Desmoglein-2 Antibody (JB96-37)

Images

 
Western Blot: Desmoglein-2 Antibody (JB96-37) [NBP2-75469] - Western blot analysis of Desmoglein 2 on Siha cell lysates using anti-Desmoglein 2 antibody at 1/500 dilution.
Immunohistochemistry-Paraffin: Desmoglein-2 Antibody (JB96-37) [NBP2-75469] - Analysis of paraffin-embedded rat heart tissue using anti-Desmoglein 2 antibody. Counter stained with hematoxylin.
Flow Cytometry: Desmoglein-2 Antibody (JB96-37) [NBP2-75469] - Analysis of A431 cells with Desmoglein 2 antibody at 1/100 dilution (red) compared with an unlabelled control (cells without incubation with primary ...read more
Western Blot: Desmoglein-2 Antibody (JB96-37) [NBP2-75469] - Analysis of Desmoglein 2 on A431 cell using anti-Desmoglein 2 antibody at 1/500 dilution.
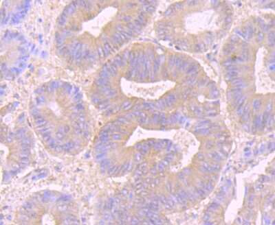
Immunohistochemistry-Paraffin: Desmoglein-2 Antibody (JB96-37) [NBP2-75469] - Analysis of paraffin-embedded human colon cancer tissue using anti-Desmoglein 2 antibody. Counter stained with hematoxylin.
Immunohistochemistry-Paraffin: Desmoglein-2 Antibody (JB96-37) [NBP2-75469] - Analysis of paraffin-embedded human prostate tissue using anti-Desmoglein 2 antibody. Counter stained with hematoxylin.
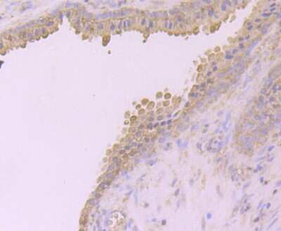
Immunohistochemistry-Paraffin: Desmoglein-2 Antibody (JB96-37) [NBP2-75469] - Analysis of paraffin-embedded human placenta tissue using anti-Desmoglein 2 antibody. Counter stained with hematoxylin.
Immunohistochemistry-Paraffin: Desmoglein-2 Antibody (JB96-37) [NBP2-75469] - Analysis of paraffin-embedded mouse small intestine tissue using anti-Desmoglein 2 antibody. Counter stained with hematoxylin.

Product Details

Summary
Product Discontinued
View other related Desmoglein-2 Primary Antibodies

Order Details


    • Catalog Number
      NBP2-75469
    • Availability
      Product Discontinued

    Can't find what you are looking for? Use our Antibody Concierge Service & we will help you locate your antibody!

    Or feel free to contact us for alternative products.

Desmoglein-2 Antibody (JB96-37) Summary

Additional Information
Recombinant Monoclonal Antibody.
Immunogen
Recombinant protein within Human Desmoglein-2 aa 961-1,118 / 1,118. (SwissProt: Q14126 Human; SwissProt: O55111 Mouse; SwissProt: F1LYX9 Rat)
Localization
Cell membrane.
Isotype
IgG
Clonality
Monoclonal
Host
Rabbit
Gene
DSG2
Purity
Protein A purified
Innovator's Reward
Test in a species/application not listed above to receive a full credit towards a future purchase.

Applications/Dilutions

Dilutions
  • Flow Cytometry 1:50-1:100
  • Immunohistochemistry 1:10 - 1:500
  • Immunohistochemistry-Paraffin 1:50-1:200
  • Western Blot 1:500-1:1000
Theoretical MW
150 kDa.
Disclaimer note: The observed molecular weight of the protein may vary from the listed predicted molecular weight due to post translational modifications, post translation cleavages, relative charges, and other experimental factors.

Packaging, Storage & Formulations

Storage
Store at 4C short term. Aliquot and store at -20C long term. Avoid freeze-thaw cycles.
Buffer
TBS (pH7.4), 0.05% BSA, 40% Glycerol
Preservative
0.05% Sodium Azide
Concentration
1 mg/ml
Purity
Protein A purified

Alternate Names for Desmoglein-2 Antibody (JB96-37)

  • ARVC10
  • ARVD10
  • Cadherin family member 5
  • CDHF5
  • CDHF5MGC117034
  • CMD1BB
  • desmoglein 2
  • Desmoglein2
  • Desmoglein-2
  • DSG2
  • HDGC
  • MGC117036
  • MGC117037

Background

Desmosomes are cell-cell junctions between epithelial, myocardial, and certain other cell types. Desmoglein 2 is a calcium-binding transmembrane glycoprotein component of desmosomes in vertebrate epithelial cells. Currently, three desmoglein subfamily members have been identified and all are members of the cadherin cell adhesion molecule superfamily. These desmoglein gene family members are located in a cluster on chromosome 18. This second family member is expressed in colon, colon carcinoma, and other simple and stratified epithelial-derived cell lines.

Limitations

This product is for research use only and is not approved for use in humans or in clinical diagnosis. Primary Antibodies are guaranteed for 1 year from date of receipt.

Customers Who Viewed This Item Also Viewed...

NBP2-48836
Species: Ca, Hu
Applications: ICC/IF, IHC,  IHC-P
AF7490
Species: Mu
Applications: IHC
AF944
Species: Hu
Applications: IHC, WB
NBP1-86078
Species: Hu
Applications: ICC/IF, IHC,  IHC-P, WB
MAB7265
Species: Mu
Applications: IHC, WB
NBP1-78984
Species: Hu, Mu
Applications: DB, ICC/IF, IHC,  IHC-P, IP, WB
AF748
Species: Hu, Mu
Applications: CyTOF-ready, Dual ISH-IHC, Flow, ICC, IHC, Simple Western, WB
NBP2-92546
Species: Hu, Mu
Applications: ELISA, ICC/IF, IHC, WB
NBP2-54527
Species: Bv, Ca, Ch, Fe, Hu, Mu, Rt
Applications: CyTOF-ready, Flow, ICC/IF,  IHC-P, WB
243-B3
Species: Hu
Applications: BA
AF231
Species: Hu
Applications: CyTOF-ready, Dual ISH-IHC, ELISA(Cap), ELISA(Det), ELISA(Sta), Flow, ICC, IHC, IP, Simple Western, WB
NBP2-15840
Species: Hu, Mu, Rt
Applications: ICC/IF, IHC,  IHC-P, WB
NBP1-88099
Species: Hu
Applications: IHC,  IHC-P, Simple Western, WB
NBP1-46853
Species: Hu, Mu
Applications: ICC/IF, IHC,  IHC-P, WB
AF1329
Species: Hu, Mu, Rt
Applications: ChIP, CyTOF-ready, ICC, IHC, ICFlow, Simple Western, WB
NBP1-85047
Species: Hu, Mu, Po, Rt
Applications: ICC/IF, IHC,  IHC-P, WB
NBP1-84132
Species: Hu
Applications: IHC,  IHC-P
H00005729-B01P
Species: Hu
Applications: Flow, ICC/IF, WB

Publications for Desmoglein-2 Antibody (NBP2-75469) (0)

There are no publications for Desmoglein-2 Antibody (NBP2-75469).
By submitting your publication information earn gift cards and discounts for future purchases.

Reviews for Desmoglein-2 Antibody (NBP2-75469) (0)

There are no reviews for Desmoglein-2 Antibody (NBP2-75469). By submitting a review you will receive an Amazon e-Gift Card or Novus Product Discount.
  • Review with no image -- $10/€7/£6/$10 CAD/¥70 Yuan/¥1110 Yen
  • Review with an image -- $25/€18/£15/$25 CAD/¥150 Yuan/¥2500 Yen

Product General Protocols

Find general support by application which include: protocols, troubleshooting, illustrated assays, videos and webinars.

Video Protocols

WB Video Protocol

FAQs for Desmoglein-2 Antibody (NBP2-75469). (Showing 1 - 1 of 1 FAQ).

  1. I am wondering whether the product NBP2-75469 is good for live cell sorting. Thanks
    • It looks like the immunogen for this Desmoglein-2 antibody is in the C-terminus, which is located in the cytoplasm, so you probably would need to permeabilize the cells to use this antibody in Flow.

Contact Information

Product PDFs

Calculators

Concentration Calculator

The concentration calculator allows you to quickly calculate the volume, mass or concentration of your vial. Simply enter your mass, volume, or concentration values for your reagent and the calculator will determine the rest.

=
÷

Review this Product

Be the first to review our Desmoglein-2 Antibody (JB96-37) and receive a gift card or discount.

Bioinformatics

Gene Symbol DSG2