Calpastatin Antibody (2G11D6)

Images

 
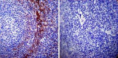
Immunohistochemistry-Paraffin: Calpastatin Antibody (2G11D6) [NB120-3515] - Normal biopsies of deparaffinized Human tonsil tissue.
Immunohistochemistry-Paraffin: Calpastatin Antibody (2G11D6) [NB120-3515] - Biopsies of deparaffinized Human skeletal muscle tissue.
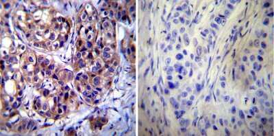
Immunohistochemistry-Paraffin: Calpastatin Antibody (2G11D6) [NB120-3515] - Cancer biopsies of deparaffinized Human breast carcinoma tissue.

Product Details

Summary
Product Discontinued
View other related Calpastatin Primary Antibodies

Order Details


    • Catalog Number
      NB120-3515
    • Availability
      Product Discontinued

    Can't find what you are looking for? Use our Antibody Concierge Service & we will help you locate your antibody!

    Or feel free to contact us for alternative products.

Calpastatin Antibody (2G11D6) Summary

Immunogen
Bovine skeletal muscle calpastatin.
Epitope
This antibody recognizes an epitope found between amino acid residues 295-501 (domain II) of human Calpastatin.
Localization
Cytoplasmic and Nuclear
Specificity
Detects Calpastatin.This does not cross-react with calpains or calmodulin.
Isotype
IgG2a
Clonality
Monoclonal
Host
Mouse
Gene
CAST
Purity
Unpurified
Innovator's Reward
Test in a species/application not listed above to receive a full credit towards a future purchase.

Applications/Dilutions

Dilutions
  • Immunocytochemistry 1:1000
  • Immunohistochemistry 1:10 - 1:500
  • Immunohistochemistry-Frozen 1:200 - 1000
  • Immunohistochemistry-Paraffin 1:10 - 1:500
  • Western Blot 1:5000
Application Notes
WB: Detects an approx. 150, 125, 90 and 70 kDa proteins which have been suggested to be proteins translated from different start sites of the calpastatin gene. IF: Staining of calpastatin in porcine LLC-PK1 cells results in diffuse cytoplasmic staining and weak nuclear staining.
Control
Calpastatin Overexpression Lysate

Reactivity Notes

Fish reactivity reported in scientific literature (PMID: 17276714).

Packaging, Storage & Formulations

Storage
Store at -20C. Avoid freeze-thaw cycles.
Buffer
Ascites diluted with PBS
Preservative
0.05% Sodium Azide
Purity
Unpurified

Alternate Names for Calpastatin Antibody (2G11D6)

  • BS-17
  • Calpain inhibitor
  • calpastatin
  • MGC9402
  • Sperm BS-17 component

Background

The calpain system has been detected in every vertebrate tissue examined, and has been suggested to play a regulatory role in cellular protein metabolism. This regulatory role may have important implications in platelet aggregation and pathologies associated with altered calcium homeostasis and protein metabolism such as ischemic cell injury and degenerative diseases. Inhibitors of calpain have been shown to block dexamethasone and low-level irradiation induced apoptosis in thymocytes suggesting that calpain has a regulatory or mechanistic role in apoptotic cell death.Calpastatin, a specific endogenous inhibitor of calpain, has a predicted molecular weight of ~77 kDa and an internal repeat of four homologous domains which allow it to inhibit multiple calpain molecules simultaneously. It functions by binding to calpain when calpain binds calcium. When Calpastatin is subjected to proteolytic digestion, fragments of calpastatin as small as 15 kDa still retain inhibitory activity.

Limitations

This product is for research use only and is not approved for use in humans or in clinical diagnosis. Primary Antibodies are guaranteed for 1 year from date of receipt.

Customers Who Viewed This Item Also Viewed...

NBP1-88204
Species: Hu, Mu, Rt
Applications: ICC/IF, IHC,  IHC-P, WB
NBP2-15671
Species: Hu, Mu, Sq
Applications: ICC/IF, IHC,  IHC-P, IP, WB
AF820
Species: Hu, Mu
Applications: ICC, IHC, KO, Simple Western, WB
NBP2-15671
Species: Hu, Mu, Sq
Applications: ICC/IF, IHC,  IHC-P, IP, WB
NBP2-27335
Species: Hu, Mu, Rt(-)
Applications: CyTOF-ready, Flow, ICC/IF, WB
NBP2-13075
Species: Ba, Hu, Pm, Mu, Rt
Applications: DB, ELISA, IB, ICC/IF, IHC-FrFl, IHC, IHC-Fr,  IHC-P, IP, WB
NB100-56098
Species: Ca, Hu, Mu, Rt
Applications: IHC,  IHC-P, IP, WB
NBP1-58268
Species: Hu, Mu
Applications: IHC,  IHC-P, WB
NBP2-82026
Species: Hu, Mu, Rt
Applications: ELISA, ICC/IF, IHC,  IHC-P, WB
NBP1-88204
Species: Hu, Mu, Rt
Applications: ICC/IF, IHC,  IHC-P, WB
H00008458-M06
Species: Hu, Mu, Rt
Applications: ELISA, ICC/IF, WB
NBP2-67702
Species: Hu, Mu, Rt
Applications: ICC/IF, IHC, IHC-Fr,  IHC-P, WB
NBP2-15669
Species: Mu, Rt, Ze
Applications: IHC-WhMt, IHC, WB
NB100-56583
Species: Hu, Rb, Rt
Applications: Flow, IHC,  IHC-P, KO, Simple Western, WB
MAB1417
Species: Bv, Hu, Mu
Applications: ICC, IHC
NBP2-14871
Species: Mu, Rt
Applications: ICC/IF, WB

Publications for Calpastatin Antibody (NB120-3515) (0)

There are no publications for Calpastatin Antibody (NB120-3515).
By submitting your publication information earn gift cards and discounts for future purchases.

Reviews for Calpastatin Antibody (NB120-3515) (0)

There are no reviews for Calpastatin Antibody (NB120-3515). By submitting a review you will receive an Amazon e-Gift Card or Novus Product Discount.
  • Review with no image -- $10/€7/£6/$10 CAD/¥70 Yuan/¥1110 Yen
  • Review with an image -- $25/€18/£15/$25 CAD/¥150 Yuan/¥2500 Yen

Product General Protocols

Find general support by application which include: protocols, troubleshooting, illustrated assays, videos and webinars.

Video Protocols

WB Video Protocol

FAQs for Calpastatin Antibody (NB120-3515) (0)

There are no specific FAQs related to this product. Read our general customer & technical service FAQs.

Control Lysate(s)

Secondary Antibodies

 

Isotype Controls

Additional Calpastatin Products

Research Areas for Calpastatin Antibody (NB120-3515)

Find related products by research area.

Blogs on Calpastatin

There are no specific blogs for Calpastatin, but you can read our latest blog posts.

Contact Information

Product PDFs

Calculators

Concentration Calculator

The concentration calculator allows you to quickly calculate the volume, mass or concentration of your vial. Simply enter your mass, volume, or concentration values for your reagent and the calculator will determine the rest.

=
÷

Review this Product

Be the first to review our Calpastatin Antibody (2G11D6) and receive a gift card or discount.

Bioinformatics

Gene Symbol CAST
Entrez