CCNK Antibody

Images

 
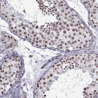
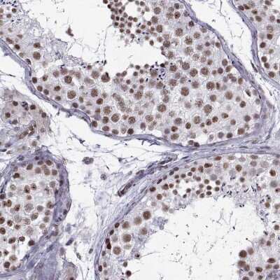
Immunohistochemistry-Paraffin: CCNK Antibody [NBP2-62712] - Staining of human testis shows high expression.
Orthogonal Strategies: Immunohistochemistry-Paraffin: CCNK Antibody [NBP2-62712] - Analysis in human testis and pancreas tissues using Anti-CCNK antibody. Corresponding CCNK RNA-seq data are presented for the ...read more
Immunohistochemistry-Paraffin: CCNK Antibody [NBP2-62712] - Staining of human pancreas shows low expression as expected.

Product Details

Summary
Product Discontinued
View other related CCNK Primary Antibodies
Validated by:
       

Orthogonal Strategies

 

Order Details


    • Catalog Number
      NBP2-62712
    • Availability
      Product Discontinued

    Can't find what you are looking for? Use our Antibody Concierge Service & we will help you locate your antibody!

    Or feel free to contact us for alternative products.

CCNK Antibody Summary

Immunogen
This antibody was developed against a recombinant protein corresponding to amino acids: PSSYMTGMSTTSSYMSGEGYQSLQSMMKTEGPSYGALPPAYGPPAHLPYHPHVYPPNP
Predicted Species
Mouse (98%), Rat (98%). Backed by our 100% Guarantee.
Isotype
IgG
Clonality
Polyclonal
Host
Rabbit
Gene
CCNK
Purity
Protein A purified
Innovator's Reward
Test in a species/application not listed above to receive a full credit towards a future purchase.

Applications/Dilutions

Dilutions
  • Immunohistochemistry 1:200 - 1:500
  • Immunohistochemistry-Paraffin 1:200 - 1:500
Application Notes
For IHC-Paraffin, HIER pH 6 retrieval is recommended.

Packaging, Storage & Formulations

Storage
Store at 4C short term. Aliquot and store at -20C long term. Avoid freeze-thaw cycles.
Buffer
PBS (pH 7.2) and 40% Glycerol
Preservative
0.02% Sodium Azide
Purity
Protein A purified

Alternate Names for CCNK Antibody

  • CCNK
  • CPR4
  • CPR4MGC9113
  • Cyclin K
  • cyclin-K
  • IDDHDF

Background

CCNK is encoded by this gene is a member of the transcription cyclin family. These cyclins may regulate transcription through their association with and activation of cyclin-dependent kinases (CDK) that phosphorylate the C-terminal domain (CTD) of the large subunit of RNA polymerase II. This gene product may play a dual role in regulating CDK and RNA polymerase II activities.

Limitations

This product is for research use only and is not approved for use in humans or in clinical diagnosis. Primary Antibodies are guaranteed for 1 year from date of receipt.

Customers Who Viewed This Item Also Viewed...

NBP3-15345
Species: Hu, Mu, Rt
Applications: ChIP, CHIP-SEQ, ELISA, ICC/IF, IHC,  IHC-P, IP, WB
NBP3-05509
Species: Hu, Mu, Rt
Applications: ICC/IF, IHC,  IHC-P, WB
NB100-87011
Species: Hu
Applications: IP, WB
NBP1-87592
Species: Hu
Applications: ChIP, ICC/IF, IHC,  IHC-P, KO
NB500-106
Species: Ch, Dr, Fi, Hu, Mar, Mu, Po, Pm, Rb, Rt, Ye, Ze
Applications: ChIP, ChIP, ELISA, Flow, ICC/IF, IHC-FrFl, IHC, IHC-Fr,  IHC-P, IP, Simple Western, WB
AF4654
Species: Hu, Mu, Rt
Applications: ICC, IHC, Simple Western, WB
NBP2-32840
Species: Hu, Pm, Mu, Rt
Applications: Flow, ICC/IF, IHC,  IHC-P, WB
NB100-308
Species: Hu, Mu
Applications: Func, ICC/IF, IP, In vitro, KO, WB
NBP2-92972
Species: Hu, Mu, Rt
Applications: IP, KO, WB
NB200-106
Species: Mu, Rt
Applications: ELISA, ICC/IF, IHC, IHC-Fr,  IHC-P, WB
NB200-103
Species: Hu, Mu, Rt, Xp(-), Ye
Applications: CyTOF-ready, ELISA, Flow-IC, Flow, ICC/IF, IHC, IHC-Fr,  IHC-P, IP, WB
NBP1-87262
Species: Hu
Applications: ICC/IF, IHC,  IHC-P, KD, WB
NBP1-47914
Species: Hu, Mu, Rt
Applications: Flow, ICC/IF, IHC,  IHC-P, WB
AF1555
Species: Hu
Applications: WB
NB100-68268
Species: Hu
Applications: IP, WB
NBP1-85478
Species: Hu
Applications: ICC/IF, IHC,  IHC-P, KD, WB
1726-JG
Species: Hu
Applications: BA
8475-OM/CF
Species: Hu
Applications: BA
NB100-56585
Species: Hu
Applications: ICC/IF, IHC,  IHC-P, WB
NBP2-62712
Species: Hu, Mu, Rt
Applications: IHC

Publications for CCNK Antibody (NBP2-62712) (0)

There are no publications for CCNK Antibody (NBP2-62712).
By submitting your publication information earn gift cards and discounts for future purchases.

Reviews for CCNK Antibody (NBP2-62712) (0)

There are no reviews for CCNK Antibody (NBP2-62712). By submitting a review you will receive an Amazon e-Gift Card or Novus Product Discount.
  • Review with no image -- $10/€7/£6/$10 CAD/¥70 Yuan/¥1110 Yen
  • Review with an image -- $25/€18/£15/$25 CAD/¥150 Yuan/¥2500 Yen

Product General Protocols

Find general support by application which include: protocols, troubleshooting, illustrated assays, videos and webinars.

FAQs for CCNK Antibody (NBP2-62712) (0)

There are no specific FAQs related to this product. Read our general customer & technical service FAQs.

Secondary Antibodies

 

Isotype Controls

Additional CCNK Products

Array NBP2-62712

Research Areas for CCNK Antibody (NBP2-62712)

Find related products by research area.

Blogs on CCNK

There are no specific blogs for CCNK, but you can read our latest blog posts.

Contact Information

Product PDFs

Calculators

Concentration Calculator

The concentration calculator allows you to quickly calculate the volume, mass or concentration of your vial. Simply enter your mass, volume, or concentration values for your reagent and the calculator will determine the rest.

=
÷

Review this Product

Be the first to review our CCNK Antibody and receive a gift card or discount.

Bioinformatics

Gene Symbol CCNK