Caspase-12 Antibody

Images

 
Western Blot: Caspase-12 Antibody [NBP1-77290] - Analysis of caspase-12 in (A) human and (B) mouse spleen tissue lysates with caspase-12 antibody at 1 ug/mL.
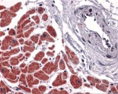
Immunohistochemistry: Caspase-12 Antibody [NBP1-77290] - Caspase-12 in human heart tissue with caspase-12 antibody at 10 ug/mL.

Product Details

Summary
Product Discontinued
View other related Caspase-12 Primary Antibodies

Order Details


    • Catalog Number
      NBP1-77290
    • Availability
      Product Discontinued

    Can't find what you are looking for? Use our Antibody Concierge Service & we will help you locate your antibody!

    Or feel free to contact us for alternative products.

Caspase-12 Antibody Summary

Immunogen
Antibody was raised against a 16 amino acid peptide near the amino terminus of murine Caspase-12. The immunogen is located within the first 50 amino acids of Caspase-12. Amino Acid Squence: AARRTHERDPIYKIKG
Isotype
IgG
Clonality
Polyclonal
Host
Rabbit
Gene
CASP12
Purity
Peptide affinity purified
Innovator's Reward
Test in a species/application not listed above to receive a full credit towards a future purchase.

Applications/Dilutions

Dilutions
  • ELISA 1:100-1:2000
  • Immunohistochemistry 10 ug/ml
  • Immunohistochemistry-Paraffin 10 ug/ml
  • Western Blot 1 ug/ml
Application Notes
Caspase-12 antibody can be used for detection of caspase-12 by Western blot at 0.5 to 1 mg/ml.
Theoretical MW
51 kDa.
Disclaimer note: The observed molecular weight of the protein may vary from the listed predicted molecular weight due to post translational modifications, post translation cleavages, relative charges, and other experimental factors.

Packaging, Storage & Formulations

Storage
Store at 4C short term. Aliquot and store at -20C long term. Avoid freeze-thaw cycles.
Buffer
PBS
Preservative
0.02% Sodium Azide
Concentration
1 mg/ml
Purity
Peptide affinity purified

Alternate Names for Caspase-12 Antibody

  • Apoptosis Related Cysteine Protease
  • CASP 12
  • CASP12
  • CASP12P1
  • Caspase 12 pseudogene 1
  • Caspase12
  • Caspase-12
  • UNQ9415

Background

Three distinct signaling pathways lead to programmed cell death (apoptosis). The death receptor and mitochondrion pathways are the mains, in which the key apoptotic proteases capase-8 and caspase-9, respectively, are involved. The endoplasmic reticulum (ER) stress is the third apoptotic pathway and caspase-12 is involved. Caspase-12 is localized to the ER but not to cytoplasm or mitochondrion. Caspase-12 is activated by ER stress, including disruption of ER calcium homeostasis, and mediates ER stress-induced apoptosis. Caspase-12 is co-localized to the ER with several proteins that are involved in Alzheimer's disease including gamma-secretase presenilin and beta-amyloid precursor protein (APP). Caspase-12 mediates cytotoxicity induced by amyloid-beta. Caspase-12 is ubiquitously expressed in mouse tissues.

Limitations

This product is for research use only and is not approved for use in humans or in clinical diagnosis. Primary Antibodies are guaranteed for 1 year from date of receipt.

Customers Who Viewed This Item Also Viewed...

NBP1-76801
Species: Ch, Hu, Mu, Rt
Applications: ELISA, ICC/IF, IHC,  IHC-P, WB
NBP1-06274
Species: Ce, Ch, Dr, Hu, Mu, Rt, Sh, Ze
Applications: Flow, ICC/IF, IHC-FrFl, IHC,  IHC-P, Simple Western, WB
NB600-1335
Species: Hu, Mu, Pm, Rt
Applications: ChIP, ELISA, Flow, GS, ICC/IF, IHC,  IHC-P, IP, KD, Simple Western, WB
NB100-56118
Species: Ca, Ma, Hu, Mu, Rt
Applications: Flow-IC, ICC/IF, IHC, IHC-Fr,  IHC-P, IP, WB
AF1543
Species: Hu
Applications: IHC, WB
NB100-56503
Species: Dr, Hu, Mu, Rb, Rt
Applications: Flow-CS, Flow-IC, Flow, IB, ICC/IF, IHC,  IHC-P, Simple Western, WB
NB100-56529
Species: Hu, Mu, Rt
Applications: IHC,  IHC-P, WB
NB100-56116
Species: Ma, Hu, Mu, Rt
Applications: Flow, ICC/IF, IHC, IHC-Fr,  IHC-P, IP, Simple Western, WB
AF800
Species: Hu, Mu
Applications: IP, Simple Western, WB
MAB868
Species: Hu
Applications: WB
MAB17761
Species: Hu, Mu, Rt
Applications: ICC, WB
NBP1-40256
Species: Hu, Mu, Pl, Po, Rb, Rt
Applications: ChIP, CyTOF-ready, Flow-IC, Flow, IB, ICC/IF, IHC, IHC-Fr,  IHC-P, IP, KO, Simple Western, WB
NBP2-27335
Species: Hu, Mu, Rt(-)
Applications: CyTOF-ready, Flow, ICC/IF, WB
NB100-56098
Species: Ca, Hu, Mu, Rt
Applications: IHC,  IHC-P, IP, WB
NBP1-77290
Species: Hu, Mu, Rt
Applications: WB, ELISA, IHC

Publications for Caspase-12 Antibody (NBP1-77290) (0)

There are no publications for Caspase-12 Antibody (NBP1-77290).
By submitting your publication information earn gift cards and discounts for future purchases.

Reviews for Caspase-12 Antibody (NBP1-77290) (0)

There are no reviews for Caspase-12 Antibody (NBP1-77290). By submitting a review you will receive an Amazon e-Gift Card or Novus Product Discount.
  • Review with no image -- $10/€7/£6/$10 CAD/¥70 Yuan/¥1110 Yen
  • Review with an image -- $25/€18/£15/$25 CAD/¥150 Yuan/¥2500 Yen

Product General Protocols

Find general support by application which include: protocols, troubleshooting, illustrated assays, videos and webinars.

Video Protocols

WB Video Protocol

FAQs for Caspase-12 Antibody (NBP1-77290) (0)

There are no specific FAQs related to this product. Read our general customer & technical service FAQs.

Secondary Antibodies

 

Isotype Controls

Additional Caspase-12 Products

Research Areas for Caspase-12 Antibody (NBP1-77290)

Find related products by research area.

Blogs on Caspase-12.

Caspase-12 - activator of apoptosis via the ER stress response
Aside from their important role in apoptosis, caspases also play an important role in inflammatory processes. Humans express four inflammatory caspases: Caspase-1, -4, -5, and -12. Caspase-12 is a 48 kDa protein localized to the ER and involved in ...  Read full blog post.

Contact Information

Product PDFs

Calculators

Concentration Calculator

The concentration calculator allows you to quickly calculate the volume, mass or concentration of your vial. Simply enter your mass, volume, or concentration values for your reagent and the calculator will determine the rest.

=
÷

Review this Product

Be the first to review our Caspase-12 Antibody and receive a gift card or discount.

Bioinformatics

Gene Symbol CASP12
Uniprot