CD59 Antibody (MACIF/1193) - IHC-Prediluted

Images

 
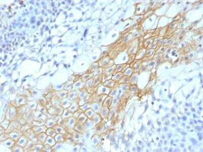
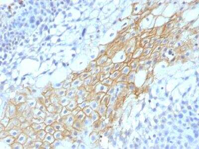
Immunohistochemistry-Paraffin: CD59 Antibody (MACIF/1193) - IHC-Prediluted [NBP2-48467] - Formalin-fixed, paraffin-embedded human Tongue stained with CD59 Monoclonal Antibody (MACIF/1193)

Product Details

Summary
Reactivity Hu, Pm(-), Eq(-)Species Glossary
Applications IHC
Clone
MACIF/1193
Clonality
Monoclonal
Host
Mouse
Conjugate
Unconjugated
Format
IHC-Prediluted

Order Details

View Available Formulations

CD59 Antibody (MACIF/1193) - IHC-Prediluted Summary

Description
The prediluted antibody does not require any mixing, dilution, reconstitution, or titration; the antibody is ready-to-use and optimized for staining.
Immunogen
Recombinant full-length human CD59 protein (Uniprot: P13987)
Localization
Cell Surface
Isotype
IgM Kappa
Clonality
Monoclonal
Host
Mouse
Gene
CD59
Purity
Protein L or PEG purified
Innovator's Reward
Test in a species/application not listed above to receive a full credit towards a future purchase.

Applications/Dilutions

Dilutions
  • Immunohistochemistry
  • Immunohistochemistry-Paraffin
Application Notes
Immunohistochemistry (Formalin-fixed): 1-2ug/ml for 30 minutes at RT. Staining of formalin-fixed tissues requires heating tissue sections in 10mM Tris with 1mM EDTA, pH 9.0, for 45 min at 95C followed by cooling at RT for 20 minutes.
Optimal dilution for a specific application should be determined.
Theoretical MW
20 kDa.
Disclaimer note: The observed molecular weight of the protein may vary from the listed predicted molecular weight due to post translational modifications, post translation cleavages, relative charges, and other experimental factors.

Reactivity Notes

Does not react with Baboon or Equine.

Packaging, Storage & Formulations

Storage
Store at 4C.
Buffer
10 mM PBS with 0.05% BSA
Preservative
0.05% Sodium Azide
Purity
Protein L or PEG purified

Alternate Names for CD59 Antibody (MACIF/1193) - IHC-Prediluted

  • 16.3A5
  • 1F5 antigen
  • 1F5
  • 20 kDa homologous restriction factor
  • CD59 antigen
  • CD59 antigen, complement regulatory protein
  • CD59 glycoprotein
  • CD59 molecule, complement regulatory protein
  • CD59
  • EJ16
  • EJ30
  • EJ30, EL32 and G344)
  • EL32
  • FLJ38134
  • FLJ92039
  • G344
  • HRF20
  • HRF-20
  • human leukocyte antigen MIC11
  • Ly-6-like protein
  • lymphocytic antigen CD59/MEM43
  • MACIF
  • MAC-inhibitory protein
  • MAC-IP
  • MEM43 antigen
  • MEM43
  • membrane attack complex (MAC) inhibition factor
  • Membrane attack complex inhibition factor
  • Membrane inhibitor of reactive lysis
  • MGC2354
  • MIC11
  • MIC11MSK21
  • MIN1
  • MIN2
  • MIN3
  • MIRL
  • p18-20
  • Protectin
  • surface anitgen recognized by monoclonal 16.3A5
  • T cell-activating protein

Background

CD59, an LY6 like protein expressed in human lymphoid cells, regulates the action of the complement membrane attack complex on homologous cells.

Limitations

This product is for research use only and is not approved for use in humans or in clinical diagnosis. Primary Antibodies are guaranteed for 1 year from date of receipt.

Customers Who Viewed This Item Also Viewed...

AF2009
Species: Hu
Applications: ICC, IHC
7268-CT
Species: Hu
Applications: BA
NBP2-79843
Species: Hu
Applications: CyTOF-ready, ELISA, Flow, ICC/IF, IHC,  IHC-P, PA, WB
NB100-524
Species: Hu, Mu
Applications: Flow-IC, Flow, ICC/IF, IHC, IHC-Fr,  IHC-P, IP, WB
MAB2005
Species: Hu
Applications: CyTOF-ready, Flow, WB
NB200-540
Species: Ec, Mu
Applications: CyTOF-ready, Flow-IC, Flow, IA, ICC/IF, IHC, IHC-Fr,  IHC-P, IP
NBP2-24653
Species: Hu, Mu, Rt
Applications: IHC,  IHC-P, WB
NBP2-02541
Species: Hu, Pm, Mu, Pm, Rt
Applications: ICC/IF, IHC,  IHC-P, WB
NBP1-90214
Species: Hu
Applications: ICC/IF, IHC,  IHC-P, WB
NBP2-29460
Species: Pm, Pm-Cm, Hu, Pm, RM
Applications: Flow, ICC/IF, IHC,  IHC-P, ISH
NBP2-15952
Species: Hu, Mu, Rt
Applications: ICC/IF, IHC, WB
MAB6529
Species: Hu
Applications: Simple Western, WB
NBP3-16514
Species: Hu, Mu, Rt
Applications: IHC,  IHC-P, WB
NBP2-13760
Species: Hu
Applications: IHC,  IHC-P
NBP2-22542
Species: Hu
Applications: B/N, CyTOF-ready, Flow, ICC/IF, IHC, IHC-Fr, IP, WB
2150-C5
Species: Mu
Applications: BA
NBP2-54591
Species: Hu
Applications: CyTOF-ready, Flow, ICC/IF, IHC,  IHC-P, PA
202-IL
Species: Hu
Applications: BA
NBP2-48467
Species: Hu, Pm(-), Eq(-)
Applications: IHC

Publications for CD59 Antibody (NBP2-48467) (0)

There are no publications for CD59 Antibody (NBP2-48467).
By submitting your publication information earn gift cards and discounts for future purchases.

Reviews for CD59 Antibody (NBP2-48467) (0)

There are no reviews for CD59 Antibody (NBP2-48467). By submitting a review you will receive an Amazon e-Gift Card or Novus Product Discount.
  • Review with no image -- $10/€7/£6/$10 CAD/¥70 Yuan/¥1110 Yen
  • Review with an image -- $25/€18/£15/$25 CAD/¥150 Yuan/¥2500 Yen

Product General Protocols

Find general support by application which include: protocols, troubleshooting, illustrated assays, videos and webinars.

FAQs for CD59 Antibody (NBP2-48467) (0)

There are no specific FAQs related to this product. Read our general customer & technical service FAQs.

Customers Who Bought This Also Bought

Contact Information

Product PDFs

Calculators

Concentration Calculator

The concentration calculator allows you to quickly calculate the volume, mass or concentration of your vial. Simply enter your mass, volume, or concentration values for your reagent and the calculator will determine the rest.

=
÷

Review this Product

Be the first to review our CD59 Antibody (MACIF/1193) - IHC-Prediluted and receive a gift card or discount.

Bioinformatics

Gene Symbol CD59