Caspase-8 Antibody (SD08-06) - Pro form

Images

 
Western Blot: Caspase-8 Antibody (SD08-06) - Pro form [NBP2-67803] - Western blot analysis of Caspase-8 on Jurkat cell lysates. Proteins were transferred to a PVDF membrane and blocked with 5% BSA in PBS for 1 hour at ...read more
Immunocytochemistry/ Immunofluorescence: Caspase-8 Antibody (SD08-06) - Pro form [NBP2-67803] - Staining Caspase-8 in Hela cells (green). The nuclear counter stain is DAPI (blue). Cells were fixed in paraformaldehyde, ...read more
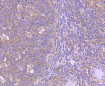
Immunohistochemistry-Paraffin: Caspase-8 Antibody (SD08-06) - Pro form [NBP2-67803] - Analysis of paraffin-embedded human tonsil tissue using anti-Caspase-8 antibody. Counter stained with hematoxylin.
Western Blot: Caspase-8 Antibody (SD08-06) - Pro form [NBP2-67803] - Analysis of Caspase-8 on different lysates using anti-Caspase-8 antibody at 1/1,000 dilution. Positive control: Lane 1: Jurkat Lane 2: Hela
Immunocytochemistry/ Immunofluorescence: Caspase-8 Antibody (SD08-06) - Pro form [NBP2-67803] - Staining Caspase-8 in A549 cells (green). The nuclear counter stain is DAPI (blue). Cells were fixed in paraformaldehyde, ...read more
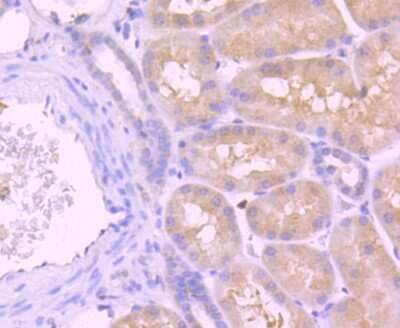
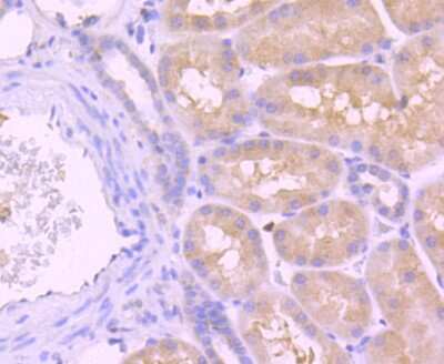
Immunohistochemistry-Paraffin: Caspase-8 Antibody (SD08-06) - Pro form [NBP2-67803] - Analysis of paraffin-embedded human kidney tissue using anti-Caspase-8 antibody. Counter stained with hematoxylin.
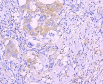
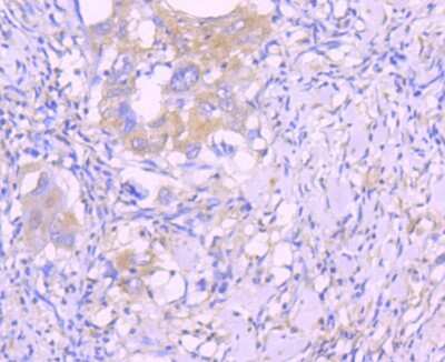
Immunohistochemistry-Paraffin: Caspase-8 Antibody (SD08-06) - Pro form [NBP2-67803] - Analysis of paraffin-embedded human lung cancer tissue using anti-Caspase-8 antibody. Counter stained with hematoxylin.
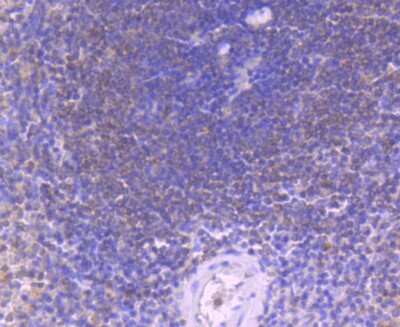
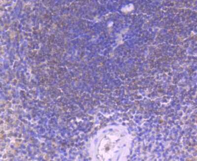
Immunohistochemistry-Paraffin: Caspase-8 Antibody (SD08-06) - Pro form [NBP2-67803] - Analysis of paraffin-embedded human spleen tissue using anti-Caspase-8 antibody. Counter stained with hematoxylin.

Product Details

Summary
Product Discontinued
View other related Caspase-8 Primary Antibodies

Order Details


    • Catalog Number
      NBP2-67803
    • Availability
      Product Discontinued

    Can't find what you are looking for? Use our Antibody Concierge Service & we will help you locate your antibody!

    Or feel free to contact us for alternative products.

Caspase-8 Antibody (SD08-06) - Pro form Summary

Additional Information
Recombinant Monoclonal Antibody.
Immunogen
Synthetic peptide within Human Caspase-8 aa 200-249 / 479. (SwissProt: Q14790 Human)
Localization
Nucleus, Cytoplasm.
Isotype
IgG
Clonality
Monoclonal
Host
Rabbit
Gene
CASP8
Purity
Protein A purified
Innovator's Reward
Test in a species/application not listed above to receive a full credit towards a future purchase.

Applications/Dilutions

Dilutions
  • Immunocytochemistry/ Immunofluorescence 1:50-1:200
  • Immunohistochemistry
  • Immunohistochemistry-Paraffin 1:50-1:200
  • Western Blot 1:1000-1:2000
Control
Jurkat Staurosporine Treated / Untreated Cell Lysate
Publications
Read Publication using
NBP2-67803 in the following applications:

Packaging, Storage & Formulations

Storage
Store at 4C short term. Aliquot and store at -20C long term. Avoid freeze-thaw cycles.
Buffer
TBS (pH7.4), 0.05% BSA, 40% Glycerol
Preservative
0.05% Sodium Azide
Concentration
1 mg/ml
Purity
Protein A purified

Alternate Names for Caspase-8 Antibody (SD08-06) - Pro form

  • AIS
  • androgen receptor
  • CASP8
  • Caspase8
  • Caspase-8
  • DHTRTFM
  • Dihydrotestosterone receptorHYSP1
  • HUMARA
  • Mch5
  • NR3C4KD
  • Nuclear receptor subfamily 3 group C member 4
  • SMAX1SBMA
  • spinal and bulbar muscular atrophy

Background

Caspase 8 (CASP8) is a member of the cysteine-aspartic acid protease (caspase) family that is involved in the execution-phase of cell apoptosis. The sequential activation of caspases plays a central role in the execution-phase of cell apoptosis, and Caspase 8 is the most upstream protease in the the caspase activation cascade.

Caspase 8 is expressed as an inactive proenzyme which then undergos proteolytic processing by upstream caspases, to form an active (cleaved) caspase 8 form.

Caspase 8 antibodies are important tools for apoptosis studies and research on the caspase family mediated apoptosis signaling pathway.

Limitations

This product is for research use only and is not approved for use in humans or in clinical diagnosis. Primary Antibodies are guaranteed for 1 year from date of receipt.

Customers Who Viewed This Item Also Viewed...

NB100-56118
Species: Ca, Ma, Hu, Mu, Rt
Applications: Flow-IC, ICC/IF, IHC, IHC-Fr,  IHC-P, IP, WB
NB120-13550
Species: Hu, Mu, Rt
Applications: ICC/IF, IHC,  IHC-P, WB
375-TL
Species: Hu
Applications: BA
AF821
Species: Hu, Mu
Applications: WB
AF860
Species: Hu, Mu
Applications: IP, Simple Western, WB
NB100-56503
Species: Dr, Hu, Mu, Rb, Rt
Applications: Flow-CS, Flow-IC, Flow, IB, ICC/IF, IHC,  IHC-P, Simple Western, WB
NB100-56098
Species: Ca, Hu, Mu, Rt
Applications: IHC,  IHC-P, IP, WB
NBP3-15951
Species: Hu, Mu, Rt
Applications: IHC,  IHC-P, WB
AF800
Species: Hu, Mu
Applications: IP, Simple Western, WB
AF820
Species: Hu, Mu
Applications: ICC, IHC, KO, Simple Western, WB
NBP2-27335
Species: Hu, Mu, Rt(-)
Applications: CyTOF-ready, Flow, ICC/IF, WB
DFL00B
Species: Hu
Applications: ELISA
NB100-56618
Species: Hu, Mu
Applications: Flow-CS, Flow, ICC/IF, IHC,  IHC-P, WB
AF347
Species: Hu
Applications: IHC, Neut, WB

Publications for Caspase-8 Antibody (NBP2-67803)(1)

We have publications tested in 1 confirmed species: Rabbit.

We have publications tested in 2 applications: ICC/IF, IHC-P.


Filter By Application
ICC/IF
(1)
IHC-P
(1)
All Applications
Filter By Species
Rabbit
(1)
All Species

Reviews for Caspase-8 Antibody (NBP2-67803) (0)

There are no reviews for Caspase-8 Antibody (NBP2-67803). By submitting a review you will receive an Amazon e-Gift Card or Novus Product Discount.
  • Review with no image -- $10/€7/£6/$10 CAD/¥70 Yuan/¥1110 Yen
  • Review with an image -- $25/€18/£15/$25 CAD/¥150 Yuan/¥2500 Yen

Product General Protocols

Find general support by application which include: protocols, troubleshooting, illustrated assays, videos and webinars.

Video Protocols

WB Video Protocol
ICC/IF Video Protocol

FAQs for Caspase-8 Antibody (NBP2-67803). (Showing 1 - 1 of 1 FAQ).

  1. May we ask the MW difference between the active form and the proform of Caspase 8 while performing WB?
    • In treated cells induced to undergo apoptosis, caspase-8 migrates as a 55/53 kDa (pro-form), 41/42 kDa (a cleaved/active or intermediate form), and 18 kDa (active form). The proform (55/53 kDa) is still seen in treated cells because not all cells undergo apoptosis at once.

Control Lysate(s)

Secondary Antibodies

 

Isotype Controls

Additional Caspase-8 Products

Research Areas for Caspase-8 Antibody (NBP2-67803)

Find related products by research area.

Blogs on Caspase-8.

The NLRP3 Inflammasome: Macrophage Activator & Pathology Driver
By Victoria Osinski, PhDWhat is the NLRP3 Inflammasome?With its critical role in innate immunity, the nucleotide-binding oligomerization domain-like receptor family, pyrin domain containing 3 (NLRP3) inflammasome ...  Read full blog post.

Pyroptosis: Mechanisms mediating cell death and pro-inflammatory cytokine release
By Victoria OsinskiPyroptosis is an inflammatory form of programmed cell death characterized by the release of pro-inflammatory cytokines IL-1 beta and IL-18.1,10 It is a process distinct from apoptosis and necrosis (T...  Read full blog post.

Caspase-3, The Executioner of Apoptosis
The Role of Caspase-3 in ApoptosisCaspase-3 enzyme is a member of the family of endoproteases which regulate inflammation and apoptosis signaling networks. Caspase-3 is known as an executioner caspase in apoptosis because of its role in coordinat...  Read full blog post.

VPS41 - An important regulator of lysosomal trafficking
Membrane fusion is an essential step during the trafficking of endosomes and vesicles throughout the cell. Membrane fusion events are facilitated by multisubunit tethering complexes (MTC) including CORVET and HOPS. These complexes interact with Rab...  Read full blog post.

Caspase-8 - a pro-apoptotic protein with dynamic roles in normal physiology and pathology
Caspases are a family of cysteine-aspartic acid proteases that are responsible for the initiation and execution of apoptosis. Caspase-8 is a 55 kDa protein expressed as an inactive procaspase that resides in the cytosol. Activation of Caspase-8 req...  Read full blog post.

Caspase 8 - a key mediator of apoptosis
Programmed cell death via apoptosis is a key controlled physiological process instigated by the cell death receptor family, their ligands, and the caspase cysteine protease family. All caspases exist in a precursor form that contains a prodomain, a...  Read full blog post.

Contact Information

Product PDFs

Calculators

Concentration Calculator

The concentration calculator allows you to quickly calculate the volume, mass or concentration of your vial. Simply enter your mass, volume, or concentration values for your reagent and the calculator will determine the rest.

=
÷

Review this Product

Be the first to review our Caspase-8 Antibody (SD08-06) - Pro form and receive a gift card or discount.

Bioinformatics

Gene Symbol CASP8