Dysferlin Antibody (CL10888) - Azide and BSA Free

Images

 
Orthogonal Strategies: Analysis in human spleen and skin tissues using NBP3-43895 antibody. Corresponding Dysferlin RNA-seq data are presented for the same tissues.
Staining of human lymph node shows strong membranous positivity in non-germinal center cells and endothelial cells.
Staining of human skin shows no positivity in keratinocytes as expected.
Staining of human placenta shows moderate membranous positivity in trophoblastic cells.
Staining of human spleen shows moderate positivity in cells in red pulp.
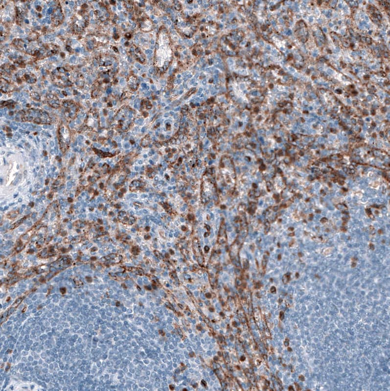
Analysis in human cell line RH-30.

Product Details

Summary
Reactivity HuSpecies Glossary
Applications WB, IHC
Clone
CL10888
Clonality
Monoclonal
Host
Mouse
Conjugate
Unconjugated
Format
Azide and BSA Free
Concentration
LYOPH
Validated by:
       

Orthogonal Strategies

 

Order Details

Dysferlin Antibody (CL10888) - Azide and BSA Free Summary

Description
Novus Biologicals Mouse Dysferlin Antibody (CL10888) - Azide and BSA Free (NBP3-07994) is a monoclonal antibody validated for use in IHC and WB. All Novus Biologicals antibodies are covered by our 100% guarantee.
Immunogen
This antibody was generated using a recombinant protein sequence of O75923, with the exact immunogen sequence remaining proprietary.
Isotype
IgG1
Clonality
Monoclonal
Host
Mouse
Gene
DYSF
Purity
Protein A purified
Innovator's Reward
Test in a species/application not listed above to receive a full credit towards a future purchase.

Applications/Dilutions

Dilutions
  • Immunohistochemistry-Paraffin 1:1000 - 1:2500
  • Western Blot 1 ug/ml
Application Notes
For IHC-Paraffin, HIER pH 6 retrieval is recommended.

Packaging, Storage & Formulations

Storage
Store at 4C short term. Aliquot and store at -20C long term. Avoid freeze-thaw cycles.
Buffer
Lyophilized from a 0.2 um filtered solution in PBS with Trehalose
Preservative
No Preservative
Concentration
LYOPH
Purity
Protein A purified
Reconstitution Instructions
Centrifuge the vial of lyophilized antibody at 12,000 x g for 20 seconds. Reconstitute by adding sterile, distilled water to achieve a final antibody concentration of 1mg/ml.

Alternate Names for Dysferlin Antibody (CL10888) - Azide and BSA Free

  • dysferlin
  • dysferlin, limb girdle muscular dystrophy 2B (autosomal recessive)
  • dystrophy-associated fer-1-like 1
  • FER1L1Dystrophy-associated fer-1-like protein
  • Fer-1-like protein 1
  • FLJ00175
  • FLJ90168
  • LGMD2B

Background

Dysferlin is the protein product of the 2p13 gene that is defective in patients with Limb-Girdle Muscular Dystrophy type 2B (LGMD2B) and Miyoshi Myopathy (MM). Dysferlin is normally localized to the muscle plasma membrane. In patients with LGMD2B and MM, immunoreactivity to dysferlin is severely reduced or lost, depending on the type of mutation. This antibody is used for the characterization of LGMD2B and MM.

Limitations

This product is for research use only and is not approved for use in humans or in clinical diagnosis. Primary Antibodies are guaranteed for 1 year from date of receipt.

Customers Who Viewed This Item Also Viewed...

NB110-5029
Species: Hu, Mu, Rt
Applications: Flow, ICC/IF, IHC,  IHC-P, IP, WB
NBP1-89953
Species: Hu, Mu
Applications: ICC/IF, IHC,  IHC-P
NBP3-35199
Species: Mu, Rt
Applications: ELISA, ICC/IF, WB
NBP1-84694
Species: Hu, Mu
Applications: ICC/IF, IHC,  IHC-P, Simple Western, WB
NBP2-67150
Species: Hu, Mu, Rt
Applications: IHC, IHC-Fr,  IHC-P, IP, WB
NBP1-85630
Species: Hu
Applications: IHC,  IHC-P, WB
NBP1-85632
Species: Hu
Applications: ICC/IF, IHC,  IHC-P
NBP1-85544
Species: Hu
Applications: IHC,  IHC-P, WB
NBP1-90299
Species: Hu
Applications: ICC/IF, IHC, IHC-Fr,  IHC-P, WB
H00079147-Q01
Species: Hu
Applications: ELISA, AP, PA, WB
NBP1-90300
Species: Hu
Applications: IHC,  IHC-P
NBP3-35199
Species: Mu, Rt
Applications: ELISA, ICC/IF, WB
NBP1-46574
Species: Hu, Mu, Rt
Applications: IHC,  IHC-P, WB
NBP1-88071
Species: Hu, Rt
Applications: ICC/IF, IHC,  IHC-P
AF6868
Species: Hu
Applications: IHC, KO, WB
NBP1-87851
Species: Hu
Applications: IHC,  IHC-P
H00079026-M01
Species: Hu, Mu
Applications: ELISA, ICC/IF, IHC, IHC-Fr, IP, WB
H00022954-M09
Species: Hu, Mu
Applications: ELISA, ICC/IF, IHC, KD, WB
NBP2-36776
Species: Hu
Applications: ICC/IF, IHC,  IHC-P, KD, WB
AF1936
Species: Hu
Applications: IP, WB

Publications for Dysferlin Antibody (NBP3-43895) (0)

There are no publications for Dysferlin Antibody (NBP3-43895).
By submitting your publication information earn gift cards and discounts for future purchases.

Reviews for Dysferlin Antibody (NBP3-43895) (0)

There are no reviews for Dysferlin Antibody (NBP3-43895). By submitting a review you will receive an Amazon e-Gift Card or Novus Product Discount.
  • Review with no image -- $10/€7/£6/$10 CAD/¥70 Yuan/¥1110 Yen
  • Review with an image -- $25/€18/£15/$25 CAD/¥150 Yuan/¥2500 Yen

Product General Protocols

Find general support by application which include: protocols, troubleshooting, illustrated assays, videos and webinars.

Video Protocols

WB Video Protocol

FAQs for Dysferlin Antibody (NBP3-43895) (0)

There are no specific FAQs related to this product. Read our general customer & technical service FAQs.

Secondary Antibodies

 

Isotype Controls

Additional Dysferlin Products

Research Areas for Dysferlin Antibody (NBP3-43895)

Find related products by research area.

Blogs on Dysferlin

There are no specific blogs for Dysferlin, but you can read our latest blog posts.

Customers Who Bought This Also Bought

Contact Information

Product PDFs

Calculators

Concentration Calculator

The concentration calculator allows you to quickly calculate the volume, mass or concentration of your vial. Simply enter your mass, volume, or concentration values for your reagent and the calculator will determine the rest.

=
÷

Review this Product

Be the first to review our Dysferlin Antibody (CL10888) - Azide and BSA Free and receive a gift card or discount.

Bioinformatics

Gene Symbol DYSF