Calnexin Antibody (SN20-54)

Images

 
Western Blot: Calnexin Antibody (SN20-54) [NBP2-67721] - Western blot analysis of Calnexin on Hela cell lysates. Proteins were transferred to a PVDF membrane and blocked with 5% BSA in PBS for 1 hour at room ...read more
Immunocytochemistry/ Immunofluorescence: Calnexin Antibody (SN20-54) [NBP2-67721] - Staining Calnexin in PANC-1 cells (green). The nuclear counter stain is DAPI (blue). Cells were fixed in paraformaldehyde, ...read more
Immunohistochemistry-Paraffin: Calnexin Antibody (SN20-54) [NBP2-67721] - Analysis of paraffin-embedded rat pancreas tissue using anti-Calnexin antibody. Counter stained with hematoxylin.
Flow Cytometry: Calnexin Antibody (SN20-54) [NBP2-67721] - Flow cytometric analysis of Calnexin was done on Hela cells. The cells were fixed, permeabilized and stained with the primary antibody (1/50) (red). After ...read more
Western Blot: Calnexin Antibody (SN20-54) [NBP2-67721] - Analysis of Calnexin on Hela cells lysates using anti-Calnexin antibody at 1/1,000 dilution.
Immunocytochemistry/ Immunofluorescence: Calnexin Antibody (SN20-54) [NBP2-67721] - Staining Calnexin in Hela cells (green). The nuclear counter stain is DAPI (blue). Cells were fixed in paraformaldehyde, permeabilised ...read more
Immunocytochemistry/ Immunofluorescence: Calnexin Antibody (SN20-54) [NBP2-67721] - Staining Calnexin in HepG2 cells (green). The nuclear counter stain is DAPI (blue). Cells were fixed in paraformaldehyde, permeabilised ...read more
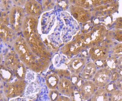
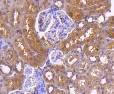
Immunohistochemistry-Paraffin: Calnexin Antibody (SN20-54) [NBP2-67721] - Analysis of paraffin-embedded human kidney tissue using anti-Calnexin antibody. Counter stained with hematoxylin.
Immunohistochemistry-Paraffin: Calnexin Antibody (SN20-54) [NBP2-67721] - Analysis of paraffin-embedded human liver cancer tissue using anti-Calnexin antibody. Counter stained with hematoxylin.
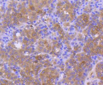
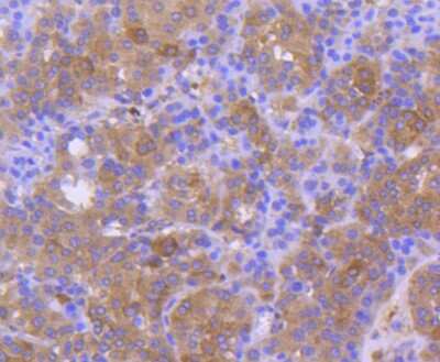
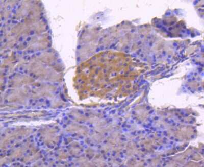
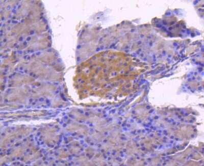
Immunohistochemistry-Paraffin: Calnexin Antibody (SN20-54) [NBP2-67721] - Analysis of paraffin-embedded human pancreas tissue using anti-Calnexin antibody. Counter stained with hematoxylin.
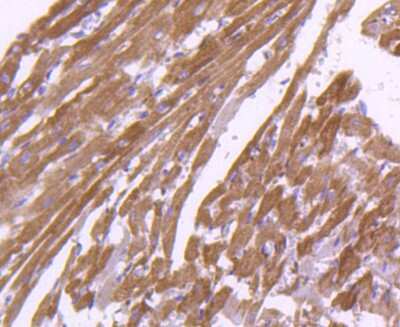
Immunohistochemistry-Paraffin: Calnexin Antibody (SN20-54) [NBP2-67721] - Analysis of paraffin-embedded rat heart tissue using anti-Calnexin antibody. Counter stained with hematoxylin.
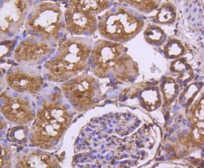
Immunohistochemistry-Paraffin: Calnexin Antibody (SN20-54) [NBP2-67721] - Analysis of paraffin-embedded rat kidney tissue using anti-Calnexin antibody. Counter stained with hematoxylin.

Product Details

Summary
Product Discontinued
View other related Calnexin Primary Antibodies

Order Details


    • Catalog Number
      NBP2-67721
    • Availability
      Product Discontinued

    Can't find what you are looking for? Use our Antibody Concierge Service & we will help you locate your antibody!

    Or feel free to contact us for alternative products.

Calnexin Antibody (SN20-54) Summary

Additional Information
Recombinant Monoclonal Antibody.
Immunogen
Synthetic peptide within Human Calnexin aa 543-592 / 592. (SwissProt: P27824 Human; SwissProt: P35565 Rat)
Localization
Endoplasmic reticulum membrane, Endoplasmic reticulum, Melanosome.
Isotype
IgG
Clonality
Monoclonal
Host
Rabbit
Gene
CANX
Purity
Protein A purified
Innovator's Reward
Test in a species/application not listed above to receive a full credit towards a future purchase.

Applications/Dilutions

Dilutions
  • Flow Cytometry 1:50-1:100
  • Immunocytochemistry/ Immunofluorescence 1:100-1:500
  • Immunohistochemistry
  • Immunohistochemistry-Paraffin 1:50-1:200
  • Western Blot 1:1000-1:5000

Packaging, Storage & Formulations

Storage
Store at 4C short term. Aliquot and store at -20C long term. Avoid freeze-thaw cycles.
Buffer
TBS (pH7.4), 0.05% BSA, 40% Glycerol
Preservative
0.05% Sodium Azide
Concentration
1 mg/ml
Purity
Protein A purified

Alternate Names for Calnexin Antibody (SN20-54)

  • calnexin
  • CNX
  • IP90FLJ26570
  • Major histocompatibility complex class I antigen-binding protein p88
  • P90

Background

Calnexin, an abundant approx. 90kDa integral protein of the endoplasmic reticulum, is also referred to as IP90, p88 and p90 (1). It consists of a large 50kDa N-terminal calcium-binding luminal domain, a single transmembrane helix and a short acidic cytoplasmic tail (2, 3). Unlike its ER counterparts which have a KDEL sequence on their Cterminus to ensure ER retention (4), calnexin has positively charged cytosolic residues that do the same thing (3). Most ER proteins act as molecular chaperones and participate in the proper folding of polypeptides and their assembly into mulit-subunit proteins. Calnexin together with calreticulin, plays a key role in glycoprotein folding and its control within the ER, by interacting with folding intermediates via their monoglycosylated glycans (5, 6). Calnexin has also been shown to associate with the major histocompatability complex class I heavy chains, partial complexes of the T cell receptor and B cell membrane immunoglobulin (7).

Limitations

This product is for research use only and is not approved for use in humans or in clinical diagnosis. Primary Antibodies are guaranteed for 1 year from date of receipt.

Customers Who Viewed This Item Also Viewed...

NB600-101
Species: Bv, Ha, Hu, Mu, Pm, Rt
Applications: B/N, DB, EM, Flow, ICC/IF, IHC,  IHC-P, IP, KD, PA, Simple Western, WB
MAB79671
Species: Hu, Mu, Rt
Applications: ICC, Simple Western, WB
NBP1-06274
Species: Ce, Ch, Dr, Hu, Mu, Rt, Sh, Ze
Applications: Flow, ICC/IF, IHC-FrFl, IHC,  IHC-P, Simple Western, WB
NB100-1595
Species: Hu, Mu
Applications: IHC,  IHC-P, IP, WB
NBP2-20237
Species: Hu, Mu, Rt
Applications: IHC,  IHC-P, WB
AF1230
Species: Hu, Mu, Rt
Applications: IHC, KO, WB
NBP1-84796
Species: Hu, Mu, Rt
Applications: ICC/IF, IHC,  IHC-P, KD, WB
NBP2-52555
Species: Hu, Mu
Applications: CyTOF-ready, ELISA, Flow, ICC/IF, IHC,  IHC-P, WB
DYC1825-2
Species: Hu, Mu, Rt
Applications: ELISA
NBP1-87799
Species: Hu, Mu, Rt
Applications: ICC/IF, IHC,  IHC-P, WB
AF1543
Species: Hu
Applications: IHC, WB
NBP2-01346
Species: Ca, Hu, Pm, Mu, Pm, Rt
Applications: Flow, ICC/IF, IHC,  IHC-P, WB
AF467
Species: Hu, Mu
Applications: CyTOF-ready, Flow, ICC, IHC, Simple Western, WB
MAB4614
Species: Hu
Applications: CyTOF-ready, Flow, KO
NBP2-11567
Species: Hu, Mu
Applications: IHC,  IHC-P, PEP-ELISA, WB
H00006890-M04
Species: Hu
Applications: ELISA, Flow, ICC/IF, WB
NBP1-89394
Species: Hu
Applications: ICC/IF, IHC,  IHC-P
NBP1-86968
Species: Hu
Applications: IHC,  IHC-P
NB300-619
Species: Bv, Ch, Ha, Hu, Mu, Rt
Applications: ICC, ICC/IF, IHC,  IHC-P, IP, WB

Publications for Calnexin Antibody (NBP2-67721) (0)

There are no publications for Calnexin Antibody (NBP2-67721).
By submitting your publication information earn gift cards and discounts for future purchases.

Reviews for Calnexin Antibody (NBP2-67721) (0)

There are no reviews for Calnexin Antibody (NBP2-67721). By submitting a review you will receive an Amazon e-Gift Card or Novus Product Discount.
  • Review with no image -- $10/€7/£6/$10 CAD/¥70 Yuan/¥1110 Yen
  • Review with an image -- $25/€18/£15/$25 CAD/¥150 Yuan/¥2500 Yen

Product General Protocols

Find general support by application which include: protocols, troubleshooting, illustrated assays, videos and webinars.

Video Protocols

WB Video Protocol
ICC/IF Video Protocol

FAQs for Calnexin Antibody (NBP2-67721) (0)

There are no specific FAQs related to this product. Read our general customer & technical service FAQs.

Secondary Antibodies

 

Isotype Controls

Additional Calnexin Products

Research Areas for Calnexin Antibody (NBP2-67721)

Find related products by research area.

Blogs on Calnexin.

Calnexin - an ER chaperone that folds the cell's glycoproteins
Calnexin is an abundant 90kDa chaperone protein that resides in the membrane of the endoplasmic reticulum. Calnexin and the related calreticulin protein function together to ensure the proper folding of glycoproteins. By binding to partially folded...  Read full blog post.

Contact Information

Product PDFs

Calculators

Concentration Calculator

The concentration calculator allows you to quickly calculate the volume, mass or concentration of your vial. Simply enter your mass, volume, or concentration values for your reagent and the calculator will determine the rest.

=
÷

Review this Product

Be the first to review our Calnexin Antibody (SN20-54) and receive a gift card or discount.

Bioinformatics

Gene Symbol CANX