CPS1 Antibody (JB40-33)

Images

 
Western Blot: CPS1 Antibody (JB40-33) [NBP2-75445] - Analysis of CPS1 on SiHa cell using anti-CPS1 antibody at 1/500 dilution.
Immunocytochemistry/ Immunofluorescence: CPS1 Antibody (JB40-33) [NBP2-75445] - Staining CPS1 in HepG2 cells (green). The nuclear counter stain is DAPI (blue). Cells were fixed in paraformaldehyde, permeabilised with ...read more
Immunohistochemistry-Paraffin: CPS1 Antibody (JB40-33) [NBP2-75445] - Analysis of paraffin-embedded rat liver tissue with Rabbit anti-CPS1 antibody washed with ddH2O and PBS, and then probed with the primary antibody ...read more
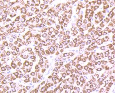
Immunohistochemistry-Paraffin: CPS1 Antibody (JB40-33) [NBP2-75445] - Analysis of paraffin-embedded human liver tissue using anti-CPS1 antibody. Counter stained with hematoxylin.
Immunohistochemistry-Paraffin: CPS1 Antibody (JB40-33) [NBP2-75445] - Analysis of paraffin-embedded mouse small intestine tissue using anti-CPS1 antibody. Counter stained with hematoxylin.

Product Details

Summary
Product Discontinued
View other related CPS1 Primary Antibodies

Order Details


    • Catalog Number
      NBP2-75445
    • Availability
      Product Discontinued

    Can't find what you are looking for? Use our Antibody Concierge Service & we will help you locate your antibody!

    Or feel free to contact us for alternative products.

CPS1 Antibody (JB40-33) Summary

Additional Information
Recombinant Monoclonal Antibody.
Immunogen
Recombinant protein within Human CPS1 aa 82-204 / 1,500. (SwissProt: P31327 Human; SwissProt: Q8C196 Mouse; SwissProt: P07756 Rat)
Localization
Mitochondrion, Nucleus.
Isotype
IgG
Clonality
Monoclonal
Host
Rabbit
Gene
CPS1
Purity
Protein A purified
Innovator's Reward
Test in a species/application not listed above to receive a full credit towards a future purchase.

Applications/Dilutions

Dilutions
  • Immunocytochemistry/ Immunofluorescence 1:50-1:200
  • Immunohistochemistry
  • Immunohistochemistry-Paraffin 1:50-1:200
  • Immunoprecipitation
  • Western Blot 1:500-1:1000
Theoretical MW
165 kDa.
Disclaimer note: The observed molecular weight of the protein may vary from the listed predicted molecular weight due to post translational modifications, post translation cleavages, relative charges, and other experimental factors.

Packaging, Storage & Formulations

Storage
Store at 4C short term. Aliquot and store at -20C long term. Avoid freeze-thaw cycles.
Buffer
TBS (pH7.4), 0.05% BSA, 40% Glycerol
Preservative
0.05% Sodium Azide
Concentration
1 mg/ml
Purity
Protein A purified

Alternate Names for CPS1 Antibody (JB40-33)

  • carbamoyl-phosphate synthase [ammonia], mitochondrial
  • carbamoyl-phosphate synthase 1, mitochondrial
  • carbamoyl-phosphate synthetase 1, mitochondrial
  • carbamoylphosphate synthetase I
  • Carbamoyl-phosphate synthetase I
  • CPSase I
  • CPSASE1
  • EC 6.3.4.16

Background

The protein encoded by the CPS1 gene is an enzyme that catalyzes the first committed step of the hepatic urea cycle, which is important in the removal of excess urea from cells. There are two isozymes of this enzyme, and the encoded protein is the mitochondrial form. Three transcript variants encoding different isoforms have been found for this gene. The shortest isoform may not be localized to the mitochondrion.

Limitations

This product is for research use only and is not approved for use in humans or in clinical diagnosis. Primary Antibodies are guaranteed for 1 year from date of receipt.

Customers Who Viewed This Item Also Viewed...

NBP1-87408
Species: Hu, Mu
Applications: ICC/IF, IHC,  IHC-P, Simple Western, WB
NB110-41404
Species: Bv, Hu, Mu, Rt
Applications: ICC/IF, IHC, WB
NBP3-46949
Species: Hu, Mu, Rt
Applications: ELISA, ICC/IF, IHC, WB
NBP1-88868
Species: Hu
Applications: ICC/IF, IHC,  IHC-P, WB
NB100-91662
Species: Hu, Mu, Rt
Applications: Flow, ICC/IF, IHC,  IHC-P, Simple Western, WB
MAB1368
Species: Hu, Mu
Applications: CyTOF-ready, ICC, ICFlow, KO, Simple Western, WB
AF2400
Species: Hu
Applications: ChIP, ICC, IHC, WB
MAB1455
Species: Hu
Applications: CyTOF-ready, Dual ISH-IHC, ICC, IHC, ICFlow, Simple Western, WB
NBP1-32752
Species: Hu
Applications: ICC/IF, IHC,  IHC-P, KO, WB
H00023327-P01
Species: Hu
Applications: ELISA, AP, PA, WB
AF1049
Species: Hu
Applications: IHC, WB
NBP2-36776
Species: Hu
Applications: ICC/IF, IHC,  IHC-P, KD, WB
H00152503-M01
Species: Hu, Mu
Applications: ELISA, ICC/IF, IHC,  IHC-P, WB
NBP2-45731
Species: Ca, Hu, Pm
Applications: IHC,  IHC-P, WB

Publications for CPS1 Antibody (NBP2-75445) (0)

There are no publications for CPS1 Antibody (NBP2-75445).
By submitting your publication information earn gift cards and discounts for future purchases.

Reviews for CPS1 Antibody (NBP2-75445) (0)

There are no reviews for CPS1 Antibody (NBP2-75445). By submitting a review you will receive an Amazon e-Gift Card or Novus Product Discount.
  • Review with no image -- $10/€7/£6/$10 CAD/¥70 Yuan/¥1110 Yen
  • Review with an image -- $25/€18/£15/$25 CAD/¥150 Yuan/¥2500 Yen

Product General Protocols

Find general support by application which include: protocols, troubleshooting, illustrated assays, videos and webinars.

Video Protocols

WB Video Protocol
ICC/IF Video Protocol

FAQs for CPS1 Antibody (NBP2-75445) (0)

There are no specific FAQs related to this product. Read our general customer & technical service FAQs.

Secondary Antibodies

 

Isotype Controls

Additional CPS1 Products

Research Areas for CPS1 Antibody (NBP2-75445)

Find related products by research area.

Blogs on CPS1

There are no specific blogs for CPS1, but you can read our latest blog posts.

Contact Information

Product PDFs

Calculators

Concentration Calculator

The concentration calculator allows you to quickly calculate the volume, mass or concentration of your vial. Simply enter your mass, volume, or concentration values for your reagent and the calculator will determine the rest.

=
÷

Review this Product

Be the first to review our CPS1 Antibody (JB40-33) and receive a gift card or discount.

Bioinformatics

Gene Symbol CPS1