CD30/TNFRSF8 Antibody (CL12632) - Azide and BSA Free

Images

 
Staining of human ovarian cancer (dysgerminoma) shows moderate membranous positivity in tumor cells.
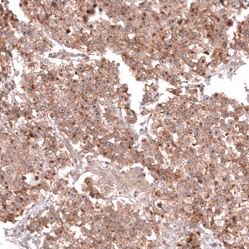
Staining of human testis cancer (embryonal carcinoma) shows moderate membranous positivity in tumor cells.
Staining of human tonsil shows moderate membranous positivity in germinal center cells.
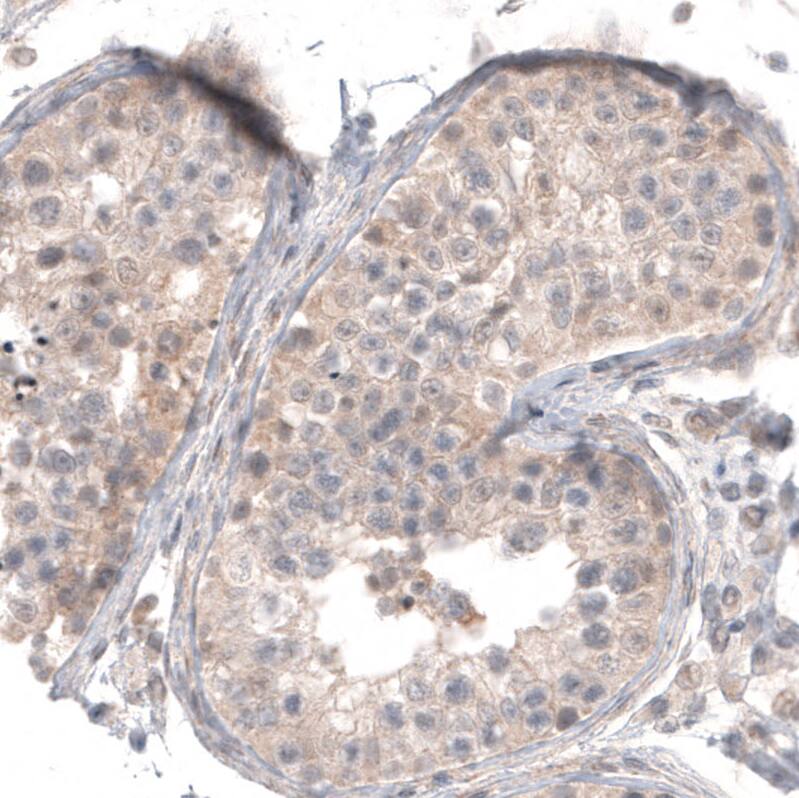
Staining of human testis shows weak membranous and cytoplasmic positivity in cells in seminiferous ducts.

Product Details

Summary
Reactivity HuSpecies Glossary
Applications IHC
Clone
CL12632
Clonality
Monoclonal
Host
Mouse
Conjugate
Unconjugated
Format
Azide and BSA Free
Concentration
LYOPH

Order Details

CD30/TNFRSF8 Antibody (CL12632) - Azide and BSA Free Summary

Description
Novus Biologicals Mouse CD30/TNFRSF8 Antibody (CL12632) - Azide and BSA Free (NBP3-18541) is a monoclonal antibody validated for use in IHC. All Novus Biologicals antibodies are covered by our 100% guarantee.
Immunogen
This antibody was generated using a synthetic peptide of P28908, with the exact immunogen sequence remaining proprietary.
Isotype
IgG2a
Clonality
Monoclonal
Host
Mouse
Gene
TNFRSF8
Purity
Protein A purified
Innovator's Reward
Test in a species/application not listed above to receive a full credit towards a future purchase.

Applications/Dilutions

Dilutions
  • Immunohistochemistry-Paraffin 1:50 - 1:200
Application Notes
For use with IHC-Paraffin, HIER pH 6 retrieval is recommended.

Packaging, Storage & Formulations

Storage
Store at 4C short term. Aliquot and store at -20C long term. Avoid freeze-thaw cycles.
Buffer
Lyophilized from a 0.2 um filtered solution in PBS with Trehalose
Preservative
No Preservative
Concentration
LYOPH
Purity
Protein A purified
Reconstitution Instructions
Centrifuge the vial of lyophilized antibody at 12,000 x g for 20 seconds. Reconstitute by adding sterile, distilled water to achieve a final antibody concentration of 1mg/ml.

Alternate Names for CD30/TNFRSF8 Antibody (CL12632) - Azide and BSA Free

  • CD30 antigen
  • CD30
  • CD30KI-1
  • CD30L receptor
  • cytokine receptor CD30
  • D1S166EKi-1
  • Ki-1 antigen
  • Lymphocyte activation antigen CD30
  • TNFRSF8
  • tumor necrosis factor receptor superfamily member 8
  • tumor necrosis factor receptor superfamily, member 8

Background

CD30 is a type I transmembrane protein and a member of the tumor necrosis factor receptor superfamily of proteins. (1,2) Murine CD30 is expressed predominantly in the thymus, and it is inducible in mouse splenocytes stimulated with pokeweed mitogen or concanavalin A. (1) In anti-CD3epsilon-activated spleen cells, CD30 is expressed primarily on the surface of CD8+ T cells with peak expression on days 4 and 5. Stimulation of CD30+ CTL lines with plate-bound anti-CD30 directly signals IL-5 but not IFN; production. (1) While these studies demonstrate that CD30 directs cytokine secretion and suggest that CD30 may play a pivotal role in the pattern of cytokine production by T cells, the precise roles of CD30 and its ligand (CD153) in T-cell development have not been clearly defined.

Limitations

This product is for research use only and is not approved for use in humans or in clinical diagnosis. Primary Antibodies are guaranteed for 1 year from date of receipt.

Customers Who Viewed This Item Also Viewed...

7268-CT
Species: Hu
Applications: BA
NB100-524
Species: Hu, Mu
Applications: Flow-IC, Flow, ICC/IF, IHC, IHC-Fr,  IHC-P, IP, WB
NBP2-79843
Species: Hu
Applications: CyTOF-ready, ELISA, Flow, ICC/IF, IHC,  IHC-P, PA, WB
NB600-1441
Species: Ca, Hu, Mu, Po
Applications: Flow, ICC/IF, IHC, IHC-Fr,  IHC-P, KD
NBP2-67309
Species: Hu, Rt
Applications: Flow, ICC/IF, IHC,  IHC-P, IP, WB
NBP2-54591
Species: Hu
Applications: CyTOF-ready, Flow, ICC/IF, IHC,  IHC-P, PA
AF114
Species: Mu
Applications: CyTOF-ready, Flow, ICC, IHC, WB
NBP1-19371
Species: Ca, Hu, Mu, Po, Rb, Rt
Applications: Dual ISH-IHC, Flow, ICC/IF, IHC, IHC-Fr,  IHC-P, Simple Western, WB
6507-IL/CF
Species: Hu
Applications: BA
202-IL
Species: Hu
Applications: BA
AF1028
Species: Hu
Applications: CyTOF-ready, Flow, IHC, WB
NBP1-49045
Species: Mu, Rt
Applications: Cell Depl, CyTOF-ready, Flow, ICC/IF, IHC, IHC-Fr,  IHC-P, IP, InhibTFunc
DR2A00
Species: Hu
Applications: ELISA
NB120-22711
Species: Hu, Mu
Applications: ELISA, Flow, ICC/IF, IHC, IHC-Fr,  IHC-P
H00003669-M01
Species: Hu
Applications: ELISA, ICC/IF, S-ELISA, WB
AF4210
Species: Hu
Applications: IHC, Simple Western, WB
485-MI
Species: Mu
Applications: BA

Publications for CD30/TNFRSF8 Antibody (NBP3-44380) (0)

There are no publications for CD30/TNFRSF8 Antibody (NBP3-44380).
By submitting your publication information earn gift cards and discounts for future purchases.

Reviews for CD30/TNFRSF8 Antibody (NBP3-44380) (0)

There are no reviews for CD30/TNFRSF8 Antibody (NBP3-44380). By submitting a review you will receive an Amazon e-Gift Card or Novus Product Discount.
  • Review with no image -- $10/€7/£6/$10 CAD/¥70 Yuan/¥1110 Yen
  • Review with an image -- $25/€18/£15/$25 CAD/¥150 Yuan/¥2500 Yen

Product General Protocols

Find general support by application which include: protocols, troubleshooting, illustrated assays, videos and webinars.

FAQs for CD30/TNFRSF8 Antibody (NBP3-44380) (0)

There are no specific FAQs related to this product. Read our general customer & technical service FAQs.

Secondary Antibodies

 

Isotype Controls

Additional CD30/TNFRSF8 Products

Research Areas for CD30/TNFRSF8 Antibody (NBP3-44380)

Find related products by research area.

Blogs on CD30/TNFRSF8.

Unlocking the Potential of Biosimilars in Immuno-Oncology
By Jennifer Jones, M.S.Biosimilar Antibodies: Imitation Meets InnovationIn the ever-evolving medical landscape, a new class of pharmaceuticals is emerging as a game-changer, poised to transform the way we approach...  Read full blog post.

Customers Who Bought This Also Bought

Contact Information

Product PDFs

Calculators

Concentration Calculator

The concentration calculator allows you to quickly calculate the volume, mass or concentration of your vial. Simply enter your mass, volume, or concentration values for your reagent and the calculator will determine the rest.

=
÷

Review this Product

Be the first to review our CD30/TNFRSF8 Antibody (CL12632) - Azide and BSA Free and receive a gift card or discount.

Bioinformatics

Gene Symbol TNFRSF8