Calsequestrin 1 Antibody

Images

 
Western Blot: Calsequestrin 1 Antibody [NB120-3516] - Analysis of 25 ug of RD (Lane 1), L6 (Lane 2) and mouse heart (Lane 3) cell lysates.
Immunocytochemistry/ Immunofluorescence: Calsequestrin 1 Antibody [NB120-3516] - Analysis of Calsequestrin (green) showing staining in the cytoplasm and nucleus of C2C12 cells (right) compared to a negative control ...read more
Immunohistochemistry-Paraffin: Calsequestrin 1 Antibody [NB120-3516] - Analysis showing positive staining in the cytoplasm of Human heart tissue (right) compared with a negative control in the absence of primary ...read more
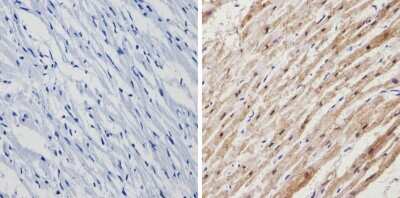
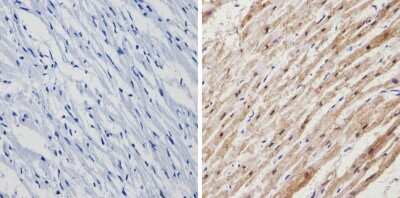
Immunohistochemistry-Paraffin: Calsequestrin 1 Antibody [NB120-3516] - Analysis showing positive staining in the cytoplasm of paraffin-treated Mouse heart tissue (right) compared with a negative control in the absence ...read more
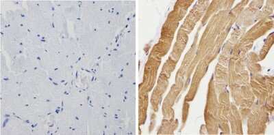
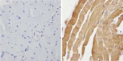
Immunohistochemistry-Paraffin: Calsequestrin 1 Antibody [NB120-3516] - Analysis showing positive staining in the cytoplasm of Human skeletal muscle (right) compared with a negative control in the absence of primary ...read more

Product Details

Summary
Product Discontinued
View other related Calsequestrin 1 Primary Antibodies

Order Details


    • Catalog Number
      NB120-3516
    • Availability
      Product Discontinued

    Can't find what you are looking for? Use our Antibody Concierge Service & we will help you locate your antibody!

    Or feel free to contact us for alternative products.

Calsequestrin 1 Antibody Summary

Immunogen
Purified canine cardiac calsequestrin.
Localization
Isoform 1: Sarcoplasmic reticulum's terminal cisternae luminal spaces of fast skeletal muscle cells. Also mitochondrial Isoform 2: Smooth endoplasmic reticulum.
Specificity
This detects Calsequestrin. It recognizes both cardiac and skeletal muscle Calsequestrin.
Isotype
IgG
Clonality
Polyclonal
Host
Rabbit
Gene
CASQ1
Purity
Unpurified
Innovator's Reward
Test in a species/application not listed above to receive a full credit towards a future purchase.

Applications/Dilutions

Dilutions
  • Immunocytochemistry/ Immunofluorescence 1:10 - 1:500
  • Immunohistochemistry 1:100 - 1:500
  • Immunohistochemistry-Paraffin 1:100 - 1:500
  • Immunoprecipitation 1:10 - 1:500
  • Western Blot 1:1000 - 1:10000
Application Notes
ICC/IF usage was reported in scientific literature. WB: Detects an approx. 55 kDa protein representing Calsequestrin from canine cardiac extract. Additional bands at 97 kDa may be observed and have been reported to be Calsequestrin-like proteins.
Control
Calsequestrin 1 Overexpression Lysate
Publications
Read Publications using
NB120-3516 in the following applications:

Packaging, Storage & Formulations

Storage
Store at -20C. Avoid freeze-thaw cycles.
Buffer
Whole serum diluted in PBS
Preservative
0.05% Sodium Azide
Purity
Unpurified

Alternate Names for Calsequestrin 1 Antibody

  • calmitin
  • calmitine
  • calsequestrin 1 (fast-twitch, skeletal muscle)
  • Calsequestrin, skeletal muscle isoform
  • calsequestrin-1
  • CASQ
  • PDIB1

Background

The sarcoplasmic reticulum (SR) is in part responsible for maintaining the level of intracellular calcium in cardiac and skeletal muscle by storing and releasing calcium. Several intralumenal SR calcium binding proteins have been identified, the most prominent of these is calsequestrin. Calsequestrin is a calcium binding protein known to sequester calcium accumulated in the sarcoplasmic reticulum of muscle cells during relaxation and is found discretely localized to the junctional and corbular (terminal cisternae) SR. Calsequestrin functions to localize calcium near the junctional face of the terminal cisternae from which calcium can be released into the cytosol via the ryanodine receptor. This protein is highly acidic and has a large capacity and moderate to low affinity for calcium. Two mammalian isoforms of calequestrin exist, a cardiac and a skeletal muscle isoform, which are the products of different genes and are 63% identical.

Limitations

This product is for research use only and is not approved for use in humans or in clinical diagnosis. Primary Antibodies are guaranteed for 1 year from date of receipt.

Customers Who Viewed This Item Also Viewed...

MAB5745
Species: Hu
Applications: IHC, WB
NBP1-86125
Species: Hu
Applications: IHC,  IHC-P
NBP1-87304
Species: Hu
Applications: IHC,  IHC-P, WB
NB300-543
Species: Am, Bv, Ca, Ma, Fi, Hu, Ma-Mn, Mu, Pm, Rb, Rt, Sh
Applications: B/N, ICC/IF, IHC, IHC-Fr,  IHC-P, IP, WB
NB300-542
Species: Gp, Hu, Mu, Rb, Rt
Applications: Flow, IHC, IHC-Fr,  IHC-P, IP, WB
NBP2-80143
Species: Am, Bv, Ca, Ch, Fi, Gp, Hu, Mu, Po, Rb, Rt
Applications: Flow, ICC/IF, IHC, IHC-Fr,  IHC-P, IP, WB
NB400-111
Species: Hu, Mu(-)
Applications: ICC/IF, IHC, IHC-Fr, WB
NBP1-88180
Species: Hu
Applications: IHC,  IHC-P, WB
NBP1-89953
Species: Hu, Mu
Applications: IHC,  IHC-P
NBP1-87417
Species: Hu
Applications: ICC/IF, IHC,  IHC-P
AF4815
Species: Hu, Mu, Rt
Applications: IHC, WB
NB300-581
Species: Am, Ca, Gp, Hu, Mu, Po, Rb, Rt, Sh
Applications: Flow, ICC/IF, IHC, IHC-Fr,  IHC-P, IP, Simple Western, WB
NBP1-86990
Species: Hu, Mu
Applications: ICC/IF, KD, WB
H00000487-M01
Species: Hu
Applications: ELISA, ICC/IF, IHC,  IHC-P, S-ELISA, WB
NBP2-19807
Species: Hu, Mu, Po, Rt
Applications: ICC/IF, IHC,  IHC-P, WB
MAB6534
Species: Hu
Applications: ELISA, WB
NBP1-71648
Species: Hu, Mu(-)
Applications: ICC/IF, IHC,  IHC-P, Simple Western, WB
NB120-3516
Species: Hu, Mu, Rt, Ca, Sh
Applications: WB, ICC/IF, IHC, IP

Publications for Calsequestrin 1 Antibody (NB120-3516)(3)

Reviews for Calsequestrin 1 Antibody (NB120-3516) (0)

There are no reviews for Calsequestrin 1 Antibody (NB120-3516). By submitting a review you will receive an Amazon e-Gift Card or Novus Product Discount.
  • Review with no image -- $10/€7/£6/$10 CAD/¥70 Yuan/¥1110 Yen
  • Review with an image -- $25/€18/£15/$25 CAD/¥150 Yuan/¥2500 Yen

Product General Protocols

Find general support by application which include: protocols, troubleshooting, illustrated assays, videos and webinars.

Video Protocols

WB Video Protocol
ICC/IF Video Protocol

FAQs for Calsequestrin 1 Antibody (NB120-3516). (Showing 1 - 1 of 1 FAQs).

  1. For catalog #NB120-3516, do you have any additional data or an image(s) available for use of this antibody specifically with mouse samples in WB?
    • I unfortunately do not have any additional images for mouse samples on Western Blot to send over to you as we have had this reactivity reported to us by customers. As such I do not have their data on file, but we are extremely confident it will work in mouse samples expressing the protein in Western Blot. Of course we do have a 100% guarantee so if you do not get it to work we are happy to send you a 100% refund or replacement.

Control Lysate(s)

Secondary Antibodies

 

Isotype Controls

Additional Calsequestrin 1 Products

Research Areas for Calsequestrin 1 Antibody (NB120-3516)

Find related products by research area.

Blogs on Calsequestrin 1

There are no specific blogs for Calsequestrin 1, but you can read our latest blog posts.

Contact Information

Product PDFs

Calculators

Concentration Calculator

The concentration calculator allows you to quickly calculate the volume, mass or concentration of your vial. Simply enter your mass, volume, or concentration values for your reagent and the calculator will determine the rest.

=
÷

Review this Product

Be the first to review our Calsequestrin 1 Antibody and receive a gift card or discount.

Bioinformatics

Gene Symbol CASQ1
Entrez