CDC16 Antibody

Images

 
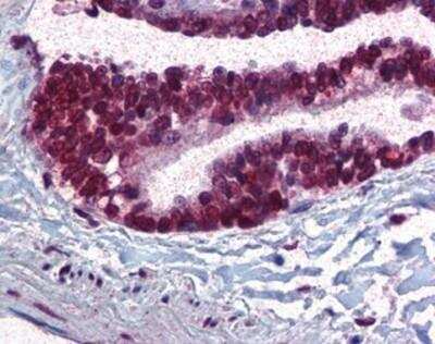
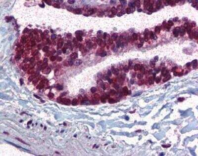
Immunohistochemistry-Paraffin: CDC16 Antibody [NBP1-02803] - Staining of human lung, respiratory epithelium. Immunohistochemistry of formalin-fixed, paraffin-embedded tissue after heat-induced antigen retrieval. ...read more

Product Details

Summary
Product Discontinued
View other related CDC16 Primary Antibodies

Order Details


    • Catalog Number
      NBP1-02803
    • Availability
      Product Discontinued

    Can't find what you are looking for? Use our Antibody Concierge Service & we will help you locate your antibody!

    Or feel free to contact us for alternative products.

CDC16 Antibody Summary

Immunogen
Synthetic peptide corresponding to an internal region surrounding pT580 of human CDC16.
Specificity
This antibody is specific for phosphorylated human APC6 protein at the pT580 residue. This antibody is expected to react with all isoforms of this protein. Minimal reactivity is expected with the non-phosphorylated form of the protein.
Isotype
IgG
Clonality
Polyclonal
Host
Rabbit
Gene
CDC16
Purity
Immunogen affinity purified
Innovator's Reward
Test in a species/application not listed above to receive a full credit towards a future purchase.

Applications/Dilutions

Dilutions
  • ELISA 1:1000-1:10000
  • Immunocytochemistry/ Immunofluorescence 1:10-1:500
  • Immunohistochemistry 1:10-1:500
  • Immunohistochemistry-Paraffin 5 ug/ml
  • Western Blot 1:500-1:3000
Application Notes
IHC: NBP1-02803 was validated for use in immunohistochemistry on a panel of 21 formalin-fixed, paraffin-embedded (FFPE) human tissues after heat induced antigen retrieval in pH 6.0 citrate buffer. After incubation with the primary antibody, slides were incubated with biotinylated secondary antibody, followed by alkaline phosphatase-streptavidin and chromogen. The stained slides were evaluated by a pathologist to confirm staining specificity.

Packaging, Storage & Formulations

Storage
Store at 4C short term. Aliquot and store at -20C long term. Avoid freeze-thaw cycles.
Buffer
20mM Potassium Phosphate (pH 7.2) and 0.15M NaCl
Preservative
0.01% Sodium Azide
Concentration
0.97 mg/ml
Purity
Immunogen affinity purified

Alternate Names for CDC16 Antibody

  • ANAPC6subunit 6
  • CDC16 (cell division cycle 16, S. cerevisiae, homolog)
  • CDC16 cell division cycle 16 homolog (S. cerevisiae)
  • CDC16 homolog
  • CDC16Hs
  • cell division cycle 16 homolog (S. cerevisiae)
  • cell division cycle protein 16 homolog
  • Cyclosome subunit 6

Background

APC6 (also known as Cell division cycle protein 16 homolog (CDC16Hs), anaphase promoting complex subunit 6, and cyclosome subunit 6) is a component of the anaphase promoting complex/cyclosome (APC/C), a cell cycle-regulated ubiquitin ligase that controls progression through mitosis and the G1 phase of the cell cycle. The APC/C is composed of at least 11 subunits. APC6 interacts with PPP5C and CDC20. This protein colocalizes with CDC27 to the centrosome at all stages of the cell cycle and to the mitotic spindle. Splice variants have been described for this protein.

Limitations

This product is for research use only and is not approved for use in humans or in clinical diagnosis. Primary Antibodies are guaranteed for 1 year from date of receipt.

Customers Who Viewed This Item Also Viewed...

NBP1-89095
Species: Hu
Applications: ICC/IF, IHC,  IHC-P, KD, WB
AF4885
Species: Mu
Applications: IP, WB
NB100-91662
Species: Hu, Mu, Rt
Applications: Flow, ICC/IF, IHC,  IHC-P, Simple Western, WB
NBP2-76350
Species: Hu
Applications: Flow, ICC/IF, PEP-ELISA
NBP3-35501
Species: Hu, Mu, Rt
Applications: ELISA, IHC,  IHC-P, WB
NBP1-54654
Species: Hu
Applications: IHC,  IHC-P, WB
NB100-2866
Species: Hu
Applications: ICC/IF, IP, KD, WB
NBP2-32708
Species: Hu
Applications: ICC/IF, IHC,  IHC-P
NB100-59828
Species: Hu, Mu
Applications: IHC,  IHC-P, IP, WB
NBP2-74462
Species: Hu, Mu, Rt
Applications: CyTOF-ready, Flow, ICC/IF, WB
NBP1-77375
Species: Hu, Mu
Applications: ELISA, Flow, IHC,  IHC-P, WB
NBP2-57669
Species: Hu
Applications: ICC/IF, IHC,  IHC-P, WB
NBP2-36551
Species: Hu, Mu
Applications: IP, WB
NBP2-41263
Species: Hu, Mu, Rt
Applications: ELISA, ICC/IF, IHC,  IHC-P, WB
NBP3-47665
Species: Hu, Mu, Rt
Applications: ELISA, IHC, WB
NBP2-61889
Species: Hu
Applications: ELISA, Flow, ICC/IF, IHC,  IHC-P, WB
NBP1-85729
Species: Hu, Mu, Rt
Applications: ICC/IF, IHC,  IHC-P, WB
AF6000
Species: Hu, Mu
Applications: IHC, Simple Western, WB

Publications for CDC16 Antibody (NBP1-02803) (0)

There are no publications for CDC16 Antibody (NBP1-02803).
By submitting your publication information earn gift cards and discounts for future purchases.

Reviews for CDC16 Antibody (NBP1-02803) (0)

There are no reviews for CDC16 Antibody (NBP1-02803). By submitting a review you will receive an Amazon e-Gift Card or Novus Product Discount.
  • Review with no image -- $10/€7/£6/$10 CAD/¥70 Yuan/¥1110 Yen
  • Review with an image -- $25/€18/£15/$25 CAD/¥150 Yuan/¥2500 Yen

Product General Protocols

Find general support by application which include: protocols, troubleshooting, illustrated assays, videos and webinars.

Video Protocols

WB Video Protocol
ICC/IF Video Protocol

FAQs for CDC16 Antibody (NBP1-02803) (0)

There are no specific FAQs related to this product. Read our general customer & technical service FAQs.

Secondary Antibodies

 

Isotype Controls

Additional CDC16 Products

Research Areas for CDC16 Antibody (NBP1-02803)

Find related products by research area.

Blogs on CDC16

There are no specific blogs for CDC16, but you can read our latest blog posts.

Contact Information

Product PDFs

Calculators

Concentration Calculator

The concentration calculator allows you to quickly calculate the volume, mass or concentration of your vial. Simply enter your mass, volume, or concentration values for your reagent and the calculator will determine the rest.

=
÷

Review this Product

Be the first to review our CDC16 Antibody and receive a gift card or discount.

Bioinformatics

Gene Symbol CDC16
Entrez
Uniprot