eIF5A2 Antibody Summary
| Description |
This antibody can be stored at 2C to 8C for one month without detectable loss of activity. Antibody products are stable for twelve months from date of receipt when stored at -20C to -80C. Avoid repeated freeze-thaw cycles. |
| Immunogen |
Produced in rabbits immunized with purified, recombinant Human eIF5A2 (Q9GZV4; Met1-Lys153). |
| Isotype |
IgG |
| Clonality |
Polyclonal |
| Host |
Rabbit |
| Gene |
EIF5A2 |
| Purity |
Affinity purified |
| Innovator's Reward |
Test in a species/application not listed above to receive a full credit towards a future purchase. |
Applications/Dilutions
| Dilutions |
- ELISA
- Immunohistochemistry
- Immunohistochemistry-Paraffin
- Immunoprecipitation
- Western Blot
|
Packaging, Storage & Formulations
| Storage |
Store at 4C short term. Aliquot and store at -20C long term. Avoid freeze-thaw cycles. |
| Buffer |
0.2 um filtered solution in PBS |
| Preservative |
No Preservative |
| Purity |
Affinity purified |
Alternate Names for eIF5A2 Antibody
Background
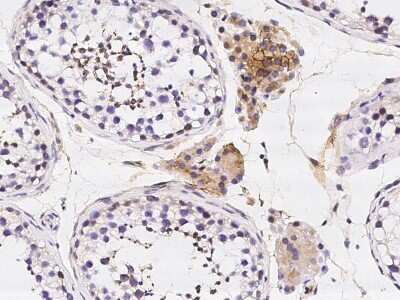
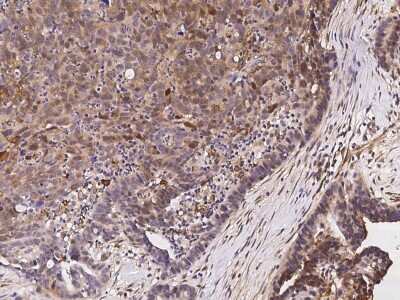
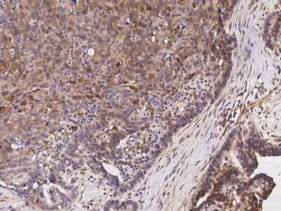
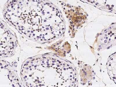
Eukaryotic translation initiation factor 5A (eIF5A) is an essential protein tightly linked to cellular polyamine homeostasis. EIF5A2, a novel phylogenetically conserved gene for eIF5A islocalized in an area of the genome often noted for chromosomal instability in cancers. EIF5A2 expression has been observed in testis, brain and colorectal adenocarcinoma
Limitations
This product is for research use only and is not approved for use in humans or in clinical diagnosis. Primary Antibodies are
guaranteed for 1 year from date of receipt.
Customers Who Viewed This Item Also Viewed...
Species: Hu, Mu, Rt
Applications: IHC, WB
Species: Hu
Applications: ICC/IF, IHC, IHC-P, WB
Species: Hu
Applications: ELISA, Flow, ICC/IF, IHC, IHC-P, WB
Species: Hu
Applications: IHC, IHC-P, WB
Species: Hu, Mu
Applications: WB
Species: Hu, Mu, Rt
Applications: Flow, ICC/IF, IHC, IHC-P, WB
Species: Hu
Applications: ELISA, ICC/IF, S-ELISA, WB
Species: Hu
Applications: ELISA, ICC/IF, WB
Species: Hu
Applications: ICC/IF, IHC, IHC-P
Species: Hu
Applications: ICC/IF, IHC, IHC-P
Species: Hu, Mu, Rt
Applications: ICC/IF, IHC, IHC-P, WB
Species: Hu
Applications: BA
Species: Hu, Mu
Applications: IHC, IHC-P, IP, WB
Species: Hu
Applications: ICC/IF, IHC, IHC-P
Species: Hu, Mu
Applications: ICC, IHC
Species: Hu, Mu, Rt, Xp(-), Ye
Applications: CyTOF-ready, ELISA, Flow-IC, Flow, ICC/IF, IHC, IHC-Fr, IHC-P, IP, WB
Species: Hu
Applications: ICC/IF, PEP-ELISA, WB
Species: Hu, Mu
Applications: ICC/IF, IHC, IHC-P, WB
Publications for eIF5A2 Antibody (NBP2-96988) (0)
There are no publications for eIF5A2 Antibody (NBP2-96988).
By submitting your publication information earn gift cards and discounts for future purchases.
Reviews for eIF5A2 Antibody (NBP2-96988) (0)
There are no reviews for eIF5A2 Antibody (NBP2-96988).
By submitting a review you will receive an Amazon e-Gift Card or Novus Product Discount.
- Review with no image -- $10/€7/£6/$10 CAD/¥70 Yuan/¥1110 Yen
- Review with an image -- $25/€18/£15/$25 CAD/¥150 Yuan/¥2500 Yen
Product General Protocols
Find general support by application which include: protocols, troubleshooting, illustrated assays, videos and webinars.
Video Protocols
FAQs for eIF5A2 Antibody (NBP2-96988) (0)
Secondary Antibodies
| |
Isotype Controls
|
Additional eIF5A2 Products
Research Areas for eIF5A2 Antibody (NBP2-96988)
Find related products by research area.
|
Blogs on eIF5A2