EBAG9/RCAS1 Antibody (CPTC-EBAG9-1) - Azide and BSA Free

Images

 
Immunocytochemistry/ Immunofluorescence: EBAG9/RCAS1 Antibody (CPTC-EBAG9-1) - Azide and BSA Free [NBP3-08859] - Immunofluorescence Analysis of Human MCF-7 cells labeling EBAG9/RCAS1 with EBAG9/RCAS1 Mouse Monoclonal ...read more
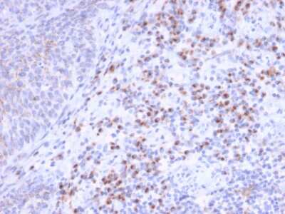
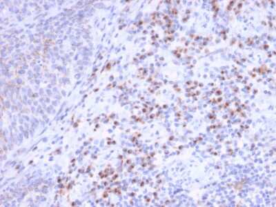
Immunohistochemistry-Paraffin: EBAG9/RCAS1 Antibody (CPTC-EBAG9-1) - Azide and BSA Free [NBP3-08859] - Formalin-fixed, paraffin-embedded human Unknown Tumor stained with EBAG9/RCAS1 Mouse Monoclonal Antibody ...read more

Product Details

Summary
Reactivity HuSpecies Glossary
Applications ICC/IF, IHC
Clone
CPTC-EBAG9-1
Clonality
Monoclonal
Host
Mouse
Conjugate
Unconjugated
Format
Azide and BSA Free
Concentration
1 mg/ml

Order Details

EBAG9/RCAS1 Antibody (CPTC-EBAG9-1) - Azide and BSA Free Summary

Description
1.0 mg/ml of antibody purified from Bioreactor Concentrate by Protein A/G. Prepared in 10mM PBS WITHOUT BSA & azide. Also available at 200 ug/ml WITH BSA & azide (NBP3-07534).

Antibody with azide - store at 2 to 8C. Antibody without azide - store at -20 to -80C.
Immunogen
Recombinant human full-length EBAG9/RCAS1 protein (Uniprot: O00559)
Localization
Golgi apparatus
Isotype
IgG2c Kappa
Clonality
Monoclonal
Host
Mouse
Gene
EBAG9
Purity
Protein A or G purified
Innovator's Reward
Test in a species/application not listed above to receive a full credit towards a future purchase.

Applications/Dilutions

Dilutions
  • Immunocytochemistry/ Immunofluorescence 1-2 ug/ml
  • Immunohistochemistry
  • Immunohistochemistry-Paraffin
Application Notes
Immunohistochemistry Formalin-fixed: 1-2ug/ml for 30 minutes at RT. Staining of formalin-fixed tissues requires heating tissue sections in 10mM Tris with 1mM EDTA, pH 9.0, for 45 min at 95C followed by cooling at RT for 20 minutes.
Theoretical MW
32 kDa.
Disclaimer note: The observed molecular weight of the protein may vary from the listed predicted molecular weight due to post translational modifications, post translation cleavages, relative charges, and other experimental factors.

Packaging, Storage & Formulations

Storage
Store at -20 to -80C. Avoid freeze-thaw cycles.
Buffer
10 mM PBS
Preservative
No Preservative
Concentration
1 mg/ml
Purity
Protein A or G purified

Alternate Names for EBAG9/RCAS1 Antibody (CPTC-EBAG9-1) - Azide and BSA Free

  • Cancer-associated surface antigen RCAS1
  • EB9cancer associated surface antigen
  • estrogen receptor binding site associated, antigen, 9
  • Estrogen receptor-binding fragment-associated gene 9 protein
  • RCAS1PDAF
  • receptor-binding cancer antigen expressed on SiSo cells

Background

EBAG9 was identified as an estrogen-responsive gene. Regulation of transcription by estrogen is mediated by estrogen receptor which binds to the estrogen-responsive element (ERE) found in the 5'-flanking region of this gene. The encoded protein is a tumor-associated antigen that is expressed at high frequency in a variety of cancers. Two transcript variants differing in the 5' UTR, but encoding the same protein, have been identified for this gene.

Limitations

This product is for research use only and is not approved for use in humans or in clinical diagnosis. Primary Antibodies are guaranteed for 1 year from date of receipt.

Customers Who Viewed This Item Also Viewed...

H00003669-M01
Species: Hu
Applications: ELISA, ICC/IF, S-ELISA, WB
DR2A00
Species: Hu
Applications: ELISA
NB600-1441
Species: Ca, Hu, Mu, Po
Applications: Flow, ICC/IF, IHC, IHC-Fr,  IHC-P, KD
NB100-524
Species: Hu, Mu
Applications: Flow-IC, Flow, ICC/IF, IHC, IHC-Fr,  IHC-P, IP, WB
NBP2-79843
Species: Hu
Applications: CyTOF-ready, ELISA, Flow, ICC/IF, IHC,  IHC-P, PA, WB
DVE00
Species: Hu
Applications: ELISA
7268-CT
Species: Hu
Applications: BA
AF2408
Species: Hu, Mu
Applications: CyTOF-ready, Flow, ICC, KO, Simple Western, WB
DFL00B
Species: Hu
Applications: ELISA
NB300-560
Species: Av, Bv, Ma, Hu, Mu, Pm, Rt
Applications: IF, IHC, IHC-Fr,  IHC-P, WB
NB100-683
Species: Hu, Mu, Rt
Applications: Dual ISH-IHC, EM, Flow, ICC/IF, IHC, IHC-Fr,  IHC-P, IP, WB
NBP2-34594
Species: Hu, Pm
Applications: CyTOF-ready, Flow, ICC/IF, IHC,  IHC-P
AF4478
Species: Hu
Applications: IHC, WB
AF6386
Species: Hu
Applications: IP, WB
NBP3-41306
Species: Hu, Mu, Rt
Applications: WB

Publications for EBAG9/RCAS1 Antibody (NBP3-08859) (0)

There are no publications for EBAG9/RCAS1 Antibody (NBP3-08859).
By submitting your publication information earn gift cards and discounts for future purchases.

Reviews for EBAG9/RCAS1 Antibody (NBP3-08859) (0)

There are no reviews for EBAG9/RCAS1 Antibody (NBP3-08859). By submitting a review you will receive an Amazon e-Gift Card or Novus Product Discount.
  • Review with no image -- $10/€7/£6/$10 CAD/¥70 Yuan/¥1110 Yen
  • Review with an image -- $25/€18/£15/$25 CAD/¥150 Yuan/¥2500 Yen

Product General Protocols

Find general support by application which include: protocols, troubleshooting, illustrated assays, videos and webinars.

Video Protocols

ICC/IF Video Protocol

FAQs for EBAG9/RCAS1 Antibody (NBP3-08859) (0)

There are no specific FAQs related to this product. Read our general customer & technical service FAQs.

Secondary Antibodies

 

Isotype Controls

Additional EBAG9/RCAS1 Products

Research Areas for EBAG9/RCAS1 Antibody (NBP3-08859)

Find related products by research area.

Blogs on EBAG9/RCAS1

There are no specific blogs for EBAG9/RCAS1, but you can read our latest blog posts.

Customers Who Bought This Also Bought

Contact Information

Product PDFs

Calculators

Concentration Calculator

The concentration calculator allows you to quickly calculate the volume, mass or concentration of your vial. Simply enter your mass, volume, or concentration values for your reagent and the calculator will determine the rest.

=
÷

Review this Product

Be the first to review our EBAG9/RCAS1 Antibody (CPTC-EBAG9-1) - Azide and BSA Free and receive a gift card or discount.

Bioinformatics

Gene Symbol EBAG9