COX4 Antibody (JJ09-05)

Images

 
Western Blot: COX4 Antibody (JJ09-05) [NBP2-67889] - Western blot analysis of COX4 on different lysates. Proteins were transferred to a PVDF membrane and blocked with 5% BSA in PBS for 1 hour at room temperature. The ...read more
Immunocytochemistry/ Immunofluorescence: COX4 Antibody (JJ09-05) [NBP2-67889] - Staining COX IV in NIH/3T3 cells (green). The nuclear counter stain is DAPI (blue). Cells were fixed in paraformaldehyde, permeabilised ...read more
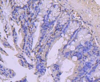
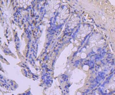
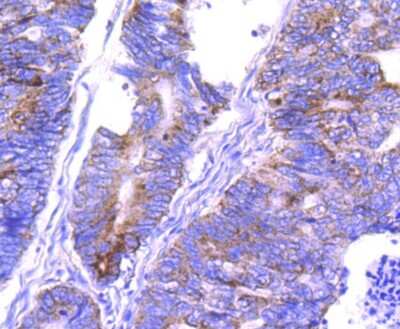
Immunohistochemistry-Paraffin: COX4 Antibody (JJ09-05) [NBP2-67889] - Analysis of paraffin-embedded mouse colon tissue using anti-COX IV antibody. Counter stained with hematoxylin.
Flow Cytometry: COX4 Antibody (JJ09-05) [NBP2-67889] - Analysis of MCF-7 cells with COX IV antibody at 1/50 dilution (red) compared with an unlabelled control (cells without incubation with primary antibody; black). ...read more
Western Blot: COX4 Antibody (JJ09-05) [NBP2-67889] - Analysis of COX IV on different lysates using anti-COX IV antibody at 1/1,000 dilution. Positive control: Lane 1: Mouse heart Lane 2: Rat heart
Immunocytochemistry/ Immunofluorescence: COX4 Antibody (JJ09-05) [NBP2-67889] - Staining COX IV in HepG2 cells (green). The nuclear counter stain is DAPI (blue). Cells were fixed in paraformaldehyde, permeabilised with ...read more
Immunohistochemistry-Paraffin: COX4 Antibody (JJ09-05) [NBP2-67889] - Analysis of paraffin-embedded human colon cancer tissue using anti-COX IV antibody. Counter stained with hematoxylin.
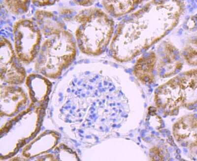
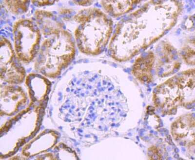
Immunohistochemistry-Paraffin: COX4 Antibody (JJ09-05) [NBP2-67889] - Analysis of paraffin-embedded human kidney tissue using anti-COX IV antibody. Counter stained with hematoxylin.
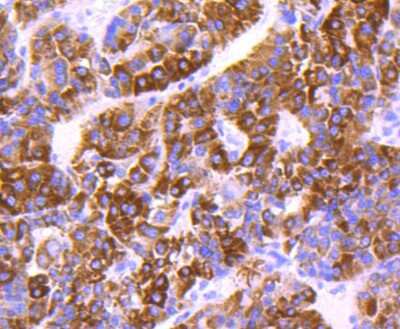
Immunohistochemistry-Paraffin: COX4 Antibody (JJ09-05) [NBP2-67889] - Analysis of paraffin-embedded human liver cancer tissue using anti-COX IV antibody. Counter stained with hematoxylin.
Immunohistochemistry-Paraffin: COX4 Antibody (JJ09-05) [NBP2-67889] - Analysis of paraffin-embedded human liver tissue using anti-COX IV antibody. Counter stained with hematoxylin.

Product Details

Summary
Product Discontinued
View other related COX4 Primary Antibodies

Order Details


    • Catalog Number
      NBP2-67889
    • Availability
      Product Discontinued

    Can't find what you are looking for? Use our Antibody Concierge Service & we will help you locate your antibody!

    Or feel free to contact us for alternative products.

COX4 Antibody (JJ09-05) Summary

Additional Information
Recombinant Monoclonal Antibody.
Immunogen
Synthetic peptide within Human COX4 aa 21-70 / 169. (SwissProt: P13073 Human; SwissProt: P19783 Mouse; SwissProt: P10888 Rat)
Localization
Mitochondrion inner membrane.
Isotype
IgG
Clonality
Monoclonal
Host
Rabbit
Gene
COX4I1
Purity
Protein A purified
Innovator's Reward
Test in a species/application not listed above to receive a full credit towards a future purchase.

Applications/Dilutions

Dilutions
  • Flow Cytometry 1:50-1:100
  • Immunocytochemistry/ Immunofluorescence 1:50-1:200
  • Immunohistochemistry
  • Immunohistochemistry-Paraffin 1:50-1:400
  • Immunoprecipitation
  • Western Blot 1:500-1:5000

Packaging, Storage & Formulations

Storage
Store at 4C short term. Aliquot and store at -20C long term. Avoid freeze-thaw cycles.
Buffer
TBS (pH7.4), 0.05% BSA, 40% Glycerol
Preservative
0.05% Sodium Azide
Concentration
1 mg/ml
Purity
Protein A purified

Alternate Names for COX4 Antibody (JJ09-05)

  • COX IV-1
  • COX4
  • COX4-1
  • COX4COXIV
  • COX4I2
  • Cytochrome c oxidase polypeptide IV
  • cytochrome c oxidase subunit 4 isoform 1, mitochondrial
  • cytochrome c oxidase subunit IV isoform 1cytochrome c oxidase subunit IV
  • MGC72016

Background

COX IV (cytochrome c oxidase subunit IV isoform 1) plays a pivotal role in respiratory function and assembly of the enzyme complex. This protein is known to have interactions with MT-CO2, MCL1, TMBIM4, MT-CO1 and TH1L. COX IV has been studied in relation to anemia, Huntington's disease, Alzheimer's disease, neuronitis, pancreatitis and several other diseases and disorders.

Limitations

This product is for research use only and is not approved for use in humans or in clinical diagnosis. Primary Antibodies are guaranteed for 1 year from date of receipt.

Customers Who Viewed This Item Also Viewed...

NBP1-32550
Species: Hu, Mu, Ze
Applications: ICC/IF, IHC,  IHC-P, Simple Western, WB
NB100-56503
Species: Dr, Hu, Mu, Rb, Rt
Applications: Flow-CS, Flow-IC, Flow, IB, ICC/IF, IHC,  IHC-P, Simple Western, WB
NBP3-47534
Species: Hu, Mu
Applications: ELISA, IHC, WB
NBP2-59438
Species: Hu
Applications: ELISA, ICC/IF, WB
NBP1-89125
Species: Hu, Mu
Applications: ChIP-EXO-SEQ, ICC/IF, IHC,  IHC-P, KD, WB
NBP1-71648
Species: Hu, Mu(-)
Applications: ICC/IF, IHC,  IHC-P, Simple Western, WB
H00084701-M01
Species: Bv, Hu, Mu, Rt
Applications: ELISA, IB, IHC,  IHC-P, IP, WB
NBP1-85500
Species: Hu, Mu
Applications: ICC/IF, IHC,  IHC-P, Simple Western, WB
NBP2-43648
Species: Hu, Mu, Rt, Ze
Applications: ICC/IF, IHC,  IHC-P, WB
NB100-689
Species: Hu, Rt
Applications: IHC, IHC-Fr,  IHC-P, Simple Western, WB
NBP1-04676
Species: Gt, Ha, Hu, Mu, Po, Rt, Sh, Sq
Applications: ChIP, ChIP, Flow-IC, Flow, ICC/IF, IHC, IHC-Fr,  IHC-P, IP, KD, KO, Simple Western, WB
NBP2-92927
Species: Hu, Mu, Rt
Applications: ELISA, ICC/IF, IHC,  IHC-P, IP, WB
NBP2-93792
Species: Hu, Mu, Rt
Applications: ICC/IF, IHC,  IHC-P, WB
MAB1417
Species: Bv, Hu, Mu
Applications: ICC, IHC
NB600-232
Species: Hu, Mu
Applications: ChIP, IHC,  IHC-P, IP, WB
NBP1-49533
Species: Hu, Mu, Pl, Rt
Applications: Flow-IC, Flow, ICC/IF, IHC,  IHC-P, KD, WB
NBP1-77397
Species: Hu, Mu
Applications: Flow, IB, ICC/IF, IHC,  IHC-P, KD, Simple Western, WB
NBP2-67889
Species: Hu, Mu, Rt
Applications: WB, Flow, ICC/IF, IHC, IP

Publications for COX4 Antibody (NBP2-67889) (0)

There are no publications for COX4 Antibody (NBP2-67889).
By submitting your publication information earn gift cards and discounts for future purchases.

Reviews for COX4 Antibody (NBP2-67889) (0)

There are no reviews for COX4 Antibody (NBP2-67889). By submitting a review you will receive an Amazon e-Gift Card or Novus Product Discount.
  • Review with no image -- $10/€7/£6/$10 CAD/¥70 Yuan/¥1110 Yen
  • Review with an image -- $25/€18/£15/$25 CAD/¥150 Yuan/¥2500 Yen

Product General Protocols

Video Protocols

WB Video Protocol
ICC/IF Video Protocol

FAQs for COX4 Antibody (NBP2-67889) (0)

There are no specific FAQs related to this product. Read our general customer & technical service FAQs.

Secondary Antibodies

 

Isotype Controls

Additional COX4 Products

Research Areas for COX4 Antibody (NBP2-67889)

Find related products by research area.

Blogs on COX4.

The Importance of the COX IV Antibody to Apoptosis Research
COX IV isoform 1 is a nuclear-encoded polypeptide chain of the Cytochrome C Oxidase enzyme, located on the mitochondrial inner membrane. Owing to its widespread distribution in human and mammalian tissues, COX IV antibodies are widely used as loading ...  Read full blog post.

Contact Information

Product PDFs

Calculators

Concentration Calculator

The concentration calculator allows you to quickly calculate the volume, mass or concentration of your vial. Simply enter your mass, volume, or concentration values for your reagent and the calculator will determine the rest.

=
÷

Review this Product

Be the first to review our COX4 Antibody (JJ09-05) and receive a gift card or discount.

Bioinformatics

Gene Symbol COX4I1