Cyclophilin-F Antibody (JM71-39)

Images

 
Western Blot: Cyclophilin-F Antibody (JM71-39) [NBP2-67014] - Analysis of Cyclophilin-F on different lysates with Rabbit anti-Cyclophilin-F antibody at 1/500 dilution. Lane 1: Rat heart tissue lysate Lane 2: Human brain ...read more
Immunohistochemistry-Paraffin: Cyclophilin-F Antibody (JM71-39) [NBP2-67014] - Analysis of paraffin-embedded human colon tissue with Rabbit anti-Cyclophilin F antibody washed with ddH2O and PBS, and then probed with the ...read more
Western Blot: Cyclophilin-F Antibody (JM71-39) [NBP2-67014] - Analysis of Cyclophilin F on human heart (1) and human brain (2) tissue lysate using anti-Cyclophilin F antibody at 1/1,000 dilution.
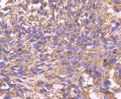
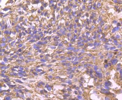
Immunohistochemistry-Paraffin: Cyclophilin-F Antibody (JM71-39) [NBP2-67014] - Analysis of paraffin-embedded human breast cancer tissue using anti-Cyclophilin F antibody. Counter stained with hematoxylin.
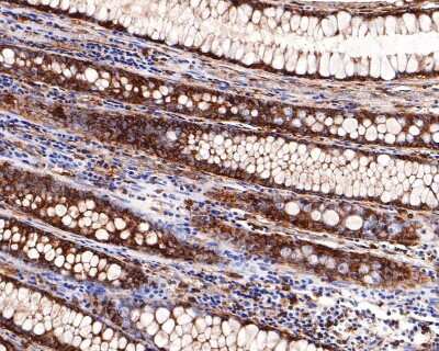
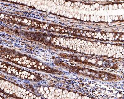
Immunohistochemistry-Paraffin: Cyclophilin-F Antibody (JM71-39) [NBP2-67014] - Analysis of paraffin-embedded human colon cancer tissue using anti-Cyclophilin F antibody. Counter stained with hematoxylin.
Immunohistochemistry-Paraffin: Cyclophilin-F Antibody (JM71-39) [NBP2-67014] - Analysis of paraffin-embedded mouse brain tissue using anti-Cyclophilin F antibody. Counter stained with hematoxylin.

Product Details

Summary
Product Discontinued
View other related Cyclophilin-F Primary Antibodies

Order Details


    • Catalog Number
      NBP2-67014
    • Availability
      Product Discontinued

    Can't find what you are looking for? Use our Antibody Concierge Service & we will help you locate your antibody!

    Or feel free to contact us for alternative products.

Cyclophilin-F Antibody (JM71-39) Summary

Additional Information
Recombinant Monoclonal Antibody.
Immunogen
Synthetic peptide within Human Cyclophilin-F aa 30-79 / 207. (SwissProt: P30405 Human; SwissProt: Q99KR7 Mouse; SwissProt: P29117 Rat)
Localization
Mitochondrion matrix.
Isotype
IgG
Clonality
Monoclonal
Host
Rabbit
Gene
PPIF
Purity
Protein A purified
Innovator's Reward
Test in a species/application not listed above to receive a full credit towards a future purchase.

Applications/Dilutions

Dilutions
  • Immunohistochemistry
  • Immunohistochemistry-Paraffin 1:50-1:400
  • Immunoprecipitation
  • Western Blot 1:500-1:2000

Packaging, Storage & Formulations

Storage
Store at 4C short term. Aliquot and store at -20C long term. Avoid freeze-thaw cycles.
Buffer
TBS (pH7.4), 0.05% BSA, 40% Glycerol
Preservative
0.05% Sodium Azide
Concentration
1 mg/ml
Purity
Protein A purified

Alternate Names for Cyclophilin-F Antibody (JM71-39)

  • Cyclophilin F
  • CYP3FLJ90798
  • Cyp-D
  • hCyP3
  • MGC117207
  • mitochondrial
  • peptidyl-prolyl cis-trans isomerase, mitochondrial
  • peptidylprolyl isomerase F (cyclophilin F)
  • peptidylprolyl isomerase F

Limitations

This product is for research use only and is not approved for use in humans or in clinical diagnosis. Primary Antibodies are guaranteed for 1 year from date of receipt.

Customers Who Viewed This Item Also Viewed...

NBP3-32238
Species: Hu, Pm
Applications: Flow, ICC/IF, IHC,  IHC-P, WB
NBP3-35061
Species: Hu, Mu, Rt
Applications: ELISA, ICC/IF, IP, WB
NB100-74398
Species: Hu, Mu, Pm, Rt
Applications: ICC/IF, IHC,  IHC-P, WB
AF820
Species: Hu, Mu
Applications: ICC, IHC, KO, Simple Western, WB
NB100-695
Species: Fi, Hu, Mu, Rt
Applications: ELISA, IHC, KD, Simple Western, WB
MAB7475
Species: Hu, Rt
Applications: WB
H00005250-B02P
Species: Hu
Applications: ICC/IF, WB
MAB4937
Species: Hu
Applications: CyTOF-ready, ICFlow, WB
NB110-96874
Species: Ca, Ha, Hu, Mu, Rt
Applications: ICC/IF, IHC,  IHC-P, IP, WB
H00001594-Q01
Species: Hu
Applications: ELISA, AP, PA, WB
NB100-56503
Species: Dr, Hu, Mu, Rb, Rt
Applications: Flow-CS, Flow-IC, Flow, IB, ICC/IF, IHC,  IHC-P, Simple Western, WB
NB120-2928
Species: Hu, Mu, Pm, Rb, Rt, Sh
Applications: ICC/IF, IHC,  IHC-P, IP, WB
NBP1-30993
Species: Ha, Hu, Mu, Rt
Applications: ICC/IF, IHC,  IHC-P, KD, WB
NBP3-00253
Species: Hu
Applications: ELISA, IHC,  IHC-P, IP, WB
NBP2-37502
Species: Hu
Applications: CyTOF-ready, ELISA, Flow, ICC/IF, IHC,  IHC-P, WB
NB100-56098
Species: Ca, Hu, Mu, Rt
Applications: IHC,  IHC-P, IP, WB
AF4094
Species: Hu, Mu, Rt
Applications: IHC, KO, Simple Western, WB
H00010963-M01
Species: Hu, Mu
Applications: ELISA, ICC/IF, IHC,  IHC-P, IP, S-ELISA, WB

Publications for Cyclophilin-F Antibody (NBP2-67014) (0)

There are no publications for Cyclophilin-F Antibody (NBP2-67014).
By submitting your publication information earn gift cards and discounts for future purchases.

Reviews for Cyclophilin-F Antibody (NBP2-67014) (0)

There are no reviews for Cyclophilin-F Antibody (NBP2-67014). By submitting a review you will receive an Amazon e-Gift Card or Novus Product Discount.
  • Review with no image -- $10/€7/£6/$10 CAD/¥70 Yuan/¥1110 Yen
  • Review with an image -- $25/€18/£15/$25 CAD/¥150 Yuan/¥2500 Yen

Product General Protocols

Find general support by application which include: protocols, troubleshooting, illustrated assays, videos and webinars.

Video Protocols

WB Video Protocol

FAQs for Cyclophilin-F Antibody (NBP2-67014) (0)

There are no specific FAQs related to this product. Read our general customer & technical service FAQs.

Contact Information

Product PDFs

Calculators

Concentration Calculator

The concentration calculator allows you to quickly calculate the volume, mass or concentration of your vial. Simply enter your mass, volume, or concentration values for your reagent and the calculator will determine the rest.

=
÷

Review this Product

Be the first to review our Cyclophilin-F Antibody (JM71-39) and receive a gift card or discount.

Bioinformatics

Gene Symbol PPIF