Cytokeratin, LMW Antibody (rKRTL/8751) - Azide and BSA Free

Images

 
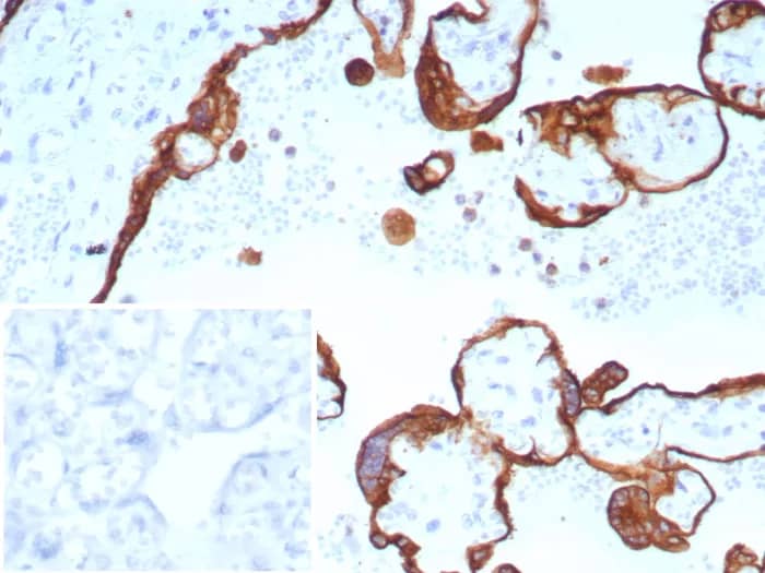
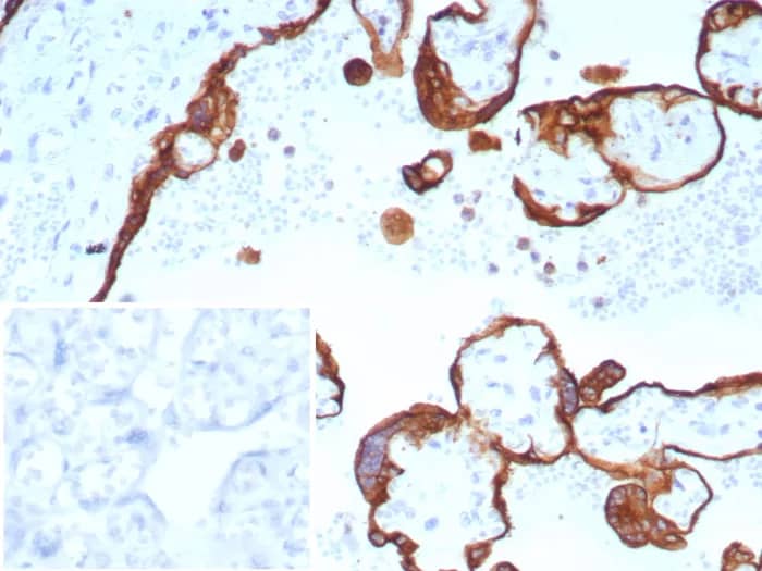
Immunohistochemistry-Paraffin: Cytokeratin, LMW Antibody (rKRTL/8751) - Azide and BSA Free [NBP3-23978] - Formalin-fixed, paraffin-embedded human placenta stained with Cytokeratin, LMW Antibody (rKRTL/8751). Inset: PBS ...read more

Product Details

Summary
Reactivity Hu, Mu, Rt, Bv, Ca, Ch, Pm, Rb, ReSpecies Glossary
Applications IHC
Clone
rKRTL/8751
Clonality
Monoclonal
Host
Mouse
Conjugate
Unconjugated
Format
Azide and BSA Free
Concentration
1 mg/ml

Order Details

Cytokeratin, LMW Antibody (rKRTL/8751) - Azide and BSA Free Summary

Description
Antibody without azide - store at -20 to -80C.
Additional Information
Recombinant Monoclonal Antibody
Immunogen
Human epidermal keratin
Localization
Cytoplasm.
Marker
Epithelial Marker
Specificity
This monoclonal antibody recognizes the 56.5kDa (CK10); 50kDa (CK14); 50kDa (CK15); 48kDa (CK16); 40kDa (CK19) keratins of the acidic (Type I or LMW) subfamily. Twenty human keratins are resolved with two-dimensional gel electrophoresis into acidic (pI 6.0) subfamilies. The acidic keratins have molecular weights (MW) of 56.5, 55, 51, 50, 50 , 48, 46, 45, and 40kDa. monoclonal antibody AE3 recognizes the 65-67, 64, 59, 58, 56, and 52kDa keratins of basic subfamily.
Isotype
IgG1 Kappa
Clonality
Monoclonal
Host
Mouse
Gene
KRT77
Purity
Protein A or G purified
Innovator's Reward
Test in a species/application not listed above to receive a full credit towards a future purchase.

Applications/Dilutions

Dilutions
  • Immunohistochemistry-Paraffin 0.5-1ug/ml
Application Notes
Immunohistochemistry-Paraffin: 0.5-1ug/ml for 30 min at RT. Staining of formalin-fixed tissues requires boiling tissue sections in 10mM citrate buffer, pH 6.0, for 10-20 min followed by cooling at RT for 20 minutes. Optimal dilution for a specific application should be determined.

Packaging, Storage & Formulations

Storage
Store at -20 to -80C. Avoid freeze-thaw cycles.
Buffer
10mM PBS
Preservative
No Preservative
Concentration
1 mg/ml
Purity
Protein A or G purified

Alternate Names for Cytokeratin, LMW Antibody (rKRTL/8751) - Azide and BSA Free

  • Cytokeratin LMW
  • cytokeratin-1B
  • keratin 77
  • keratin, type II cytoskeletal 1b
  • KRT77
  • type-II keratin Kb39

Limitations

This product is for research use only and is not approved for use in humans or in clinical diagnosis. Primary Antibodies are guaranteed for 1 year from date of receipt.

Customers Who Viewed This Item Also Viewed...

NBP2-29429
Species: Bv, Ca, Ch, Hu, Pm, Mu, Rb, Rt, Re, Ze
Applications: COMET, CyTOF-reported, Dual ISH-IHC, Flow-IC, Flow, ICC/IF, IHC, IHC-Fr,  IHC-P, mIF, Single-Cell Western, WB
AF5725
Species: Hu
Applications: IHC
NBP1-86840
Species: Hu
Applications: ICC/IF, IHC,  IHC-P
NBP2-49528
Species: Hu
Applications: ICC/IF, IHC,  IHC-P
NBP2-61931
Species: Hu, Rt
Applications: Flow, ICC/IF, IHC,  IHC-P, WB
NBP2-34270
Species: Hu, Mu, Rt
Applications: Flow, ICC/IF, IHC, IHC-Fr,  IHC-P, Simple Western
NB300-731
Species: Gp, Hu, Mu, Rb, Rt, Sh, Ye
Applications: B/N, ChIP, Flow, GS, ICC/IF, IHC,  IHC-P, IP, WB
MAB7957
Species: Hu
Applications: ICC, IHC, KO, Simple Western, WB
NBP2-67559
Species: Hu
Applications: Flow, ICC/IF, IHC,  IHC-P, WB
NBP2-01506
Species: Hu
Applications: Flow, ICC/IF, IHC,  IHC-P, WB
NBP2-38029
Species: Hu
Applications: IHC,  IHC-P
NB110-68133
Species: Hu
Applications: IHC,  IHC-P, WB
NBP2-67309
Species: Hu, Rt
Applications: Flow, ICC/IF, IHC,  IHC-P, IP, WB
NBP1-89284
Species: Hu, Po
Applications: ICC/IF, IHC,  IHC-P, KD, WB
NBP2-92630
Species: Hu, Mu, Rt
Applications: ELISA, ICC/IF, IHC,  IHC-P, WB
NBP2-13957
Species: Hu
Applications: IHC,  IHC-P, WB
NBP2-92921
Species: Hu, Mu, Rt
Applications: ICC/IF, IHC,  IHC-P, WB
NBP1-87069
Species: Hu, Mu
Applications: ICC/IF, IHC,  IHC-P, KD, Simple Western, WB

Publications for Cytokeratin, LMW Antibody (NBP3-23978) (0)

There are no publications for Cytokeratin, LMW Antibody (NBP3-23978).
By submitting your publication information earn gift cards and discounts for future purchases.

Reviews for Cytokeratin, LMW Antibody (NBP3-23978) (0)

There are no reviews for Cytokeratin, LMW Antibody (NBP3-23978). By submitting a review you will receive an Amazon e-Gift Card or Novus Product Discount.
  • Review with no image -- $10/€7/£6/$10 CAD/¥70 Yuan/¥1110 Yen
  • Review with an image -- $25/€18/£15/$25 CAD/¥150 Yuan/¥2500 Yen

Product General Protocols

Find general support by application which include: protocols, troubleshooting, illustrated assays, videos and webinars.

FAQs for Cytokeratin, LMW Antibody (NBP3-23978) (0)

There are no specific FAQs related to this product. Read our general customer & technical service FAQs.

Secondary Antibodies

 

Isotype Controls

Additional Cytokeratin, LMW Products

Blogs on Cytokeratin, LMW

There are no specific blogs for Cytokeratin, LMW, but you can read our latest blog posts.

Customers Who Bought This Also Bought

Contact Information

Product PDFs

Calculators

Concentration Calculator

The concentration calculator allows you to quickly calculate the volume, mass or concentration of your vial. Simply enter your mass, volume, or concentration values for your reagent and the calculator will determine the rest.

=
÷

Review this Product

Be the first to review our Cytokeratin, LMW Antibody (rKRTL/8751) - Azide and BSA Free and receive a gift card or discount.

Bioinformatics

Gene Symbol KRT77