calculate the volume, mass or concentration of your vial. Simply enter your mass, volume, or concentration values for your reagent and the calculator will determine the rest.

=
÷

Review this Product

Be the first to review our EN-RAGE/S100A12 Antibody [Biotin] and receive a gift card or discount.

Bioinformatics

Gene Symbol S100A12
Uniprot