BRS3 Antibody

Images

 
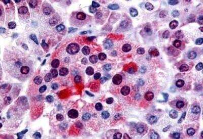
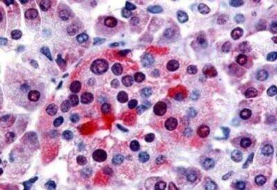
Immunohistochemistry-Paraffin: BRS3 Antibody [NBP1-02374] - Staining of Human Pancreas, Islet tissue after heat-induced antigen retrieval. Antibody concentration 10 ug/ml.

Product Details

Summary
Product Discontinued
View other related BRS3 Primary Antibodies

Order Details


    • Catalog Number
      NBP1-02374
    • Availability
      Product Discontinued

    Can't find what you are looking for? Use our Antibody Concierge Service & we will help you locate your antibody!

    Or feel free to contact us for alternative products.

BRS3 Antibody Summary

Immunogen
Synthetic 20 amino acid peptide from C-terminal cytoplasmic domain of human BRS3.
Specificity
Human BRS3. BLAST analysis of the peptide immunogen showed no homology with other human proteins, except GRPR (45%).
Predicted Species
Monkey (90%), Primate (95%). Backed by our 100% Guarantee.
Isotype
IgG
Clonality
Polyclonal
Host
Rabbit
Gene
BRS3
Purity
Immunogen affinity purified
Innovator's Reward
Test in a species/application not listed above to receive a full credit towards a future purchase.

Applications/Dilutions

Dilutions
  • Immunohistochemistry 1:10 - 1:500
  • Immunohistochemistry-Paraffin 10 ug/ml

Reactivity Notes

Predicted cross-reactivity based on sequence identity: Gorilla (100%), Gibbon (95%), Bat (85%), Elephant (85%), Equine (80%), Rabbit (80%), Guinea Pig (80%).

Packaging, Storage & Formulations

Storage
Store at 4C short term. Aliquot and store at -20C long term. Avoid freeze-thaw cycles.
Buffer
PBS
Preservative
0.1% Sodium Azide
Concentration
1.0 mg/ml
Purity
Immunogen affinity purified

Alternate Names for BRS3 Antibody

  • BB3
  • bombesin receptor subtype 3
  • bombesin receptor subtype-3
  • bombesin-like receptor 3
  • BRS3
  • BRS-3
  • G-protein coupled receptor

Background

BRS3 is classified as an Orphan-A Receptor and is highly similar to the bombesin receptors but has a very low affinity for bombesin itself. Mice lacking BRS3 develop metabolic defects and obesity, suggesting that BRS3 may be an important target for obesity research. In addition, BRS3 may be involved in diabetes and hypertension.

Limitations

This product is for research use only and is not approved for use in humans or in clinical diagnosis. Primary Antibodies are guaranteed for 1 year from date of receipt.

Customers Who Viewed This Item Also Viewed...

NBP3-03282
Species: Hu, Mu, Rt
Applications: ELISA, ICC/IF, IHC,  IHC-P, WB
NLS830
Species: Bt, Ca, Eq, Hu, Pm, Po, Pm, Rb
Applications: IHC,  IHC-P, WB
NLS825
Species: Bt, Bv, Eq, Hu, Mu, Po, Rb
Applications: Flow, IHC,  IHC-P
NBP3-47350
Species: Hu, Mu, Rt
Applications: ELISA, IHC
NBP1-72115
Species: Hu, Mu
Applications: ELISA, IHC,  IHC-P, WB
NBP3-48776
Species: Hu, Mu, Rt
Applications: ICC/IF, IHC,  IHC-P, WB
H00029094-B01P
Species: Hu, Rt
Applications: WB
AF2550
Species: Hu
Applications: ELISA(Cap), ELISA(Det), ELISA(Sta), IHC, IP, WB
NBP2-92214
Species: Hu, Mu
Applications: IHC,  IHC-P, WB
MAB1417
Species: Bv, Hu, Mu
Applications: ICC, IHC
NB300-201
Species: Hu, Mu, Rt
Applications: ICC/IF, IHC, IHC-Fr,  IHC-P, WB
PP-H4417-00
Species: Hu
Applications: DirELISA, IP, WB
NLS32
Species: Bt, Bv, Ca, Eq, Hu, Pm, Mu, Po, Pm, Rt
Applications: ICC/IF, IHC,  IHC-P
MAB6594
Species: Hu
Applications: CyTOF-ready, Flow
NLS571
Species: Hu, Pm, Pm
Applications: IHC,  IHC-P
AF796
Species: Mu
Applications: AdBlk, IHC, WB
NBP1-46535
Species: Hu, Mu, Rb, Rt, Xp
Applications: ICC/IF, IHC-FrFl, IHC, IHC-Fr,  IHC-P, WB
NB100-56082
Species: Hu, Mu, Rt
Applications: IHC,  IHC-P, IP, WB
NBP2-49207
Species: Hu
Applications: ICC/IF, IHC,  IHC-P
NBP1-02374
Species: Hu, Pm, Pm
Applications: IHC

Publications for BRS3 Antibody (NBP1-02374) (0)

There are no publications for BRS3 Antibody (NBP1-02374).
By submitting your publication information earn gift cards and discounts for future purchases.

Reviews for BRS3 Antibody (NBP1-02374) (0)

There are no reviews for BRS3 Antibody (NBP1-02374). By submitting a review you will receive an Amazon e-Gift Card or Novus Product Discount.
  • Review with no image -- $10/€7/£6/$10 CAD/¥70 Yuan/¥1110 Yen
  • Review with an image -- $25/€18/£15/$25 CAD/¥150 Yuan/¥2500 Yen

Product General Protocols

Find general support by application which include: protocols, troubleshooting, illustrated assays, videos and webinars.

FAQs for BRS3 Antibody (NBP1-02374) (0)

There are no specific FAQs related to this product. Read our general customer & technical service FAQs.

Secondary Antibodies

 

Isotype Controls

Additional BRS3 Products

Array NBP1-02374

Research Areas for BRS3 Antibody (NBP1-02374)

Find related products by research area.

Blogs on BRS3

There are no specific blogs for BRS3, but you can read our latest blog posts.

Contact Information

Product PDFs

Calculators

Concentration Calculator

The concentration calculator allows you to quickly calculate the volume, mass or concentration of your vial. Simply enter your mass, volume, or concentration values for your reagent and the calculator will determine the rest.

=
÷

Review this Product

Be the first to review our BRS3 Antibody and receive a gift card or discount.

Bioinformatics

Gene Symbol BRS3
Entrez
Uniprot