COG6 Antibody (OTI1B8) - Azide and BSA Free

Images

 
Western Blot: COG6 Antibody (OTI1B8) - Azide and BSA Free [NBP2-72088] - Analysis of HEK293T cells were transfected with the pCMV6-ENTRY control (Left lane) or pCMV6-ENTRY COG6.
Immunocytochemistry/ Immunofluorescence: COG6 Antibody (OTI1B8) - Azide and BSA Free [NBP2-72088] - Analysis of COS7 cells transiently transfected by pCMV6-ENTRY COG6.
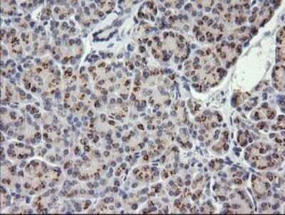
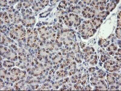
Immunohistochemistry: COG6 Antibody (OTI1B8) - Azide and BSA Free [NBP2-72088] - Analysis of Human pancreas tissue. (Heat-induced epitope retrieval by 10mM citric buffer, pH6.0, 120C for 3min)
Western Blot: COG6 Antibody (OTI1B8) - Azide and BSA Free [NBP2-72088] - Analysis of extracts (35ug) from 9 different cell lines. (HepG2: human; HeLa: human; SVT2: mouse; A549: human; COS7: monkey; Jurkat: human; MDCK: ...read more
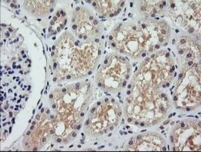
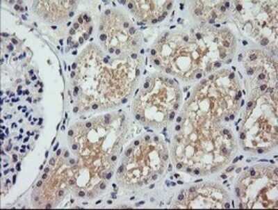
Immunohistochemistry: COG6 Antibody (OTI1B8) - Azide and BSA Free [NBP2-72088] - Analysis of Human Kidney tissue. (Heat-induced epitope retrieval by 10mM citric buffer, pH6.0, 120C for 3min)

Product Details

Summary
Reactivity Hu, Mu, Rt, PmSpecies Glossary
Applications WB, ICC/IF, IHC
Clone
OTI1B8
Clonality
Monoclonal
Host
Mouse
Conjugate
Unconjugated
Format
Azide and BSA Free
Concentration
LYOPH

Order Details

COG6 Antibody (OTI1B8) - Azide and BSA Free Summary

Description
Novus Biologicals Mouse COG6 Antibody (OTI1B8) - Azide and BSA Free (NBP2-45631) is a monoclonal antibody validated for use in IHC, WB and ICC/IF. All Novus Biologicals antibodies are covered by our 100% guarantee.
Immunogen
Full length human recombinant protein of human COG6 (NP_065802) produced in HEK293T cell.
Isotype
IgG1
Clonality
Monoclonal
Host
Mouse
Gene
COG6
Purity
Immunogen affinity purified
Innovator's Reward
Test in a species/application not listed above to receive a full credit towards a future purchase.

Applications/Dilutions

Dilutions
  • Immunocytochemistry/ Immunofluorescence 1:100
  • Immunohistochemistry 1:150
  • Immunohistochemistry-Paraffin
  • Western Blot 1:200-2000
Theoretical MW
73.1 kDa.
Disclaimer note: The observed molecular weight of the protein may vary from the listed predicted molecular weight due to post translational modifications, post translation cleavages, relative charges, and other experimental factors.

Reactivity Notes

Please note that this antibody is reactive to Mouse and derived from the same host, Mouse. Mouse-On-Mouse blocking reagent may be needed for IHC and ICC experiments to reduce high background signal. You can find these reagents under catalog numbers PK-2200-NB and MP-2400-NB. Please contact Technical Support if you have any questions.

Packaging, Storage & Formulations

Storage
Store at -20C. Avoid freeze-thaw cycles.
Buffer
Lyophilized from PBS (pH 7.3) with 8% Trehalose
Preservative
No Preservative
Concentration
LYOPH
Purity
Immunogen affinity purified
Reconstitution Instructions
we recommend adding 100uL distilled water to a final antibody concentration of about 1 mg/mL. To use this carrier-free antibody for conjugation experiment, we strongly recommend performing another round of desalting process.

Alternate Names for COG6 Antibody (OTI1B8) - Azide and BSA Free

  • COG complex subunit 6
  • component of oligomeric golgi complex 6KIAA1134COD2complexed with Dor1p 2
  • conserved oligomeric Golgi complex protein 6
  • conserved oligomeric Golgi complex subunit 6
  • DKFZp313D191

Background

Multiprotein complexes are key determinants of Golgi apparatus structure and its capacity for intracellular transport and glycoprotein modification. Several complexes have been identified, including the Golgi transport complex (GTC), the LDLC complex, which is involved in glycosylation reactions, and the SEC34 complex, which is involved in vesicular transport. These 3 complexes are identical and have been termed the conserved oligomeric Golgi (COG) complex, which includes COG6 (Ungar et al., 2002 [PubMed 11980916]).[supplied by OMIM]

Limitations

This product is for research use only and is not approved for use in humans or in clinical diagnosis. Primary Antibodies are guaranteed for 1 year from date of receipt.

Customers Who Viewed This Item Also Viewed...

NBP2-93653
Species: Hu, Mu, Rt
Applications: ELISA, ICC/IF, IHC,  IHC-P, WB
NBP2-15937
Species: Hu, Mu
Applications: IHC,  IHC-P, WB
NBP2-30718
Species: Hu
Applications: ICC/IF, IHC,  IHC-P
AF594
Species: Mu
Applications: ELISA(Cap), ELISA(Det), ELISA(Sta), ICC, Neut, WB
202-IL
Species: Hu
Applications: BA
MAB1686
Species: Mu
Applications: Neut, WB
NBP2-47502
Species: Hu
Applications: ICC/IF, IHC,  IHC-P, WB
923-AN
Species: Hu
Applications: BA
NBP1-87512
Species: Hu
Applications: IHC,  IHC-P
NBP3-15543
Species: Hu, Mu, Rt
Applications: IHC,  IHC-P, WB
NBP1-93713
Species: Hu
Applications: ICC/IF, IHC,  IHC-P
H00010228-M01
Species: Hu, Rt
Applications: ELISA, ICC/IF, IHC,  IHC-P, S-ELISA, WB
NBP1-36949
Species: Hu
Applications: IHC,  IHC-P, PEP-ELISA, WB
DY499
Species: Mu
Applications: ELISA
NBP2-61871
Species: Hu
Applications: ELISA, Flow, ICC/IF, IHC,  IHC-P, WB
NBP2-50419
Species: Hu
Applications: CyTOF-ready, Flow, IP
NBP2-31735
Species: Hu
Applications: ICC/IF, IHC,  IHC-P
NBP2-34294
Species: Hu, Mu, Rt
Applications: Flow, IHC,  IHC-P
NBP1-88840
Species: Hu
Applications: ICC/IF, IHC,  IHC-P, WB
NBP1-87493
Species: Hu, Mu, Rt
Applications: IHC,  IHC-P, WB

Publications for COG6 Antibody (NBP2-72088) (0)

There are no publications for COG6 Antibody (NBP2-72088).
By submitting your publication information earn gift cards and discounts for future purchases.

Reviews for COG6 Antibody (NBP2-72088) (0)

There are no reviews for COG6 Antibody (NBP2-72088). By submitting a review you will receive an Amazon e-Gift Card or Novus Product Discount.
  • Review with no image -- $10/€7/£6/$10 CAD/¥70 Yuan/¥1110 Yen
  • Review with an image -- $25/€18/£15/$25 CAD/¥150 Yuan/¥2500 Yen

Product General Protocols

Find general support by application which include: protocols, troubleshooting, illustrated assays, videos and webinars.

Video Protocols

WB Video Protocol
ICC/IF Video Protocol

FAQs for COG6 Antibody (NBP2-72088) (0)

There are no specific FAQs related to this product. Read our general customer & technical service FAQs.

Secondary Antibodies

 

Isotype Controls

Additional COG6 Products

Research Areas for COG6 Antibody (NBP2-72088)

Find related products by research area.

Blogs on COG6

There are no specific blogs for COG6, but you can read our latest blog posts.

Customers Who Bought This Also Bought

Contact Information

Product PDFs

Calculators

Concentration Calculator

The concentration calculator allows you to quickly calculate the volume, mass or concentration of your vial. Simply enter your mass, volume, or concentration values for your reagent and the calculator will determine the rest.

=
÷

Review this Product

Be the first to review our COG6 Antibody (OTI1B8) - Azide and BSA Free and receive a gift card or discount.

Bioinformatics

Gene Symbol COG6