Ctip1 Antibody

Images

 
Immunocytochemistry/ Immunofluorescence: Ctip1 Antibody [NBP2-38141] - Immunofluorescent staining of human cell line U-2 OS shows localization to nucleoplasm.
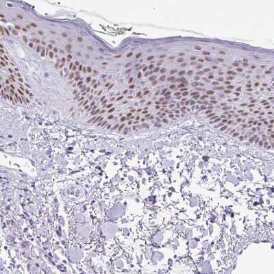
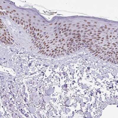
Immunohistochemistry-Paraffin: Ctip1 Antibody [NBP2-38141] - Staining of human skin shows high expression.
Immunohistochemistry: Ctip1 Antibody [NBP2-38141] - Staining of human tonsil shows moderate nuclear positivity in leukocytes.
Immunohistochemistry-Paraffin: Ctip1 Antibody [NBP2-38141] - Staining of human skeletal muscle shows low expression as expected.
Orthogonal Strategies: Immunohistochemistry-Paraffin: Ctip1 Antibody [NBP2-38141] - Staining in human skin and skeletal muscle tissues using anti-BCL11A antibody. Corresponding BCL11A RNA-seq data are presented ...read more

Product Details

Summary
Product Discontinued
View other related Ctip1 Primary Antibodies
Validated by:
       

Orthogonal Strategies

 

Order Details


    • Catalog Number
      NBP2-38141
    • Availability
      Product Discontinued

    Can't find what you are looking for? Use our Antibody Concierge Service & we will help you locate your antibody!

    Or feel free to contact us for alternative products.

Ctip1 Antibody Summary

Immunogen
This antibody was developed against a recombinant protein corresponding to amino acids: LSTASSPEPGTSDLVGSASSALKSVVAKFKSENDPNLIPENGDEEEEEDDEEEEEEEEEEEEELTESERVDYGFGLSL
Predicted Species
Mouse (100%), Rat (100%). Backed by our 100% Guarantee.
Isotype
IgG
Clonality
Polyclonal
Host
Rabbit
Gene
BCL11A
Purity
Immunogen affinity purified
Innovator's Reward
Test in a species/application not listed above to receive a full credit towards a future purchase.

Applications/Dilutions

Dilutions
  • Immunocytochemistry/ Immunofluorescence 0.25-2 ug/ml
  • Immunohistochemistry 1:50 - 1:200
  • Immunohistochemistry-Paraffin 1:50 - 1:200
Application Notes
For IHC-Paraffin, HIER pH 6 retrieval is recommended. Immunocytochemistry/Immunofluorescence Fixation Permeabilization: Use PFA/Triton X-100.

Packaging, Storage & Formulations

Storage
Store at 4C short term. Aliquot and store at -20C long term. Avoid freeze-thaw cycles.
Buffer
PBS (pH 7.2) and 40% Glycerol
Preservative
0.02% Sodium Azide
Purity
Immunogen affinity purified

Alternate Names for Ctip1 Antibody

  • B-cell CLL/lymphoma 11A (zinc finger protein) isoform 2
  • B-cell CLL/lymphoma 11A (zinc finger protein)
  • B-cell CLL/lymphoma 11A
  • B-cell lymphoma/leukemia 11A
  • BCL11A B-cell CLL/lymphoma 11A (zinc finger protein) isoform 1
  • BCL-11A
  • BCL11A-S
  • BCL11A-XL
  • C2H2-type zinc finger protein
  • COUP-TF-interacting protein 1
  • CTIP1ecotropic viral integration site 9
  • ecotropic viral integration site 9 homolog
  • Ecotropic viral integration site 9 protein homolog
  • EVI-9
  • EVI9FLJ34997
  • HBFQTL5
  • KIAA1809BCL11A-L
  • Zinc finger protein 856
  • ZNF856FLJ10173

Background

The Ctip1 gene encodes a C2H2 type zinc-finger protein by its similarity to the mouse Bcl11a/Evi9 protein. The corresponding mouse gene is a common site of retroviral integration in myeloid leukemia, and may function as a leukemia disease gene, in part, throug

Limitations

This product is for research use only and is not approved for use in humans or in clinical diagnosis. Primary Antibodies are guaranteed for 1 year from date of receipt.

Customers Who Viewed This Item Also Viewed...

NB100-2600
Species: Hu, Mu, Rt
Applications: ICC/IF, IHC, IHC-Fr,  IHC-P
H00003043-M02
Species: Hu, Mu
Applications: ELISA, IHC,  IHC-P, WB
NBP2-37380
Species: Hu
Applications: CyTOF-ready, ELISA, Flow, IHC,  IHC-P, WB
NBP1-42827
Species: Ch, Fi, Hu, Pm, Mu, Rt, Re, Xp
Applications: ICC/IF, IHC, IHC-Fr, WB
NB600-922
Species: Ch, Mu
Applications: ELISA, IHC, Single-Cell Western, WB
NBP1-84793
Species: Hu
Applications: ChIP-EXO-SEQ, IHC,  IHC-P, WB
NBP1-51641
Species: Hu, Mu, Pm, Rb, Rt
Applications: ELISA, Flow-IC, Flow, ICC/IF, IHC-FrFl, IHC,  IHC-P, WB
NBP2-59786
Species: Hu
Applications: ICC/IF, IHC,  IHC-P, Simple Western
NB100-56098
Species: Ca, Hu, Mu, Rt
Applications: IHC,  IHC-P, IP, WB
NBP1-80306
Species: Av, Hu
Applications: ICC/IF, IHC,  IHC-P, KD, WB
AF844
Species: Mu
Applications: Block, IHC, WB
NB600-302
Species: Bv, Dr, Hu, Mu
Applications: ChIP, ELISA, Flow-IC, Flow, IB, ICC/IF, IHC, IHC-Fr,  IHC-P, IP, PLA, S-ELISA, Simple Western, WB
NBP2-29463
Species: Pm, Hu, Pm, Mu
Applications: Flow, ICC/IF, IHC,  IHC-P, WB
NB500-171
Species: Hu, I, Mu, Rt, Xp, Ye
Applications: ChIP, IB, ICC/IF, IHC,  IHC-P, Single-Cell Western, WB
MAB812
Species: Hu
Applications: CyTOF-ready, Flow
PP-H6506-00
Species: Hu
Applications: DirELISA, IP, WB
NB200-103
Species: Hu, Mu, Rt, Xp(-), Ye
Applications: CyTOF-ready, ELISA, Flow-IC, Flow, ICC/IF, IHC, IHC-Fr,  IHC-P, IP, WB
NBP2-38141
Species: Hu, Mu, Rt
Applications: ICC/IF, IHC

Publications for Ctip1 Antibody (NBP2-38141) (0)

There are no publications for Ctip1 Antibody (NBP2-38141).
By submitting your publication information earn gift cards and discounts for future purchases.

Reviews for Ctip1 Antibody (NBP2-38141) (0)

There are no reviews for Ctip1 Antibody (NBP2-38141). By submitting a review you will receive an Amazon e-Gift Card or Novus Product Discount.
  • Review with no image -- $10/€7/£6/$10 CAD/¥70 Yuan/¥1110 Yen
  • Review with an image -- $25/€18/£15/$25 CAD/¥150 Yuan/¥2500 Yen

Product General Protocols

Find general support by application which include: protocols, troubleshooting, illustrated assays, videos and webinars.

Video Protocols

ICC/IF Video Protocol

FAQs for Ctip1 Antibody (NBP2-38141) (0)

There are no specific FAQs related to this product. Read our general customer & technical service FAQs.

Contact Information

Product PDFs

Calculators

Concentration Calculator

The concentration calculator allows you to quickly calculate the volume, mass or concentration of your vial. Simply enter your mass, volume, or concentration values for your reagent and the calculator will determine the rest.

=
÷

Review this Product

Be the first to review our Ctip1 Antibody and receive a gift card or discount.

Bioinformatics

Gene Symbol BCL11A
Uniprot