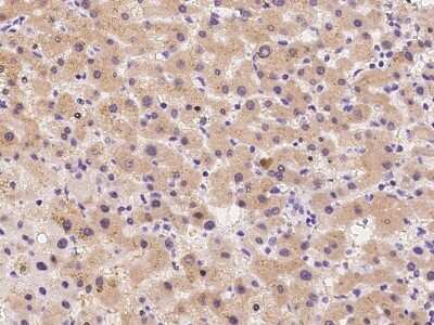
CYP21A2 Antibody Summary
| Description |
This antibody can be stored at 2C to 8C for one month without detectable loss of activity. Antibody products are stable for twelve months from date of receipt when stored at -20C to -80C. Avoid repeated freeze-thaw cycles. |
| Immunogen |
Produced in rabbits immunized with a synthetic peptide corresponding to the N-terminus of the Human CYP21A2. |
| Isotype |
IgG |
| Clonality |
Polyclonal |
| Host |
Rabbit |
| Gene |
CYP21A2 |
| Purity |
Antigen Affinity-purified |
| Innovator's Reward |
Test in a species/application not listed above to receive a full credit towards a future purchase. |
Applications/Dilutions
| Dilutions |
- Immunohistochemistry
- Immunohistochemistry-Paraffin
|
Packaging, Storage & Formulations
| Storage |
Store at 4C short term. Aliquot and store at -20C long term. Avoid freeze-thaw cycles. |
| Buffer |
PBS (pH 7.0) |
| Preservative |
0.03% Proclin 300 |
| Purity |
Antigen Affinity-purified |
Alternate Names for CYP21A2 Antibody
Background
The CYP21A2 gene encodes a member of the cytochrome P450 superfamily of enzymes. The cytochrome P450 proteins aremonooxygenases which catalyze many reactions involved in drug metabolism and synthesis of cholesterol, steroids andother lipids. This protein localiz
Limitations
This product is for research use only and is not approved for use in humans or in clinical diagnosis. Primary Antibodies are
guaranteed for 1 year from date of receipt.
Customers Who Viewed This Item Also Viewed...
Species: Hu, Mu, Po, Rt, Sh
Applications: Flow, ICC/IF, IHC, IHC-P, PEP-ELISA, WB
Species: Hu
Applications: ELISA, ICC/IF, IHC, IHC-P
Species: Hu
Applications: IHC, IHC-P
Species: Hu
Applications: Flow, IHC, IHC-P, WB
Species: Mu
Applications: IA, ICC/IF, IHC, IHC-Fr, IP, WB
Species: Hu, Pm, Rt
Applications: ELISA, IHC, IHC-P, IP, WB
Species: Hu, RM
Applications: ICC/IF, IHC, IHC-P, WB
Species: Hu
Applications: IHC, IHC-P
Species: Hu
Applications: IHC, Simple Western, WB
Species: Hu
Applications: ELISA, Flow, ICC/IF, IHC, IHC-P, WB
Species: Rt
Applications: B/N, CyTOF-ready, EM, ELISA, Flow-IC, Flow, ICC/IF, IHC, IHC-Fr, IHC-P, IP
Species: Hu, Mu, Pm, Rb, Rt
Applications: ICC/IF, IHC, IHC-P, Simple Western, WB
Species: Hu, Mu
Applications: ICC/IF, IHC, IHC-P, WB
Species: Hu
Applications: ICC/IF, IHC, IHC-P, WB
Species: Fe, Hu, Mu, Rt
Applications: CyTOF-ready, ELISA, Flow-IC, Flow, ICC/IF, IHC, IHC-Fr, IHC-P, WB
Species: Bv, Hu, Mu
Applications: ICC, IHC
Species: Hu, Mu, Rt
Applications: Flow, ICC/IF, IHC, IHC-P, WB
Species: Hu, Mu, Rt
Applications: ELISA, ICC/IF, IHC, IHC-P, WB
Publications for CYP21A2 Antibody (NBP2-99116) (0)
There are no publications for CYP21A2 Antibody (NBP2-99116).
By submitting your publication information earn gift cards and discounts for future purchases.
Reviews for CYP21A2 Antibody (NBP2-99116) (0)
There are no reviews for CYP21A2 Antibody (NBP2-99116).
By submitting a review you will receive an Amazon e-Gift Card or Novus Product Discount.
- Review with no image -- $10/€7/£6/$10 CAD/¥70 Yuan/¥1110 Yen
- Review with an image -- $25/€18/£15/$25 CAD/¥150 Yuan/¥2500 Yen
Product General Protocols
Find general support by application which include: protocols, troubleshooting, illustrated assays, videos and webinars.
FAQs for CYP21A2 Antibody (NBP2-99116) (0)
Secondary Antibodies
| |
Isotype Controls
|
Additional CYP21A2 Products
Research Areas for CYP21A2 Antibody (NBP2-99116)
Find related products by research area.
|
Blogs on CYP21A2