DNA Polymerase beta Antibody (JM93-12)

Images

 
Western Blot: DNA Polymerase beta Antibody (JM93-12) [NBP2-67036] - Western blot analysis of DNA Polymerase beta on zebrafish tissue lysates. Proteins were transferred to a PVDF membrane and blocked with 5% BSA in PBS ...read more
Immunohistochemistry-Paraffin: DNA Polymerase beta Antibody (JM93-12) [NBP2-67036] - Immunohistochemical analysis of paraffin-embedded mouse cerebellum tissue using anti-DNA Polymerase beta antibody. The section was ...read more
Western Blot: DNA Polymerase beta Antibody (JM93-12) [NBP2-67036] - Analysis of DNA Polymerase beta on different cell lysates using anti-DNA Polymerase beta antibody at 1/1,000 dilution. Positive control:Lane 1: PC-12 ...read more
Immunohistochemistry-Paraffin: DNA Polymerase beta Antibody (JM93-12) [NBP2-67036] - Analysis of paraffin-embedded human breast cancer tissue using anti-DNA Polymerase beta antibody. Counter stained with hematoxylin.
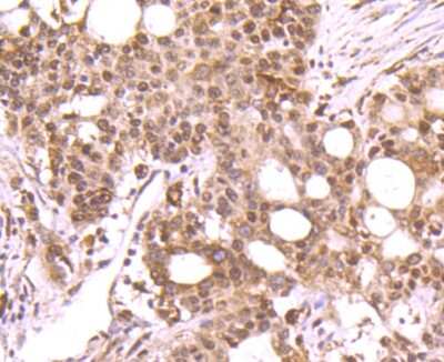
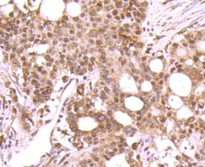
Immunohistochemistry-Paraffin: DNA Polymerase beta Antibody (JM93-12) [NBP2-67036] - Analysis of paraffin-embedded human stomach cancer tissue using anti-DNA Polymerase beta antibody. Counter stained with hematoxylin.
Immunohistochemistry-Paraffin: DNA Polymerase beta Antibody (JM93-12) [NBP2-67036] - Analysis of paraffin-embedded human uterus tissue using anti-DNA Polymerase beta antibody. Counter stained with hematoxylin.
Immunohistochemistry-Paraffin: DNA Polymerase beta Antibody (JM93-12) [NBP2-67036] - Analysis of paraffin-embedded rat lung tissue using anti-DNA Polymerase beta antibody. Counter stained with hematoxylin.

Product Details

Summary
Product Discontinued
View other related DNA Polymerase beta Primary Antibodies

Order Details


    • Catalog Number
      NBP2-67036
    • Availability
      Product Discontinued

    Can't find what you are looking for? Use our Antibody Concierge Service & we will help you locate your antibody!

    Or feel free to contact us for alternative products.

DNA Polymerase beta Antibody (JM93-12) Summary

Additional Information
Recombinant Monoclonal Antibody.
Immunogen
Synthetic peptide within Human DNA Polymerase beta aa 286-335 / 335. (SwissProt: P06746 Human; SwissProt: Q8K409 Mouse; SwissProt: P06766 Rat)
Localization
Nucleus, Cytoplasm.
Isotype
IgG
Clonality
Monoclonal
Host
Rabbit
Gene
POLB
Purity
Protein A purified
Innovator's Reward
Test in a species/application not listed above to receive a full credit towards a future purchase.

Applications/Dilutions

Dilutions
  • Immunocytochemistry/ Immunofluorescence 1:20-1:50
  • Immunohistochemistry-Paraffin 1:50-1:200
  • Immunoprecipitation 1:10-1:20
  • Western Blot 1:500

Packaging, Storage & Formulations

Storage
Store at 4C short term. Aliquot and store at -20C long term. Avoid freeze-thaw cycles.
Buffer
TBS (pH7.4), 0.05% BSA, 40% Glycerol
Preservative
0.05% Sodium Azide
Concentration
1 mg/ml
Purity
Protein A purified

Alternate Names for DNA Polymerase beta Antibody (JM93-12)

  • DNA pol beta
  • DNA polymerase beta subunit
  • DNA Polymerase beta
  • EC 2.7.7.7
  • EC 4.2.99.-
  • MGC125976
  • POLB
  • polymerase (DNA directed), beta

Background

DNA polymerase beta comprises an amino terminal 8kDa domain and a carboxy terminal 31kDa domain. DNA Polymerase beta, a DNA repair polymerase is constitutively expressed in cultured cells. DNA polymerase beta fills single nucleotide gaps in DNA produced by the base excision repair pathway of mammalian cells.

Limitations

This product is for research use only and is not approved for use in humans or in clinical diagnosis. Primary Antibodies are guaranteed for 1 year from date of receipt.

Customers Who Viewed This Item Also Viewed...

NB100-116
Species: Hu, Mu, Pm, Rt
Applications: ChIP, ELISA, GS, IB, ICC/IF, IHC, IHC-Fr,  IHC-P, IP, KD, PLA, Simple Western, WB
NB500-106
Species: Ch, Dr, Fi, Hu, Mar, Mu, Po, Pm, Rb, Rt, Ye, Ze
Applications: ChIP, ChIP, ELISA, Flow, ICC/IF, IHC-FrFl, IHC, IHC-Fr,  IHC-P, IP, Simple Western, WB
NB100-81665
Species: Hu, Mu
Applications: IHC,  IHC-P, IP, WB (-)
NBP2-31368
Species: Hu
Applications: ICC/IF, IHC,  IHC-P, WB
NB100-150
Species: Hu, Mu
Applications: ChIP, ICC/IF, IP, Simple Western, WB
NBP2-27335
Species: Hu, Mu, Rt(-)
Applications: CyTOF-ready, Flow, ICC/IF, WB
NBP1-87154
Species: Hu
Applications: ICC/IF, IHC,  IHC-P, KD, WB
NB100-106
Species: Hu, Mu, Po, Pm, Rb, Rt
Applications: ELISA, Flow-IC, Flow, IB, ICC/IF, IHC, IHC-Fr,  IHC-P, IP, PLA, WB
NBP1-41190
Species: Ch, Hu, Mu
Applications: B/N, ICC/IF, IP, PLA, WB
NBP1-52300
Species: Hu, Mu
Applications: ICC, ICC/IF, IHC,  IHC-P, WB
NBP2-16182
Species: Hu, Mu, Rt
Applications: ICC/IF, IHC,  IHC-P, WB
NBP2-57664
Species: Hu
Applications: ICC/IF, WB
NB100-119
Species: Hu, Mu
Applications: ICC/IF,  IHC-P, IP, In vitro, RIA, WB
NB200-103
Species: Hu, Mu, Rt, Xp(-), Ye
Applications: CyTOF-ready, ELISA, Flow-IC, Flow, ICC/IF, IHC, IHC-Fr,  IHC-P, IP, WB

Publications for DNA Polymerase beta Antibody (NBP2-67036) (0)

There are no publications for DNA Polymerase beta Antibody (NBP2-67036).
By submitting your publication information earn gift cards and discounts for future purchases.

Reviews for DNA Polymerase beta Antibody (NBP2-67036) (0)

There are no reviews for DNA Polymerase beta Antibody (NBP2-67036). By submitting a review you will receive an Amazon e-Gift Card or Novus Product Discount.
  • Review with no image -- $10/€7/£6/$10 CAD/¥70 Yuan/¥1110 Yen
  • Review with an image -- $25/€18/£15/$25 CAD/¥150 Yuan/¥2500 Yen

Product General Protocols

Find general support by application which include: protocols, troubleshooting, illustrated assays, videos and webinars.

Video Protocols

WB Video Protocol
ICC/IF Video Protocol

FAQs for DNA Polymerase beta Antibody (NBP2-67036) (0)

There are no specific FAQs related to this product. Read our general customer & technical service FAQs.

Secondary Antibodies

 

Isotype Controls

Additional DNA Polymerase beta Products

Research Areas for DNA Polymerase beta Antibody (NBP2-67036)

Find related products by research area.

Blogs on DNA Polymerase beta.

PARP Antibody Assays aid both Apoptosis and Cancer Research
The PARP (Poly(ADP-ribose) polymerase) protein is a zinc-dependant nuclear enzyme whose main role is to detect and repair DNA single-strand breaks (SSB). However, PARP antibody research has revealed there are at least 17 PARP proteins, which also play...  Read full blog post.

Contact Information

Product PDFs

Calculators

Concentration Calculator

The concentration calculator allows you to quickly calculate the volume, mass or concentration of your vial. Simply enter your mass, volume, or concentration values for your reagent and the calculator will determine the rest.

=
÷

Review this Product

Be the first to review our DNA Polymerase beta Antibody (JM93-12) and receive a gift card or discount.

Bioinformatics

Gene Symbol POLB