CHD1 Antibody (2-2)

Images

 
Western Blot: CHD1 Antibody (2-2) [NBP2-66776] - Analysis on recombinant protein using anti-CHD1 Mouse mAb.
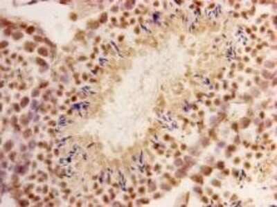
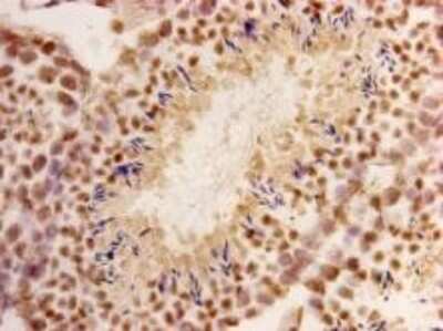
Immunohistochemistry-Paraffin: CHD1 Antibody (2-2) [NBP2-66776] - Analysis of paraffin- embedded mouse testis tissue using anti-CHD1 Mouse mAb.

Product Details

Summary
Product Discontinued
View other related CHD1 Primary Antibodies

Order Details


    • Catalog Number
      NBP2-66776
    • Availability
      Product Discontinued

    Can't find what you are looking for? Use our Antibody Concierge Service & we will help you locate your antibody!

    Or feel free to contact us for alternative products.

CHD1 Antibody (2-2) Summary

Additional Information
Recombinant Monoclonal Antibody
Immunogen
Recombinant protein within Human CHD1 aa 1,479-1,710 / 1,710. (SwissProt: O14646 Human)
Localization
Cytoplasm Nucleus
Isotype
IgG1
Clonality
Monoclonal
Host
Mouse
Gene
CHD1
Purity
Protein A purified
Innovator's Reward
Test in a species/application not listed above to receive a full credit towards a future purchase.

Applications/Dilutions

Dilutions
  • Immunohistochemistry
  • Immunohistochemistry-Paraffin 1:100
  • Western Blot 1:1000

Reactivity Notes

Mouse blocking reagent may be needed for IHC and ICC experiments to reduce high background signal. You can find these reagents under catalog numbers PK-2200-NB and MP-2400-NB. Please contact Technical Support if you have any. Please note that this antibody is reactive to Mouse and derived from the same host, Mouse. Mouse-On-questions.

Packaging, Storage & Formulations

Storage
Store at 4C short term. Aliquot and store at -20C long term. Avoid freeze-thaw cycles.
Buffer
PBS (pH7.4), 0.2% BSA, 40% Glycerol
Preservative
0.05% Sodium Azide
Concentration
2 mg/ml
Purity
Protein A purified

Alternate Names for CHD1 Antibody (2-2)

  • ATP-dependent helicase CHD1
  • CHD1
  • CHD-1
  • chromodomain helicase DNA binding protein 1
  • chromodomain-helicase-DNA-binding protein 1
  • DKFZp686E2337
  • EC 3.6.1
  • EC 3.6.4.12

Background

The CHD family of proteins is characterized by the presence of chromo (chromatin organization modifier) domains and SNF2-related helicase/ATPase domains. CHD genes alter gene expression possibly by modification of chromatin structure thus altering access of the transcriptional apparatus to its chromosomal DNA template.

Limitations

This product is for research use only and is not approved for use in humans or in clinical diagnosis. Primary Antibodies are guaranteed for 1 year from date of receipt.

Customers Who Viewed This Item Also Viewed...

NBP2-61879
Species: Hu, Mu
Applications: ELISA, Flow, IHC,  IHC-P, WB
NB500-171
Species: Hu, I, Mu, Rt, Xp, Ye
Applications: ChIP, IB, ICC/IF, IHC,  IHC-P, Single-Cell Western, WB
AF5738
Species: Hu
Applications: ICC, KO, Simple Western, WB
NBP3-13283
Species: Hu, Mu, Rt
Applications: ICC/IF, IHC,  IHC-P, WB
NB100-55310
Species: Hu, Mu
Applications: IP, WB
NB600-274
Species: Hu, Mu
Applications: IHC,  IHC-P, IP, WB (-)
NBP2-32563
Species: Hu
Applications: ICC/IF, IHC,  IHC-P
NBP3-13389
Species: Hu
Applications: IHC,  IHC-P, WB
AF3666
Species: Hu
Applications: ICC, WB
NBP2-94643
Species: Hu, Mu, Rt
Applications: ELISA, IHC,  IHC-P, WB
AF748
Species: Hu, Mu
Applications: CyTOF-ready, Dual ISH-IHC, Flow, ICC, IHC, Simple Western, WB
NBP1-87677
Species: Hu, Mu, Rt
Applications: ICC/IF, IHC,  IHC-P, WB
NB100-2582
Species: Ch, Hu, Mu
Applications: ChIP, IHC,  IHC-P, IP, KD, WB
NB100-41418
Species: Hu
Applications: IHC,  IHC-P, IP, WB
NBP3-16632
Species: Hu, Mu, Rt
Applications: ICC/IF, IHC,  IHC-P, WB
NBP3-03807
Species: Hu, Mu, Rt
Applications: ICC/IF, IP, WB
NBP1-90271
Species: Hu
Applications: IHC,  IHC-P, WB
NBP2-66776
Species: Hu, Mu
Applications: WB, IHC

Publications for CHD1 Antibody (NBP2-66776) (0)

There are no publications for CHD1 Antibody (NBP2-66776).
By submitting your publication information earn gift cards and discounts for future purchases.

Reviews for CHD1 Antibody (NBP2-66776) (0)

There are no reviews for CHD1 Antibody (NBP2-66776). By submitting a review you will receive an Amazon e-Gift Card or Novus Product Discount.
  • Review with no image -- $10/€7/£6/$10 CAD/¥70 Yuan/¥1110 Yen
  • Review with an image -- $25/€18/£15/$25 CAD/¥150 Yuan/¥2500 Yen

Product General Protocols

Find general support by application which include: protocols, troubleshooting, illustrated assays, videos and webinars.

Video Protocols

WB Video Protocol

FAQs for CHD1 Antibody (NBP2-66776) (0)

There are no specific FAQs related to this product. Read our general customer & technical service FAQs.

Secondary Antibodies

 

Isotype Controls

Additional CHD1 Products

Array NBP2-66776

Research Areas for CHD1 Antibody (NBP2-66776)

Find related products by research area.

Blogs on CHD1

There are no specific blogs for CHD1, but you can read our latest blog posts.

Contact Information

Product PDFs

Calculators

Concentration Calculator

The concentration calculator allows you to quickly calculate the volume, mass or concentration of your vial. Simply enter your mass, volume, or concentration values for your reagent and the calculator will determine the rest.

=
÷

Review this Product

Be the first to review our CHD1 Antibody (2-2) and receive a gift card or discount.

Bioinformatics

Gene Symbol CHD1