DNAJC3 Antibody

Images

 
Western Blot: DNAJC3 Antibody [NBP2-16195] - Sample (30 ug of whole cell lysate) A: Raji 7. 5% SDS PAGE gel, diluted at 1:1000.
Immunocytochemistry/ Immunofluorescence: DNAJC3 Antibody [NBP2-16195] - A431 cells were fixed in iced-cold MeOH for 5 min. Green: DNAJC3 protein stained by DNAJC3 antibody diluted at 1:500. Blue: Hoechst 33343 staining.
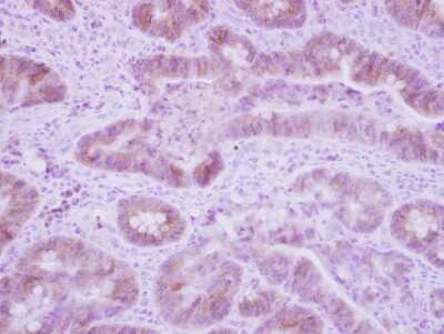
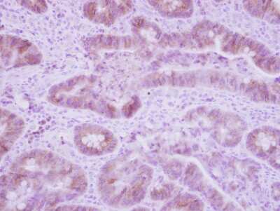
Immunohistochemistry-Paraffin: DNAJC3 Antibody [NBP2-16195] - Immunohistochemical analysis of paraffin-embedded Colon ca, using antibody at 1:250 dilution.

Product Details

Summary
Product Discontinued
View other related DNAJC3 Primary Antibodies

Order Details


    • Catalog Number
      NBP2-16195
    • Availability
      Product Discontinued

    Can't find what you are looking for? Use our Antibody Concierge Service & we will help you locate your antibody!

    Or feel free to contact us for alternative products.

DNAJC3 Antibody Summary

Immunogen
Recombinant protein encompassing a sequence within the center region of human DNAJC3. The exact sequence is proprietary.
Localization
Endoplasmic reticulum
Marker
ER Stress Marker
Isotype
IgG
Clonality
Polyclonal
Host
Rabbit
Gene
DNAJC3
Purity
Immunogen affinity purified
Innovator's Reward
Test in a species/application not listed above to receive a full credit towards a future purchase.

Applications/Dilutions

Dilutions
  • Immunocytochemistry/ Immunofluorescence 1:100-1:1000
  • Immunohistochemistry 10 - 1:500
  • Immunohistochemistry-Paraffin 1:100-1:1000
  • Western Blot 1:500-1:3000
Theoretical MW
58 kDa.
Disclaimer note: The observed molecular weight of the protein may vary from the listed predicted molecular weight due to post translational modifications, post translation cleavages, relative charges, and other experimental factors.

Packaging, Storage & Formulations

Storage
Aliquot and store at -20C or -80C. Avoid freeze-thaw cycles.
Buffer
0.1M Tris (pH 7), 0.1M Glycine, 20% Glycerol
Preservative
0.01% Thimerosal
Purity
Immunogen affinity purified

Alternate Names for DNAJC3 Antibody

  • DnaJ (Hsp40) homolog, subfamily C, member 3
  • HP58
  • Interferon-induced, double-stranded RNA-activated protein kinase inhibitor
  • P58FLJ21288
  • P58IPKProtein kinase inhibitor p58
  • PRKRIdnaJ homolog subfamily C member 3
  • Protein kinase inhibitor of 58 kDa
  • protein-kinase, interferon-inducible double stranded RNA dependent inhibitor

Background

The protein encoded by this gene contains multiple tetratricopeptide repeat (TPR) motifs as well as the highly conserved J domain found in DNAJ chaperone family members. It is a member of the tetratricopeptide repeat family of proteins and acts as an inhibitor of the interferon-induced, dsRNA-activated protein kinase (PKR). [provided by RefSeq]

Limitations

This product is for research use only and is not approved for use in humans or in clinical diagnosis. Primary Antibodies are guaranteed for 1 year from date of receipt.

Customers Who Viewed This Item Also Viewed...

NBP1-77266
Species: Hu, Mu, Rt
Applications: ELISA, ICC/IF, IHC,  IHC-P, WB
AF8519
Species: Hu, Mu, Rt
Applications: Simple Western, WB
NBP1-06274
Species: Ce, Ch, Dr, Hu, Mu, Rt, Sh, Ze
Applications: Flow, ICC/IF, IHC-FrFl, IHC,  IHC-P, Simple Western, WB
NBP2-61871
Species: Hu
Applications: ELISA, Flow, ICC/IF, IHC,  IHC-P, WB
NBP2-03381
Species: Ca, Hu, Pm, Mu, Pm, Rt
Applications: Flow, ICC/IF, IHC,  IHC-P, WB
MAB2014
Species: Hu
Applications: CyTOF-reported, Flow
MAB1058
Species: Hu
Applications: Block, CyTOF-ready, Flow
NB600-1335
Species: Hu, Mu, Pm, Rt
Applications: ChIP, ELISA, Flow, GS, ICC/IF, IHC,  IHC-P, IP, KD, Simple Western, WB
NBP1-90149
Species: Hu, Mu, Rt
Applications: IHC,  IHC-P, WB
AF1543
Species: Hu
Applications: IHC, WB
AF1230
Species: Hu, Mu, Rt
Applications: IHC, KO, WB
NBP2-50419
Species: Hu
Applications: CyTOF-ready, Flow, IP
NB100-496
Species: Hu
Applications: IHC,  IHC-P, IP, WB
NBP2-92609
Species: Hu, Mu
Applications: ELISA, ICC/IF, WB
H00001523-M01
Species: Hu, Mu, Rt
Applications: ELISA, ICC/IF, IHC,  IHC-P, IP, WB
NBP1-19151
Species: Bv, Hu, Ma
Applications: ICC/IF, IHC,  IHC-P, IP, WB
NBP3-26850
Species: Hu
Applications: ICC/IF, IHC,  IHC-P, WB
H00008878-M01
Species: Bv, Ha, Hu, Mu, Rb, Rt
Applications: ELISA, ICC/IF, IHC, IHC-Fr,  IHC-P, IP, WB
MAB8930
Species: Hu
Applications: ICC, Simple Western, WB
NBP2-16195
Species: Hu
Applications: WB, ICC/IF, IHC
⚠ WARNING: This product can expose you to chemicals including mercury, which is known to the State of California to cause reproductive toxicity with developmental effects.  For more information go to www.P65Warnings.ca.gov.

Publications for DNAJC3 Antibody (NBP2-16195) (0)

There are no publications for DNAJC3 Antibody (NBP2-16195).
By submitting your publication information earn gift cards and discounts for future purchases.

Reviews for DNAJC3 Antibody (NBP2-16195) (0)

There are no reviews for DNAJC3 Antibody (NBP2-16195). By submitting a review you will receive an Amazon e-Gift Card or Novus Product Discount.
  • Review with no image -- $10/€7/£6/$10 CAD/¥70 Yuan/¥1110 Yen
  • Review with an image -- $25/€18/£15/$25 CAD/¥150 Yuan/¥2500 Yen

Product General Protocols

Find general support by application which include: protocols, troubleshooting, illustrated assays, videos and webinars.

Video Protocols

WB Video Protocol
ICC/IF Video Protocol

FAQs for DNAJC3 Antibody (NBP2-16195) (0)

There are no specific FAQs related to this product. Read our general customer & technical service FAQs.

Secondary Antibodies

 

Isotype Controls

Additional DNAJC3 Products

Research Areas for DNAJC3 Antibody (NBP2-16195)

Find related products by research area.

Blogs on DNAJC3

There are no specific blogs for DNAJC3, but you can read our latest blog posts.

Contact Information

Product PDFs

Calculators

Concentration Calculator

The concentration calculator allows you to quickly calculate the volume, mass or concentration of your vial. Simply enter your mass, volume, or concentration values for your reagent and the calculator will determine the rest.

=
÷

Review this Product

Be the first to review our DNAJC3 Antibody and receive a gift card or discount.

Bioinformatics

Gene Symbol DNAJC3
Uniprot