Chromogranin B Antibody (CL11404) - Azide and BSA Free

Images

 
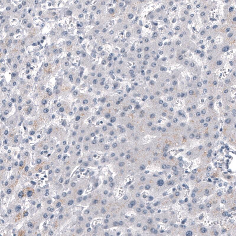
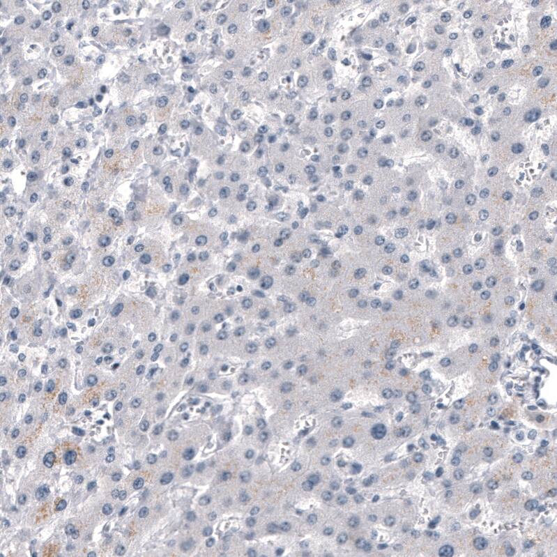
Orthogonal Strategies: Analysis in human adrenal gland and liver tissues using NBP3-44183 antibody. Corresponding Chromogranin B RNA-seq data are presented for the same tissues.
Staining of human adrenal gland shows strong cytoplasmic positivity in neuroendocrine cells.
Staining of human cerebral cortex shows moderate cytoplasmic positivity in neuropil.
Staining of human duodenum shows moderate cytoplasmic positivity in glandular cells.
Staining of human pancreas shows moderate cytoplasmic positivity in islets of Langerhans.
Staining of human liver shows no positivity in hepatocytes as expected.
Staining of SH-SY5Y cells using the Anti-Chromogranin B monoclonal antibody, showing specific staining of vesicles in green. Microtubule- and nuclear probes are visualized in red and blue, respectively.

Product Details

Summary
Reactivity HuSpecies Glossary
Applications ICC/IF, IHC
Clone
CL11404
Clonality
Monoclonal
Host
Mouse
Conjugate
Unconjugated
Format
Azide and BSA Free
Concentration
LYOPH
Validated by:
       

Orthogonal Strategies

 

Order Details

Chromogranin B Antibody (CL11404) - Azide and BSA Free Summary

Description
Novus Biologicals Mouse Chromogranin B Antibody (CL11404) - Azide and BSA Free (NBP3-15119) is a monoclonal antibody validated for use in IHC and ICC/IF. All Novus Biologicals antibodies are covered by our 100% guarantee.
Immunogen
This antibody was generated using a recombinant protein sequence of P05060, with the exact immunogen sequence remaining proprietary.
Isotype
IgG1
Clonality
Monoclonal
Host
Mouse
Gene
CHGB
Purity
Protein A purified
Innovator's Reward
Test in a species/application not listed above to receive a full credit towards a future purchase.

Applications/Dilutions

Dilutions
  • Immunocytochemistry/ Immunofluorescence 2-10 ug/ml
  • Immunohistochemistry-Paraffin 1:200 - 1:500
Application Notes
For IHC-Paraffin, HIER pH 6 retrieval is recommended. Immunocytochemistry/ Immunofluorescence/IF, PFA/Triton X-100 is recommended for fixation/permeabilization.

Packaging, Storage & Formulations

Storage
Store at 4C short term. Aliquot and store at -20C long term. Avoid freeze-thaw cycles.
Buffer
Lyophilized from a 0.2 um filtered solution in PBS with Trehalose
Preservative
No Preservative
Concentration
LYOPH
Purity
Protein A purified
Reconstitution Instructions
Centrifuge the vial of lyophilized antibody at 12,000 x g for 20 seconds. Reconstitute by adding sterile, distilled water to achieve a final antibody concentration of 1mg/ml.

Alternate Names for Chromogranin B Antibody (CL11404) - Azide and BSA Free

  • CgB
  • CHGB
  • chromogranin B (secretogranin 1)
  • Chromogranin B
  • Chromogranin-B
  • SCG1
  • SCG1sgI
  • secretogranin B
  • Secretogranin I
  • secretogranin-1
  • SgI

Background

The Chromogranin B gene encodes a tyrosine-sulfated secretory protein abundant in peptidergic endocrine cells and neurons. Thisprotein may serve as a precursor for regulatory peptides. (provided by RefSeq)

Limitations

This product is for research use only and is not approved for use in humans or in clinical diagnosis. Primary Antibodies are guaranteed for 1 year from date of receipt.

Customers Who Viewed This Item Also Viewed...

NBP1-80782
Species: Hu
Applications: ICC/IF, IHC,  IHC-P, WB
NB120-15160
Species: Hu, Mu, Rt
Applications: ICC/IF, IHC,  IHC-P, WB
NBP2-62693
Species: Hu
Applications: IHC,  IHC-P
NB120-15160
Species: Hu, Mu, Rt
Applications: ICC/IF, IHC,  IHC-P, WB
AF4065
Species: Mu
Applications: IHC, WB
MAB1417
Species: Bv, Hu, Mu
Applications: ICC, IHC
NBP1-92376
Species: Hu
Applications: IHC,  IHC-P, WB
AF4928
Species: Hu
Applications: CyTOF-ready, Flow, WB
AF1445
Species: Mu, Rt
Applications: ELISA(Cap), ELISA(Det), ELISA(Sta), IHC, Neut, Simple Western, WB
NBP1-84722
Species: Hu
Applications: ICC/IF, IHC,  IHC-P
NBP1-77305
Species: Hu
Applications: ELISA, ICC/IF, WB
KA2332
Species: Mu, Rt
Applications: ELISA, QFN
NB100-1533
Species: Hu, Mu, Po, Rt, Sh
Applications: Flow, ICC/IF, IHC,  IHC-P, PEP-ELISA, WB
NBP2-00521
Species: Hu
Applications: Flow, IHC,  IHC-P, WB
H00093659-P01
Species: Hu
Applications: ELISA, AP, PA, WB
AF1067
Species: Hu, Mu, Rt
Applications: ELISA, IHC, Neut, WB
AF1067
Species: Hu, Mu, Rt
Applications: ELISA, IHC, Neut, WB
MAB7665
Species: Hu
Applications: IHC, WB
NBP1-90927
Species: Hu
Applications: IHC,  IHC-P, WB
NBP2-38770
Species: Hu, Mu
Applications:  IHC-P, WB

Publications for Chromogranin B Antibody (NBP3-44183) (0)

There are no publications for Chromogranin B Antibody (NBP3-44183).
By submitting your publication information earn gift cards and discounts for future purchases.

Reviews for Chromogranin B Antibody (NBP3-44183) (0)

There are no reviews for Chromogranin B Antibody (NBP3-44183). By submitting a review you will receive an Amazon e-Gift Card or Novus Product Discount.
  • Review with no image -- $10/€7/£6/$10 CAD/¥70 Yuan/¥1110 Yen
  • Review with an image -- $25/€18/£15/$25 CAD/¥150 Yuan/¥2500 Yen

Product General Protocols

Find general support by application which include: protocols, troubleshooting, illustrated assays, videos and webinars.

Video Protocols

ICC/IF Video Protocol

FAQs for Chromogranin B Antibody (NBP3-44183) (0)

There are no specific FAQs related to this product. Read our general customer & technical service FAQs.

Secondary Antibodies

 

Isotype Controls

Additional Chromogranin B Products

Research Areas for Chromogranin B Antibody (NBP3-44183)

Find related products by research area.

Blogs on Chromogranin B

There are no specific blogs for Chromogranin B, but you can read our latest blog posts.

Customers Who Bought This Also Bought

Contact Information

Product PDFs

Calculators

Concentration Calculator

The concentration calculator allows you to quickly calculate the volume, mass or concentration of your vial. Simply enter your mass, volume, or concentration values for your reagent and the calculator will determine the rest.

=
÷

Review this Product

Be the first to review our Chromogranin B Antibody (CL11404) - Azide and BSA Free and receive a gift card or discount.

Bioinformatics

Gene Symbol CHGB