Emerin Antibody (CL0203) - Azide and BSA Free

Images

 
Staining in A431 cell line with Anti-Emerin monoclonal antibody) .
Staining in U2OS cell line with Anti-Emerin monoclonal antibody) .
Staining in MCF7 cell line with Anti-Emerin monoclonal antibody) .
Staining in HeLa cell line with Anti-Emerin monoclonal antibody) .
Staining in U251 cell line with Anti-Emerin monoclonal antibody) .
Staining of human kidney shows moderate nuclear membrane positivity in a subset of cells in tubules.
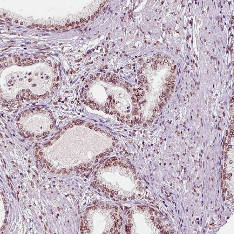
Staining of human prostate shows moderate nuclear membrane positivity in in glandular cells.
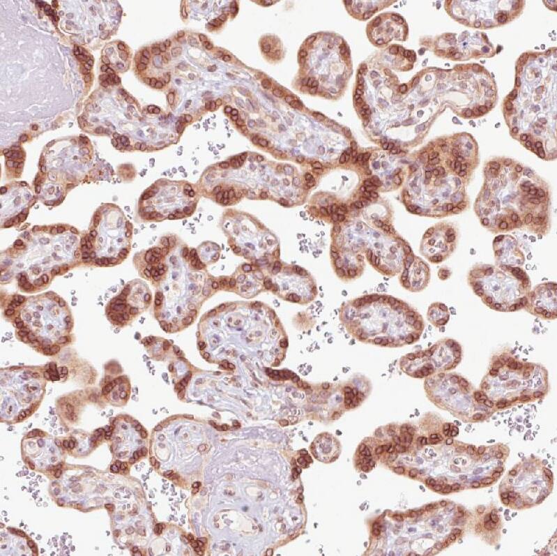
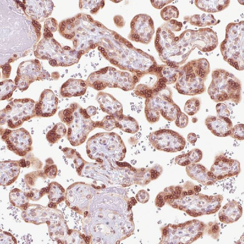
Staining of human placenta shows moderate nuclear membrane positivity in in trophoblastic cells.
Genetic Strategies: Analysis in RT-4 cells transfected with control siRNA, target specific siRNA probe #1 and #2, using Anti-Emerin antibody. Remaining relative intensity is presented. Loading control: Anti-PPIB.
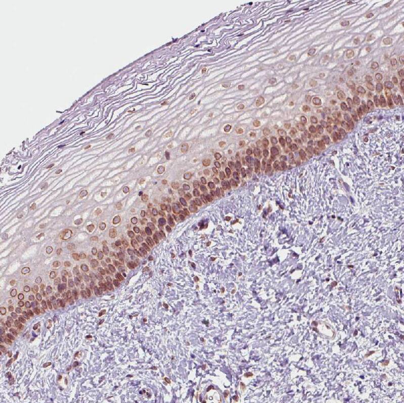
Staining of human uterine cervix shows moderate nuclear membrane positivity in squamous epithelial cells.

Product Details

Summary
Reactivity HuSpecies Glossary
Applications WB, ICC/IF, IHC
Clone
CL0203
Clonality
Monoclonal
Host
Mouse
Conjugate
Unconjugated
Format
Azide and BSA Free
Concentration
LYOPH
Validated by:
     

Genetic Strategies

   

Order Details

Emerin Antibody (CL0203) - Azide and BSA Free Summary

Description
Novus Biologicals Mouse Emerin Antibody (CL0203) - Azide and BSA Free (NBP2-52877) is a monoclonal antibody validated for use in IHC, WB and ICC/IF. All Novus Biologicals antibodies are covered by our 100% guarantee.
Immunogen
This antibody was generated using a recombinant protein sequence of P50402, with the exact immunogen sequence remaining proprietary.
Isotype
IgG1
Clonality
Monoclonal
Host
Mouse
Gene
EMD
Purity
Protein A purified
Innovator's Reward
Test in a species/application not listed above to receive a full credit towards a future purchase.

Applications/Dilutions

Dilutions
  • Immunocytochemistry/ Immunofluorescence 2-10 ug/ml
  • Immunohistochemistry-Paraffin 1:5000 - 1:10000
  • Western Blot 1 ug/ml
Application Notes
For IHC-Paraffin, HIER pH 6 retrieval is recommended. Immunocytochemistry/ Immunofluorescence/IF Fixation Permeabilization: Use PFA/Triton X-100.

Packaging, Storage & Formulations

Storage
Store at 4C short term. Aliquot and store at -20C long term. Avoid freeze-thaw cycles.
Buffer
Lyophilized from a 0.2 um filtered solution in PBS with Trehalose
Preservative
No Preservative
Concentration
LYOPH
Purity
Protein A purified
Reconstitution Instructions
Centrifuge the vial of lyophilized antibody at 12,000 x g for 20 seconds. Reconstitute by adding sterile, distilled water to achieve a final antibody concentration of 1mg/ml.

Alternate Names for Emerin Antibody (CL0203) - Azide and BSA Free

  • emerin
  • Emery-Dreifuss muscular dystrophy
  • LEM domain containing 5
  • STAEDMDLEMD5

Background

Emerin is a serine-rich nuclear membrane protein and a member of the nuclear lamina-associated protein family. It mediates membrane anchorage to the cytoskeleton. Dreifuss-Emery muscular dystrophy is an X-linked inherited degenerative myopathy resulting from mutation in the emerin gene.

Limitations

This product is for research use only and is not approved for use in humans or in clinical diagnosis. Primary Antibodies are guaranteed for 1 year from date of receipt.

Customers Who Viewed This Item Also Viewed...

NB100-74451
Species: Bv, Hu, Mu, Po, Rt
Applications: ICC/IF, IHC, IHC-Fr, WB
NBP2-76978
Species: Hu, Mu, Rt
Applications: Flow, ICC/IF, IHC,  IHC-P, WB
NBP1-88223
Species: Hu
Applications: ICC/IF, IHC,  IHC-P, KD, WB
NBP1-86665
Species: Hu
Applications: IHC,  IHC-P, WB
H00003930-B01P
Species: Hu, Mu
Applications: ICC/IF, IHC,  IHC-P, WB
AF231
Species: Hu
Applications: CyTOF-ready, Dual ISH-IHC, ELISA(Cap), ELISA(Det), ELISA(Sta), Flow, ICC, IHC, IP, Simple Western, WB
NBP1-58268
Species: Hu, Mu
Applications: IHC,  IHC-P, WB
NBP1-87822
Species: Hu, Mu, Rt
Applications: ICC/IF, IHC,  IHC-P, KD, WB
NBP2-67375
Species: Hu, Mu, Rt
Applications: ChIP, ICC/IF, IHC,  IHC-P, WB
NBP2-02211
Species: Ca, Hu, Pm, Mu, Rt
Applications: Flow, ICC/IF, IHC,  IHC-P, IP, WB
4014-SP
Species: Hu
Applications: BA
NBP3-03109
Species: Hu, Mu
Applications: IHC,  IHC-P, WB
AF7866
Species: Hu
Applications: ICC, WB
NB120-2928
Species: Hu, Mu, Pm, Rb, Rt, Sh
Applications: ICC/IF, IHC,  IHC-P, IP, WB
MAB1419
Species: Hu, Rt
Applications: CyTOF-ready, ICC, IHC, ICFlow
NBP2-42886
Species: Hu, Mu, Rt
Applications: ICC/IF, IHC, IHC-Fr,  IHC-P, WB

Publications for Emerin Antibody (NBP3-43886) (0)

There are no publications for Emerin Antibody (NBP3-43886).
By submitting your publication information earn gift cards and discounts for future purchases.

Reviews for Emerin Antibody (NBP3-43886) (0)

There are no reviews for Emerin Antibody (NBP3-43886). By submitting a review you will receive an Amazon e-Gift Card or Novus Product Discount.
  • Review with no image -- $10/€7/£6/$10 CAD/¥70 Yuan/¥1110 Yen
  • Review with an image -- $25/€18/£15/$25 CAD/¥150 Yuan/¥2500 Yen

Product General Protocols

Find general support by application which include: protocols, troubleshooting, illustrated assays, videos and webinars.

Video Protocols

WB Video Protocol
ICC/IF Video Protocol

FAQs for Emerin Antibody (NBP3-43886) (0)

There are no specific FAQs related to this product. Read our general customer & technical service FAQs.

Secondary Antibodies

 

Isotype Controls

Additional Emerin Products

Research Areas for Emerin Antibody (NBP3-43886)

Find related products by research area.

Blogs on Emerin

There are no specific blogs for Emerin, but you can read our latest blog posts.

Customers Who Bought This Also Bought

Contact Information

Product PDFs

Calculators

Concentration Calculator

The concentration calculator allows you to quickly calculate the volume, mass or concentration of your vial. Simply enter your mass, volume, or concentration values for your reagent and the calculator will determine the rest.

=
÷

Review this Product

Be the first to review our Emerin Antibody (CL0203) - Azide and BSA Free and receive a gift card or discount.

Bioinformatics

Gene Symbol EMD